Revision 1

#9969

Store at -20C

Rb Antibody Sampler Kit

1 Kit

(4 x 20 microliters)

CST Logo
Orders:

877-616-CELL (2355)

[email protected]

Support:

877-678-TECH (8324)

3 Trask Lane | Danvers | Massachusetts | 01923 | USA

For Research Use Only. Not for Use in Diagnostic Procedures.

Product Includes Product # Quantity Mol. Wt Isotype/Source
Phospho-Rb (Ser780) (D59B7) Rabbit mAb818020 µl110 kDaRabbit IgG
Phospho-Rb (Ser795) Antibody930120 µl110 kDaRabbit
Phospho-Rb (Ser807/811) (D20B12) XP® Rabbit mAb851620 µl110 kDaRabbit IgG
Rb (4H1) Mouse mAb930920 µl110 kDaMouse IgG2a
Anti-rabbit IgG, HRP-linked Antibody7074100 µlGoat
Anti-mouse IgG, HRP-linked Antibody7076100 µlHorse

Please visit cellsignal.com for individual component applications, species cross-reactivity, dilutions, protocols, and additional product information.

Description

The Rb Antibody Sampler Kit provides reagents and protocols to investigate cell cycle progression within cells. The kit contains primary and secondary antibodies to perform two Western blot experiments with each antibody.

Storage

Supplied in 10 mM sodium HEPES (pH 7.5), 150 mM NaCl, 100 µg/ml BSA, 50% glycerol and less than 0.02% sodium azide. Store at –20°C. Do not aliquot the antibody.

Background

The retinoblastoma tumor suppressor protein Rb regulates cell proliferation by controlling progression through the restriction point within the G1-phase of the cell cycle (1). Rb has three functionally distinct binding domains and interacts with critical regulatory proteins including the E2F family of transcription factors, c-Abl tyrosine kinase, and proteins with a conserved LXCXE motif (2-4). Cell cycle-dependent phosphorylation by a CDK inhibits Rb target binding and allows cell cycle progression (5). Rb inactivation and subsequent cell cycle progression likely requires an initial phosphorylation by cyclin D-CDK4/6 followed by cyclin E-CDK2 phosphorylation (6). Specificity of different CDK/cyclin complexes has been observed in vitro (6-8) and cyclin D1 is required for Ser780 phosphorylation in vivo (9).

Trademarks and Patents

Cell Signaling Technology is a trademark of Cell Signaling Technology, Inc.

All other trademarks are the property of their respective owners. Visit cellsignal.com/trademarks for more information.

Limited Uses

Except as otherwise expressly agreed in a writing signed by a legally authorized representative of CST, the following terms apply to Products provided by CST, its affiliates or its distributors. Any Customer's terms and conditions that are in addition to, or different from, those contained herein, unless separately accepted in writing by a legally authorized representative of CST, are rejected and are of no force or effect.

Products are labeled with For Research Use Only or a similar labeling statement and have not been approved, cleared, or licensed by the FDA or other regulatory foreign or domestic entity, for any purpose. Customer shall not use any Product for any diagnostic or therapeutic purpose, or otherwise in any manner that conflicts with its labeling statement. Products sold or licensed by CST are provided for Customer as the end-user and solely for research and development uses. Any use of Product for diagnostic, prophylactic or therapeutic purposes, or any purchase of Product for resale (alone or as a component) or other commercial purpose, requires a separate license from CST. Customer shall (a) not sell, license, loan, donate or otherwise transfer or make available any Product to any third party, whether alone or in combination with other materials, or use the Products to manufacture any commercial products, (b) not copy, modify, reverse engineer, decompile, disassemble or otherwise attempt to discover the underlying structure or technology of the Products, or use the Products for the purpose of developing any products or services that would compete with CST products or services, (c) not alter or remove from the Products any trademarks, trade names, logos, patent or copyright notices or markings, (d) use the Products solely in accordance with CST Product Terms of Sale and any applicable documentation, and (e) comply with any license, terms of service or similar agreement with respect to any third party products or services used by Customer in connection with the Products.

Orders: 877-616-CELL (2355) [email protected] Support: 877-678-TECH (8324) [email protected] Web: cellsignal.com
For Research Use Only. Not for Use in Diagnostic Procedures.

