Revision 7

#2117

Store at -20C

CST Logo
Orders:

877-616-CELL (2355)

[email protected]

Support:

877-678-TECH (8324)

3 Trask Lane | Danvers | Massachusetts | 01923 | USA

For Research Use Only. Not for Use in Diagnostic Procedures.

Applications:
W, W-S, IHC-P, IF-IC

Reactivity:
H M R Mk B

Sensitivity:
Endogenous

MW (kDa):
21

Source/Isotype:
Rabbit IgG

UniProt ID:
#P61586

Entrez-Gene Id:
387

Product Usage Information

Application Dilution
Western Blotting 1:1000
Simple Western™ 1:50 - 1:250
Immunohistochemistry (Paraffin) 1:800
Immunofluorescence (Immunocytochemistry) 1:200

Storage

Supplied in 10 mM sodium HEPES (pH 7.5), 150 mM NaCl, 100 µg/ml BSA, 50% glycerol and less than 0.02% sodium azide. Store at –20°C. Do not aliquot the antibody.

For a carrier free (BSA and azide free) version of this product see product #60382.

Specificity/Sensitivity

RhoA (67B9) Rabbit Monoclonal Antibody recognizes endogenous levels of total RhoA protein. This antibody does not recognize the related proteins RhoB or RhoC.

Source / Purification

Monoclonal antibody is produced by immunizing animals with synthetic peptides corresponding to residues near the carboxy terminus of human RhoA.

Background

Rho family small GTPases, including Rho, Rac and cdc42, act as molecular switches, regulating processes such as cell migration, adhesion, proliferation and differentiation. They are activated by guanine nucleotide exchange factors (GEFs), which catalyze the exchange of bound GDP for GTP, and inhibited by GTPase activating proteins (GAPs), which catalyze the hydrolysis of GTP to GDP. A third level of regulation is provided by the stoichiometric binding of Rho GDP dissociation inhibitor (RhoGDI) (1). RhoA, RhoB and RhoC are highly homologous, but appear to have divergent biological functions. Carboxy-terminal modifications and differences in subcellular localization allow these three proteins to respond to and act on distinct signaling molecules (2,3).

Functions of RhoA, the most highly studied of these three, include regulation of actomyosin contractility (4), cytokinesis (5), focal adhesion assembly (6) and cell polarity (7).

Species Reactivity

Species reactivity is determined by testing in at least one approved application (e.g., western blot).

Western Blot Buffer

IMPORTANT: For western blots, incubate membrane with diluted primary antibody in 5% w/v BSA, 1X TBS, 0.1% Tween® 20 at 4°C with gentle shaking, overnight.

Applications Key

W: Western Blotting W-S: Simple Western™ IHC-P: Immunohistochemistry (Paraffin) IF-IC: Immunofluorescence (Immunocytochemistry)

Cross-Reactivity Key

H: Human M: Mouse R: Rat Mk: Monkey B: Bovine

Trademarks and Patents

Cell Signaling Technology is a trademark of Cell Signaling Technology, Inc.

All other trademarks are the property of their respective owners. Visit cellsignal.com/trademarks for more information.

Limited Uses

Except as otherwise expressly agreed in a writing signed by a legally authorized representative of CST, the following terms apply to Products provided by CST, its affiliates or its distributors. Any Customer's terms and conditions that are in addition to, or different from, those contained herein, unless separately accepted in writing by a legally authorized representative of CST, are rejected and are of no force or effect.

