Revision 5

#65939

Store at -20C

CST Logo
Orders:

877-616-CELL (2355)

[email protected]

Support:

877-678-TECH (8324)

3 Trask Lane | Danvers | Massachusetts | 01923 | USA

For Research Use Only. Not for Use in Diagnostic Procedures.

Applications:
W, W-S, IHC-P, IF-IC

Reactivity:
H

Sensitivity:
Endogenous

MW (kDa):
45

Source/Isotype:
Rabbit IgG

UniProt ID:
#P31350

Entrez-Gene Id:
6241

Product Usage Information

Application Dilution
Western Blotting 1:1000
Simple Western™ 1:50 - 1:250
Immunohistochemistry (Paraffin) 1:100 - 1:400
Immunofluorescence (Immunocytochemistry) 1:400 - 1:1600

Storage

Supplied in 10 mM sodium HEPES (pH 7.5), 150 mM NaCl, 100 µg/ml BSA, 50% glycerol and less than 0.02% sodium azide. Store at –20°C. Do not aliquot the antibody.

For a carrier free (BSA and azide free) version of this product see product #54033.

Specificity/Sensitivity

RRM2 (E7Y9J) Rabbit Monoclonal Antibody recognizes endogenous levels of total RRM2 protein.

Source / Purification

Monoclonal antibody is produced by immunizing animals with a synthetic peptide corresponding to residues surrounding Pro55 of human RRM2 protein.

Background

Ribonucleotide reductase catalyzes the rate-limiting step in the synthesis of deoxynucleotide triphosphates (dNTPs). Ribonucleoside-diphosphate reductase subunit M2 (RRM2) is frequently overexpressed and associated with poor prognosis in multiple human cancers (1). RRM2/AKT/NF-κB signaling pathway is implicated in tumor invasiveness in gastric cancer (2). RRM2 is highly expressed in melanoma, and correlated with poor prognosis in BRAF-mutant melanoma. Knockdown of RRM2 stabilized the transient response of cells and patient-derived xenograft (PDX) model system to BRAF inhibition (3).Cyclin-dependent kinase (CDK) mediated phosphorylation of RRM2 at Thr33 targets the protein for degradation, allowing cells to maintain balanced dNTP pools (4).

Species Reactivity

Species reactivity is determined by testing in at least one approved application (e.g., western blot).

Western Blot Buffer

IMPORTANT: For western blots, incubate membrane with diluted primary antibody in 5% w/v BSA, 1X TBS, 0.1% Tween® 20 at 4°C with gentle shaking, overnight.

Applications Key

W: Western Blotting W-S: Simple Western™ IHC-P: Immunohistochemistry (Paraffin) IF-IC: Immunofluorescence (Immunocytochemistry)

Cross-Reactivity Key

H: Human

Trademarks and Patents

Cell Signaling Technology is a trademark of Cell Signaling Technology, Inc.

SignalStain is a registered trademark of Cell Signaling Technology, Inc.

All other trademarks are the property of their respective owners. Visit cellsignal.com/trademarks for more information.

Limited Uses

Except as otherwise expressly agreed in a writing signed by a legally authorized representative of CST, the following terms apply to Products provided by CST, its affiliates or its distributors. Any Customer's terms and conditions that are in addition to, or different from, those contained herein, unless separately accepted in writing by a legally authorized representative of CST, are rejected and are of no force or effect.

Products are labeled with For Research Use Only or a similar labeling statement and have not been approved, cleared, or licensed by the FDA or other regulatory foreign or domestic entity, for any purpose. Customer shall not use any Product for any diagnostic or therapeutic purpose, or otherwise in any manner that conflicts with its labeling statement. Products sold or licensed by CST are provided for Customer as the end-user and solely for research and development uses. Any use of Product for diagnostic, prophylactic or therapeutic purposes, or any purchase of Product for resale (alone or as a component) or other commercial purpose, requires a separate license from CST. Customer shall (a) not sell, license, loan, donate or otherwise transfer or make available any Product to any third party, whether alone or in combination with other materials, or use the Products to manufacture any commercial products, (b) not copy, modify, reverse engineer, decompile, disassemble or otherwise attempt to discover the underlying structure or technology of the Products, or use the Products for the purpose of developing any products or services that would compete with CST products or services, (c) not alter or remove from the Products any trademarks, trade names, logos, patent or copyright notices or markings, (d) use the Products solely in accordance with CST Product Terms of Sale and any applicable documentation, and (e) comply with any license, terms of service or similar agreement with respect to any third party products or services used by Customer in connection with the Products.

Orders: 877-616-CELL (2355) [email protected] Support: 877-678-TECH (8324) [email protected] Web: cellsignal.com
For Research Use Only. Not for Use in Diagnostic Procedures.

