Revision 5

#5528

Store at -20C

CST Logo
Orders:

877-616-CELL (2355)

[email protected]

Support:

877-678-TECH (8324)

3 Trask Lane | Danvers | Massachusetts | 01923 | USA

For Research Use Only. Not for Use in Diagnostic Procedures.

Applications:
W, W-S, IHC-P, IF-IC, FC-FP

Reactivity:
H M R Mk B Pg

Sensitivity:
Endogenous

MW (kDa):
90

Source/Isotype:
Rabbit IgG

UniProt ID:
#P51812

Entrez-Gene Id:
6197

Product Usage Information

Application Dilution
Western Blotting 1:1000
Simple Western™ 1:10 - 1:50
Immunohistochemistry (Paraffin) 1:800 - 1:3200
Immunofluorescence (Immunocytochemistry) 1:200 - 1:400
Flow Cytometry (Fixed/Permeabilized) 1:50 - 1:200

Storage

Supplied in 10 mM sodium HEPES (pH 7.5), 150 mM NaCl, 100 µg/ml BSA, 50% glycerol and less than 0.02% sodium azide. Store at –20°C. Do not aliquot the antibody.

For a carrier free (BSA and azide free) version of this product see product #99402.

Specificity/Sensitivity

RSK2 (D21B2) Rabbit Monoclonal Antibody recognizes endogenous levels of total RSK2 protein. This antibody does not cross-react with other RSK isoforms.

Species predicted to react based on 100% sequence homology

Dog, Horse, Rabbit

Source / Purification

Monoclonal antibody is produced by immunizing animals with a synthetic peptide corresponding to residues surrounding Pro686 of human RSK2 protein.

Background

The 90 kDa ribosomal S6 kinases (RSK1-4) are a family of widely expressed Ser/Thr kinases characterized by two nonidentical, functional kinase domains (1) and a carboxy-terminal docking site for extracellular signal-regulated kinases (ERKs) (2). Several sites both within and outside of the RSK kinase domain, including Ser380, Thr359, Ser363, and Thr573, are important for kinase activation (3). RSK1-3 are activated via coordinated phosphorylation by MAPKs, autophosphorylation, and phosphoinositide-3-OH kinase (PI3K) in response to many growth factors, polypeptide hormones, and neurotransmitters (3).

Stimulation by various growth factors leads to activation of RSK2, which is a critical downstream effector kinase in several pathways. EGF stimulation leads to phosphorylation of CREB at Ser133 and phosphorylation of histone H3 in vivo by RSK2 (4,5). RSK2 phosphorylation of p53 may help regulate chromatin structure and cell cycle (6). RSK2 is prominently expressed in the brain and is essential for cognitive function and learning. During development, RSK2 regulates the differentiation of osteoblasts and skeletal muscle cells (7,8). Mutations in the corresponding gene are associated with Coffin-Lowry syndrome (CLS), an X-linked disorder characterized by mental retardation and the presence of characteristic facial anomalies (9).

Species Reactivity

Species reactivity is determined by testing in at least one approved application (e.g., western blot).

Western Blot Buffer

IMPORTANT: For western blots, incubate membrane with diluted primary antibody in 5% w/v BSA, 1X TBS, 0.1% Tween® 20 at 4°C with gentle shaking, overnight.

Applications Key

W: Western Blotting W-S: Simple Western™ IHC-P: Immunohistochemistry (Paraffin) IF-IC: Immunofluorescence (Immunocytochemistry) FC-FP: Flow Cytometry (Fixed/Permeabilized)

Cross-Reactivity Key

H: Human M: Mouse R: Rat Mk: Monkey B: Bovine Pg: Pig

Trademarks and Patents

Cell Signaling Technology is a trademark of Cell Signaling Technology, Inc.

All other trademarks are the property of their respective owners. Visit cellsignal.com/trademarks for more information.

Limited Uses

Except as otherwise expressly agreed in a writing signed by a legally authorized representative of CST, the following terms apply to Products provided by CST, its affiliates or its distributors. Any Customer's terms and conditions that are in addition to, or different from, those contained herein, unless separately accepted in writing by a legally authorized representative of CST, are rejected and are of no force or effect.

Products are labeled with For Research Use Only or a similar labeling statement and have not been approved, cleared, or licensed by the FDA or other regulatory foreign or domestic entity, for any purpose. Customer shall not use any Product for any diagnostic or therapeutic purpose, or otherwise in any manner that conflicts with its labeling statement. Products sold or licensed by CST are provided for Customer as the end-user and solely for research and development uses. Any use of Product for diagnostic, prophylactic or therapeutic purposes, or any purchase of Product for resale (alone or as a component) or other commercial purpose, requires a separate license from CST. Customer shall (a) not sell, license, loan, donate or otherwise transfer or make available any Product to any third party, whether alone or in combination with other materials, or use the Products to manufacture any commercial products, (b) not copy, modify, reverse engineer, decompile, disassemble or otherwise attempt to discover the underlying structure or technology of the Products, or use the Products for the purpose of developing any products or services that would compete with CST products or services, (c) not alter or remove from the Products any trademarks, trade names, logos, patent or copyright notices or markings, (d) use the Products solely in accordance with CST Product Terms of Sale and any applicable documentation, and (e) comply with any license, terms of service or similar agreement with respect to any third party products or services used by Customer in connection with the Products.

