Revision 3

#43811

Store at -20C

Pyroptosis Antibody Sampler Kit

1 Kit

(9 x 20 microliters)

CST Logo
Orders:

877-616-CELL (2355)

[email protected]

Support:

877-678-TECH (8324)

3 Trask Lane | Danvers | Massachusetts | 01923 | USA

For Research Use Only. Not for Use in Diagnostic Procedures.

Product Includes Product # Quantity Mol. Wt Isotype/Source
Gasdermin D (E8G3F) Rabbit Monoclonal Antibody9755820 µl53, 43, 30, 21 kDaRabbit IgG
Cleaved Gasdermin D (Asp275) (E7H9G) Rabbit Monoclonal Antibody3642520 µl30 kDaRabbit IgG
Caspase-1 (D7F10) Rabbit Monoclonal Antibody386620 µl48, 20 kDaRabbit IgG
Cleaved Caspase-1 (Asp297) (D57A2) Rabbit Monoclonal Antibody419920 µl20, 22 kDaRabbit IgG
IL-1 beta (D3U3E) Rabbit Monoclonal Antibody1270320 µl17, 31 kDaRabbit IgG
Cleaved-IL-1 beta (Asp116) (D3A3Z) Rabbit Monoclonal Antibody8318620 µl17 kDaRabbit IgG
Caspase-4 Antibody445020 µl45 kDaRabbit
Caspase-5 (D3G4W) Rabbit Monoclonal Antibody4668020 µl50, 44, 35 kDaRabbit IgG
HMGB1 (D3E5) Rabbit Monoclonal Antibody689320 µl29 kDaRabbit IgG
Anti-rabbit IgG, HRP-linked Antibody7074100 µlGoat

Please visit cellsignal.com for individual component applications, species cross-reactivity, dilutions, protocols, and additional product information.

Description

The Pyroptosis Antibody Sampler Kit provides an economical means of detecting proteins that are used as readouts for pyroptosis. The kit includes enough antibodies to perform two western blot experiments with each primary antibody.

Storage

Supplied in 10 mM sodium HEPES (pH 7.5), 150 mM NaCl, 100 µg/ml BSA, 50% glycerol and less than 0.02% sodium azide. Store at –20°C. Do not aliquot the antibody.

Background

Pyroptosis is a regulated pathway of cell death with morphological features of necrosis, including cell swelling, plasma membrane pore formation, and engagement of an inflammatory response with the release of a number of damage-associated molecular patterns (DAMPs), such as HMGB1 and inflammatory cytokines like IL-1β and IL-18 (1,2). Pyroptosis is generally induced in cells of the innate immune system, such as monocytes, macrophages, and dendritic cells in the presence of pathogen-associated molecular patterns (PAMPs) expressed on microbial pathogens or by cell-derived DAMPs. It is induced through assembly of inflammasomes triggering proteolytic activation of caspase-1 which then cleaves inflammatory cytokines like IL-1β and IL-18 to their mature forms (3). A critical feature of pyroptosis is the cleavage of Gasdermin D by caspase-1 and mouse caspase-11 (or human caspase-4/5) (4-6). Upon cleavage, the N-terminal fragment of Gasdermin D oligomerizes to form a pore, allowing secretion of inflammatory DAMPs and cytokines. Canonical inflammasome assembly typically consists of a cytosolic-pattern recognition receptor (PPR; a nucleotide binding domain and leucine-rich repeat [NLR] or AIM2-like family members), an adaptor protein (ASC/TMS1), and pro-caspase-1. Distinct inflammasome complexes can recognize distinct PAMPs and DAMPs to trigger pyroptosis. The best characterized pathway triggered by the NLR, NLRP3, occurs through a two-step process. The first step is a priming signal, NF-κB is activated to induce the expression of a number of inflammasome components including NLRP3, pro-IL-1β, and pro-IL-18. In the second activation step, caspase-1 is activated and Gasdermin D and cytokines are proteolytically activated. In a non-canonical pathway, caspase-4 and caspase-5 can directly trigger Gasdermin D cleavage in monocytes following LPS stimulation (5,7).

Trademarks and Patents

Cell Signaling Technology is a trademark of Cell Signaling Technology, Inc.

All other trademarks are the property of their respective owners. Visit cellsignal.com/trademarks for more information.

Limited Uses

Except as otherwise expressly agreed in a writing signed by a legally authorized representative of CST, the following terms apply to Products provided by CST, its affiliates or its distributors. Any Customer's terms and conditions that are in addition to, or different from, those contained herein, unless separately accepted in writing by a legally authorized representative of CST, are rejected and are of no force or effect.