Products are labeled with For Research Use Only or a similar labeling statement and have not been approved, cleared, or licensed by the FDA or other regulatory foreign or domestic entity, for any purpose. Customer shall not use any Product for any diagnostic or therapeutic purpose, or otherwise in any manner that conflicts with its labeling statement. Products sold or licensed by CST are provided for Customer as the end-user and solely for research and development uses. Any use of Product for diagnostic, prophylactic or therapeutic purposes, or any purchase of Product for resale (alone or as a component) or other commercial purpose, requires a separate license from CST. Customer shall (a) not sell, license, loan, donate or otherwise transfer or make available any Product to any third party, whether alone or in combination with other materials, or use the Products to manufacture any commercial products, (b) not copy, modify, reverse engineer, decompile, disassemble or otherwise attempt to discover the underlying structure or technology of the Products, or use the Products for the purpose of developing any products or services that would compete with CST products or services, (c) not alter or remove from the Products any trademarks, trade names, logos, patent or copyright notices or markings, (d) use the Products solely in accordance with CST Product Terms of Sale and any applicable documentation, and (e) comply with any license, terms of service or similar agreement with respect to any third party products or services used by Customer in connection with the Products.

Orders: 877-616-CELL (2355) [email protected] Support: 877-678-TECH (8324) [email protected] Web: cellsignal.com
For Research Use Only. Not for Use in Diagnostic Procedures.

Revision 7

Cell Signaling Technology Logo
Western blot analysis of extracts from various cell lines, using RhoA (67B9) Rabbit mAb.
Western Blotting Image 1: RhoA (67B9) Rabbit Monoclonal Antibody
Western blot analysis of recombinant GST-tagged RhoA, RhoB and RhoC using RhoA (67B9) Rabbit mAb.
Western Blotting Image 2: RhoA (67B9) Rabbit Monoclonal Antibody
Western blot analysis of extracts from control 293T cells (lane 1) or CRISPR/Cas9 RhoA knockout (KO) 293T cells (lane 2) using RhoA (67B9) Rabbit mAb (upper) or GAPDH (D16H11) XP® Rabbit mAb #5174 (lower).
Western Blotting Image 3: RhoA (67B9) Rabbit Monoclonal Antibody
Orders: 877-616-CELL (2355) [email protected] Support: 877-678-TECH (8324) [email protected] Web: cellsignal.com
For Research Use Only. Not for Use in Diagnostic Procedures.

