Revision 5

#8965

Store at -20C

CST Logo
Orders:

877-616-CELL (2355)

[email protected]

Support:

877-678-TECH (8324)

3 Trask Lane | Danvers | Massachusetts | 01923 | USA

For Research Use Only. Not for Use in Diagnostic Procedures.

Applications:
W, IP, IHC-P, IF-IC, FC-FP

Reactivity:
H M

Sensitivity:
Endogenous

MW (kDa):
58

Source/Isotype:
Rabbit IgG

UniProt ID:
#P13631

Entrez-Gene Id:
5916

Product Usage Information

Application Dilution
Western Blotting 1:1000
Immunoprecipitation 1:100
Immunohistochemistry (Paraffin) 1:200 - 1:800
Immunofluorescence (Immunocytochemistry) 1:400 - 1:800
Flow Cytometry (Fixed/Permeabilized) 1:400 - 1:1600

Storage

Supplied in 10 mM sodium HEPES (pH 7.5), 150 mM NaCl, 100 µg/ml BSA, 50% glycerol and less than 0.02% sodium azide. Store at –20°C. Do not aliquot the antibody.

For a carrier free (BSA and azide free) version of this product see product #82517.

Specificity/Sensitivity

RAR gamma1 (D3A4) Rabbit Monoclonal Antibody recognizes endogenous levels of total RARγ1 protein. Based upon sequence alignment, this antibody is not predicted to cross-react with RARγ2. This antibody does not cross-react with either RARα or RARβ.

Species predicted to react based on 100% sequence homology

Rat, Hamster, Bovine, Dog

Source / Purification

Monoclonal antibody is produced by immunizing animals with a synthetic peptide corresponding to residues near the amino terminus of human RARγ1 protein.

Background

Nuclear retinoic acid (RA) receptors (RARs) consist of three subtypes encoded by separate genes: α (NR1B1), β (NR1B2), and γ (NR1B3). For each subtype, there are at least two isoforms, which are generated by differential promoter usage and alternative splicing and differ only in their N-terminal regions. Retinoids, which are metabolites of vitamin A, serve as ligands for RARs (1). RARs function as ligand-dependent transcriptional regulators and are found to be heterodimerized with retinoid X receptors (RXRs). These transcriptionally active dimers regulate the expression of genes involved in cellular differentiation, proliferation, and apoptosis (2,3). Consequently, RARs play critical roles in a variety of biological processes, including development, reproduction, immunity, and organogenesis (4-6). RAR mutations, fusion proteins, altered expression levels, or aberrant post-translational modifications result in multiple diseases due to altered RAR function and disruption of homeostasis.

In contrast to the ubiquitously expressed RARα subtype, RARγ displays a complex tissue-specific expression pattern (7). The hematopoietic system expresses significant levels of RARγ, and a recent study identified a role for RARγ in hematopoietic stem cell maintenance (8). RARγ is the predominant subtype in human and mouse epidermis, representing 90% of the RARs in this tissue (9-11). Given the high level of RARγ expression in the skin, it has been suggested that this nuclear receptor participates in a transcriptional program that governs maintenance and differentiation of normal epidermis and skin appendages. The transcriptional activity of RARγ is under stringent control, in part, through retinoic acid-induced phosphorylation and proteasomal degradation (12).

Species Reactivity

Species reactivity is determined by testing in at least one approved application (e.g., western blot).

Western Blot Buffer

IMPORTANT: For western blots, incubate membrane with diluted primary antibody in 5% w/v nonfat dry milk, 1X TBS, 0.1% Tween® 20 at 4°C with gentle shaking, overnight.

Applications Key

W: Western Blotting IP: Immunoprecipitation IHC-P: Immunohistochemistry (Paraffin) IF-IC: Immunofluorescence (Immunocytochemistry) FC-FP: Flow Cytometry (Fixed/Permeabilized)

Cross-Reactivity Key

H: Human M: Mouse

Trademarks and Patents

Cell Signaling Technology is a trademark of Cell Signaling Technology, Inc.

All other trademarks are the property of their respective owners. Visit cellsignal.com/trademarks for more information.

Limited Uses

Except as otherwise expressly agreed in a writing signed by a legally authorized representative of CST, the following terms apply to Products provided by CST, its affiliates or its distributors. Any Customer's terms and conditions that are in addition to, or different from, those contained herein, unless separately accepted in writing by a legally authorized representative of CST, are rejected and are of no force or effect.