Products are labeled with For Research Use Only or a similar labeling statement and have not been approved, cleared, or licensed by the FDA or other regulatory foreign or domestic entity, for any purpose. Customer shall not use any Product for any diagnostic or therapeutic purpose, or otherwise in any manner that conflicts with its labeling statement. Products sold or licensed by CST are provided for Customer as the end-user and solely for research and development uses. Any use of Product for diagnostic, prophylactic or therapeutic purposes, or any purchase of Product for resale (alone or as a component) or other commercial purpose, requires a separate license from CST. Customer shall (a) not sell, license, loan, donate or otherwise transfer or make available any Product to any third party, whether alone or in combination with other materials, or use the Products to manufacture any commercial products, (b) not copy, modify, reverse engineer, decompile, disassemble or otherwise attempt to discover the underlying structure or technology of the Products, or use the Products for the purpose of developing any products or services that would compete with CST products or services, (c) not alter or remove from the Products any trademarks, trade names, logos, patent or copyright notices or markings, (d) use the Products solely in accordance with CST Product Terms of Sale and any applicable documentation, and (e) comply with any license, terms of service or similar agreement with respect to any third party products or services used by Customer in connection with the Products.

Orders: 877-616-CELL (2355) [email protected] Support: 877-678-TECH (8324) [email protected] Web: cellsignal.com
For Research Use Only. Not for Use in Diagnostic Procedures.

Revision 3

Cell Signaling Technology Logo
Western blot analysis of extracts from THP-1 cells, untreated (-) or LPS-treated (100 ng/ml, 3 hr; +), using IL-1β (D3U3E) Rabbit mAb (upper) and β-Actin (D6A8) Rabbit mAb #8457 (lower).
undefined Image 1: Pyroptosis Antibody Sampler Kit
Western blot analysis of extracts from THP-1 cells, differentiated with TPA #4174 (50 ng/ml, overnight) and then treated with LPS #14011 (5 μg/ml, indicated times), using Cleaved Gasdermin D (Asp275) (E7H9G) Rabbit mAb (upper), total Gasdermin D (L60) Antibody #93709 (middle), or β-Actin (D6A8) Rabbit mAb #8457 (lower).
undefined Image 2: Pyroptosis Antibody Sampler Kit
Western blot analysis of extracts from THP-1 and NK-92 cells using Caspase-1 (D7F10) Rabbit mAb.
undefined Image 3: Pyroptosis Antibody Sampler Kit
Orders: 877-616-CELL (2355) [email protected] Support: 877-678-TECH (8324) [email protected] Web: cellsignal.com
For Research Use Only. Not for Use in Diagnostic Procedures.

Revision 3

Cell Signaling Technology Logo
Western blot analysis of extracts from COS-7 cells, untransfected (-) or transfected with construct overexpressing human caspase-1 (+), using Cleaved Caspase-1 (Asp297) (D57A2) Rabbit mAb (upper) or Caspase-1 (D7F10) Rabbit mAb #3866 (lower).
undefined Image 4: Pyroptosis Antibody Sampler Kit
Western blot analysis of extracts from KARPAS-299, THP-1 and IM-9 cells using Caspase-4 Antibody.
undefined Image 5: Pyroptosis Antibody Sampler Kit
Western blot analysis of extracts from THP-1 cells differentiated with TPA #4174 (80 nM, overnight) followed by treatment with LPS #14011 (1 μg/ml, indicated times), using Caspase-5 (D3G4W) Rabbit mAb (upper) and β-Actin (D6A8) Rabbit mAb #8457 (lower)
undefined Image 6: Pyroptosis Antibody Sampler Kit
Orders: 877-616-CELL (2355) [email protected] Support: 877-678-TECH (8324) [email protected] Web: cellsignal.com
For Research Use Only. Not for Use in Diagnostic Procedures.

Revision 3

Cell Signaling Technology Logo
Western blot analysis of extracts from various cell lines using HMGB1 (D3E5) Rabbit mAb.
undefined Image 7: Pyroptosis Antibody Sampler Kit
After the primary antibody is bound to the target protein, a complex with HRP-linked secondary antibody is formed. The LumiGLO® is added and emits light during enzyme catalyzed decomposition.
undefined Image 8: Pyroptosis Antibody Sampler Kit
Western blot analysis of recombinant Human Interleukin-1β (hIL-1β) #8900 using Cleaved-IL-1β (Asp116) (D3A3Z) Rabbit mAb.
undefined Image 9: Pyroptosis Antibody Sampler Kit
Orders: 877-616-CELL (2355) [email protected] Support: 877-678-TECH (8324) [email protected] Web: cellsignal.com
For Research Use Only. Not for Use in Diagnostic Procedures.

