Revision 4

#87129

Store at -20C

CST Logo
Orders:

877-616-CELL (2355)

[email protected]

Support:

877-678-TECH (8324)

3 Trask Lane | Danvers | Massachusetts | 01923 | USA

For Research Use Only. Not for Use in Diagnostic Procedures.

Applications:
W, IHC-Bond, IHC-P, IF-IC, FC-FP

Reactivity:
H M R Mk

Sensitivity:
Endogenous

MW (kDa):
85

Source/Isotype:
Rabbit IgG

UniProt ID:
#O75330

Entrez-Gene Id:
3161

Product Usage Information

Application Dilution
Western Blotting 1:1000
IHC Leica Bond 1:50 - 1:200
Immunohistochemistry (Paraffin) 1:50 - 1:200
Immunofluorescence (Immunocytochemistry) 1:50 - 1:200
Flow Cytometry (Fixed/Permeabilized) 1:100 - 1:200

Storage

Supplied in 10 mM sodium HEPES (pH 7.5), 150 mM NaCl, 100 µg/ml BSA, 50% glycerol and less than 0.02% sodium azide. Store at –20°C. Do not aliquot the antibody.

For a carrier free (BSA and azide free) version of this product see product #35364.

Specificity/Sensitivity

RHAMM/CD168 (E7S4Y) Rabbit Monoclonal Antibody recognizes endogenous levels of total RHAMM/CD168 protein. Non-specific staining was observed in kidney proximal tubules.

Source / Purification

Monoclonal antibody is produced by immunizing animals with a synthetic peptide corresponding to residues near the carboxy terminus of human RHAMM/CD168 protein. The antigenic peptide spans a region that is 100% conserved among the four isoforms of RHAMM/CD168 reported in Uniprot.

Background

Receptor for Hyaluronic acid-Mediated Motility (RHAMM, known also as CD168 or HMMR) was first identified as a putative receptor for hyaluronic acid (HA) that modulated HA-mediated cell motility (1). RHAMM/CD168 is functionally similar to the HA receptor CD44; however in contrast to CD44, RHAMM/CD168 does not contain a transmembrane domain or a signal peptide leader sequence, and so is not targeted exclusively to the cell membrane (1). RHAMM/CD168 has multiple isoforms; some are reportedly exported to the cell membrane in response to signaling by growth factors and cytokines (e.g., TGF-β) (2, 3), whereas others have been implicated in intracellular functions including mitotic spindle regulation (4). Cell surface RHAMM/CD168 is localized to membrane ruffles, consistent with proteins that regulate cell motility (1). Numerous research studies have reported that the expression of RHAMM/CD168 is positively associated with cancer cell growth, motility and/or metastasis (5-7), in addition to HA-mediated inflammation (8), suggesting the potential for therapeutic approaches that target HA-receptor mediated signaling (9,10).

Species Reactivity

Species reactivity is determined by testing in at least one approved application (e.g., western blot).

Western Blot Buffer

IMPORTANT: For western blots, incubate membrane with diluted primary antibody in 5% w/v BSA, 1X TBS, 0.1% Tween® 20 at 4°C with gentle shaking, overnight.

Applications Key

W: Western Blotting IHC-Bond: IHC Leica Bond IHC-P: Immunohistochemistry (Paraffin) IF-IC: Immunofluorescence (Immunocytochemistry) FC-FP: Flow Cytometry (Fixed/Permeabilized)

Cross-Reactivity Key

H: Human M: Mouse R: Rat Mk: Monkey

Trademarks and Patents

Cell Signaling Technology is a trademark of Cell Signaling Technology, Inc.

Alexa Fluor is a registered trademark of Life Technologies Corporation.

All other trademarks are the property of their respective owners. Visit cellsignal.com/trademarks for more information.

Limited Uses

Except as otherwise expressly agreed in a writing signed by a legally authorized representative of CST, the following terms apply to Products provided by CST, its affiliates or its distributors. Any Customer's terms and conditions that are in addition to, or different from, those contained herein, unless separately accepted in writing by a legally authorized representative of CST, are rejected and are of no force or effect.