Revision 7

Cell Signaling Technology Logo
Simple WesternTM analysis of lysates (1 mg/ml) from HeLa cells using RhoA (67B9) Rabbit mAb #2117. The virtual lane view (left) shows the target band (as indicated) at 1:50 and 1:250 dilutions of primary antibody. The corresponding electropherogram view (right) plots chemiluminescence by molecular weight along the capillary at 1:50 (blue line) and 1:250 (green line) dilutions of primary antibody. This experiment was performed under reducing conditions on the JessTM Simple Western instrument from ProteinSimple, a BioTechne brand, using the 2-40 kDa.
Western Blotting Image 1: RhoA (67B9) Rabbit Monoclonal Antibody
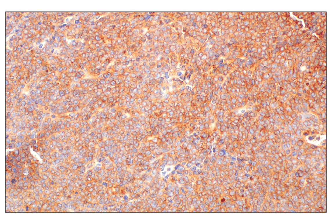
Immunohistochemical analysis of paraffin-embedded human soft tissue squamous cell carcinoma using RhoA (67B9) Rabbit mAb.
Immunohistochemistry Image 1: RhoA (67B9) Rabbit Monoclonal Antibody
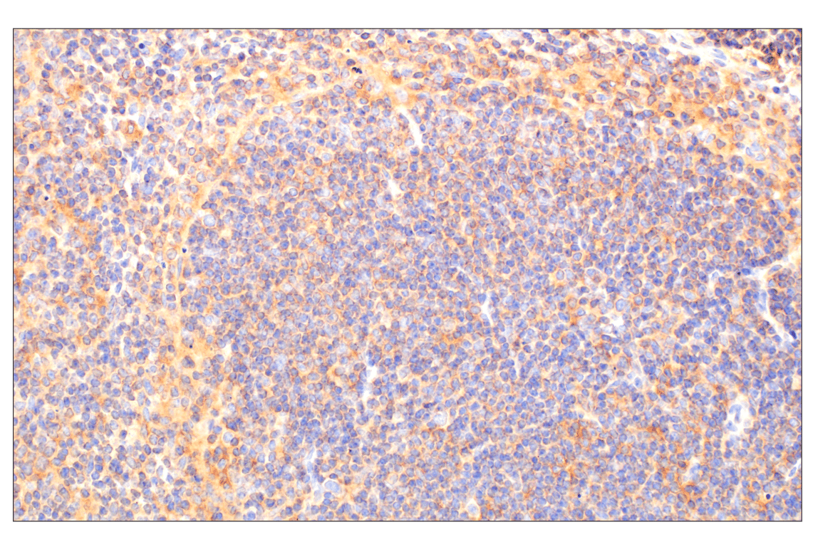
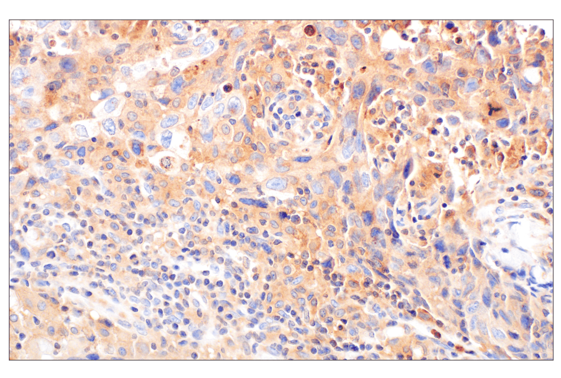
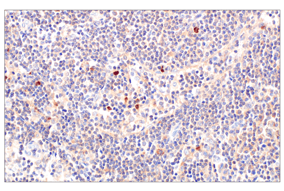
Immunohistochemical analysis of paraffin-embedded human thymoma using RhoA (67B9) Rabbit mAb.
Immunohistochemistry Image 2: RhoA (67B9) Rabbit Monoclonal Antibody
Orders: 877-616-CELL (2355) [email protected] Support: 877-678-TECH (8324) [email protected] Web: cellsignal.com
For Research Use Only. Not for Use in Diagnostic Procedures.

