Revision 1

#12187

Store at -20C

CST Logo
Orders:

877-616-CELL (2355)

[email protected]

Support:

877-678-TECH (8324)

3 Trask Lane | Danvers | Massachusetts | 01923 | USA

For Research Use Only. Not for Use in Diagnostic Procedures.

Applications:
W, IP

Reactivity:
H

Sensitivity:
Endogenous

MW (kDa):
130

Source/Isotype:
Rabbit IgG

UniProt ID:
#O75150

Entrez-Gene Id:
9810

Product Usage Information

Application Dilution
Western Blotting 1:1000
Immunoprecipitation 1:100

Storage

Supplied in 10 mM sodium HEPES (pH 7.5), 150 mM NaCl, 100 µg/ml BSA, 50% glycerol and less than 0.02% sodium azide. Store at –20°C. Do not aliquot the antibody.

Specificity/Sensitivity

RNF40 (D2R2O) Rabbit Monoclonal Antibody recognizes endogenous levels of total RNF40 protein. This antibody does not cross-react with RNF20/BRE1A.

Source / Purification

Monoclonal antibody is produced by immunizing animals with a synthetic peptide corresponding to residues surrounding Asp537 of human RNF40 protein.

Background

In mammalian cells, the significance of histone H2B ubiquitination in chromatin epigenetics came from the identification of the budding yeast protein Bre1 (1,2). Together with the ubiquitin-conjugating enzyme Rad6, Bre1 serves as the E3 ligase in the monoubiquitination of the yeast histone H2B within transcribed regions of chromatin (1-3). Subsequently, the mammalian orthologs of yeast Bre1, RNF20 and RNF40, were identified (4,5). These two proteins form a tight heterodimer that acts as the major E3 ligase responsible for histone H2B monoubiquitination at Lys120 in mammalian cells, a modification linked to RNA Pol II-dependent transcription elongation in undamaged cells. Researchers have shown that DNA double-strand breaks (DSBs) are also capable of inducing monoubiquitination of H2B. This process depends upon the recruitment to DSB sites, as well as ATM-dependent phosphorylation of the RNF20-RNF40 heterodimer, thus highlighting a role for this E3 ligase in DSB repair pathways (6). Indeed, investigators have shown that loss of RNF20-RNF40 function promotes replication stress and chromosomal instability, which may constitute an early step in malignant transformation that precedes cell invasion (7).

Species Reactivity

Species reactivity is determined by testing in at least one approved application (e.g., western blot).

Western Blot Buffer

IMPORTANT: For western blots, incubate membrane with diluted primary antibody in 5% w/v BSA, 1X TBS, 0.1% Tween® 20 at 4°C with gentle shaking, overnight.

Applications Key

W: Western Blotting IP: Immunoprecipitation

Cross-Reactivity Key

H: Human

Trademarks and Patents

Cell Signaling Technology is a trademark of Cell Signaling Technology, Inc.

All other trademarks are the property of their respective owners. Visit cellsignal.com/trademarks for more information.

Limited Uses

Except as otherwise expressly agreed in a writing signed by a legally authorized representative of CST, the following terms apply to Products provided by CST, its affiliates or its distributors. Any Customer's terms and conditions that are in addition to, or different from, those contained herein, unless separately accepted in writing by a legally authorized representative of CST, are rejected and are of no force or effect.

Products are labeled with For Research Use Only or a similar labeling statement and have not been approved, cleared, or licensed by the FDA or other regulatory foreign or domestic entity, for any purpose. Customer shall not use any Product for any diagnostic or therapeutic purpose, or otherwise in any manner that conflicts with its labeling statement. Products sold or licensed by CST are provided for Customer as the end-user and solely for research and development uses. Any use of Product for diagnostic, prophylactic or therapeutic purposes, or any purchase of Product for resale (alone or as a component) or other commercial purpose, requires a separate license from CST. Customer shall (a) not sell, license, loan, donate or otherwise transfer or make available any Product to any third party, whether alone or in combination with other materials, or use the Products to manufacture any commercial products, (b) not copy, modify, reverse engineer, decompile, disassemble or otherwise attempt to discover the underlying structure or technology of the Products, or use the Products for the purpose of developing any products or services that would compete with CST products or services, (c) not alter or remove from the Products any trademarks, trade names, logos, patent or copyright notices or markings, (d) use the Products solely in accordance with CST Product Terms of Sale and any applicable documentation, and (e) comply with any license, terms of service or similar agreement with respect to any third party products or services used by Customer in connection with the Products.

Orders: 877-616-CELL (2355) [email protected] Support: 877-678-TECH (8324) [email protected] Web: cellsignal.com
For Research Use Only. Not for Use in Diagnostic Procedures.

Revision 1

Cell Signaling Technology Logo
Western blot analysis of extracts from various cell lines using RNF40 (D2R2O) Rabbit mAb.
Western Blotting Image 1: RNF40 (D2R2O) Rabbit Monoclonal Antibody
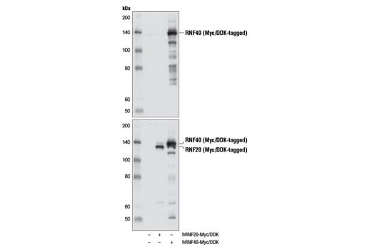
Western blot analysis of extracts from 293T cells, mock transfected (-) or transfected with constructs expressing Myc/DDK-tagged full-length human RNF20 (hRNF20-Myc/DDK; +) and Myc/DDK-tagged full-length human RNF40 (hRNF40-Myc/DDK; +), using RNF40 (D2R2O) Rabbit mAb (upper) or DYKDDDDK Tag Antibody #2368 (lower).
Western Blotting Image 2: RNF40 (D2R2O) Rabbit Monoclonal Antibody
Immunoprecipitation of RNF40 from 293T cell extracts, using Rabbit (DA1E) mAb IgG XP® Isotype Control #3900 (lane 2) or RNF40 (D2R2O) Rabbit mAb (lane 3). Lane 1 is 10% input. Western blot analysis was performed using RNF40 (D2R2O) Rabbit mAb.
Immunoprecipitation Image 1: RNF40 (D2R2O) Rabbit Monoclonal Antibody
Orders: 877-616-CELL (2355) [email protected] Support: 877-678-TECH (8324) [email protected] Web: cellsignal.com
For Research Use Only. Not for Use in Diagnostic Procedures.