Products are labeled with For Research Use Only or a similar labeling statement and have not been approved, cleared, or licensed by the FDA or other regulatory foreign or domestic entity, for any purpose. Customer shall not use any Product for any diagnostic or therapeutic purpose, or otherwise in any manner that conflicts with its labeling statement. Products sold or licensed by CST are provided for Customer as the end-user and solely for research and development uses. Any use of Product for diagnostic, prophylactic or therapeutic purposes, or any purchase of Product for resale (alone or as a component) or other commercial purpose, requires a separate license from CST. Customer shall (a) not sell, license, loan, donate or otherwise transfer or make available any Product to any third party, whether alone or in combination with other materials, or use the Products to manufacture any commercial products, (b) not copy, modify, reverse engineer, decompile, disassemble or otherwise attempt to discover the underlying structure or technology of the Products, or use the Products for the purpose of developing any products or services that would compete with CST products or services, (c) not alter or remove from the Products any trademarks, trade names, logos, patent or copyright notices or markings, (d) use the Products solely in accordance with CST Product Terms of Sale and any applicable documentation, and (e) comply with any license, terms of service or similar agreement with respect to any third party products or services used by Customer in connection with the Products.

Orders: 877-616-CELL (2355) [email protected] Support: 877-678-TECH (8324) [email protected] Web: cellsignal.com
For Research Use Only. Not for Use in Diagnostic Procedures.

Revision 4

Cell Signaling Technology Logo
Western blot analysis of extracts from various cell lines using RHAMM/CD168 (E7S4Y) Rabbit mAb (upper) and β-Actin (D6A8) Rabbit mAb #8457 (lower).
Western Blotting Image 1: RHAMM/CD168 (E7S4Y) Rabbit Monoclonal Antibody
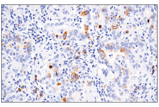
Immunohistochemical analysis of paraffin-embedded human colon carcinoma using RHAMM/CD168 (E7S4Y) Rabbit mAb performed on the Leica® BOND™ Rx.
Immunohistochemistry Image 1: RHAMM/CD168 (E7S4Y) Rabbit Monoclonal Antibody
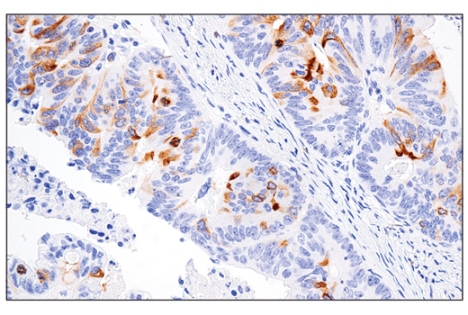
Immunohistochemical analysis of paraffin-embedded human ovarian serous carcinoma using RHAMM/CD168 (E7S4Y) Rabbit mAb performed on the Leica® BOND™ Rx.
Immunohistochemistry Image 2: RHAMM/CD168 (E7S4Y) Rabbit Monoclonal Antibody
Orders: 877-616-CELL (2355) [email protected] Support: 877-678-TECH (8324) [email protected] Web: cellsignal.com
For Research Use Only. Not for Use in Diagnostic Procedures.