Revision 5

Cell Signaling Technology Logo
Western blot analysis of extracts from various cell lines using RRM2 (E7Y9J) XP® Rabbit mAb (upper) or β-Actin (D6A8) Rabbit mAb #8457 (lower). In lanes 5 and 6, HT-29 cells were treated with vehicle control (-) or Aphidicolin (10 μg/mL, 24 hr; +), showing enrichment of RRM2 expression at the G1/S phase border.
Western Blotting Image 1: RRM2 (E7Y9J) Rabbit Monoclonal Antibody
Simple Western™ analysis of lysates (1.0 mg/mL) from PANC-1 cells using RRM2 (E7Y9J) XP® Rabbit mAb #65939. The virtual lane view (left) shows the target band (as indicated) at 1:50 and 1:250 dilutions of primary antibody. The corresponding electropherogram view (right) plots chemiluminescence by molecular weight along the capillary at 1:50 (blue line) and 1:250 (green line) dilutions of primary antibody. This experiment was performed under reducing conditions on the Jess™ Simple Western instrument from ProteinSimple, a BioTechne brand, using the 12-230 kDa separation module.
Western Blotting Image 1: RRM2 (E7Y9J) Rabbit Monoclonal Antibody
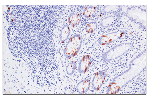
Immunohistochemical analysis of paraffin-embedded human appendix using RRM2 (E7Y9J) XP® Rabbit mAb.
Immunohistochemistry Image 1: RRM2 (E7Y9J) Rabbit Monoclonal Antibody
Orders: 877-616-CELL (2355) [email protected] Support: 877-678-TECH (8324) [email protected] Web: cellsignal.com
For Research Use Only. Not for Use in Diagnostic Procedures.

Revision 5

Cell Signaling Technology Logo
Immunohistochemical analysis of paraffin-embedded human urothelial carcinoma using RRM2 (E7Y9J) XP® Rabbit mAb.
Immunohistochemistry Image 2: RRM2 (E7Y9J) Rabbit Monoclonal Antibody
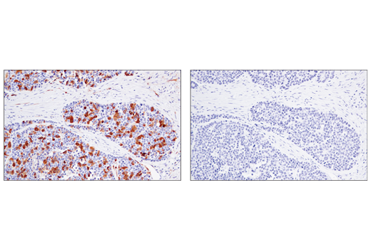
Immunohistochemical analysis of paraffin-embedded human colon carcinoma using RRM2 (E7Y9J) XP® Rabbit mAb (left) compared to concentration-matched Rabbit (DA1E) mAb IgG XP® Isotype Control #3900 (right).
Immunohistochemistry Image 3: RRM2 (E7Y9J) Rabbit Monoclonal Antibody
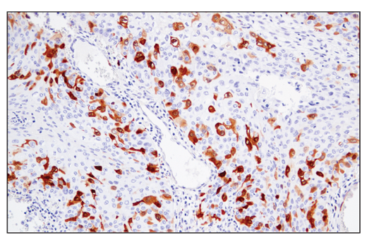
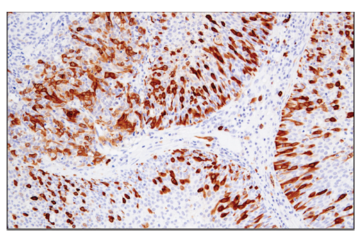
Immunohistochemical analysis of paraffin-embedded human squamous cell lung carcinoma using RRM2 (E7Y9J) XP® Rabbit mAb.
Immunohistochemistry Image 4: RRM2 (E7Y9J) Rabbit Monoclonal Antibody
Orders: 877-616-CELL (2355) [email protected] Support: 877-678-TECH (8324) [email protected] Web: cellsignal.com
For Research Use Only. Not for Use in Diagnostic Procedures.

Revision 5

Cell Signaling Technology Logo
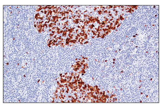
Immunohistochemical analysis of paraffin-embedded human lymph node using RRM2 (E7Y9J) XP® Rabbit mAb.
Immunohistochemistry Image 5: RRM2 (E7Y9J) Rabbit Monoclonal Antibody
Immunohistochemical analysis of paraffin-embedded HT-29 cell pellet, untreated (left) or treated with Aphidicolin (right), using RRM2 (E7Y9J) XP® Rabbit mAb.
Immunohistochemistry Image 6: RRM2 (E7Y9J) Rabbit Monoclonal Antibody
Confocal immunofluorescent analysis of HT-29 cells, untreated (left) or treated with Aphidicolin (10 μg/ml, 24 hr; right), using RRM2 (E7Y9J) XP® Rabbit mAb (green). Actin filaments were labeled with DyLight™ 554 Phalloidin #13054 (red). Samples were mounted in ProLong® Gold Antifade Reagent with DAPI #8961 (blue).
Immunofluorescence Image 1: RRM2 (E7Y9J) Rabbit Monoclonal Antibody
Orders: 877-616-CELL (2355) [email protected] Support: 877-678-TECH (8324) [email protected] Web: cellsignal.com
For Research Use Only. Not for Use in Diagnostic Procedures.