Revision 3

Cell Signaling Technology Logo
Western blot analysis of extracts from PC-3 cells and PC-3 GSDMD knockout (-/-) cells using Gasdermin D (E8G3F) Rabbit mAb (upper) or GAPDH (D16H11) XP® Rabbit mAb #5174 (lower).
undefined Image 10: Pyroptosis Antibody Sampler Kit
Western blot analysis of recombinant Human Interleukin-1β (hIL-1β) #8900 using IL-1β (D3U3E) Rabbit mAb.
undefined Image 11: Pyroptosis Antibody Sampler Kit
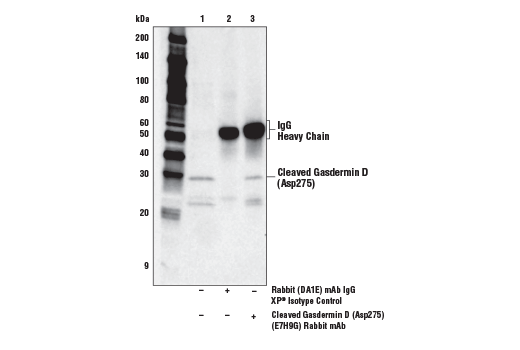
Immunoprecipitation of Cleaved Gasdermin D (Asp725) from THP-1 cells differentiated with TPA #4174 (50 ng/ml, overnight) and then treated with LPS #14011 (5 μg/ml, 6 hr). Lane 1 is 10% input, lane 2 is Rabbit (DA1E) mAb IgG XP® Isotype Control #3900, and lane 3 is Cleaved Gasdermin D (Asp275) (E7H9G) Rabbit mAb. Western blot was performed using Cleaved Gasdermin D (Asp275) (E7H9G) Rabbit mAb. Anti-rabbit IgG, HRP-linked Antibody #7074 was used as a secondary antibody.
undefined Image 12: Pyroptosis Antibody Sampler Kit
Orders: 877-616-CELL (2355) [email protected] Support: 877-678-TECH (8324) [email protected] Web: cellsignal.com
For Research Use Only. Not for Use in Diagnostic Procedures.

Revision 3

Cell Signaling Technology Logo
Western blot analysis of extracts from COS cells, untransfected or transfected with human caspase-1, using Caspase-1 (D7F10) Rabbit mAb.
undefined Image 13: Pyroptosis Antibody Sampler Kit
Western blot analysis of extracts from the media of THP-1 cells, differentiated with TPA #9905 (80 nM, overnight) followed by treatment with LPS (1 ug/ml, 8 hours), using Cleaved Caspase-1 (Asp297) (D57A2) Rabbit mAb.
undefined Image 14: Pyroptosis Antibody Sampler Kit
Western blot analyis of extracts from recombinant, active caspase-1, -4, and -5 using Caspase-4 Antibody.
undefined Image 15: Pyroptosis Antibody Sampler Kit
Orders: 877-616-CELL (2355) [email protected] Support: 877-678-TECH (8324) [email protected] Web: cellsignal.com
For Research Use Only. Not for Use in Diagnostic Procedures.

Revision 3

Cell Signaling Technology Logo
Western blot analysis of extracts form 293T cells, mock transfected (-) or transfected with constructs expressing full-length human caspase-4 protein (hCasp4; +) or caspase-5 protein (hCasp5; +), using Caspase-5 (D3G4W) Rabbit mAb (upper) and GAPDH (D16H11) XP® Rabbit mAb #5174 (lower).
undefined Image 16: Pyroptosis Antibody Sampler Kit
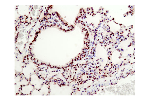
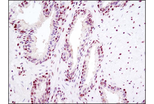
Immunohistochemical analysis of paraffin-embedded mouse lung using HMGB1 (D3E5) Rabbit mAb.
undefined Image 17: Pyroptosis Antibody Sampler Kit
Western blot analysis of extracts from the media of mouse bone marrow derived macrophages (mBMDM), untreated (-) or treated with Lipopolysaccharides (LPS) #14011 (50 ng/ml, 4 hr; +) followed by Nigericin (15 μM, 45 min; +), using HMGB1 (D3E5) Rabbit mAb.
undefined Image 18: Pyroptosis Antibody Sampler Kit
Orders: 877-616-CELL (2355) [email protected] Support: 877-678-TECH (8324) [email protected] Web: cellsignal.com
For Research Use Only. Not for Use in Diagnostic Procedures.

