Revision 8

#9647

Store at -20C

CST Logo
Orders:

877-616-CELL (2355)

[email protected]

Support:

877-678-TECH (8324)

3 Trask Lane | Danvers | Massachusetts | 01923 | USA

For Research Use Only. Not for Use in Diagnostic Procedures.

Applications:
W, IP, IHC-P, FC-FP

Reactivity:
H M R

Sensitivity:
Endogenous

MW (kDa):
43-48

Source/Isotype:
Rabbit IgG

UniProt ID:
#Q13761

Entrez-Gene Id:
864

Product Usage Information

Application Dilution
Western Blotting 1:1000
Immunoprecipitation 1:50
Immunohistochemistry (Paraffin) 1:50 - 1:200
Flow Cytometry (Fixed/Permeabilized) 1:100 - 1:400

Storage

Supplied in 10 mM sodium HEPES (pH 7.5), 150 mM NaCl, 100 µg/ml BSA, 50% glycerol and less than 0.02% sodium azide. Store at –20°C. Do not aliquot the antibody.

For a carrier free (BSA and azide free) version of this product see product #86441.

Specificity/Sensitivity

RUNX3/AML2 (D6E2) Rabbit Monoclonal Antibody recognizes endogenous levels of both isoforms of RUNX3 protein. This antibody recognizes mouse RUNX3/AML2 protein and is also reactive with human RUNX3/AML2; however, this antibody is not suggested for immunohistochemical analysis of human tissues. This antibody does not recognize RUNX1 and RUNX2 proteins.

Source / Purification

Monoclonal antibody is produced by immunizing animals with a synthetic peptide corresponding to residues near the amino terminus of human RUNX3 protein.

Background

Runt-related transcription factor 3 (RUNX3, AML2), a member of the Runt family of transcription factors, plays an important role in the suppression of gastric epithelium cell proliferation (1), dorsal root ganglia neurogenesis (2), and T cell differentiation (3,4). RUNX3 is also involved in caspase-3-dependent apoptosis (5). Protein complexes containing RUNX3 and various transcription factors, such as Smads or β-catenin/TCF4, have tumor suppressor activity and regulate downstream target gene transcription (6,7). While typically localized to the nucleus, RUNX3 can be tyrosine phosphorylated and located in the cytoplasm of many cancer cells. This mislocalization of RUNX3 abolishes its tumor suppressor function and contributes to tumorigenesis (8). Research studies indicate that gene silencing or protein mislocalization inactivates RUNX3 in more than 80% of gastric cancers and other cancer types (1,9,10).

Species Reactivity

Species reactivity is determined by testing in at least one approved application (e.g., western blot).

Western Blot Buffer

IMPORTANT: For western blots, incubate membrane with diluted primary antibody in 5% w/v BSA, 1X TBS, 0.1% Tween® 20 at 4°C with gentle shaking, overnight.

Applications Key

W: Western Blotting IP: Immunoprecipitation IHC-P: Immunohistochemistry (Paraffin) FC-FP: Flow Cytometry (Fixed/Permeabilized)

Cross-Reactivity Key

H: Human M: Mouse R: Rat

Trademarks and Patents

Cell Signaling Technology is a trademark of Cell Signaling Technology, Inc.

All other trademarks are the property of their respective owners. Visit cellsignal.com/trademarks for more information.

Limited Uses

Except as otherwise expressly agreed in a writing signed by a legally authorized representative of CST, the following terms apply to Products provided by CST, its affiliates or its distributors. Any Customer's terms and conditions that are in addition to, or different from, those contained herein, unless separately accepted in writing by a legally authorized representative of CST, are rejected and are of no force or effect.

Products are labeled with For Research Use Only or a similar labeling statement and have not been approved, cleared, or licensed by the FDA or other regulatory foreign or domestic entity, for any purpose. Customer shall not use any Product for any diagnostic or therapeutic purpose, or otherwise in any manner that conflicts with its labeling statement. Products sold or licensed by CST are provided for Customer as the end-user and solely for research and development uses. Any use of Product for diagnostic, prophylactic or therapeutic purposes, or any purchase of Product for resale (alone or as a component) or other commercial purpose, requires a separate license from CST. Customer shall (a) not sell, license, loan, donate or otherwise transfer or make available any Product to any third party, whether alone or in combination with other materials, or use the Products to manufacture any commercial products, (b) not copy, modify, reverse engineer, decompile, disassemble or otherwise attempt to discover the underlying structure or technology of the Products, or use the Products for the purpose of developing any products or services that would compete with CST products or services, (c) not alter or remove from the Products any trademarks, trade names, logos, patent or copyright notices or markings, (d) use the Products solely in accordance with CST Product Terms of Sale and any applicable documentation, and (e) comply with any license, terms of service or similar agreement with respect to any third party products or services used by Customer in connection with the Products.