Revision 1

Cell Signaling Technology Logo
After the primary antibody is bound to the target protein, a complex with HRP-linked secondary antibody is formed. The LumiGLO® is added and emits light during enzyme catalyzed decomposition.
undefined Image 1: Rb Antibody Sampler Kit
After the primary antibody is bound to the target protein, a complex with HRP-linked secondary antibody is formed. The LumiGLO* is added and emits light during enzyme catalyzed decomposition.
undefined Image 2: Rb Antibody Sampler Kit
Western blot analysis of extracts from WI-38 cells, serum-starved for 3 days (-) or serum-starved for 3 days followed by treatment with 10% serum for 2 days (+), using Phospho-Rb (Ser780) (D59B7) Rabbit mAb.
undefined Image 3: Rb Antibody Sampler Kit
Orders: 877-616-CELL (2355) [email protected] Support: 877-678-TECH (8324) [email protected] Web: cellsignal.com
For Research Use Only. Not for Use in Diagnostic Procedures.

Revision 1

Cell Signaling Technology Logo
Western blot analysis of extracts from MCF7 cells, untreated (-) or treated with calf intestinal phosphatase (CIP) and λ phosphatase (+), using Phospho-Rb (Ser807/811) (D20B12) XP® Rabbit mAb (upper) or Rb (4H1) Mouse mAb #9309 (lower).
undefined Image 4: Rb Antibody Sampler Kit
Western blot analysis of extracts from human fibroblasts synchronized by serum deprivation, using Phospho-Rb (Ser795) Antibody. Cells were synchronized for 24 hours, then released by addition of serum and harvested at the times indicated. Cell cycle progression was verified by cyclin analysis and FACS. (Provided by John Boylan, Dupont/Merck, Delaware.)
undefined Image 5: Rb Antibody Sampler Kit
Western blot analysis of extracts from HeLa cells (lane 1) or Rb knock-out cells (lane 2) using Rb (4H1) Mouse mAb #9309 (upper), and β-actin (D6A8) Rabbit mAb #8457 (lower). The absence of signal in the Rb knock-out HeLa cells confirms specificity of the antibody for Rb.
undefined Image 6: Rb Antibody Sampler Kit
Orders: 877-616-CELL (2355) [email protected] Support: 877-678-TECH (8324) [email protected] Web: cellsignal.com
For Research Use Only. Not for Use in Diagnostic Procedures.

Revision 1

Cell Signaling Technology Logo
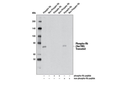
Western blot analysis of phosphorylated or nonphosphorylated recombinant, truncated Rb, without or with Rb blocking peptide, using Phospho-Rb (Ser780) (D59B7) Rabbit mAb.
undefined Image 7: Rb Antibody Sampler Kit
Western blot analysis of extracts from WI-38 cells, serum-starved for 3 days (-) or serum-starved for 3 days followed by treatment with 10% serum for 2 days (+), using Phospho-Rb (Ser807/811) (D20B12) XP® Rabbit mAb.
undefined Image 8: Rb Antibody Sampler Kit
Western blot analysis of Rb Control Protein #9303, using Phospho-Rb (Ser795) Antibody (upper) or Rb (4H1) mAb #9309 (lower).
undefined Image 9: Rb Antibody Sampler Kit
Orders: 877-616-CELL (2355) [email protected] Support: 877-678-TECH (8324) [email protected] Web: cellsignal.com
For Research Use Only. Not for Use in Diagnostic Procedures.

Revision 1

Cell Signaling Technology Logo
Western blot analysis of extracts from HeLa cells, transfected with 100 nM SignalSilence® Control siRNA (Fluorescein Conjugate) #6201 (-), SignalSilence® Rb siRNA I #6451 (+) or SignalSilence® Rb siRNA II (+), using Rb (4H1) Mouse mAb #9309 and α-Tubulin (11H10) Rabbit mAb #2125. The Rb (4H1) Mouse mAb confirms silencing of Rb expression, while the α-Tubulin (11H10) Rabbit mAb is used to control for loading and specificity of Rb siRNA.
undefined Image 10: Rb Antibody Sampler Kit
Immunoprecipitation of phospho-Rb (Ser780) from WI-38 cell extracts using Phospho-Rb (Ser780) (D59B7) Rabbit mAb (lane 2). Western blot was performed using the same antibody. Lane 1 is 10% input.
undefined Image 11: Rb Antibody Sampler Kit
Immunoprecipitation of phospho-Rb (Ser807/811) from Cos cell extracts using Rabbit (DA1E) mAb IgG XP® Isotype Control #3900 (lane 2) or Phospho-Rb (Ser807/811) (D20B12) XP® Rabbit mAb (lane 3). Lane 1 is 10% input. Western blot analysis was performed using Phospho-Rb (Ser807/811) (D20B12) XP® Rabbit mAb.
undefined Image 12: Rb Antibody Sampler Kit
Orders: 877-616-CELL (2355) [email protected] Support: 877-678-TECH (8324) [email protected] Web: cellsignal.com
For Research Use Only. Not for Use in Diagnostic Procedures.

