Revision 3

#61915

Store at -20C

CST Logo
Orders:

877-616-CELL (2355)

[email protected]

Support:

877-678-TECH (8324)

3 Trask Lane | Danvers | Massachusetts | 01923 | USA

For Research Use Only. Not for Use in Diagnostic Procedures.

Applications:
IHC-Bond, IHC-P

Reactivity:
H

Sensitivity:
Endogenous

Source/Isotype:
Rabbit IgG

UniProt ID:
#Q92878

Entrez-Gene Id:
10111

Product Usage Information

Application Dilution
IHC Leica Bond 1:800 - 1:3200
Immunohistochemistry (Paraffin) 1:200 - 1:800

Storage

Supplied in 10 mM sodium HEPES (pH 7.5), 150 mM NaCl, 100 µg/mL BSA, 50% glycerol, and less than 0.02% sodium azide. Store at –20°C. Do not aliquot the antibody.

For a carrier free (BSA and azide free) version of this product see product #58111.

Specificity/Sensitivity

Rad50 (E4J5R) Rabbit Monoclonal Antibody recognizes endogenous levels of total Rad50 protein.

Source / Purification

Monoclonal antibody is produced by immunizing animals with recombinant protein specific to the amino terminus of human Rad50 protein.

Background

The DNA repair protein Rad50 is a member of the structural maintenance of chromosomes (SMC) family and plays an important role in cell cycle checkpoint signaling and double-strand break repair in response to DNA damage (1-4). Rad50 forms a complex with Mre11 and NBS1 that becomes activated in response to DNA damage (3). In normal human cells, the MRN complex acts to tether linear DNA molecules, providing a flexible link between DNA ends (1). Genomic instability and cancer have been shown to develop in cells with genetic mutations affecting the proteins in the MRN complex (2). ATM-dependent phosphorylation of Rad50 at Ser635 in response to DNA damage is important in regulating downstream signaling, DNA repair, and checkpoint control (5).

Species Reactivity

Species reactivity is determined by testing in at least one approved application (e.g., western blot).

Applications Key

IHC-Bond: IHC Leica Bond IHC-P: Immunohistochemistry (Paraffin)

Cross-Reactivity Key

H: Human

Trademarks and Patents

Cell Signaling Technology is a trademark of Cell Signaling Technology, Inc.

All other trademarks are the property of their respective owners. Visit cellsignal.com/trademarks for more information.

Limited Uses

Except as otherwise expressly agreed in a writing signed by a legally authorized representative of CST, the following terms apply to Products provided by CST, its affiliates or its distributors. Any Customer's terms and conditions that are in addition to, or different from, those contained herein, unless separately accepted in writing by a legally authorized representative of CST, are rejected and are of no force or effect.

Products are labeled with For Research Use Only or a similar labeling statement and have not been approved, cleared, or licensed by the FDA or other regulatory foreign or domestic entity, for any purpose. Customer shall not use any Product for any diagnostic or therapeutic purpose, or otherwise in any manner that conflicts with its labeling statement. Products sold or licensed by CST are provided for Customer as the end-user and solely for research and development uses. Any use of Product for diagnostic, prophylactic or therapeutic purposes, or any purchase of Product for resale (alone or as a component) or other commercial purpose, requires a separate license from CST. Customer shall (a) not sell, license, loan, donate or otherwise transfer or make available any Product to any third party, whether alone or in combination with other materials, or use the Products to manufacture any commercial products, (b) not copy, modify, reverse engineer, decompile, disassemble or otherwise attempt to discover the underlying structure or technology of the Products, or use the Products for the purpose of developing any products or services that would compete with CST products or services, (c) not alter or remove from the Products any trademarks, trade names, logos, patent or copyright notices or markings, (d) use the Products solely in accordance with CST Product Terms of Sale and any applicable documentation, and (e) comply with any license, terms of service or similar agreement with respect to any third party products or services used by Customer in connection with the Products.

Orders: 877-616-CELL (2355) [email protected] Support: 877-678-TECH (8324) [email protected] Web: cellsignal.com
For Research Use Only. Not for Use in Diagnostic Procedures.

Revision 3

Cell Signaling Technology Logo

Immunohistochemical analysis of paraffin-embedded human urothelial carcinoma using Rad50 (E4J5R) Rabbit mAb performed on the Leica BOND Rx.

Immunohistochemistry Image 1: Rad50 (E4J5R) Rabbit Monoclonal Antibody
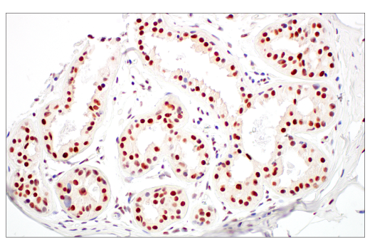
Immunohistochemical analysis of paraffin-embedded human prostate adenocarcinoma using Rad50 (E4J5R) Rabbit mAb performed on the Leica BOND Rx.
Immunohistochemistry Image 2: Rad50 (E4J5R) Rabbit Monoclonal Antibody
Immunohistochemical analysis of paraffin-embedded human colon adenocarcinoma using Rad50 (E4J5R) Rabbit mAb.
Immunohistochemistry Image 1: Rad50 (E4J5R) Rabbit Monoclonal Antibody
Orders: 877-616-CELL (2355) [email protected] Support: 877-678-TECH (8324) [email protected] Web: cellsignal.com
For Research Use Only. Not for Use in Diagnostic Procedures.