Orders: 877-616-CELL (2355) [email protected] Support: 877-678-TECH (8324) [email protected] Web: cellsignal.com
For Research Use Only. Not for Use in Diagnostic Procedures.

Revision 8

Cell Signaling Technology Logo
Western blot analysis of extracts from SW620 and HeLa cells using RUNX3/AML2 (D6E2) Rabbit mAb.
Western Blotting Image 1: RUNX3/AML2 (D6E2) Rabbit Monoclonal Antibody
Immunohistochemical analysis of paraffin-embedded mouse spleen using RUNX3/AML2 (D6E2) Rabbit mAb.
Immunohistochemistry Image 1: RUNX3/AML2 (D6E2) Rabbit Monoclonal Antibody
Immunohistochemical analysis of paraffin-embedded mouse colon using RUNX3/AML2 (D6E2) Rabbit mAb.
Immunohistochemistry Image 2: RUNX3/AML2 (D6E2) Rabbit Monoclonal Antibody
Orders: 877-616-CELL (2355) [email protected] Support: 877-678-TECH (8324) [email protected] Web: cellsignal.com
For Research Use Only. Not for Use in Diagnostic Procedures.

Revision 8

Cell Signaling Technology Logo
Immunohistochemical analysis of paraffin-embedded mouse small intestine using RUNX3/AML2 (D6E2) Rabbit mAb.
Immunohistochemistry Image 3: RUNX3/AML2 (D6E2) Rabbit Monoclonal Antibody
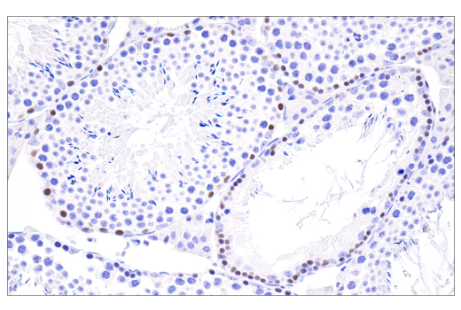
Immunohistochemical analysis of paraffin-embedded mouse testis using RUNX3/AML2 (D6E2) Rabbit mAb.
Immunohistochemistry Image 4: RUNX3/AML2 (D6E2) Rabbit Monoclonal Antibody
Immunohistochemical analysis of paraffin-embedded 4T1 syngeneic mammary tumor (left) or mouse thymus (right) using RUNX3/AML2 (D6E2) Rabbit mAb (top) or RUNX3/AML2 Rabbit mAb (bottom). These two antibodies detect independent, unique epitopes on human RUNX3/AML2. The similar staining patterns obtained with both antibodies help to confirm the specificity of the staining.
Immunohistochemistry Image 5: RUNX3/AML2 (D6E2) Rabbit Monoclonal Antibody
Orders: 877-616-CELL (2355) [email protected] Support: 877-678-TECH (8324) [email protected] Web: cellsignal.com
For Research Use Only. Not for Use in Diagnostic Procedures.

Revision 8

Cell Signaling Technology Logo
Immunohistochemical analysis of paraffin-embedded A20 syngeneic tumor using RUNX3/AML2 (D6E2) Rabbit mAb (left) compared to concentration-matched Rabbit (DA1E) mAb IgG XP® Isotype Control #3900 (right).
Immunohistochemistry Image 6: RUNX3/AML2 (D6E2) Rabbit Monoclonal Antibody
Immunohistochemical analysis of paraffin-embedded BA/F3 cell pellet (left, positive) or NIH/3T3 cell pellet (right, negative) using RUNX3/AML2 (D6E2) Rabbit mAb.
Immunohistochemistry Image 7: RUNX3/AML2 (D6E2) Rabbit Monoclonal Antibody
Flow cytometric analysis of K-562 cells (blue, negative) and SU-DHL-4 cells (green, positive) using RUNX3/AML2 (D6E2) Rabbit mAb (solid lines) or a concentration-matched Rabbit (DA1E) mAb IgG XP® Isotype Control #3900 (dashed lines). Anti-rabbit IgG (H+L), F(ab')₂ Fragment (Alexa Fluor® 488 Conjugate) #4412 was used as a secondary antibody.
Flow Cytometry Image 1: RUNX3/AML2 (D6E2) Rabbit Monoclonal Antibody
Orders: 877-616-CELL (2355) [email protected] Support: 877-678-TECH (8324) [email protected] Web: cellsignal.com
For Research Use Only. Not for Use in Diagnostic Procedures.