Revision 4

Cell Signaling Technology Logo
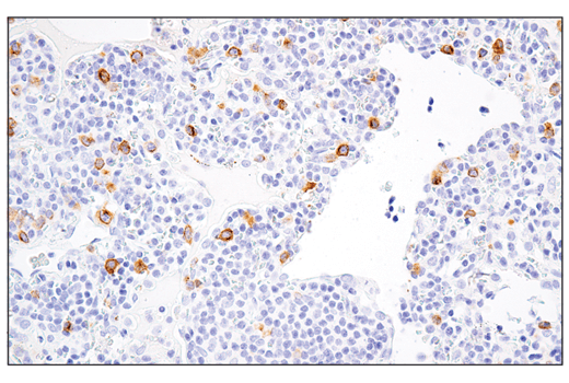
Immunohistochemical analysis of paraffin-embedded human gastric adenocarcinoma using RHAMM/CD168 (E7S4Y) Rabbit mAb performed on the Leica® BOND™ Rx.
Immunohistochemistry Image 3: RHAMM/CD168 (E7S4Y) Rabbit Monoclonal Antibody
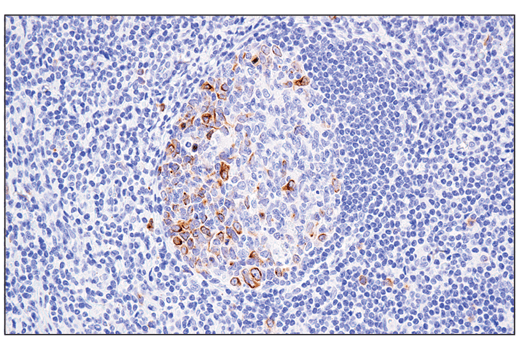
Immunohistochemical analysis of paraffin-embedded human B-cell non-Hodgkin's lymphoma using RHAMM/CD168 (E7S4Y) Rabbit mAb.
Immunohistochemistry Image 1: RHAMM/CD168 (E7S4Y) Rabbit Monoclonal Antibody
Immunohistochemical analysis of paraffin-embedded human testis using RHAMM/CD168 (E7S4Y) Rabbit mAb (left) compared to concentration-matched Rabbit (DA1E) mAb IgG XP® Isotype Control #3900 (right).
Immunohistochemistry Image 2: RHAMM/CD168 (E7S4Y) Rabbit Monoclonal Antibody
Orders: 877-616-CELL (2355) [email protected] Support: 877-678-TECH (8324) [email protected] Web: cellsignal.com
For Research Use Only. Not for Use in Diagnostic Procedures.

Revision 4

Cell Signaling Technology Logo
Immunohistochemical analysis of paraffin-embedded human tonsil using RHAMM/CD168 (E7S4Y) Rabbit mAb.
Immunohistochemistry Image 3: RHAMM/CD168 (E7S4Y) Rabbit Monoclonal Antibody
Immunohistochemical analysis of paraffin-embedded K-562 cell pellet (left, high-expressing) or MDA-MB-231 cell pellet (right, low-expressing) using RHAMM/CD168 (E7S4Y) Rabbit mAb.
Immunohistochemistry Image 4: RHAMM/CD168 (E7S4Y) Rabbit Monoclonal Antibody
Confocal immunofluorescent analysis of SW480 cells (left, high-expressing) and MDA-MB-231 cells (right, low-expressing) using RHAMM/CD168 (E7S4Y) Rabbit mAb (green) and CD44 (8E2) Mouse mAb #5640 (red). Blue = DAPI #4083
Immunofluorescence Image 1: RHAMM/CD168 (E7S4Y) Rabbit Monoclonal Antibody
Orders: 877-616-CELL (2355) [email protected] Support: 877-678-TECH (8324) [email protected] Web: cellsignal.com
For Research Use Only. Not for Use in Diagnostic Procedures.

Revision 4

Cell Signaling Technology Logo
Flow cytometric analysis of MDA-MB-231 cells (blue) and K-562 cells (green) using RHAMM/CD168 (E7S4Y) Rabbit mAb (solid lines) or a concentration-matched Rabbit (DA1E) mAb IgG XP® Isotype Control #3900 (dashed lines). Anti-rabbit IgG (H+L), F(ab')2 Fragment (Alexa Fluor® 488 Conjugate) #4412 was used as a secondary antibody.
Flow Cytometry Image 1: RHAMM/CD168 (E7S4Y) Rabbit Monoclonal Antibody
Orders: 877-616-CELL (2355) [email protected] Support: 877-678-TECH (8324) [email protected] Web: cellsignal.com
For Research Use Only. Not for Use in Diagnostic Procedures.