Revision 6

#95746

Store at -20C

CST Logo
Orders:

877-616-CELL (2355)

[email protected]

Support:

877-678-TECH (8324)

3 Trask Lane | Danvers | Massachusetts | 01923 | USA

For Research Use Only. Not for Use in Diagnostic Procedures.

Applications:
W, IP, IHC-P, IF-F, IF-IC

Reactivity:
H M R Mk

Sensitivity:
Endogenous

MW (kDa):
23

Source/Isotype:
Mouse IgG1

UniProt ID:
#P51149

Entrez-Gene Id:
7879

Product Usage Information

Application Dilution
Western Blotting 1:1000
Immunoprecipitation 1:50
Immunohistochemistry (Paraffin) 1:100 - 1:400
Immunofluorescence (Frozen) 1:50 - 1:200
Immunofluorescence (Immunocytochemistry) 1:50 - 1:200

Storage

Supplied in 10 mM sodium HEPES (pH 7.5), 150 mM NaCl, 100 µg/ml BSA, 50% glycerol and less than 0.02% sodium azide. Store at –20°C. Do not aliquot the antibody.

Specificity/Sensitivity

Rab7 (E9O7E) Mouse Monoclonal Antibody recognizes endogenous levels of total Rab7 protein.

Source / Purification

Monoclonal antibody is produced by immunizing animals with a synthetic peptide corresponding to residues surrounding Glu188 of human Rab7 protein.

Background

Rab7 and Rab9 are members of the Ras superfamily of small Rab GTPases (1). Both proteins are located in late endosomes, but exert different functions. Rab7 associates with the RIPL effector protein to control membrane trafficking from early to late endosomes and to lysosomes (2,3). Rab7 also helps to regulate growth receptor endocytic trafficking and degradation (3,4), and maturation of phagosome and autophagic vacuoles (4-6). Rab9 interacts with its effector proteins p40 and TIP47 (7,8) to promote the MPR (mannose 6-phosphate receptor)-associated lysosomal enzyme transport between late endosomes and the trans Golgi network (9,10).

Species Reactivity

Species reactivity is determined by testing in at least one approved application (e.g., western blot).

Western Blot Buffer

IMPORTANT: For western blots, incubate membrane with diluted primary antibody in 5% w/v nonfat dry milk, 1X TBS, 0.1% Tween® 20 at 4°C with gentle shaking, overnight.

Applications Key

W: Western Blotting IP: Immunoprecipitation IHC-P: Immunohistochemistry (Paraffin) IF-F: Immunofluorescence (Frozen) IF-IC: Immunofluorescence (Immunocytochemistry)

Cross-Reactivity Key

H: Human M: Mouse R: Rat Mk: Monkey

Trademarks and Patents

Cell Signaling Technology is a trademark of Cell Signaling Technology, Inc.

SignalStain is a registered trademark of Cell Signaling Technology, Inc.

All other trademarks are the property of their respective owners. Visit cellsignal.com/trademarks for more information.

Limited Uses

Except as otherwise expressly agreed in a writing signed by a legally authorized representative of CST, the following terms apply to Products provided by CST, its affiliates or its distributors. Any Customer's terms and conditions that are in addition to, or different from, those contained herein, unless separately accepted in writing by a legally authorized representative of CST, are rejected and are of no force or effect.

Products are labeled with For Research Use Only or a similar labeling statement and have not been approved, cleared, or licensed by the FDA or other regulatory foreign or domestic entity, for any purpose. Customer shall not use any Product for any diagnostic or therapeutic purpose, or otherwise in any manner that conflicts with its labeling statement. Products sold or licensed by CST are provided for Customer as the end-user and solely for research and development uses. Any use of Product for diagnostic, prophylactic or therapeutic purposes, or any purchase of Product for resale (alone or as a component) or other commercial purpose, requires a separate license from CST. Customer shall (a) not sell, license, loan, donate or otherwise transfer or make available any Product to any third party, whether alone or in combination with other materials, or use the Products to manufacture any commercial products, (b) not copy, modify, reverse engineer, decompile, disassemble or otherwise attempt to discover the underlying structure or technology of the Products, or use the Products for the purpose of developing any products or services that would compete with CST products or services, (c) not alter or remove from the Products any trademarks, trade names, logos, patent or copyright notices or markings, (d) use the Products solely in accordance with CST Product Terms of Sale and any applicable documentation, and (e) comply with any license, terms of service or similar agreement with respect to any third party products or services used by Customer in connection with the Products.