Revision 7

Cell Signaling Technology Logo
Immunohistochemical analysis of paraffin-embedded normal human spleen using RhoA (67B9) Rabbit mAb.
Immunohistochemistry Image 3: RhoA (67B9) Rabbit Monoclonal Antibody
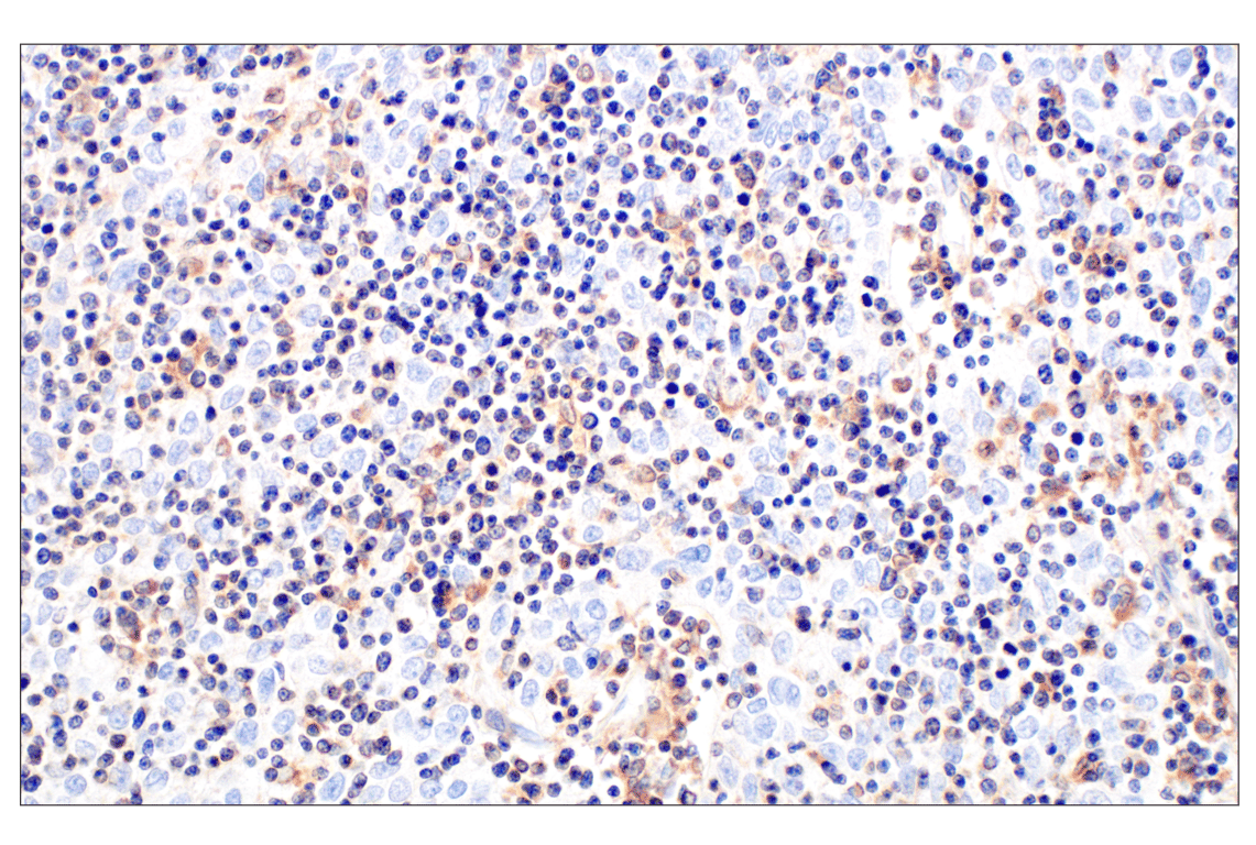
Immunohistochemical analysis of paraffin-embedded normal human lymph node using RhoA (67B9) Rabbit mAb.
Immunohistochemistry Image 4: RhoA (67B9) Rabbit Monoclonal Antibody
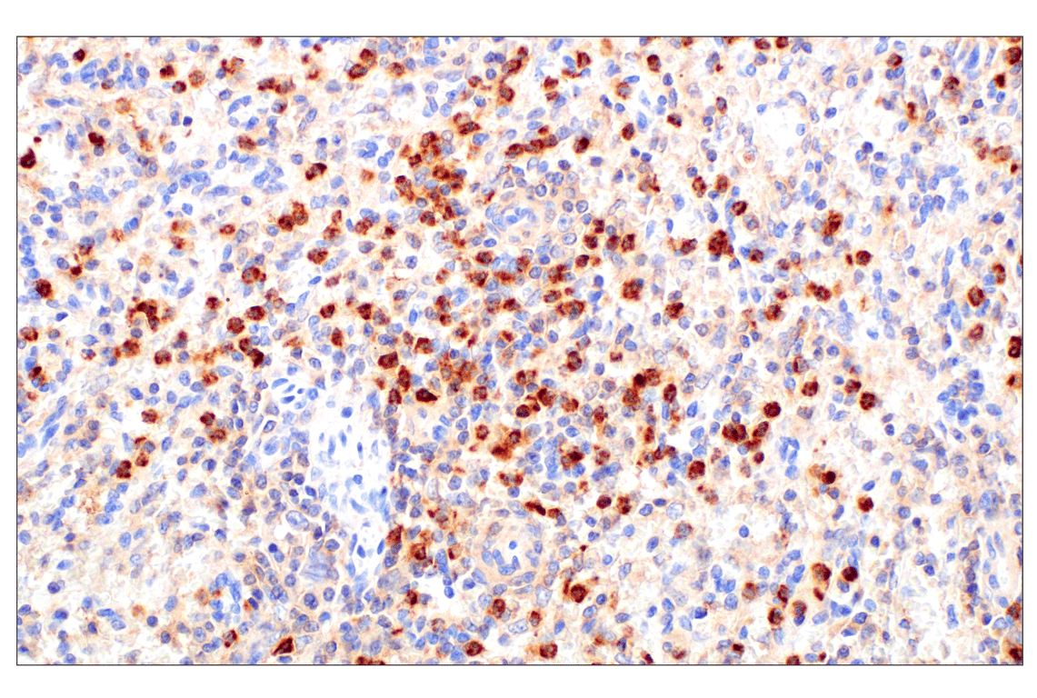
Immunohistochemical analysis of paraffin-embedded A20 syngeneic tumor using RhoA (67B9) Rabbit mAb.
Immunohistochemistry Image 5: RhoA (67B9) Rabbit Monoclonal Antibody
Orders: 877-616-CELL (2355) [email protected] Support: 877-678-TECH (8324) [email protected] Web: cellsignal.com
For Research Use Only. Not for Use in Diagnostic Procedures.

