Revision 8

#10544

Store at -20C

CST Logo
Orders:

877-616-CELL (2355)

[email protected]

Support:

877-678-TECH (8324)

3 Trask Lane | Danvers | Massachusetts | 01923 | USA

For Research Use Only. Not for Use in Diagnostic Procedures.

Applications:
W, W-S, IP, IHC-P, IF-IC, FC-FP, ChIP, ChIP-seq, C&R

Reactivity:
H M R

Sensitivity:
Endogenous

MW (kDa):
70

Source/Isotype:
Rabbit IgG

UniProt ID:
#Q01201

Entrez-Gene Id:
5971

Product Usage Information

For optimal ChIP and ChIP-seq results, use 10 μl of antibody and 10 μg of chromatin (approximately 4 x 106 cells) per IP. This antibody has been validated using SimpleChIP® Enzymatic Chromatin IP Kits.

The CUT&RUN dilution was determined using CUT&RUN Assay Kit #86652.
Application Dilution
Western Blotting 1:1000
Simple Western™ 1:10 - 1:50
Immunoprecipitation 1:100
Immunohistochemistry (Paraffin) 1:800 - 1:3200
Immunofluorescence (Immunocytochemistry) 1:800 - 1:1600
Flow Cytometry (Fixed/Permeabilized) 1:800 - 1:3200
Chromatin IP 1:50
Chromatin IP-seq 1:50
CUT&RUN 1:50

Storage

Supplied in 10 mM sodium HEPES (pH 7.5), 150 mM NaCl, 100 µg/ml BSA, 50% glycerol and less than 0.02% sodium azide. Store at –20°C. Do not aliquot the antibody.

For a carrier free (BSA and azide free) version of this product see product #34279.

Specificity/Sensitivity

RelB (D7D7W) Rabbit Monoclonal Antibody recognizes endogenous levels of total RelB protein.

Source / Purification

Monoclonal antibody is produced by immunizing animals with recombinant protein specific to the carboxy terminus of human RelB protein.

Background

Transcription factors of the nuclear factor κB (NF-κB)/Rel family play a pivotal role in inflammatory and immune responses (1,2). There are five family members in mammals: RelA, c-Rel, RelB, NF-κB1 (p105/p50), and NF-κB2 (p100/p52). Both p105 and p100 are proteolytically processed by the proteasome to produce p50 and p52, respectively. Rel proteins bind p50 and p52 to form dimeric complexes that bind DNA and regulate transcription. In unstimulated cells, NF-κB is sequestered in the cytoplasm by IκB inhibitory proteins (3-5). NF-κB-activating agents can induce the phosphorylation of IκB proteins, targeting them for rapid degradation through the ubiquitin-proteasome pathway and releasing NF-κB to enter the nucleus where it regulates gene expression (6-8). NIK and IKKα (IKK1) regulate the phosphorylation and processing of NF-κB2 (p100) to produce p52, which translocates to the nucleus (9-11).

RelB, which is generally activated by non-canonical signaling, forms heterodimers with either p50 or p52 NF-κB subunits to regulate transcription (12,13). RelB knockout mice have significant impairments toward inflammatory responses and hematopoietic differentiation (14,15).

Species Reactivity

Species reactivity is determined by testing in at least one approved application (e.g., western blot).

Western Blot Buffer

IMPORTANT: For western blots, incubate membrane with diluted primary antibody in 5% w/v BSA, 1X TBS, 0.1% Tween® 20 at 4°C with gentle shaking, overnight.

Applications Key

W: Western Blotting W-S: Simple Western™ IP: Immunoprecipitation IHC-P: Immunohistochemistry (Paraffin) IF-IC: Immunofluorescence (Immunocytochemistry) FC-FP: Flow Cytometry (Fixed/Permeabilized) ChIP: Chromatin IP ChIP-seq: Chromatin IP-seq C&R: CUT&RUN

Cross-Reactivity Key

H: Human M: Mouse R: Rat

Trademarks and Patents

Cell Signaling Technology is a trademark of Cell Signaling Technology, Inc.

Alexa Fluor is a registered trademark of Life Technologies Corporation.

KARPAS cell line source: Dr. Abraham Karpas at the University of Cambridge.

All other trademarks are the property of their respective owners. Visit cellsignal.com/trademarks for more information.

Limited Uses

Except as otherwise expressly agreed in a writing signed by a legally authorized representative of CST, the following terms apply to Products provided by CST, its affiliates or its distributors. Any Customer's terms and conditions that are in addition to, or different from, those contained herein, unless separately accepted in writing by a legally authorized representative of CST, are rejected and are of no force or effect.