Orders: 877-616-CELL (2355) [email protected] Support: 877-678-TECH (8324) [email protected] Web: cellsignal.com
For Research Use Only. Not for Use in Diagnostic Procedures.

Revision 6

Cell Signaling Technology Logo
Western blot analysis of extracts from various cell lines using Rab7 (E9O7E) Mouse mAb.
Western Blotting Image 1: Rab7 (E9O7E) Mouse Monoclonal Antibody
Immunoprecipitation of Rab7 protein from HeLa cell extracts. Lane 1 is 10% input, lane 2 is Mouse (G3A1) mAb IgG1 Isotype Control #5415, and lane 3 is Rab7 (E9O7E) Mouse mAb. Western blot analysis was performed using Rab7 (E9O7E) Mouse mAb.
Immunoprecipitation Image 1: Rab7 (E9O7E) Mouse Monoclonal Antibody
Immunohistochemical analysis of paraffin-embedded human bladder adenocarcinoma using Rab7 (E9O7E) Mouse mAb.
Immunohistochemistry Image 1: Rab7 (E9O7E) Mouse Monoclonal Antibody
Orders: 877-616-CELL (2355) [email protected] Support: 877-678-TECH (8324) [email protected] Web: cellsignal.com
For Research Use Only. Not for Use in Diagnostic Procedures.

Revision 6

Cell Signaling Technology Logo
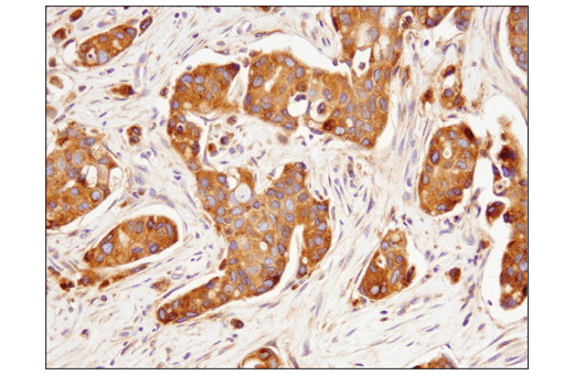
Immunohistochemical analysis of paraffin-embedded human breast carcinoma using Rab7 (E9O7E) Mouse mAb.
Immunohistochemistry Image 2: Rab7 (E9O7E) Mouse Monoclonal Antibody
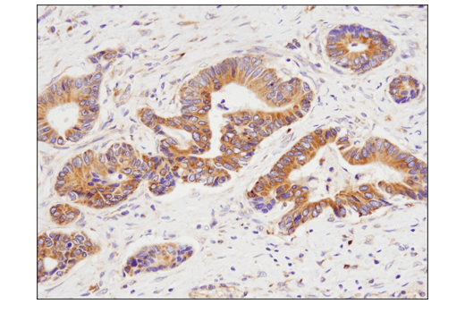
Immunohistochemical analysis of paraffin-embedded human colon adenocarcinoma using Rab7 (E9O7E) Mouse mAb.
Immunohistochemistry Image 3: Rab7 (E9O7E) Mouse Monoclonal Antibody
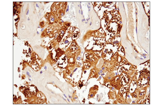
Immunohistochemical analysis of paraffin-embedded human renal cell carcinoma using Rab7 (E9O7E) Mouse mAb.
Immunohistochemistry Image 4: Rab7 (E9O7E) Mouse Monoclonal Antibody
Orders: 877-616-CELL (2355) [email protected] Support: 877-678-TECH (8324) [email protected] Web: cellsignal.com
For Research Use Only. Not for Use in Diagnostic Procedures.

