Revision 4

#12053

Store at -20C

CST Logo
Orders:

877-616-CELL (2355)

[email protected]

Support:

877-678-TECH (8324)

3 Trask Lane | Danvers | Massachusetts | 01923 | USA

For Research Use Only. Not for Use in Diagnostic Procedures.

Applications:
W, IP, IHC-P

Reactivity:
H M R Mk

Sensitivity:
Endogenous

MW (kDa):
32

Source/Isotype:
Rabbit IgG

UniProt ID:
#O00559

Entrez-Gene Id:
9166

Product Usage Information

Application Dilution
Western Blotting 1:1000
Immunoprecipitation 1:200
Immunohistochemistry (Paraffin) 1:1600

Storage

Supplied in 10 mM sodium HEPES (pH 7.5), 150 mM NaCl, 100 µg/ml BSA, 50% glycerol and less than 0.02% sodium azide. Store at –20°C. Do not aliquot the antibody.

For a carrier free (BSA and azide free) version of this product see product #77305.

Specificity/Sensitivity

RCAS1 (D6P5J) Rabbit Monoclonal Antibody recognizes endogenous levels of total RCAS1 protein.

Species predicted to react based on 100% sequence homology

Bovine, Dog, Guinea Pig

Source / Purification

Monoclonal antibody is produced by immunizing animals with a synthetic peptide corresponding to residues surrounding Glu59 of human RCAS1 protein.

Background

Receptor binding cancer antigen expressed on SiSo cells (RCAS1) is also known as estrogen receptor-binding fragment-associated gene 9 (EBAG9). Originally identified as an estrogen-inducible gene (1), RCAS1 was recently found to play a novel role in the adaptive immune response by negatively regulating the cytolytic activity of cytotoxic T lymphocytes (CTLs) (2). RCAS1 is conserved in phylogeny and is ubiquitously expressed in most human tissues and cells (3,4). There is evidence that tissue expression of RCAS1 is increased in a variety of malignancies, including cancers of the gastrointestinal tract, liver, lung, breast, ovary, endometrium, and cervix. Research studies have shown that levels of RCAS1 tissue expression are negatively correlated with the prognosis of patients harboring the aforementioned malignancies (4). It is also noteworthy that research studies have detected elevated levels of RCAS1 in the sera of cancer patients (4). Initial studies indicated that RCAS1 was secreted from cancer cells and functioned as a ligand for a putative receptor expressed on NK cells, as well as T and B lymphocytes, inducing their apoptosis, which enabled cancer cells to evade immune surveillance (5,6). Subsequent studies have identified RCAS1 as a type III transmembrane Golgi protein with the ability to regulate vesicle formation, secretion, and protein glycosylation (2,7-9). Indeed, it has been shown that RCAS1 overexpression negatively regulates the cytolytic function of CTLs by negatively regulating protein trafficking from the trans-Golgi to secretory lysosomes (2). Furthermore, RCAS1 overexpression delays vesicle transport from the ER to Golgi and causes components of the ER quality control and glycosylation machinery to mislocalize. As a consequence, RCAS1 induces the deposition of tumor-associated glycan antigens on the cell surface, which are thought to contribute to tumor pathogenesis through the mediation of adhesion, invasion, and metastasis (8,9).

Species Reactivity

Species reactivity is determined by testing in at least one approved application (e.g., western blot).

Western Blot Buffer

IMPORTANT: For western blots, incubate membrane with diluted primary antibody in 5% w/v nonfat dry milk, 1X TBS, 0.1% Tween® 20 at 4°C with gentle shaking, overnight.

Applications Key

W: Western Blotting IP: Immunoprecipitation IHC-P: Immunohistochemistry (Paraffin)

Cross-Reactivity Key

H: Human M: Mouse R: Rat Mk: Monkey

Trademarks and Patents

Cell Signaling Technology is a trademark of Cell Signaling Technology, Inc.

All other trademarks are the property of their respective owners. Visit cellsignal.com/trademarks for more information.