Revision 1

Cell Signaling Technology Logo
Western blot analysis of extracts from COS-7 cells, untreated or hydroxyurea-treated (G1/S), using Rb (4H1) Mouse mAb.
undefined Image 13: Rb Antibody Sampler Kit
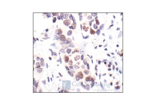
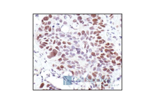
Immunohistochemical analysis of paraffin-embedded human breast carcinoma, showing nuclear localization, using Rb (4H1) Mouse mAb.
undefined Image 14: Rb Antibody Sampler Kit
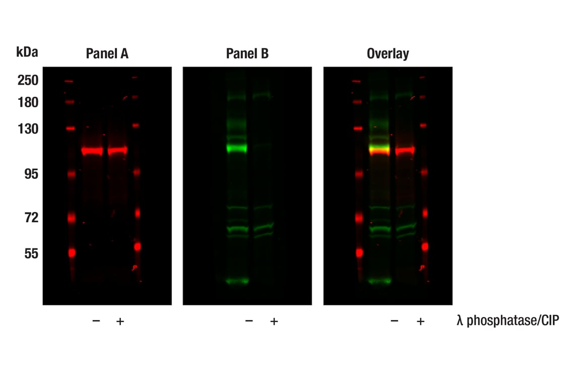
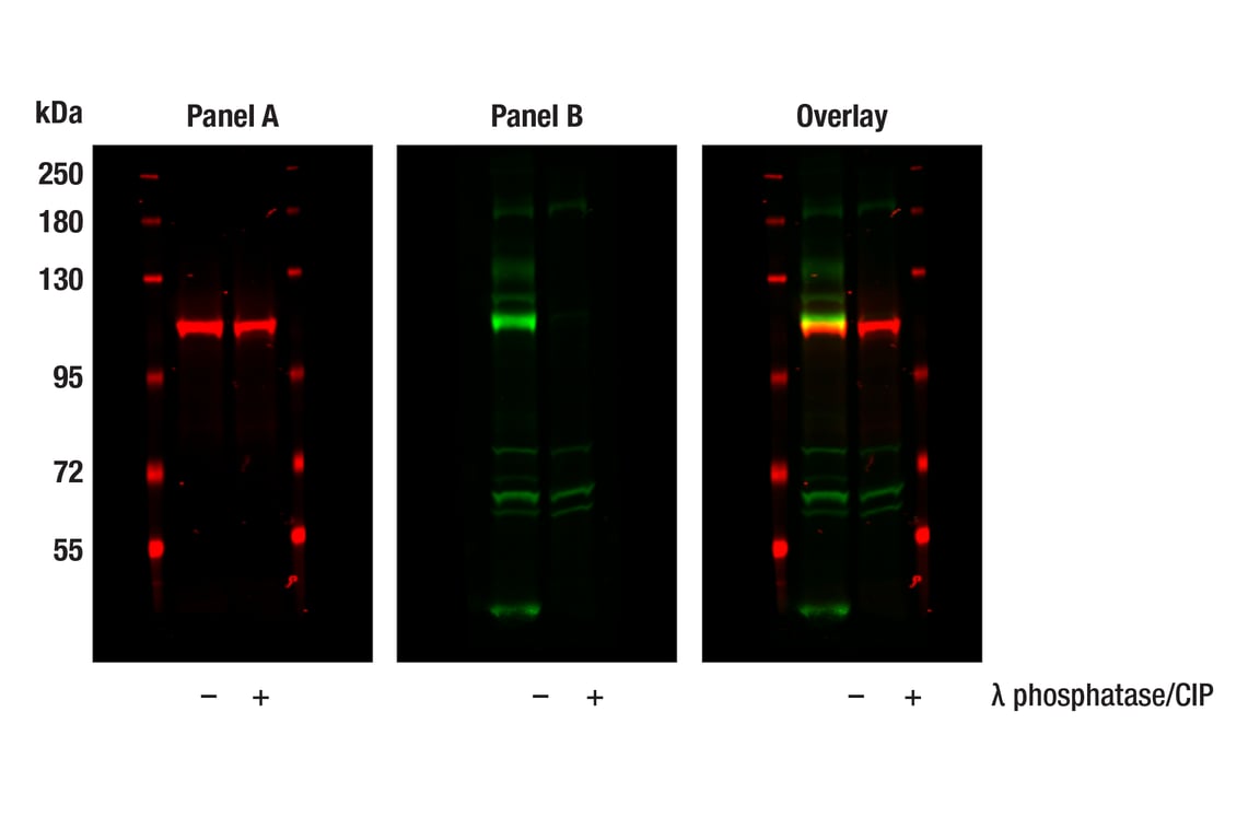
Western blot analysis of extracts from MCF-7 cells, untreated (-) or treated with λ phosphatase/calf intestinal phosphatase (CIP) (+), using Rb (4H1) Mouse mAb #9309 (Panel A) and Phospho-Rb (Ser807/811) (D20B12) XP® Rabbit mAb #8516 (Panel B). Anti-mouse IgG (H+L) (DyLight 680 Conjugate) #5470 (red) and Anti-rabbit IgG (H+L) (DyLight 800 4X PEG Conjugate) #5151 (green) were used as secondary antibodies.
undefined Image 15: Rb Antibody Sampler Kit
Orders: 877-616-CELL (2355) [email protected] Support: 877-678-TECH (8324) [email protected] Web: cellsignal.com
For Research Use Only. Not for Use in Diagnostic Procedures.