Revision 3

Cell Signaling Technology Logo
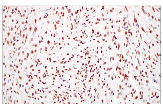
Immunohistochemical analysis of paraffin-embedded human endometroid adenocarcinoma using Rad50 (E4J5R) Rabbit mAb.
Immunohistochemistry Image 2: Rad50 (E4J5R) Rabbit Monoclonal Antibody
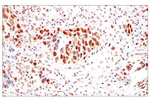
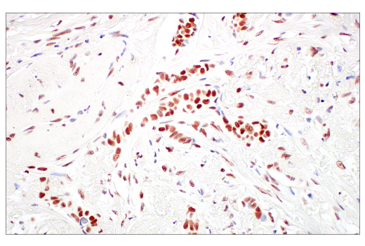
Immunohistochemical analysis of paraffin-embedded human soft tissue squamous cell carcinoma using Rad50 (E4J5R) Rabbit mAb
Immunohistochemistry Image 3: Rad50 (E4J5R) Rabbit Monoclonal Antibody
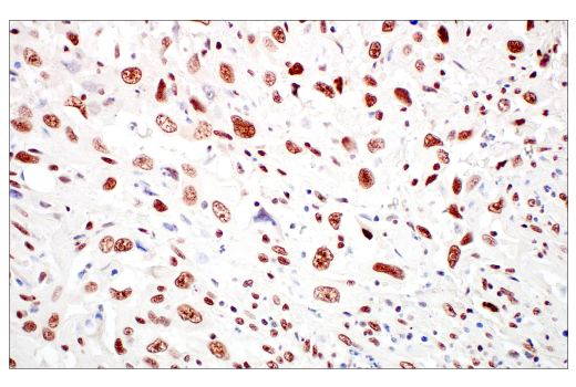
Immunohistochemical analysis of paraffin-embedded human lung sarcoma using Rad50 (E4J5R) Rabbit mAb.
Immunohistochemistry Image 4: Rad50 (E4J5R) Rabbit Monoclonal Antibody
Orders: 877-616-CELL (2355) [email protected] Support: 877-678-TECH (8324) [email protected] Web: cellsignal.com
For Research Use Only. Not for Use in Diagnostic Procedures.

Revision 3

Cell Signaling Technology Logo
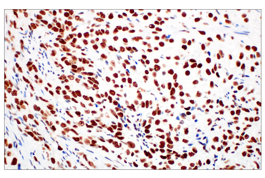
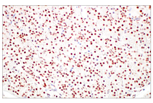
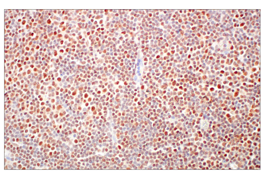
Immunohistochemical analysis of paraffin-embedded human B-cell non-Hodgkin lymphoma using Rad50 (E4J5R) Rabbit mAb.
Immunohistochemistry Image 5: Rad50 (E4J5R) Rabbit Monoclonal Antibody
Immunohistochemical analysis of paraffin-embedded human breast ductal carcinoma using Rad50 (E4J5R) Rabbit mAb.
Immunohistochemistry Image 6: Rad50 (E4J5R) Rabbit Monoclonal Antibody
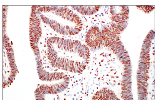
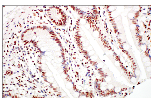
Immunohistochemical analysis of paraffin-embedded normal human small intestine using Rad50 (E4J5R) Rabbit mAb.
Immunohistochemistry Image 7: Rad50 (E4J5R) Rabbit Monoclonal Antibody
Orders: 877-616-CELL (2355) [email protected] Support: 877-678-TECH (8324) [email protected] Web: cellsignal.com
For Research Use Only. Not for Use in Diagnostic Procedures.

Revision 3

Cell Signaling Technology Logo
Immunohistochemical analysis of paraffin-embedded normal human pancreas using Rad50 (E4J5R) Rabbit mAb.
Immunohistochemistry Image 8: Rad50 (E4J5R) Rabbit Monoclonal Antibody
Immunohistochemical analysis of paraffin-embedded normal human breast using Rad50 (E4J5R) Rabbit mAb.
Immunohistochemistry Image 9: Rad50 (E4J5R) Rabbit Monoclonal Antibody
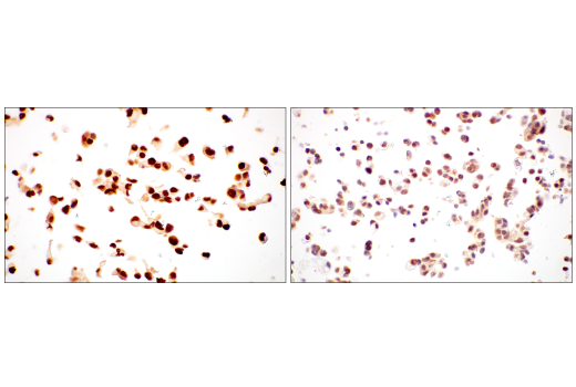
Immunohistochemical analysis of paraffin-embedded human ovarian serous adenocarcinoma using Rad50 (E4J5R) Rabbit mAb (left) compared to concentration-matched Rabbit (DA1E) mAb IgG XP® Isotype Control #3900 (right). 
Immunohistochemistry Image 10: Rad50 (E4J5R) Rabbit Monoclonal Antibody
Orders: 877-616-CELL (2355) [email protected] Support: 877-678-TECH (8324) [email protected] Web: cellsignal.com
For Research Use Only. Not for Use in Diagnostic Procedures.

Revision 3

Cell Signaling Technology Logo
Immunohistochemical analysis of paraffin-embedded PANC-1 cell pellet (left, high-expressing) or LS 180 cell pellet (right, low-expressing) using Rad50 (E4J5R) Rabbit mAb.
Immunohistochemistry Image 11: Rad50 (E4J5R) Rabbit Monoclonal Antibody
Orders: 877-616-CELL (2355) [email protected] Support: 877-678-TECH (8324) [email protected] Web: cellsignal.com
For Research Use Only. Not for Use in Diagnostic Procedures.