Limited Uses

Except as otherwise expressly agreed in a writing signed by a legally authorized representative of CST, the following terms apply to Products provided by CST, its affiliates or its distributors. Any Customer's terms and conditions that are in addition to, or different from, those contained herein, unless separately accepted in writing by a legally authorized representative of CST, are rejected and are of no force or effect.

Products are labeled with For Research Use Only or a similar labeling statement and have not been approved, cleared, or licensed by the FDA or other regulatory foreign or domestic entity, for any purpose. Customer shall not use any Product for any diagnostic or therapeutic purpose, or otherwise in any manner that conflicts with its labeling statement. Products sold or licensed by CST are provided for Customer as the end-user and solely for research and development uses. Any use of Product for diagnostic, prophylactic or therapeutic purposes, or any purchase of Product for resale (alone or as a component) or other commercial purpose, requires a separate license from CST. Customer shall (a) not sell, license, loan, donate or otherwise transfer or make available any Product to any third party, whether alone or in combination with other materials, or use the Products to manufacture any commercial products, (b) not copy, modify, reverse engineer, decompile, disassemble or otherwise attempt to discover the underlying structure or technology of the Products, or use the Products for the purpose of developing any products or services that would compete with CST products or services, (c) not alter or remove from the Products any trademarks, trade names, logos, patent or copyright notices or markings, (d) use the Products solely in accordance with CST Product Terms of Sale and any applicable documentation, and (e) comply with any license, terms of service or similar agreement with respect to any third party products or services used by Customer in connection with the Products.

Orders: 877-616-CELL (2355) [email protected] Support: 877-678-TECH (8324) [email protected] Web: cellsignal.com
For Research Use Only. Not for Use in Diagnostic Procedures.

Revision 4

Cell Signaling Technology Logo
Western blot analysis of extracts from various cell lines using RCAS1 (D6P5J) Rabbit mAb.
Western Blotting Image 1: RCAS1 (D6P5J) Rabbit Monoclonal Antibody
Western blot analysis of extracts from 293T cells, mock transfected (-) or transfected with a construct expressing Myc/DDK-tagged full-length human RCAS1 (hRCAS1-Myc/DDK; +), using RCAS1 (D6P5J) Rabbit mAb.
Western Blotting Image 2: RCAS1 (D6P5J) Rabbit Monoclonal Antibody
Immunoprecipitation of RCAS1 from Jurkat cell extracts using Rabbit (DA1E) mAb IgG XP® Isotype Control #3900 (lane 2) or RCAS1 (D6P5J) Rabbit mAb (lane 3). Lane 1 is 10% input. Western blot detection was performed using RCAS1 (D6P5J) Rabbit mAb.
Immunoprecipitation Image 1: RCAS1 (D6P5J) Rabbit Monoclonal Antibody
Orders: 877-616-CELL (2355) [email protected] Support: 877-678-TECH (8324) [email protected] Web: cellsignal.com
For Research Use Only. Not for Use in Diagnostic Procedures.

Revision 4

Cell Signaling Technology Logo
Immunohistochemical analysis of paraffin-embedded human breast carcinoma using RCAS1 (D6P5J) Rabbit mAb.
Immunohistochemistry Image 1: RCAS1 (D6P5J) Rabbit Monoclonal Antibody
Immunohistochemical analysis of paraffin-embedded mouse brain using RCAS1 (D6P5J) Rabbit mAb.
Immunohistochemistry Image 2: RCAS1 (D6P5J) Rabbit Monoclonal Antibody
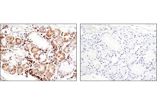
Immunohistochemical analysis of paraffin-embedded human lung carcinoma using RCAS1 (D6P5J) Rabbit mAb in the presence of control peptide (left) or antigen-specific peptide (right).
Immunohistochemistry Image 3: RCAS1 (D6P5J) Rabbit Monoclonal Antibody
Orders: 877-616-CELL (2355) [email protected] Support: 877-678-TECH (8324) [email protected] Web: cellsignal.com
For Research Use Only. Not for Use in Diagnostic Procedures.