Products are labeled with For Research Use Only or a similar labeling statement and have not been approved, cleared, or licensed by the FDA or other regulatory foreign or domestic entity, for any purpose. Customer shall not use any Product for any diagnostic or therapeutic purpose, or otherwise in any manner that conflicts with its labeling statement. Products sold or licensed by CST are provided for Customer as the end-user and solely for research and development uses. Any use of Product for diagnostic, prophylactic or therapeutic purposes, or any purchase of Product for resale (alone or as a component) or other commercial purpose, requires a separate license from CST. Customer shall (a) not sell, license, loan, donate or otherwise transfer or make available any Product to any third party, whether alone or in combination with other materials, or use the Products to manufacture any commercial products, (b) not copy, modify, reverse engineer, decompile, disassemble or otherwise attempt to discover the underlying structure or technology of the Products, or use the Products for the purpose of developing any products or services that would compete with CST products or services, (c) not alter or remove from the Products any trademarks, trade names, logos, patent or copyright notices or markings, (d) use the Products solely in accordance with CST Product Terms of Sale and any applicable documentation, and (e) comply with any license, terms of service or similar agreement with respect to any third party products or services used by Customer in connection with the Products.

Orders: 877-616-CELL (2355) [email protected] Support: 877-678-TECH (8324) [email protected] Web: cellsignal.com
For Research Use Only. Not for Use in Diagnostic Procedures.

Revision 5

Cell Signaling Technology Logo
Western blot analysis of extracts from various cell lines using RARγ1 (D3A4) XP® Rabbit mAb.
Western Blotting Image 1: RAR gamma1 (D3A4) Rabbit Monoclonal Antibody
Western blot analysis of extracts from 293T cells, either mock transfected (-) or transfected with a Myc/DDK-tagged cDNA expression construct encoding full-length human RARγ1 (hRARγ1-Myc/DDK, +), using RARγ1 (D3A4) XP® Rabbit mAb.
Western Blotting Image 2: RAR gamma1 (D3A4) Rabbit Monoclonal Antibody
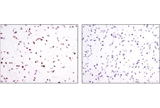
Immunohistochemical analysis of paraffin-embedded cell pellets, HaCaT (positive, left) and Hep3B (negative, right), using RARγ1 (D3A4) XP® Rabbit mAb.
Immunohistochemistry Image 1: RAR gamma1 (D3A4) Rabbit Monoclonal Antibody
Orders: 877-616-CELL (2355) [email protected] Support: 877-678-TECH (8324) [email protected] Web: cellsignal.com
For Research Use Only. Not for Use in Diagnostic Procedures.

Revision 5

Cell Signaling Technology Logo
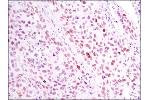
Immunohistochemical analysis of paraffin-embedded human lung carcinoma using RARγ1 (D3A4) XP® Rabbit mAb.
Immunohistochemistry Image 2: RAR gamma1 (D3A4) Rabbit Monoclonal Antibody
Immunohistochemical analysis of paraffin-embedded human skin using RARγ1 (D3A4) XP® Rabbit mAb.
Immunohistochemistry Image 3: RAR gamma1 (D3A4) Rabbit Monoclonal Antibody
Confocal immunofluorescent analysis of HaCaT cells (positive, left) and Hep3B cells (negative, right) using RARγ1 (D3A4) XP® Rabbit mAb (green). Actin filaments were labeled with DY-554 phalloidin (red).
Immunofluorescence Image 1: RAR gamma1 (D3A4) Rabbit Monoclonal Antibody
Orders: 877-616-CELL (2355) [email protected] Support: 877-678-TECH (8324) [email protected] Web: cellsignal.com
For Research Use Only. Not for Use in Diagnostic Procedures.

Revision 5

Cell Signaling Technology Logo
Flow cytometric analysis of T-47D cells using RARγ1 (D3A4) XP® Rabbit mAb (blue) compared to concentration-matched Rabbit (DA1E) mAb IgG XP® Isotype Control #3900 (red). Anti-rabbit IgG (H+L), F(ab')2 Fragment (Alexa Fluor® 488 Conjugate) #4412 was used as a secondary antibody.
Flow Cytometry Image 1: RAR gamma1 (D3A4) Rabbit Monoclonal Antibody
Orders: 877-616-CELL (2355) [email protected] Support: 877-678-TECH (8324) [email protected] Web: cellsignal.com
For Research Use Only. Not for Use in Diagnostic Procedures.