Revision 1

#64005

Store at -20C

CST Logo
Orders:

877-616-CELL (2355)

[email protected]

Support:

877-678-TECH (8324)

3 Trask Lane | Danvers | Massachusetts | 01923 | USA

For Research Use Only. Not for Use in Diagnostic Procedures.

Applications:
W, IHC-P, IF-IC, FC-FP

Reactivity:
H

Sensitivity:
Endogenous

MW (kDa):
32

Source/Isotype:
Rabbit IgG

UniProt ID:
#P15927

Entrez-Gene Id:
6118

Product Usage Information

This product is the carrier free version of product #35869. All data were generated using the same antibody clone in the standard formulation which contains BSA and glycerol.

This formulation is ideal for use with technologies requiring specialized or custom antibody labeling, including fluorophores, metals, lanthanides, and oligonucleotides. It is not recommended for ChIP, ChIP-seq, CUT&RUN or CUT&Tag assays. If you require a carrier free formulation for chromatin profiling, please contact us. Optimal dilutions/concentrations should be determined by the end user.

BSA and Azide Free antibodies are quality control tested by size exclusion chromatography (SEC) to determine antibody integrity.

Formulation

Supplied in 1X PBS (10 mM Na2HPO4, 3 mM KCl, 2 mM KH2PO4, and 140 mM NaCl (pH 7.8)). BSA and Azide Free.

For standard formulation of this product see product #35869

Storage

Store at -20°C. This product will freeze at -20°C so it is recommended to aliquot into single-use vials to avoid multiple freeze/thaw cycles. A slight precipitate may be present and can be dissolved by gently vortexing. This will not interfere with antibody performance.

Specificity/Sensitivity

RPA32/RPA2 (E8X5P) Rabbit Monoclonal Antibody (BSA and Azide Free) recognizes endogenous levels of total RPA32 protein.

Source / Purification

Monoclonal antibody is produced by immunizing animals with recombinant protein specific to the amino terminus of human RPA32 protein.

Background

RPA70 (HSSB, REPA1, RF-A, RP-A, p70) is a component of a heterotrimeric complex, composed of 70, 32/30, and 14 kDa subunits, collectively known as RPA. RPA is a single-stranded DNA binding protein, whose DNA binding activity is believed to reside entirely in the 70 kDa subunit. The complex is required for almost all aspects of cellular DNA metabolism such as DNA replication (1-3), recombination, cell cycle and DNA damage checkpoints, and all major types of DNA repair including nucleotide excision, base excision, mismatch, and double-strand break repairs (4-7). In response to genotoxic stress in eukaryotic cells, RPA has been shown to associate with the Rad9/Rad1/Hus1 (9-1-1) checkpoint complex (8). RPA is hyperphosphorylated upon DNA damage or replication stress by checkpoint kinases including ataxia telangiectasia mutated (ATM), ATM and Rad3-related (ATR), and DNA-dependent protein kinase (DNA-PK) (9-11). Phosphorylation of RPA32 occurs at serines 4, 8, and 33 (11). Hyperphosphorylation may alter RPA-DNA and RPA-protein interactions. In addition to the checkpoint partners, RPA interacts with a wide variety of protein partners, including proteins required for normal replication such as RCF, PCNA, and Pol α, and also proteins involved in SV40 replication, such as DNA polymerase I and SV40 large T antigen (10,12).

Species Reactivity

Species reactivity is determined by testing in at least one approved application (e.g., western blot).

Applications Key

W: Western Blotting IHC-P: Immunohistochemistry (Paraffin) IF-IC: Immunofluorescence (Immunocytochemistry) FC-FP: Flow Cytometry (Fixed/Permeabilized)

Cross-Reactivity Key

H: Human

Trademarks and Patents

Cell Signaling Technology is a trademark of Cell Signaling Technology, Inc.

SignalStain is a registered trademark of Cell Signaling Technology, Inc.

All other trademarks are the property of their respective owners. Visit cellsignal.com/trademarks for more information.