Products are labeled with For Research Use Only or a similar labeling statement and have not been approved, cleared, or licensed by the FDA or other regulatory foreign or domestic entity, for any purpose. Customer shall not use any Product for any diagnostic or therapeutic purpose, or otherwise in any manner that conflicts with its labeling statement. Products sold or licensed by CST are provided for Customer as the end-user and solely for research and development uses. Any use of Product for diagnostic, prophylactic or therapeutic purposes, or any purchase of Product for resale (alone or as a component) or other commercial purpose, requires a separate license from CST. Customer shall (a) not sell, license, loan, donate or otherwise transfer or make available any Product to any third party, whether alone or in combination with other materials, or use the Products to manufacture any commercial products, (b) not copy, modify, reverse engineer, decompile, disassemble or otherwise attempt to discover the underlying structure or technology of the Products, or use the Products for the purpose of developing any products or services that would compete with CST products or services, (c) not alter or remove from the Products any trademarks, trade names, logos, patent or copyright notices or markings, (d) use the Products solely in accordance with CST Product Terms of Sale and any applicable documentation, and (e) comply with any license, terms of service or similar agreement with respect to any third party products or services used by Customer in connection with the Products.

Orders: 877-616-CELL (2355) [email protected] Support: 877-678-TECH (8324) [email protected] Web: cellsignal.com
For Research Use Only. Not for Use in Diagnostic Procedures.

Revision 8

Cell Signaling Technology Logo
Western blot analysis of extracts from various cell lines using RelB (D7D7W) Rabbit mAb (upper) or β-Actin (D6A8) Rabbit mAb #8457 (lower). KARPAS cell line source: Dr. Abraham Karpas at the University of Cambridge.
Western Blotting Image 1: RelB (D7D7W) Rabbit Monoclonal Antibody
Simple Western™ analysis of lysates (0.1 mg/mL) from HDLM-2 cells using RelB (D7D7W) Rabbit mAb #10544. The virtual lane view (left) shows the target band (as indicated) at 1:10 and 1:50 dilutions of primary antibody. The corresponding electropherogram view (right) plots chemiluminescence by molecular weight along the capillary at 1:10 (blue line) and 1:50 (green line) dilutions of primary antibody. This experiment was performed under reducing conditions on the Jess™ ​​​​​​​ Simple Western instrument from ProteinSimple, a BioTechne brand, using the 12-230 kDa separation module.
Western Blotting Image 1: RelB (D7D7W) Rabbit Monoclonal Antibody
Immunoprecipitation of RelB from Raji cell extracts. Lane 1 represents 10% input, lane 2 is precipitated with Rabbit (DA1E) mAb IgG XP® Isotype Control #3900 and lane 3 is RelB (D7D7W) Rabbit mAb. Western blot was performed using RelB (D7D7W) Rabbit mAb. A conformation specific secondary antibody was used to avoid cross reativity with IgG.
Immunoprecipitation Image 1: RelB (D7D7W) Rabbit Monoclonal Antibody
Orders: 877-616-CELL (2355) [email protected] Support: 877-678-TECH (8324) [email protected] Web: cellsignal.com
For Research Use Only. Not for Use in Diagnostic Procedures.

Revision 8

Cell Signaling Technology Logo
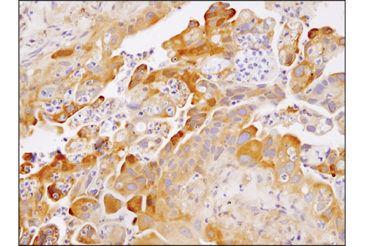
Immunohistochemical analysis of paraffin-embedded human colon carcinoma using RelB (D7D7W) Rabbit mAb.
Immunohistochemistry Image 1: RelB (D7D7W) Rabbit Monoclonal Antibody
Immunohistochemical analysis of paraffin-embedded human lung carcinoma using RelB (D7D7W) Rabbit mAb.
Immunohistochemistry Image 2: RelB (D7D7W) Rabbit Monoclonal Antibody
Immunohistochemical analysis of paraffin-embedded HDLM-2 (left) and LNCaP (right) cell pellets using RelB (D7D7W) Rabbit mAb.
Immunohistochemistry Image 3: RelB (D7D7W) Rabbit Monoclonal Antibody
Orders: 877-616-CELL (2355) [email protected] Support: 877-678-TECH (8324) [email protected] Web: cellsignal.com
For Research Use Only. Not for Use in Diagnostic Procedures.

