Revision 6

#5432

Store at -20C

CST Logo
Orders:

877-616-CELL (2355)

[email protected]

Support:

877-678-TECH (8324)

3 Trask Lane | Danvers | Massachusetts | 01923 | USA

For Research Use Only. Not for Use in Diagnostic Procedures.

Applications:
W, IP, IHC-P, eCLIP

Reactivity:
H M R Mk Dm

Sensitivity:
Endogenous

MW (kDa):
32

Source/Isotype:
Rabbit IgG

UniProt ID:
#P63244

Entrez-Gene Id:
10399

Product Usage Information

Application Dilution
Western Blotting 1:1000
Immunoprecipitation 1:50
Immunohistochemistry (Paraffin) 1:400 - 1:1600
eCLIP 1:200
For more information about the RBP-eCLIP service please visit Eclipsebio.

Storage

Supplied in 10 mM sodium HEPES (pH 7.5), 150 mM NaCl, 100 µg/ml BSA, 50% glycerol and less than 0.02% sodium azide. Store at –20°C. Do not aliquot the antibody.

For a carrier free (BSA and azide free) version of this product see product #37124.

Specificity/Sensitivity

RACK1 (D59D5) Rabbit Monoclonal Antibody recognizes endogenous levels of total RACK1 protein.

Source / Purification

Monoclonal antibody is produced by immunizing animals with a synthetic peptide corresponding to central residues of human RACK1 protein.

Background

The highly conserved receptor for activated C kinase 1 (RACK1), homologous to the β subunit of heterotrimeric G-proteins, was originally identified through its binding of active PKCβII and other classical PKC isoforms (1). RACK1 is a scaffold protein that recruits PKC and a wide range of other proteins to specific subcellular locations, promoting the formation of multiprotein complexes to induce and integrate various signaling pathways (reviewed in 2). One example of this is its enhancement of PKC-dependent JNK activation (3). RACK1 protein also resides in the eukaryotic ribosome, suggesting the possibility that RACK1 participates in the assembly of signaling complexes that regulate translation as well (reviewed in 4). RACK1 binds the SH2 domain of Src, and phosphorylation of RACK1 by Src occurs at Tyr228 after PKC activation (5).

Species Reactivity

Species reactivity is determined by testing in at least one approved application (e.g., western blot).

Western Blot Buffer

IMPORTANT: For western blots, incubate membrane with diluted primary antibody in 5% w/v nonfat dry milk, 1X TBS, 0.1% Tween® 20 at 4°C with gentle shaking, overnight.

Applications Key

W: Western Blotting IP: Immunoprecipitation IHC-P: Immunohistochemistry (Paraffin) eCLIP: eCLIP

Cross-Reactivity Key

H: Human M: Mouse R: Rat Mk: Monkey Dm: D. melanogaster

Trademarks and Patents

Cell Signaling Technology is a trademark of Cell Signaling Technology, Inc.

All other trademarks are the property of their respective owners. Visit cellsignal.com/trademarks for more information.

Limited Uses

Except as otherwise expressly agreed in a writing signed by a legally authorized representative of CST, the following terms apply to Products provided by CST, its affiliates or its distributors. Any Customer's terms and conditions that are in addition to, or different from, those contained herein, unless separately accepted in writing by a legally authorized representative of CST, are rejected and are of no force or effect.

Products are labeled with For Research Use Only or a similar labeling statement and have not been approved, cleared, or licensed by the FDA or other regulatory foreign or domestic entity, for any purpose. Customer shall not use any Product for any diagnostic or therapeutic purpose, or otherwise in any manner that conflicts with its labeling statement. Products sold or licensed by CST are provided for Customer as the end-user and solely for research and development uses. Any use of Product for diagnostic, prophylactic or therapeutic purposes, or any purchase of Product for resale (alone or as a component) or other commercial purpose, requires a separate license from CST. Customer shall (a) not sell, license, loan, donate or otherwise transfer or make available any Product to any third party, whether alone or in combination with other materials, or use the Products to manufacture any commercial products, (b) not copy, modify, reverse engineer, decompile, disassemble or otherwise attempt to discover the underlying structure or technology of the Products, or use the Products for the purpose of developing any products or services that would compete with CST products or services, (c) not alter or remove from the Products any trademarks, trade names, logos, patent or copyright notices or markings, (d) use the Products solely in accordance with CST Product Terms of Sale and any applicable documentation, and (e) comply with any license, terms of service or similar agreement with respect to any third party products or services used by Customer in connection with the Products.

Orders: 877-616-CELL (2355) [email protected] Support: 877-678-TECH (8324) [email protected] Web: cellsignal.com
For Research Use Only. Not for Use in Diagnostic Procedures.