Limited Uses

Except as otherwise expressly agreed in a writing signed by a legally authorized representative of CST, the following terms apply to Products provided by CST, its affiliates or its distributors. Any Customer's terms and conditions that are in addition to, or different from, those contained herein, unless separately accepted in writing by a legally authorized representative of CST, are rejected and are of no force or effect.

Products are labeled with For Research Use Only or a similar labeling statement and have not been approved, cleared, or licensed by the FDA or other regulatory foreign or domestic entity, for any purpose. Customer shall not use any Product for any diagnostic or therapeutic purpose, or otherwise in any manner that conflicts with its labeling statement. Products sold or licensed by CST are provided for Customer as the end-user and solely for research and development uses. Any use of Product for diagnostic, prophylactic or therapeutic purposes, or any purchase of Product for resale (alone or as a component) or other commercial purpose, requires a separate license from CST. Customer shall (a) not sell, license, loan, donate or otherwise transfer or make available any Product to any third party, whether alone or in combination with other materials, or use the Products to manufacture any commercial products, (b) not copy, modify, reverse engineer, decompile, disassemble or otherwise attempt to discover the underlying structure or technology of the Products, or use the Products for the purpose of developing any products or services that would compete with CST products or services, (c) not alter or remove from the Products any trademarks, trade names, logos, patent or copyright notices or markings, (d) use the Products solely in accordance with CST Product Terms of Sale and any applicable documentation, and (e) comply with any license, terms of service or similar agreement with respect to any third party products or services used by Customer in connection with the Products.

Orders: 877-616-CELL (2355) [email protected] Support: 877-678-TECH (8324) [email protected] Web: cellsignal.com
For Research Use Only. Not for Use in Diagnostic Procedures.

Revision 1

Cell Signaling Technology Logo
Western blot analysis of extracts from various cell lines using RPA32/RPA2 (E8X5P) XP® Rabbit mAb. Data were generated using the standard formulation of this product.
Western Blotting Image 1: RPA32/RPA2 (E8X5P) Rabbit Monoclonal Antibody (BSA and Azide Free)
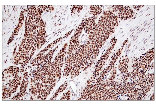
Immunohistochemical analysis of paraffin-embedded human colon carcinoma using RPA32/RPA2 (E8X5P) XP® Rabbit mAb. Data were generated using the standard formulation of this product.
Immunohistochemistry Image 1: RPA32/RPA2 (E8X5P) Rabbit Monoclonal Antibody (BSA and Azide Free)
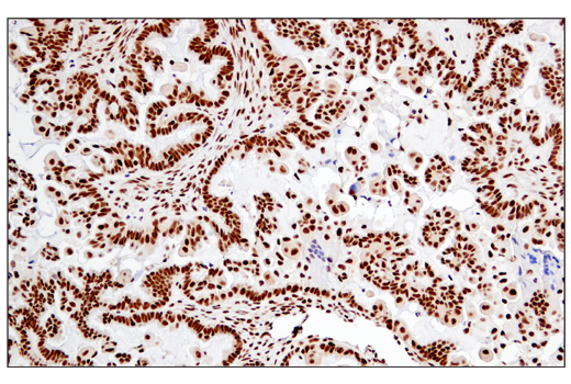
Immunohistochemical analysis of paraffin-embedded human esophageal carcinoma using RPA32/RPA2 (E8X5P) XP® Rabbit mAb. Data were generated using the standard formulation of this product.
Immunohistochemistry Image 2: RPA32/RPA2 (E8X5P) Rabbit Monoclonal Antibody (BSA and Azide Free)
Orders: 877-616-CELL (2355) [email protected] Support: 877-678-TECH (8324) [email protected] Web: cellsignal.com
For Research Use Only. Not for Use in Diagnostic Procedures.

