Revision 1

#89500

Store at -20C

CST Logo
Orders:

877-616-CELL (2355)

[email protected]

Support:

877-678-TECH (8324)

3 Trask Lane | Danvers | Massachusetts | 01923 | USA

For Research Use Only. Not for Use in Diagnostic Procedures.

Applications:
W, IP, IHC-P

Reactivity:
H M Mk

Sensitivity:
Endogenous

MW (kDa):
120, 130

Source/Isotype:
Rabbit IgG

UniProt ID:
#Q9ULJ6

Entrez-Gene Id:
57178

Product Usage Information

Application Dilution
Western Blotting 1:1000
Immunoprecipitation 1:50
Immunohistochemistry (Paraffin) 1:100 - 1:400

Storage

Supplied in 10 mM sodium HEPES (pH 7.5), 150 mM NaCl, 100 µg/ml BSA, 50% glycerol and less than 0.02% sodium azide. Store at –20°C. Do not aliquot the antibody.

Specificity/Sensitivity

RAI17/ZMIZ1 (E2X3X) Rabbit Monoclonal Antibody recognizes endogenous levels of total RAI17/ZMIZ1 protein.

Source / Purification

Monoclonal antibody is produced by immunizing animals with a synthetic peptide corresponding to residues surrounding Pro902 of human RAI17/ZMIZ1 protein.

Background

ZMIZ1, also known as ZIMP10 or RAI17, is a member of the Protein Inhibitor of Activated STAT (PIAS)-like family of transcriptional coregulators (1). ZMIZ1 was initially discovered as a novel coregulator of the androgen receptor (AR) and was shown to augment AR activity by enhancing sumoylation of the receptor (2). Subsequent studies have shown that ZMIZ1 can also act as a transcriptional coactivator of p53 (3) and SMAD3 (4). During thymopoiesis, ZMIZ1 was shown to promote pre-T-cell proliferation through cooperative induction of a subset of NOTCH target genes (5). In T-cell acute lymphoblastic leukemia (T-ALL) cells, ZMIZ1 was shown to engage directly with NOTCH1 through an N-terminal tetratricopeptide repeat (TPR) domain, facilitating its recruitment to a long-range acting enhancer element to promote MYC transcription and activity. Moreover, inhibition of ZMIZ1 impaired the initiation and maintenance of NOTCH-induced T-ALL (6). Although NOTCH1 appears to rely on ZMIZ1 to selectively amplify an oncogenic subset of target genes, research studies suggest ZMIZ1 is not involved in NOTCH-mediated intestinal homeostasis or myeloid suppression, suggesting that therapeutic strategies targeting ZMIZ1 may provide an opportunity to indirectly target NOTCH-driven cancers, with reduced adverse effects (7).

Species Reactivity

Species reactivity is determined by testing in at least one approved application (e.g., western blot).

Western Blot Buffer

IMPORTANT: For western blots, incubate membrane with diluted primary antibody in 5% w/v BSA, 1X TBS, 0.1% Tween® 20 at 4°C with gentle shaking, overnight.

Applications Key

W: Western Blotting IP: Immunoprecipitation IHC-P: Immunohistochemistry (Paraffin)

Cross-Reactivity Key

H: Human M: Mouse Mk: Monkey

Trademarks and Patents

Cell Signaling Technology is a trademark of Cell Signaling Technology, Inc.

SignalStain is a registered trademark of Cell Signaling Technology, Inc.

All other trademarks are the property of their respective owners. Visit cellsignal.com/trademarks for more information.

Limited Uses

Except as otherwise expressly agreed in a writing signed by a legally authorized representative of CST, the following terms apply to Products provided by CST, its affiliates or its distributors. Any Customer's terms and conditions that are in addition to, or different from, those contained herein, unless separately accepted in writing by a legally authorized representative of CST, are rejected and are of no force or effect.

Products are labeled with For Research Use Only or a similar labeling statement and have not been approved, cleared, or licensed by the FDA or other regulatory foreign or domestic entity, for any purpose. Customer shall not use any Product for any diagnostic or therapeutic purpose, or otherwise in any manner that conflicts with its labeling statement. Products sold or licensed by CST are provided for Customer as the end-user and solely for research and development uses. Any use of Product for diagnostic, prophylactic or therapeutic purposes, or any purchase of Product for resale (alone or as a component) or other commercial purpose, requires a separate license from CST. Customer shall (a) not sell, license, loan, donate or otherwise transfer or make available any Product to any third party, whether alone or in combination with other materials, or use the Products to manufacture any commercial products, (b) not copy, modify, reverse engineer, decompile, disassemble or otherwise attempt to discover the underlying structure or technology of the Products, or use the Products for the purpose of developing any products or services that would compete with CST products or services, (c) not alter or remove from the Products any trademarks, trade names, logos, patent or copyright notices or markings, (d) use the Products solely in accordance with CST Product Terms of Sale and any applicable documentation, and (e) comply with any license, terms of service or similar agreement with respect to any third party products or services used by Customer in connection with the Products.