Revision 1

Cell Signaling Technology Logo
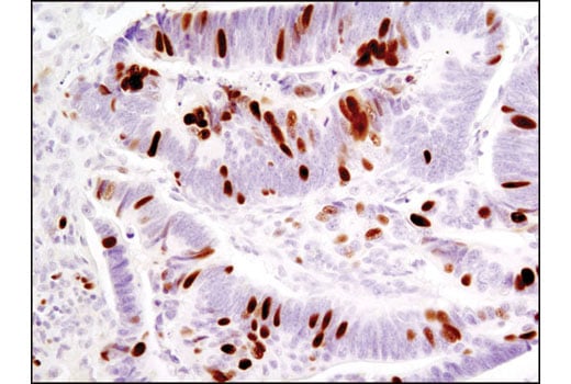
Immunohistochemical analysis of paraffin-embedded human colon carcinoma using Phospho-Rb (Ser807/811) (D20B12) XP® Rabbit mAb.
undefined Image 16: Rb Antibody Sampler Kit
Immunohistochemical analysis of paraffin-embedded human lung carcinoma, using Rb (4H1) Mouse mAb.
undefined Image 17: Rb Antibody Sampler Kit
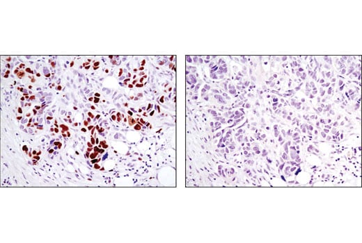
Immunohistochemical analysis of paraffin-embedded human lung carcinoma, control (left) or λ phosphatase-treated (right), using Phospho-Rb (Ser807/811) (D20B12) XP® Rabbit mAb.
undefined Image 18: Rb Antibody Sampler Kit
Orders: 877-616-CELL (2355) [email protected] Support: 877-678-TECH (8324) [email protected] Web: cellsignal.com
For Research Use Only. Not for Use in Diagnostic Procedures.

