Revision 8

#13879

Store at -20C

CST Logo
Orders:

877-616-CELL (2355)

[email protected]

Support:

877-678-TECH (8324)

3 Trask Lane | Danvers | Massachusetts | 01923 | USA

For Research Use Only. Not for Use in Diagnostic Procedures.

Applications:
W, IP

Reactivity:
H M R Mk

Sensitivity:
Endogenous

MW (kDa):
16

Source/Isotype:
Rabbit IgG

UniProt ID:
#Q15382

Entrez-Gene Id:
6009

Product Usage Information

Application Dilution
Western Blotting 1:1000
Immunoprecipitation 1:50

Storage

Supplied in 10 mM sodium HEPES (pH 7.5), 150 mM NaCl, 100 µg/ml BSA, 50% glycerol and less than 0.02% sodium azide. Store at –20°C. Do not aliquot the antibody.

For a carrier free (BSA and azide free) version of this product see product #53730.

Specificity/Sensitivity

Rheb (E1G1R) Rabbit Monoclonal Antibody recognizes endogenous levels of total Rheb protein. This antibody does not cross-react with RhebL1 protein. Bands of unknown origin may be detected at 30 kDa and 50 kDa in some cell lines.

Source / Purification

Monoclonal antibody is produced by immunizing animals with a synthetic peptide corresponding to residues surrounding Leu165 of human Rheb protein.

Background

Ras Homolog Enriched in Brain (Rheb) is an evolutionarily conserved member of the Ras family of small GTP-binding proteins originally found to be rapidly induced by synaptic activity in the hippocampus following seizure (1). While it is expressed at relatively high levels in the brain, Rheb is widely expressed in other tissues and may be induced by growth factor stimulation. Like other Ras family members, Rheb triggers activation of the Raf-MEK-MAPK pathway (2). Biochemical and genetic studies demonstrate that Rheb has an important role in regulating the insulin/TOR signaling pathway (3-6). The mammalian target of rapamycin (mTOR) is a serine/threonine protein kinase that acts as a sensor for ATP and amino acids, balancing the availability of nutrients with translation and cell growth. The tuberin/hamartin (TSC2/TSC1) complex inhibits mTOR activity indirectly by inhibiting Rheb through the tuberin GAP activity (7).

Species Reactivity

Species reactivity is determined by testing in at least one approved application (e.g., western blot).

Western Blot Buffer

IMPORTANT: For western blots, incubate membrane with diluted primary antibody in 5% w/v nonfat dry milk, 1X TBS, 0.1% Tween® 20 at 4°C with gentle shaking, overnight.

Applications Key

W: Western Blotting IP: Immunoprecipitation

Cross-Reactivity Key

H: Human M: Mouse R: Rat Mk: Monkey

Trademarks and Patents

Cell Signaling Technology is a trademark of Cell Signaling Technology, Inc.

SignalSilence is a registered trademark of Cell Signaling Technology, Inc.

All other trademarks are the property of their respective owners. Visit cellsignal.com/trademarks for more information.

Limited Uses

Except as otherwise expressly agreed in a writing signed by a legally authorized representative of CST, the following terms apply to Products provided by CST, its affiliates or its distributors. Any Customer's terms and conditions that are in addition to, or different from, those contained herein, unless separately accepted in writing by a legally authorized representative of CST, are rejected and are of no force or effect.

Products are labeled with For Research Use Only or a similar labeling statement and have not been approved, cleared, or licensed by the FDA or other regulatory foreign or domestic entity, for any purpose. Customer shall not use any Product for any diagnostic or therapeutic purpose, or otherwise in any manner that conflicts with its labeling statement. Products sold or licensed by CST are provided for Customer as the end-user and solely for research and development uses. Any use of Product for diagnostic, prophylactic or therapeutic purposes, or any purchase of Product for resale (alone or as a component) or other commercial purpose, requires a separate license from CST. Customer shall (a) not sell, license, loan, donate or otherwise transfer or make available any Product to any third party, whether alone or in combination with other materials, or use the Products to manufacture any commercial products, (b) not copy, modify, reverse engineer, decompile, disassemble or otherwise attempt to discover the underlying structure or technology of the Products, or use the Products for the purpose of developing any products or services that would compete with CST products or services, (c) not alter or remove from the Products any trademarks, trade names, logos, patent or copyright notices or markings, (d) use the Products solely in accordance with CST Product Terms of Sale and any applicable documentation, and (e) comply with any license, terms of service or similar agreement with respect to any third party products or services used by Customer in connection with the Products.

Orders: 877-616-CELL (2355) [email protected] Support: 877-678-TECH (8324) [email protected] Web: cellsignal.com
For Research Use Only. Not for Use in Diagnostic Procedures.

Revision 8

Cell Signaling Technology Logo
Western blot analysis of extracts from various cell lines using Rheb (E1G1R) Rabbit mAb.
Western Blotting Image 1: Rheb (E1G1R) Rabbit Monoclonal Antibody
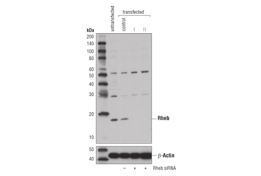
Western blot analysis of extracts from A549 cells, untransfected, transfected with 100 nM SignalSilence® Control siRNA (Unconjugated) #6568 (-), SignalSilence® Rheb siRNA I(+), or SignalSilence® Rheb siRNA II(+), using Rheb (E1G1R) Rabbit mAb (upper) and β-Actin (D6A8) Rabbit mAb #8457 (lower). The Rheb (E1G1R) Rabbit mAb confirms silencing of Rheb expression, while the β-Actin (D6A8) Rabbit mAb is used as a loading control.
Western Blotting Image 2: Rheb (E1G1R) Rabbit Monoclonal Antibody
Immunoprecipitation of Rheb from U-87 MG extracts. Lane 1 is 10% input, lane 2 is Rabbit (DA1E) mAb IgG XP® Isotype Control #3900, and lane 3 is Rheb (E1G1R) Rabbit mAb. Western blot analysis was performed using Rheb (E1G1R) Rabbit mAb. Mouse Anti-rabbit IgG (Conformation Specific) (L27A9) mAb #3678 was used as a secondary antibody. Anti-mouse IgG, HRP-linked Antibody #7076 was used as a tertiary antibody.
Immunoprecipitation Image 1: Rheb (E1G1R) Rabbit Monoclonal Antibody
Orders: 877-616-CELL (2355) [email protected] Support: 877-678-TECH (8324) [email protected] Web: cellsignal.com
For Research Use Only. Not for Use in Diagnostic Procedures.