Orders: 877-616-CELL (2355) [email protected] Support: 877-678-TECH (8324) [email protected] Web: cellsignal.com
For Research Use Only. Not for Use in Diagnostic Procedures.

Revision 5

Cell Signaling Technology Logo
Western blot analysis of extracts from various cell lines using RSK2 (D21B2) XP® Rabbit mAb.
Western Blotting Image 1: RSK2 (D21B2) Rabbit Monoclonal Antibody
Western blot analysis of recombinant GST-tagged RSK1, RSK2, and RSK3 (2 μg each) using RSK1 (D6D5) Rabbit mAb #8408 (left panel), RSK2 (D21B2) XP® Rabbit mAb #5528 (center panel), or GST (91G1) Rabbit mAb #2625 (right panel).
Western Blotting Image 2: RSK2 (D21B2) Rabbit Monoclonal Antibody

Simple Western™ analysis of lysates (0.1 mg/mL) from COS-7 untreated cells using RSK2 (D21B2) XP® Rabbit mAb #5528. The virtual lane view (left) shows a single target band (as indicated) at 1:10 and 1:50 dilutions of primary antibody. The corresponding electropherogram view (right) plots chemiluminescence by molecular weight along the capillary at 1:10 (blue line) and 1:50 (green line) dilutions of primary antibody. This experiment was performed under reducing conditions on the Jess™ Simple Western instrument from ProteinSimple, a BioTechne brand, using the 12-230 kDa separation module.

Western Blotting Image 1: RSK2 (D21B2) Rabbit Monoclonal Antibody
Orders: 877-616-CELL (2355) [email protected] Support: 877-678-TECH (8324) [email protected] Web: cellsignal.com
For Research Use Only. Not for Use in Diagnostic Procedures.

Revision 5

Cell Signaling Technology Logo
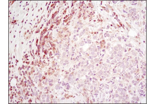
Immunohistochemical analysis of paraffin-embedded human breast carcinoma using RSK2 (D21B2) XP® Rabbit mAb.
Immunohistochemistry Image 1: RSK2 (D21B2) Rabbit Monoclonal Antibody
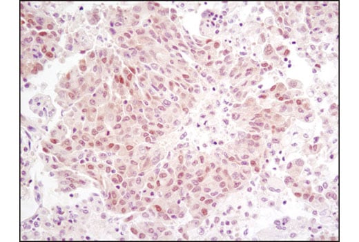
Immunohistochemical analysis of paraffin-embedded human lung carcinoma using RSK2 (D21B2) XP® Rabbit mAb.
Immunohistochemistry Image 2: RSK2 (D21B2) Rabbit Monoclonal Antibody
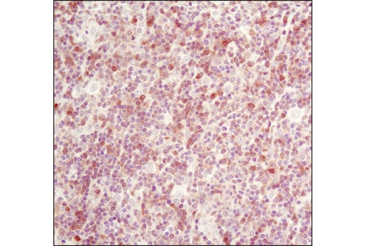
Immunohistochemical analysis of paraffin-embedded human lymphoma using RSK2 (D21B2) XP® Rabbit mAb.
Immunohistochemistry Image 3: RSK2 (D21B2) Rabbit Monoclonal Antibody
Orders: 877-616-CELL (2355) [email protected] Support: 877-678-TECH (8324) [email protected] Web: cellsignal.com
For Research Use Only. Not for Use in Diagnostic Procedures.

Revision 5

Cell Signaling Technology Logo
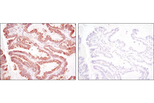
Immunohistochemical analysis of paraffin-embedded human ovarian serous adenocarcinoma using RSK2 (D21B2) XP® Rabbit mAb in the presence of control peptide (left) or antigen-specific peptide (right).
Immunohistochemistry Image 4: RSK2 (D21B2) Rabbit Monoclonal Antibody
Confocal immunofluorescent analysis of MCF7 cells, untreated (left) or treated with sodium arsenite (500 uM for 1 hr; right) using RSK2 (D21B2) XP® Rabbit mAb (green). Blue pseudocolor = DRAQ5® #4084 (fluorescent DNA dye). Localization of RSK2 to "stress granules" in arsenite-treated cells is very similar to that seen by Eisinger-Mathason et. al. (Molecular Cell, Volume 1, 5 September 2008, Pages 722-736).
Immunofluorescence Image 1: RSK2 (D21B2) Rabbit Monoclonal Antibody
Confocal immunofluorescent analysis of MCF7 cells, untreated (left) or treated with insulin, EGF, and serum (right), using RSK2 (D21B2) XP® Rabbit mAb (green). Blue pseudocolor = DRAQ5® #4084 (fluorescent DNA dye).
Immunofluorescence Image 2: RSK2 (D21B2) Rabbit Monoclonal Antibody
Orders: 877-616-CELL (2355) [email protected] Support: 877-678-TECH (8324) [email protected] Web: cellsignal.com
For Research Use Only. Not for Use in Diagnostic Procedures.

Revision 5

Cell Signaling Technology Logo
Flow cytometric analysis of HeLa cells using RSK2 (D21B2) XP® Rabbit mAb (blue) compared to Rabbit (DA1E) mAb IgG XP® Isotype Control #3900 (red).
Flow Cytometry Image 1: RSK2 (D21B2) Rabbit Monoclonal Antibody
Orders: 877-616-CELL (2355) [email protected] Support: 877-678-TECH (8324) [email protected] Web: cellsignal.com
For Research Use Only. Not for Use in Diagnostic Procedures.