Revision 1

Cell Signaling Technology Logo
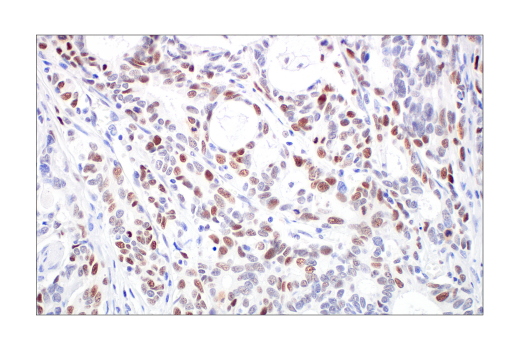
Immunohistochemical analysis of paraffin-embedded human esophageal carcinoma using Rb (4H1) Mouse mAb.
undefined Image 19: Rb Antibody Sampler Kit
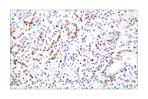
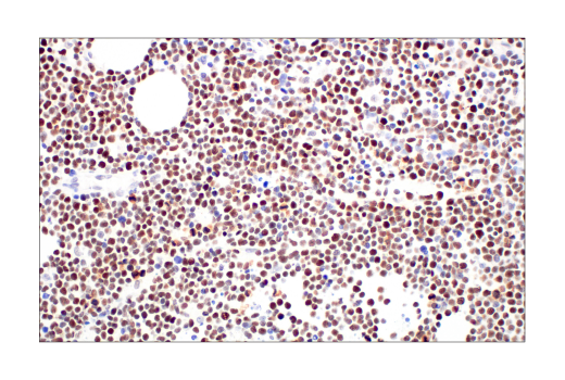
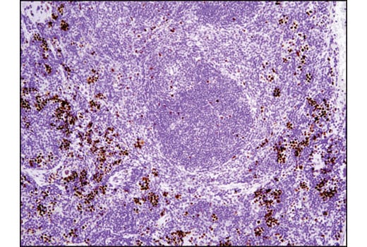
Immunohistochemical analysis of paraffin-embedded mouse spleen using Phospho-Rb (Ser807/811) (D20B12) XP® Rabbit mAb.
undefined Image 20: Rb Antibody Sampler Kit
Immunohistochemical analysis of paraffin-embedded human T cell lymphoblastic lymphoma using Rb (4H1) Mouse mAb.
undefined Image 21: Rb Antibody Sampler Kit
Orders: 877-616-CELL (2355) [email protected] Support: 877-678-TECH (8324) [email protected] Web: cellsignal.com
For Research Use Only. Not for Use in Diagnostic Procedures.

Revision 1

Cell Signaling Technology Logo
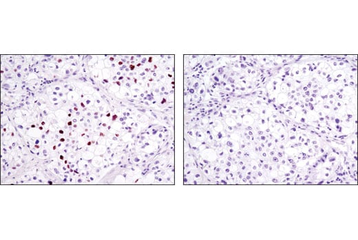
Immunohistochemical analysis of paraffin-embedded human ovarian serous adenocarcinoma using Phospho-Rb (Ser807/811) (D20B12) XP® Rabbit mAb in the presence of control peptide (left) or antigen-specific peptide (right).
undefined Image 22: Rb Antibody Sampler Kit
Immunohistochemical analysis of paraffin-embedded human gastric adenocarcinoma using Rb (4H1) Mouse mAb.
undefined Image 23: Rb Antibody Sampler Kit
Confocal immunofluorescent analysis of MCF7 (left) and BT-549 (right) cells, untreated (upper) or λ phosphatase-treated (lower) using Phospho-Rb (Ser807/Ser811) (D20B12) XP® Rabbit mAb (green). Actin filaments were labeled with DY-554 phalloidin (red). Blue pseudocolor = DRAQ5® #4084 (fluorescent DNA dye).
undefined Image 24: Rb Antibody Sampler Kit
Orders: 877-616-CELL (2355) [email protected] Support: 877-678-TECH (8324) [email protected] Web: cellsignal.com
For Research Use Only. Not for Use in Diagnostic Procedures.

Revision 1

Cell Signaling Technology Logo
Confocal immunofluorescent image of SH-SY5Y cells, using RB (4H1) Mouse mAb (green). Actin filaments have been labeled with Alexa Fluor® 555 phalloidin (red).
undefined Image 25: Rb Antibody Sampler Kit
Flow cytometric analysis of Jurkat cells using Phospho-Rb (Ser807/811) (D20B12) XP® Rabbit mAb and Propidium Iodide (PI/RNase Staining Solution #4087 to measure DNA content. Anti-rabbit IgG (H+L), F(ab')2 Fragment (Alexa Fluor® 488 Conjugate) #4412 was used as a secondary antibody.
undefined Image 26: Rb Antibody Sampler Kit
Flow cytometric analysis of Jurkat cells, using Rb (4H1) Mouse mAb versus propidium iodide (DNA content). The box indicates Rb positive cells.
undefined Image 27: Rb Antibody Sampler Kit
Orders: 877-616-CELL (2355) [email protected] Support: 877-678-TECH (8324) [email protected] Web: cellsignal.com
For Research Use Only. Not for Use in Diagnostic Procedures.