Revision 6

Cell Signaling Technology Logo
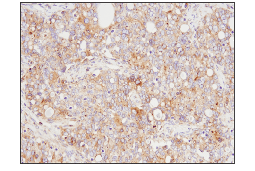
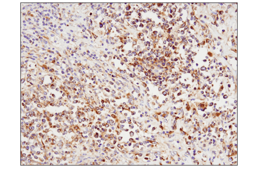
Immunohistochemical analysis of paraffin-embedded human non-Hodgkin's lymphoma using Rab7 (E9O7E) Mouse mAb.
Immunohistochemistry Image 5: Rab7 (E9O7E) Mouse Monoclonal Antibody
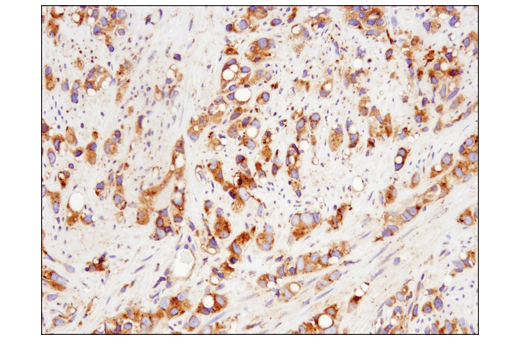
Immunohistochemical analysis of paraffin-embedded human ovarian carcinoma using Rab7 (E9O7E) Mouse mAb.
Immunohistochemistry Image 6: Rab7 (E9O7E) Mouse Monoclonal Antibody
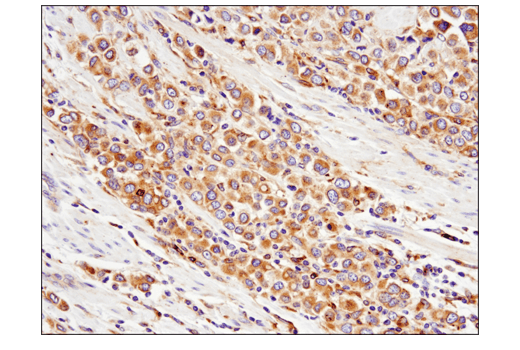
Immunohistochemical analysis of paraffin-embedded human prostate carcinoma using Rab7 (E9O7E) Mouse mAb.
Immunohistochemistry Image 7: Rab7 (E9O7E) Mouse Monoclonal Antibody
Orders: 877-616-CELL (2355) [email protected] Support: 877-678-TECH (8324) [email protected] Web: cellsignal.com
For Research Use Only. Not for Use in Diagnostic Procedures.

Revision 6

Cell Signaling Technology Logo
Confocal immunofluorescent analysis of fixed frozen mouse hippocampus labeled with Rab7 (E9O7E) Mouse mAb #95746 (left, green) and co-labeled with GFAP (E4L7M) XP® Rabbit mAb #80788 (right, red) and DAPI #4083 (right, blue).
Immunofluorescence Image 1: Rab7 (E9O7E) Mouse Monoclonal Antibody
Projected confocal z-stack of fixed frozen mouse corpus callosum labeled with Rab7 (E9O7E) Mouse mAb #95746 (left, green) and co-labeled with GFAP (E4L7M) XP® Rabbit mAb #80788 (right, red) and DAPI #4083 (right, blue).
Immunofluorescence Image 2: Rab7 (E9O7E) Mouse Monoclonal Antibody
Confocal immunofluorescent analysis of fixed frozen mouse brain from an amyloid mouse model of Alzheimer's disease labeled with Rab7 (E9O7E) Mouse mAb #95746 (left, green) and co-labeled with GFAP (E4L7M) XP® Rabbit mAb #80788 (right, red), and DAPI #4083 (right, blue).
Immunofluorescence Image 3: Rab7 (E9O7E) Mouse Monoclonal Antibody
Orders: 877-616-CELL (2355) [email protected] Support: 877-678-TECH (8324) [email protected] Web: cellsignal.com
For Research Use Only. Not for Use in Diagnostic Procedures.

Revision 6

Cell Signaling Technology Logo
Confocal immunofluorescent analysis of SK-MEL-28 cells using Rab7 (E9O7E) Mouse mAb (green). Actin filaments were labeled with DyLight™ 554 Phalloidin #13054 (red). Samples were mounted in ProLong® Gold Antifade Reagent with DAPI #8961 (blue).
Immunofluorescence Image 1: Rab7 (E9O7E) Mouse Monoclonal Antibody
Orders: 877-616-CELL (2355) [email protected] Support: 877-678-TECH (8324) [email protected] Web: cellsignal.com
For Research Use Only. Not for Use in Diagnostic Procedures.