Revision 1

Cell Signaling Technology Logo
Immunohistochemical analysis of paraffin-embedded human ductal breast carcinoma using RPA32/RPA2 (E8X5P) XP® Rabbit mAb (left) compared to concentration matched Rabbit (DA1E) mAb IgG XP® Isotype Control #3900 (right). Data were generated using the standard formulation of this product.
Immunohistochemistry Image 3: RPA32/RPA2 (E8X5P) Rabbit Monoclonal Antibody (BSA and Azide Free)
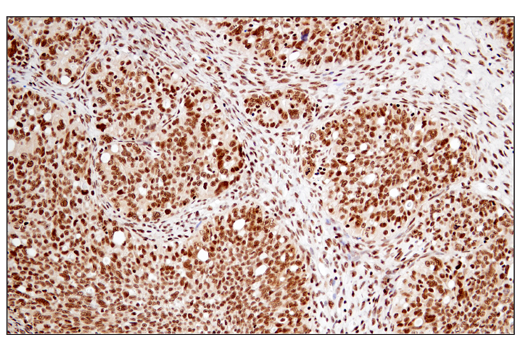
Immunohistochemical analysis of paraffin-embedded human ovarian clear cell carcinoma using RPA32/RPA2 (E8X5P) XP® Rabbit mAb. Data were generated using the standard formulation of this product.
Immunohistochemistry Image 4: RPA32/RPA2 (E8X5P) Rabbit Monoclonal Antibody (BSA and Azide Free)
Immunohistochemical analysis of paraffin-embedded human serous papillary carcinoma of the ovary using RPA32/RPA2 (E8X5P) XP® Rabbit mAb. Data were generated using the standard formulation of this product.
Immunohistochemistry Image 5: RPA32/RPA2 (E8X5P) Rabbit Monoclonal Antibody (BSA and Azide Free)
Orders: 877-616-CELL (2355) [email protected] Support: 877-678-TECH (8324) [email protected] Web: cellsignal.com
For Research Use Only. Not for Use in Diagnostic Procedures.

Revision 1

Cell Signaling Technology Logo
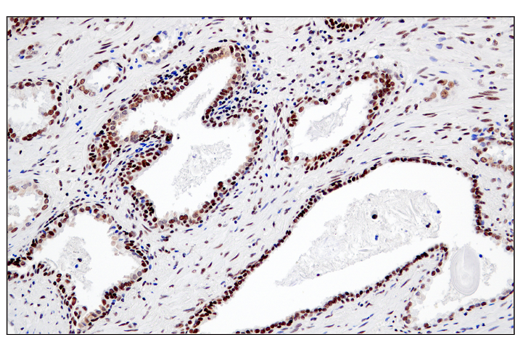
Immunohistochemical analysis of paraffin-embedded human prostate carcinoma using RPA32/RPA2 (E8X5P) XP® Rabbit mAb. Data were generated using the standard formulation of this product.
Immunohistochemistry Image 6: RPA32/RPA2 (E8X5P) Rabbit Monoclonal Antibody (BSA and Azide Free)
Confocal immunofluorescent analysis of HeLa cells, untreated (left) or UV-treated (right), using RPA32/RPA2 (E8X5P) XP® Rabbit mAb (green) showing translocation to distinct nuclear foci after UV-induced damage. Actin filaments were labeled with DyLight™ 554 Phalloidin #13054 (red). Samples were mounted in ProLong® Gold Antifade Reagent with DAPI #8961 (blue). Data were generated using the standard formulation of this product.
Immunofluorescence Image 1: RPA32/RPA2 (E8X5P) Rabbit Monoclonal Antibody (BSA and Azide Free)
Flow cytometric analysis of Jurkat cells using RPA32/RPA2 (E8X5P) XP® Rabbit mAb (right) and DAPI #4083, compared to concentration-matched Rabbit (DA1E) mAb IgG XP® Isotype Control #3900 (left). Anti-rabbit IgG (H+L), F(ab')2 Fragment (Alexa Fluor® 647 Conjugate) #4414 was used as a secondary antibody. Data were generated using the standard formulation of this product.
Flow Cytometry Image 1: RPA32/RPA2 (E8X5P) Rabbit Monoclonal Antibody (BSA and Azide Free)
Orders: 877-616-CELL (2355) [email protected] Support: 877-678-TECH (8324) [email protected] Web: cellsignal.com
For Research Use Only. Not for Use in Diagnostic Procedures.