Revision 7

Cell Signaling Technology Logo
Immunohistochemical analysis of paraffin-embedded GL261 syngeneic tumor using RhoA (67B9) Rabbit mAb.
Immunohistochemistry Image 6: RhoA (67B9) Rabbit Monoclonal Antibody
Immunohistochemical analysis of paraffin-embedded mouse spleen using RhoA (67B9) Rabbit mAb.
Immunohistochemistry Image 7: RhoA (67B9) Rabbit Monoclonal Antibody
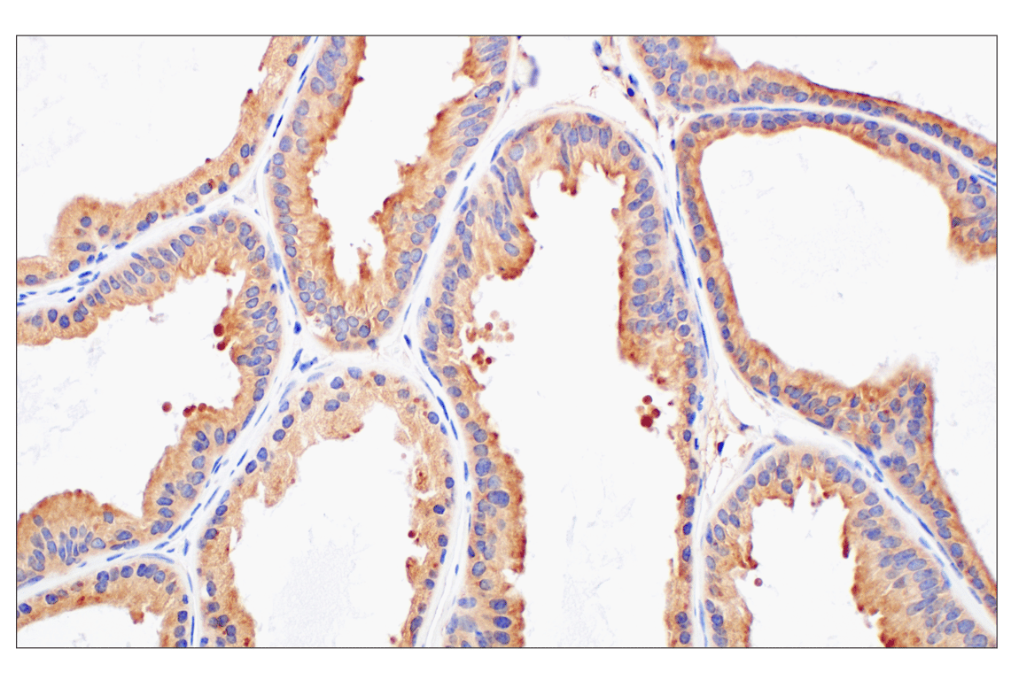
Immunohistochemical analysis of paraffin-embedded mouse prostate using RhoA (67B9) Rabbit mAb.
Immunohistochemistry Image 8: RhoA (67B9) Rabbit Monoclonal Antibody
Orders: 877-616-CELL (2355) [email protected] Support: 877-678-TECH (8324) [email protected] Web: cellsignal.com
For Research Use Only. Not for Use in Diagnostic Procedures.