Revision 1

Cell Signaling Technology Logo
Chromatin immunoprecipitations were performed with cross-linked chromatin from Raji cells and either Rb (4H1) Mouse mAb or Normal Rabbit IgG #2729 using SimpleChIP® Enzymatic Chromatin IP Kit (Magnetic Beads) #9003. The enriched DNA was quantified by real-time PCR using using SimpleChIP® Human Timeless Intron 1 Primers #7001, human DHFR promoter primers, and SimpleChIP® Human α Satellite Repeat Primers #4486. The amount of immunoprecipitated DNA in each sample is represented as signal relative to the total amount of input chromatin, which is equivalent to one.
undefined Image 28: Rb Antibody Sampler Kit
Western blot analysis of extracts from MCF-7 cells, untreated (-) or treated with λ phosphatase/calf intestinal phosphatase (CIP) (+), using Rb (4H1) Mouse mAb #9309 (Panel A) and Phospho-Rb (Ser780) (D59B7) Rabbit mAb #8180 (Panel B). Anti-mouse IgG (H+L) (DyLight 680 Conjugate) #5470 (red) and Anti-rabbit IgG (H+L) (DyLight 800 4X PEG Conjugate) #5151 (green) were used as secondary antibodies.
undefined Image 29: Rb Antibody Sampler Kit
Confocal immunofluorescent analysis of fixed frozen mouse small intestine labeled with Phospho-Rb (Ser807/811) (D20B12) XP® Rabbit mAb (left, green) and co-labeled with DyLight™ 554 Phalloidin #13054 (right, red) and ProLong® Gold Antifade Reagent with DAPI #8961 (right, blue).
undefined Image 30: Rb Antibody Sampler Kit
Orders: 877-616-CELL (2355) [email protected] Support: 877-678-TECH (8324) [email protected] Web: cellsignal.com
For Research Use Only. Not for Use in Diagnostic Procedures.

Revision 1

Cell Signaling Technology Logo
Confocal immunofluorescent analysis of fixed frozen mouse testis labeled with Phospho-Rb (Ser807/811) (D20B12) XP® Rabbit mAb (left, green) and co-labeled with DyLight™ 554 Phalloidin #13054 (right, red) and ProLong® Gold Antifade Reagent with DAPI #8961 (right, blue).
undefined Image 31: Rb Antibody Sampler Kit
Confocal immunofluorescent analysis of fixed frozen mouse thymus labeled with Phospho-Rb (Ser807/811) (D20B12) XP® Rabbit mAb (left, green) and co-labeled with DyLight™ 554 Phalloidin #13054 (right, red) and ProLong® Gold Antifade Reagent with DAPI #8961 (right, blue).
undefined Image 32: Rb Antibody Sampler Kit
Simple Western™ analysis of lysates (0.1 mg/mL) from MCF-7 cells using Phospho-Rb (Ser807/811) (D20B12) XP® Rabbit mAb #8516. The virtual lane view (left) shows the target band (as indicated) at 1:10 dilution of primary antibody. The corresponding electropherogram view (right) plots chemiluminescence by molecular weight along the capillary at 1:10 dilution of primary antibody. This experiment was performed under reducing conditions on the Jess™ Simple Western instrument from ProteinSimple, a BioTechne brand, using the 12-230 kDa separation module.
undefined Image 33: Rb Antibody Sampler Kit
Orders: 877-616-CELL (2355) [email protected] Support: 877-678-TECH (8324) [email protected] Web: cellsignal.com
For Research Use Only. Not for Use in Diagnostic Procedures.

Revision 1

Cell Signaling Technology Logo
Western blot analysis of various cell lines using Phospho-Rb (Ser807/811) (D20B12) XP® Rabbit mAb.
undefined Image 34: Rb Antibody Sampler Kit
Western blot analysis of extracts from MCF-7 cells, untreated (-) or treated with λ phosphatase/calf intestinal phosphatase (CIP) (+), using Rb (4H1) Mouse mAb #9309 (Panel A) and Phospho-Rb (Ser807/811) (D20B12) XP® Rabbit mAb #8516 (Panel B). Anti-mouse IgG (H+L) (DyLight 680 Conjugate) #5470 (red) and Anti-rabbit IgG (H+L) (DyLight 800 4X PEG Conjugate) #5151 (green) were used as secondary antibodies.
undefined Image 35: Rb Antibody Sampler Kit
Orders: 877-616-CELL (2355) [email protected] Support: 877-678-TECH (8324) [email protected] Web: cellsignal.com
For Research Use Only. Not for Use in Diagnostic Procedures.