Orders: 877-616-CELL (2355) [email protected] Support: 877-678-TECH (8324) [email protected] Web: cellsignal.com
For Research Use Only. Not for Use in Diagnostic Procedures.

Revision 1

Cell Signaling Technology Logo
Western blot analysis of extracts from various cell lines using RAI17/ZMIZ1 (E2X3X) Rabbit mAb (upper) and GAPDH (D16H11) XP® Rabbit mAb #5174 (lower).
Western Blotting Image 1: RAI17/ZMIZ1 (E2X3X) Rabbit Monoclonal Antibody
Immunoprecipitation of RAI17/ZMIZ1 protein from SK-BR-3 cell extracts. Lane 1 is 10% input, lane 2 is Rabbit (DA1E) mAb IgG XP® Isotype Control #3900, and lane 3 is RAI17/ZMIZ1 (E2X3X) Rabbit mAb. Western blot analysis was performed using RAI17/ZMIZ1 (E2X3X) Rabbit mAb. Anti-Rabbit IgG, HRP-linked Antibody #7074 was used as the secondary antibody.
Immunoprecipitation Image 1: RAI17/ZMIZ1 (E2X3X) Rabbit Monoclonal Antibody
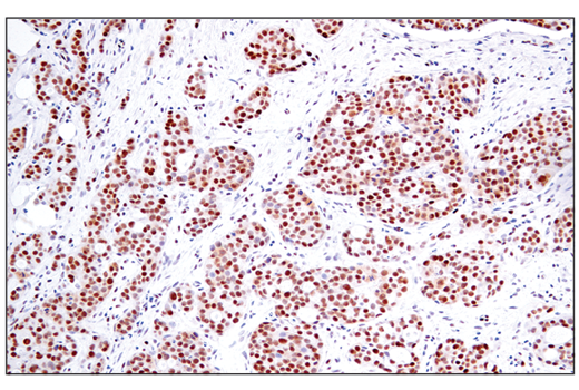
Immunohistochemical analysis of paraffin-embedded human ductal breast carcinoma using RAI17/ZMIZ1 (E2X3X) Rabbit mAb.
Immunohistochemistry Image 1: RAI17/ZMIZ1 (E2X3X) Rabbit Monoclonal Antibody
Orders: 877-616-CELL (2355) [email protected] Support: 877-678-TECH (8324) [email protected] Web: cellsignal.com
For Research Use Only. Not for Use in Diagnostic Procedures.

Revision 1

Cell Signaling Technology Logo
Immunohistochemical analysis of paraffin-embedded human endometrioid adenocarcinoma using RAI17/ZMIZ1 (E2X3X) Rabbit mAb.
Immunohistochemistry Image 2: RAI17/ZMIZ1 (E2X3X) Rabbit Monoclonal Antibody
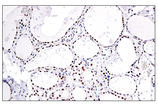
Immunohistochemical analysis of paraffin-embedded human thyroid using RAI17/ZMIZ1 (E2X3X) Rabbit mAb.
Immunohistochemistry Image 3: RAI17/ZMIZ1 (E2X3X) Rabbit Monoclonal Antibody
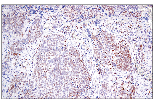
Immunohistochemical analysis of paraffin-embedded human non-Hodgkin's lymphoma using RAI17/ZMIZ1 (E2X3X) Rabbit mAb.
Immunohistochemistry Image 4: RAI17/ZMIZ1 (E2X3X) Rabbit Monoclonal Antibody
Orders: 877-616-CELL (2355) [email protected] Support: 877-678-TECH (8324) [email protected] Web: cellsignal.com
For Research Use Only. Not for Use in Diagnostic Procedures.

Revision 1

Cell Signaling Technology Logo
Immunohistochemical analysis of paraffin-embedded SK-BR-3 cell pellet (left, high-expressing) or SW480 cell pellet (right, low-expressing) using RAI17/ZMIZ1 (E2X3X) Rabbit mAb.
Immunohistochemistry Image 5: RAI17/ZMIZ1 (E2X3X) Rabbit Monoclonal Antibody
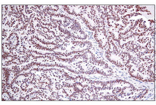
Immunohistochemical analysis of paraffin-embedded human ovarian serous carcinoma using RAI17/ZMIZ1 (E2X3X) Rabbit mAb.
Immunohistochemistry Image 6: RAI17/ZMIZ1 (E2X3X) Rabbit Monoclonal Antibody
Orders: 877-616-CELL (2355) [email protected] Support: 877-678-TECH (8324) [email protected] Web: cellsignal.com
For Research Use Only. Not for Use in Diagnostic Procedures.