Revision 6

Cell Signaling Technology Logo
Western blot analysis of extracts from various cell types using RACK1 (D59D5) Rabbit mAb.
Western Blotting Image 1: RACK1 (D59D5) Rabbit Monoclonal Antibody
Immunoprecipitation of RACK1 from HeLa cell lysates using RACK1 (D59D5) Rabbit mAb. Western blot was performed using the same antibody.
Immunoprecipitation Image 1: RACK1 (D59D5) Rabbit Monoclonal Antibody
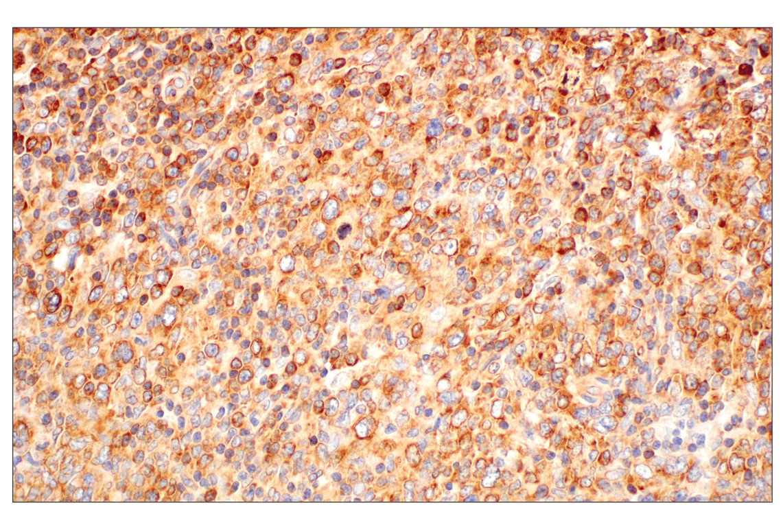
Immunohistochemical analysis of paraffin-embedded human urothelial carcinoma using RACK1 (D59D5) Rabbit mAb.
Immunohistochemistry Image 1: RACK1 (D59D5) Rabbit Monoclonal Antibody
Orders: 877-616-CELL (2355) [email protected] Support: 877-678-TECH (8324) [email protected] Web: cellsignal.com
For Research Use Only. Not for Use in Diagnostic Procedures.

Revision 6

Cell Signaling Technology Logo
Immunohistochemical analysis of paraffin-embedded human endometrioid carcinoma using RACK1 (D59D5) Rabbit mAb.
Immunohistochemistry Image 2: RACK1 (D59D5) Rabbit Monoclonal Antibody
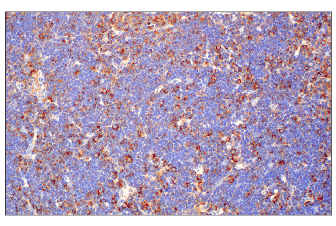
Immunohistochemical analysis of paraffin-embedded human B-cell non-Hodgkin lymphoma using RACK1 (D59D5) Rabbit mAb.
Immunohistochemistry Image 3: RACK1 (D59D5) Rabbit Monoclonal Antibody
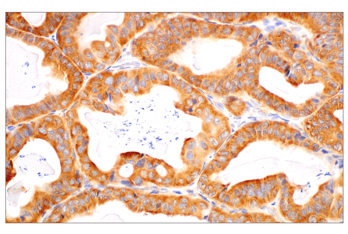
Immunohistochemical analysis of paraffin-embedded normal human pancreas using RACK1 (D59D5) Rabbit mAb.
Immunohistochemistry Image 4: RACK1 (D59D5) Rabbit Monoclonal Antibody
Orders: 877-616-CELL (2355) [email protected] Support: 877-678-TECH (8324) [email protected] Web: cellsignal.com
For Research Use Only. Not for Use in Diagnostic Procedures.