Revision 3

Cell Signaling Technology Logo
Western blot analysis of extracts from cells or media collected from THP-1 cells, differentiated with TPA #4147 (80 nM, overnight) and subsequently treated with (+) or without (-) Lipopolysaccharides (LPS) #14011 (1 μg/ml, 6 hr), using Cleaved-IL-1β (Asp116) (D3A3Z) Rabbit mAb.
undefined Image 19: Pyroptosis Antibody Sampler Kit
Western blot analysis of extracts from various cell lines using Gasdermin D (E8G3F) Rabbit mAb (upper) or GAPDH (D16H11) XP® Rabbit mAb #5174 (lower).
undefined Image 20: Pyroptosis Antibody Sampler Kit
Confocal immunofluorescent analysis of THP-1 cells, untreated (left) or LPS-treated (500 ng/ml, 2 hr; right), using IL-1β (D3U3E) Rabbit mAb (green). Actin filaments were labeled with DY-554 phalloidin (red).
undefined Image 21: Pyroptosis Antibody Sampler Kit
Orders: 877-616-CELL (2355) [email protected] Support: 877-678-TECH (8324) [email protected] Web: cellsignal.com
For Research Use Only. Not for Use in Diagnostic Procedures.

Revision 3

Cell Signaling Technology Logo
Immunohistochemical analysis of paraffin-embedded human ductal breast carcinoma using Cleaved Gasdermin D (Asp275) (E7H9G) Rabbit mAb.
undefined Image 22: Pyroptosis Antibody Sampler Kit
Immunohistochemical analysis of paraffin-embedded human colon carcioma using HMGB1 (D3E5) Rabbit mAb.
undefined Image 23: Pyroptosis Antibody Sampler Kit
Western blot analysis of extracts from THP-1 cells, differentiated with TPA #4174 (50 ng/ml, overnight) and then treated with LPS #14011 (5 μg/ml, indicated times), using Gasdermin D (E8G3F) Rabbit mAb (upper) or GAPDH (D16H11) XP® Rabbit mAb #5174 (lower).
undefined Image 24: Pyroptosis Antibody Sampler Kit
Orders: 877-616-CELL (2355) [email protected] Support: 877-678-TECH (8324) [email protected] Web: cellsignal.com
For Research Use Only. Not for Use in Diagnostic Procedures.

Revision 3

Cell Signaling Technology Logo
Flow cytometric analysis of THP-1, untreated (blue, negative) or treated with LPS #14011 (100 ng/ml, 3 hr; green, positive) using IL-1β (D3U3E) Rabbit mAb (solid lines) or concentration-matched Rabbit (DA1E) mAb IgG XP® Isotype Control #3900 (dashed lines). Anti-rabbit IgG (H+L), F(ab')₂ Fragment (Alexa Fluor® 488 Conjugate) #4412 was used as a secondary antibody.
undefined Image 25: Pyroptosis Antibody Sampler Kit
Immunohistochemical analysis of paraffin-embedded human colon carcinoma using Cleaved Gasdermin D (Asp275) (E7H9G) Rabbit mAb in the presence of non-cleaved Gasdermin D peptide (left) or Asp275 cleavage-specific Gasdermin D peptide (right).
undefined Image 26: Pyroptosis Antibody Sampler Kit
Immunohistochemical analysis of paraffin-embedded human lung carcioma using HMGB1 (D3E5) Rabbit mAb.
undefined Image 27: Pyroptosis Antibody Sampler Kit
Orders: 877-616-CELL (2355) [email protected] Support: 877-678-TECH (8324) [email protected] Web: cellsignal.com
For Research Use Only. Not for Use in Diagnostic Procedures.