Revision 8

Cell Signaling Technology Logo
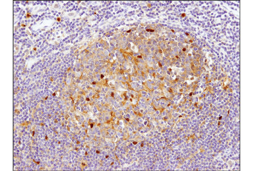
Immunohistochemical analysis of paraffin-embedded human tonsil using RelB (D7D7W) Rabbit mAb.
Immunohistochemistry Image 4: RelB (D7D7W) Rabbit Monoclonal Antibody
Confocal immunofluorescent analysis of PANC-1 cells (left, positive) and Kelly cells (right, negative) using RelB (D7D7W) Rabbit mAb (green). Samples were mounted in ProLong® Gold Antifade Reagent with DAPI #8961 (blue).
Immunofluorescence Image 1: RelB (D7D7W) Rabbit Monoclonal Antibody
Flow cytometric analysis of LNCaP cells (blue) and HDLM-2 cells (green) using RelB (D7D7W) Rabbit mAb (solid lines) or a concentration-matched Rabbit (DA1E) mAb IgG XP® Isotype Control #3900 (dashed lines). Anti-rabbit IgG (H+L), F(ab')2 Fragment (Alexa Fluor® 488 Conjugate) #4412 was used as a secondary antibody.
Flow Cytometry Image 1: RelB (D7D7W) Rabbit Monoclonal Antibody
Orders: 877-616-CELL (2355) [email protected] Support: 877-678-TECH (8324) [email protected] Web: cellsignal.com
For Research Use Only. Not for Use in Diagnostic Procedures.

Revision 8

Cell Signaling Technology Logo
Chromatin immunoprecipitations were performed with cross-linked chromatin from HDLM-2 cells and RelB (D7D7W) Rabbit mAb, using SimpleChIP® Plus Enzymatic Chromatin IP Kit (Magnetic Beads) #9005. DNA Library was prepared using DNA Library Prep Kit for Illumina Systems (ChIP-seq, CUT&RUN) #56795. The figure shows binding across BIRC3/IAP2, a known target gene of RelB (see additional figure containing ChIP-qPCR data).
Chromatin Immunoprecipitation Image 1: RelB (D7D7W) Rabbit Monoclonal Antibody
Chromatin immunoprecipitations were performed with cross-linked chromatin from HDLM-2 cells and RelB (D7D7W) Rabbit mAb, using SimpleChIP® Plus Enzymatic Chromatin IP Kit (Magnetic Beads) #9005. DNA Library was prepared using DNA Library Prep Kit for Illumina Systems (ChIP-seq, CUT&RUN) #56795. The figures show binding across chromosome 11 (upper), including BIRC3/IAP2 (lower), a known target gene of RelB (see additional figure containing ChIP-qPCR data).
Chromatin Immunoprecipitation Image 2: RelB (D7D7W) Rabbit Monoclonal Antibody
Chromatin immunoprecipitations were performed with cross-linked chromatin from HDLM-2 cells and either RelB (D7D7W) Rabbit mAb or Normal Rabbit IgG #2729 using SimpleChIP® Enzymatic Chromatin IP Kit (Magnetic Beads) #9003. The enriched DNA was quantified by real-time PCR using human IAP2 promoter primers, SimpleChIP® Human IκBα Promoter Primers #5552, and SimpleChIP® Human α Satellite Repeat Primers #4486. The amount of immunoprecipitated DNA in each sample is represented as signal relative to the total amount of input chromatin, which is equivalent to one.
Chromatin Immunoprecipitation Image 3: RelB (D7D7W) Rabbit Monoclonal Antibody
Orders: 877-616-CELL (2355) [email protected] Support: 877-678-TECH (8324) [email protected] Web: cellsignal.com
For Research Use Only. Not for Use in Diagnostic Procedures.

Revision 8

Cell Signaling Technology Logo
CUT&RUN was performed with HDLM-2 cells and either RelB (C1E4) Rabbit mAb #4922 or RelB (D7D7W) Rabbit mAb, using CUT&RUN Assay Kit #86652. DNA Libraries were prepared using DNA Library Prep Kit for Illumina® (ChIP-seq, CUT&RUN) #56795. The figure shows binding across BIRC3 gene.
CUT & RUN Image 1: RelB (D7D7W) Rabbit Monoclonal Antibody
CUT&RUN was performed with HDLM-2 cells and either RelB (C1E4) Rabbit mAb #4922 or RelB (D7D7W) Rabbit mAb, using CUT&RUN Assay Kit #86652. DNA Libraries were prepared using DNA Library Prep Kit for Illumina® (ChIP-seq, CUT&RUN) #56795. The figures show binding across chromosome 11 (upper), including BIRC3 gene (lower).
CUT & RUN Image 2: RelB (D7D7W) Rabbit Monoclonal Antibody
CUT&RUN was performed with HDLM-2 cells and either RelB (D7D7W) Rabbit mAb or Rabbit (DA1E) mAb IgG XP® Isotype Control (CUT&RUN) #66362, using CUT&RUN Assay Kit #86652. The enriched DNA was quantified by real-time PCR using SimpleChIP® Human IκBα Promoter Primers #5552 and SimpleChIP® Human α Satellite Repeat Primers #4486. The amount of immunoprecipitated DNA in each sample is represented as signal relative to the total amount of input chromatin, which is equivalent to one.
CUT & RUN Image 3: RelB (D7D7W) Rabbit Monoclonal Antibody
Orders: 877-616-CELL (2355) [email protected] Support: 877-678-TECH (8324) [email protected] Web: cellsignal.com
For Research Use Only. Not for Use in Diagnostic Procedures.