Revision 7

Cell Signaling Technology Logo
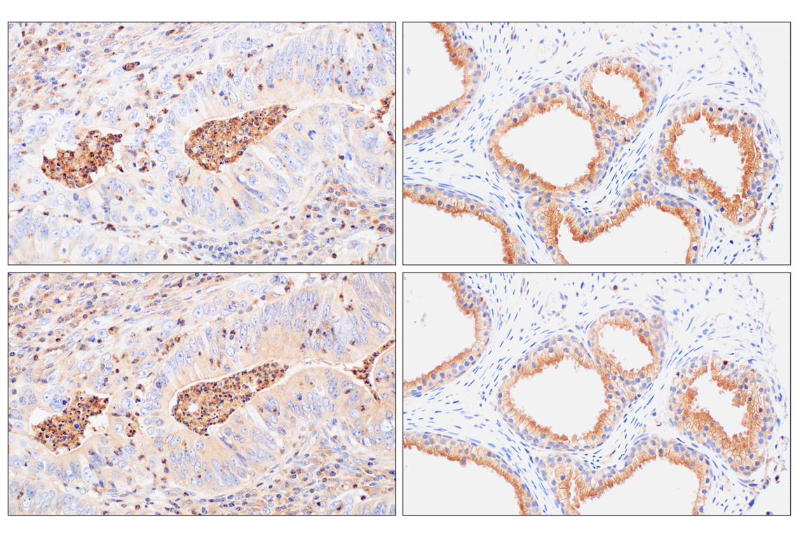
Immunohistochemical analysis of paraffin-embedded human colon adenocarcinoma (left) or human prostate adenocarcinoma (right) using RhoA (67B9) Rabbit mAb (top) or a RhoA Rabbit mAb (bottom). These two antibodies detect unique, non-overlapping epitopes on human RhoA. The similar staining patterns obtained with both antibodies help to confirm the specificity of the staining.
Immunohistochemistry Image 9: RhoA (67B9) Rabbit Monoclonal Antibody

Immunohistochemical analysis of paraffin-embedded normal human liver using RhoA (67B9) Rabbit mAb (left) compared to concentration-matched Rabbit (DA1E) mAb IgG XP® Isotype Control #3900 (right).

Immunohistochemistry Image 10: RhoA (67B9) Rabbit Monoclonal Antibody

Immunohistochemical analysis of paraffin-embedded 239T cell pellet, untransfected (left) or RhoA-transfected (right), using RhoA (67B9) Rabbit mAb. Note endogenous expression in 293T cells.

Immunohistochemistry Image 11: RhoA (67B9) Rabbit Monoclonal Antibody
Orders: 877-616-CELL (2355) [email protected] Support: 877-678-TECH (8324) [email protected] Web: cellsignal.com
For Research Use Only. Not for Use in Diagnostic Procedures.

Revision 7

Cell Signaling Technology Logo
Confocal immunofluorescent analysis of control 293T cells (left, positive) or CRISPR/Cas9 RhoA knockout (KO) 293T cells (right, negative) using RhoA (67B9) Rabbit mAb #2117 (green) and DAPI #4083 (blue).
Immunofluorescence Image 1: RhoA (67B9) Rabbit Monoclonal Antibody
Orders: 877-616-CELL (2355) [email protected] Support: 877-678-TECH (8324) [email protected] Web: cellsignal.com
For Research Use Only. Not for Use in Diagnostic Procedures.