Revision 3

Cell Signaling Technology Logo
Confocal immunofluorescent analysis of THP-1 cells, differentiated with TPA #4174 (80 nM, 24 hr) and subsequently treated with (right) or without (left) Lipopolysaccharides (LPS) #14011 (1 μg/ml, 6 hr), using Cleaved-IL-1β (Asp116) (D3A3Z) Rabbit mAb (green). Actin filaments were labeled with DyLight™ 554 Phalloidin #13054 (red). Blue pseudocolor = DRAQ5® #4084 (fluorescent DNA dye).
undefined Image 28: Pyroptosis Antibody Sampler Kit
Immunoprecipitation of Gasdermin D protein from THP-1 cell extracts. Lane 1 is 10% input, lane 2 is Rabbit (DA1E) mAb IgG XP® Isotype Control #3900, and lane 3 is Gasdermin D (E8G3F) Rabbit mAb. Western blot analysis was performed using Gasdermin D (E8G3F) Rabbit mAb. Mouse Anti-rabbit IgG (Conformation Specific) (L27A9) mAb (HRP Conjugate) #5127 was used as a secondary antibody.
undefined Image 29: Pyroptosis Antibody Sampler Kit
Immunohistochemical analysis of paraffin-embedded human squamous cell lung carcinoma using Cleaved Gasdermin D (Asp275) (E7H9G) Rabbit mAb.
undefined Image 30: Pyroptosis Antibody Sampler Kit
Orders: 877-616-CELL (2355) [email protected] Support: 877-678-TECH (8324) [email protected] Web: cellsignal.com
For Research Use Only. Not for Use in Diagnostic Procedures.

Revision 3

Cell Signaling Technology Logo
Immunohistochemical analysis of paraffin-embedded human prostate carcioma using HMGB1 (D3E5) Rabbit mAb.
undefined Image 31: Pyroptosis Antibody Sampler Kit
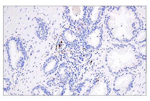
Immunohistochemical analysis of paraffin-embedded human non-Hodgkin's Lymphoma using Cleaved Gasdermin D (Asp275) (E7H9G) Rabbit mAb.
undefined Image 32: Pyroptosis Antibody Sampler Kit
Immunohistochemical analysis of paraffin-embedded human prostate carcinoma using Cleaved Gasdermin D (Asp275) (E7H9G) Rabbit mAb.
undefined Image 33: Pyroptosis Antibody Sampler Kit
Orders: 877-616-CELL (2355) [email protected] Support: 877-678-TECH (8324) [email protected] Web: cellsignal.com
For Research Use Only. Not for Use in Diagnostic Procedures.

Revision 3

Cell Signaling Technology Logo
Immunohistochemical analysis of paraffin-embedded human spleen (left, positive) and skeletal muscle (right, negative) using Cleaved Gasdermin D (Asp275) (E7H9G) Rabbit mAb.
undefined Image 34: Pyroptosis Antibody Sampler Kit
Immunohistochemical analysis of paraffin-embedded THP-1 cell pellets, differentiated with TPA #4174 (left) and then treated with LPS #14011 (right), using Cleaved Gasdermin D (Asp275) (E7H9G) Rabbit mAb.
undefined Image 35: Pyroptosis Antibody Sampler Kit
Immunohistochemical analysis of paraffin-embedded human ulcerative colitis using Cleaved Gasdermin D (Asp275) (E7H9G) Rabbit mAb.
undefined Image 36: Pyroptosis Antibody Sampler Kit
Orders: 877-616-CELL (2355) [email protected] Support: 877-678-TECH (8324) [email protected] Web: cellsignal.com
For Research Use Only. Not for Use in Diagnostic Procedures.

Revision 3

Cell Signaling Technology Logo
Simple Western™ analysis of lysates (0.1 mg/mL) from THP-1 cells treated with TPA (80nM, O/N) + LPS (1 µg/ml 15min) using IL-1β (D3U3E) Rabbit mAb #12703. The virtual lane view (left) shows the target band (as indicated) at 1:10 and 1:50 dilutions of primary antibody. The corresponding electropherogram view (right) plots chemiluminescence by molecular weight along the capillary at 1:10 (blue line) and 1:50 (green line) dilutions of primary antibody. This experiment was performed under reducing conditions on the Jess™ Simple Western instrument from ProteinSimple, a BioTechne brand, using the 12-230 kDa separation module.
undefined Image 37: Pyroptosis Antibody Sampler Kit

Simple WesternTM analysis of lysates (1.0 mg/mL) from THP-1 cells using Caspase-1 (D7F10) Rabbit mAb #3866. The virtual lane view (left) shows the target band (as indicated) at 1:10 and 1:50 dilutions of primary antibody. The corresponding electropherogram view (right) plots chemiluminescence by molecular weight along the capillary at 1:10 (blue line) and 1:50 (green line) dilutions of primary antibody. This experiment was performed under reducing conditions on the JessTM Simple Western instrument from ProteinSimple, a BioTechne brand, using the 12-230 kDa separation module.

undefined Image 38: Pyroptosis Antibody Sampler Kit
Orders: 877-616-CELL (2355) [email protected] Support: 877-678-TECH (8324) [email protected] Web: cellsignal.com
For Research Use Only. Not for Use in Diagnostic Procedures.