Revision 6

Cell Signaling Technology Logo
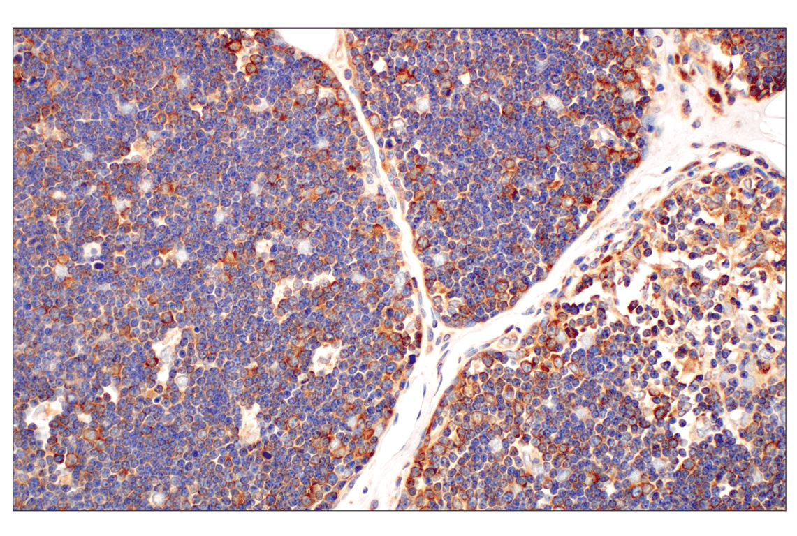
Immunohistochemical analysis of paraffin-embedded normal human thymus using RACK1 (D59D5) Rabbit mAb.
Immunohistochemistry Image 5: RACK1 (D59D5) Rabbit Monoclonal Antibody
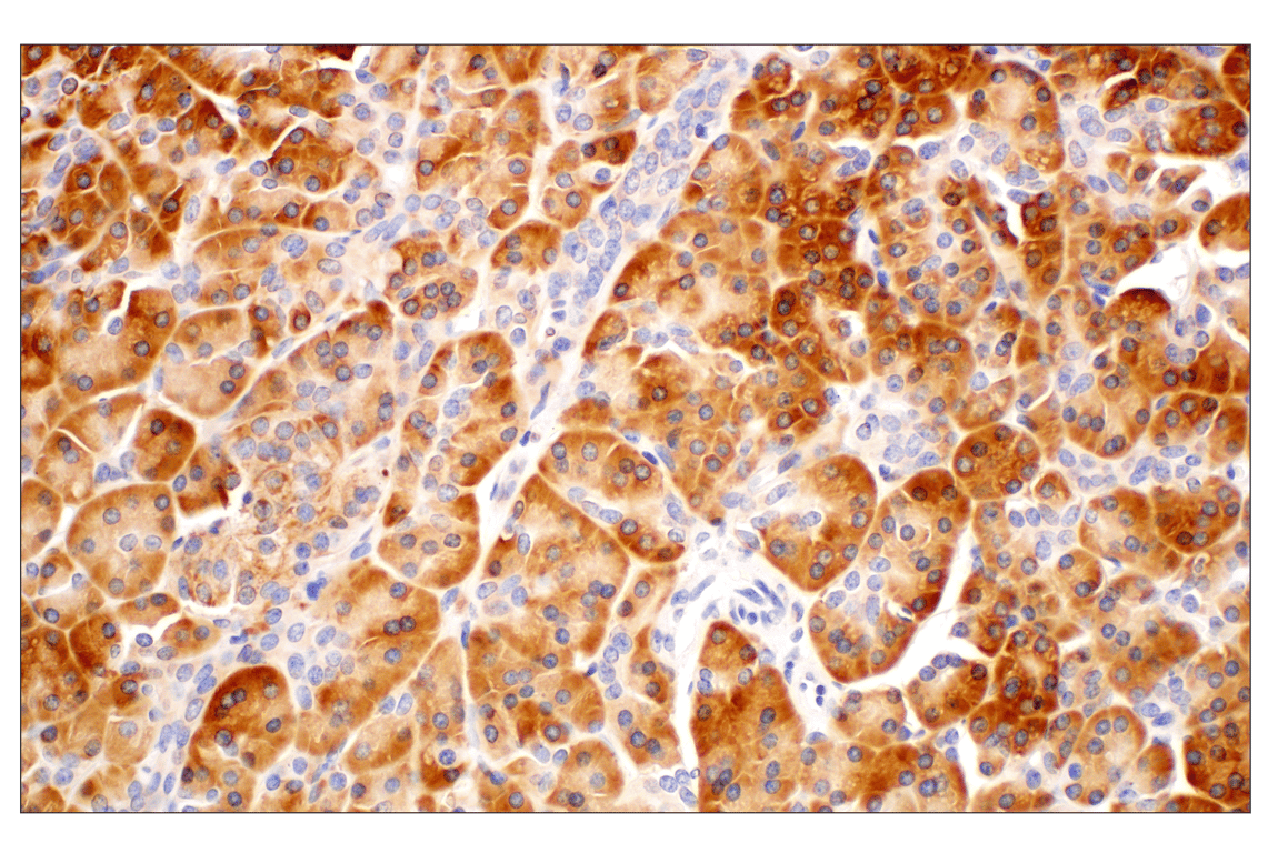
Immunohistochemical analysis of paraffin-embedded normal human salivary gland using RACK1 (D59D5) Rabbit mAb.
Immunohistochemistry Image 6: RACK1 (D59D5) Rabbit Monoclonal Antibody
Immunohistochemical analysis of paraffin-embedded 4T1 syngeneic tumor using RACK1 (D59D5) Rabbit mAb.
Immunohistochemistry Image 7: RACK1 (D59D5) Rabbit Monoclonal Antibody
Orders: 877-616-CELL (2355) [email protected] Support: 877-678-TECH (8324) [email protected] Web: cellsignal.com
For Research Use Only. Not for Use in Diagnostic Procedures.

Revision 6

Cell Signaling Technology Logo
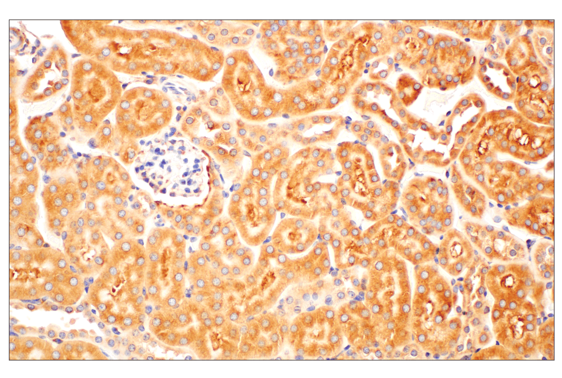
Immunohistochemical analysis of paraffin-embedded mouse kidney using RACK1 (D59D5) Rabbit mAb.
Immunohistochemistry Image 8: RACK1 (D59D5) Rabbit Monoclonal Antibody
Immunohistochemical analysis of paraffin-embedded mouse testis using RACK1 (D59D5) Rabbit mAb.
Immunohistochemistry Image 9: RACK1 (D59D5) Rabbit Monoclonal Antibody
Immunohistochemical analysis of paraffin-embedded mouse thymus using RACK1 (D59D5) Rabbit mAb.
Immunohistochemistry Image 10: RACK1 (D59D5) Rabbit Monoclonal Antibody
Orders: 877-616-CELL (2355) [email protected] Support: 877-678-TECH (8324) [email protected] Web: cellsignal.com
For Research Use Only. Not for Use in Diagnostic Procedures.

Revision 6

Cell Signaling Technology Logo
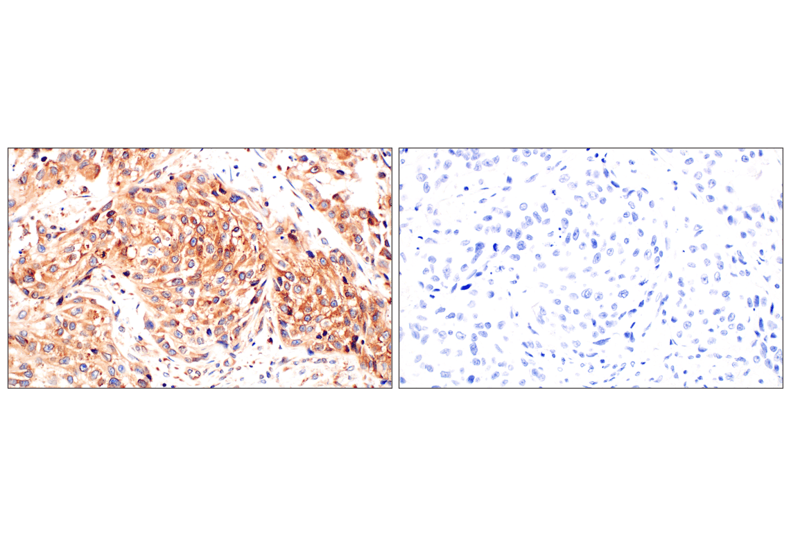
Immunohistochemical analysis of paraffin-embedded human urothelial carcinoma using RACK1 (D59D5) Rabbit mAb (left) compared to concentration-matched Rabbit (DA1E) mAb IgG XP® Isotype Control #3900 (right).
Immunohistochemistry Image 11: RACK1 (D59D5) Rabbit Monoclonal Antibody
Enhanced cross-linking and immunoprecipitation (eCLIP) was performed with RNA from Hep G2 cells and RACK1 (D59D5) Rabbit mAb using a protocol based on the RBP-eCLIP method from Eclipsebio. The figure shows binding across the FAM120B transcript. Data is kindly provided by the laboratory of Dr. Gene Yeo and used with permission.
eCLIP Image 1: RACK1 (D59D5) Rabbit Monoclonal Antibody
Orders: 877-616-CELL (2355) [email protected] Support: 877-678-TECH (8324) [email protected] Web: cellsignal.com
For Research Use Only. Not for Use in Diagnostic Procedures.