Revision 1

#18113

Store at -20C

CST Logo
Orders:

877-616-CELL (2355)

[email protected]

Support:

877-678-TECH (8324)

3 Trask Lane | Danvers | Massachusetts | 01923 | USA

For Research Use Only. Not for Use in Diagnostic Procedures.

Applications:
W, IP, IHC-P

Reactivity:
H

Sensitivity:
Endogenous

MW (kDa):
43-48

Source/Isotype:
Rabbit IgG

UniProt ID:
#Q13761

Entrez-Gene Id:
864

Product Usage Information

Application Dilution
Western Blotting 1:1000
Immunoprecipitation 1:200
Immunohistochemistry (Paraffin) 1:50 - 1:200

Storage

Supplied in 10 mM sodium HEPES (pH 7.5), 150 mM NaCl, 100 µg/mL BSA, 50% glycerol, and less than 0.02% sodium azide. Store at –20°C. Do not aliquot the antibody.

Specificity/Sensitivity

RUNX3/AML2 (E8D5W) Rabbit Monoclonal Antibody recognizes endogenous levels of total RUNX3/AML2 protein.

Source / Purification

Monoclonal antibody is produced by immunizing animals with human RUNX3/AML2 recombinant protein.

Background

Runt-related transcription factor 3 (RUNX3, AML2), a member of the Runt family of transcription factors, plays an important role in the suppression of gastric epithelium cell proliferation (1), dorsal root ganglia neurogenesis (2), and T cell differentiation (3,4). RUNX3 is also involved in caspase-3-dependent apoptosis (5). Protein complexes containing RUNX3 and various transcription factors, such as Smads or β-catenin/TCF4, have tumor suppressor activity and regulate downstream target gene transcription (6,7). While typically localized to the nucleus, RUNX3 can be tyrosine phosphorylated and located in the cytoplasm of many cancer cells. This mislocalization of RUNX3 abolishes its tumor suppressor function and contributes to tumorigenesis (8). Research studies indicate that gene silencing or protein mislocalization inactivates RUNX3 in more than 80% of gastric cancers and other cancer types (1,9,10).

Species Reactivity

Species reactivity is determined by testing in at least one approved application (e.g., western blot).

Western Blot Buffer

IMPORTANT: For western blots, incubate membrane with diluted primary antibody in 5% w/v BSA, 1X TBS, 0.1% Tween® 20 at 4°C with gentle shaking, overnight.

Applications Key

W: Western Blotting IP: Immunoprecipitation IHC-P: Immunohistochemistry (Paraffin)

Cross-Reactivity Key

H: Human

Trademarks and Patents

Cell Signaling Technology is a trademark of Cell Signaling Technology, Inc.

SignalStain is a registered trademark of Cell Signaling Technology, Inc.

All other trademarks are the property of their respective owners. Visit cellsignal.com/trademarks for more information.

Limited Uses

Except as otherwise expressly agreed in a writing signed by a legally authorized representative of CST, the following terms apply to Products provided by CST, its affiliates or its distributors. Any Customer's terms and conditions that are in addition to, or different from, those contained herein, unless separately accepted in writing by a legally authorized representative of CST, are rejected and are of no force or effect.

Products are labeled with For Research Use Only or a similar labeling statement and have not been approved, cleared, or licensed by the FDA or other regulatory foreign or domestic entity, for any purpose. Customer shall not use any Product for any diagnostic or therapeutic purpose, or otherwise in any manner that conflicts with its labeling statement. Products sold or licensed by CST are provided for Customer as the end-user and solely for research and development uses. Any use of Product for diagnostic, prophylactic or therapeutic purposes, or any purchase of Product for resale (alone or as a component) or other commercial purpose, requires a separate license from CST. Customer shall (a) not sell, license, loan, donate or otherwise transfer or make available any Product to any third party, whether alone or in combination with other materials, or use the Products to manufacture any commercial products, (b) not copy, modify, reverse engineer, decompile, disassemble or otherwise attempt to discover the underlying structure or technology of the Products, or use the Products for the purpose of developing any products or services that would compete with CST products or services, (c) not alter or remove from the Products any trademarks, trade names, logos, patent or copyright notices or markings, (d) use the Products solely in accordance with CST Product Terms of Sale and any applicable documentation, and (e) comply with any license, terms of service or similar agreement with respect to any third party products or services used by Customer in connection with the Products.

Orders: 877-616-CELL (2355) [email protected] Support: 877-678-TECH (8324) [email protected] Web: cellsignal.com
For Research Use Only. Not for Use in Diagnostic Procedures.

Revision 1

Cell Signaling Technology Logo
Western blot analysis of extracts from various cell lines using RUNX3/AML2 (E8D5W) XP® Rabbit mAb (upper) or β-Actin (D6A8) Rabbit mAb #8457 (lower).
Western Blotting Image 1: RUNX3/AML2 (E8D5W) Rabbit Monoclonal Antibody
Immunoprecipitation of RUNX3/AML2 protein from SW620 cell extracts. Lane 1 is 10% input, lane 2 is Rabbit (DA1E) mAb IgG XP® Isotype Control #3900, and lane 3 is RUNX3/AML2 (E8D5W) XP® Rabbit mAb. Western blot analysis was performed using RUNX3/AML2 (E8D5W) XP® Rabbit mAb. Mouse Anti-rabbit IgG (Conformation Specific) (L27A9) mAb (HRP Conjugate) #5127 was used as the secondary antibody.
Immunoprecipitation Image 1: RUNX3/AML2 (E8D5W) Rabbit Monoclonal Antibody
Immunohistochemical analysis of paraffin-embedded human small cell carcinoma of the salivary gland using RUNX3/AML2 (E8D5W) XP® Rabbit mAb.
Immunohistochemistry Image 1: RUNX3/AML2 (E8D5W) Rabbit Monoclonal Antibody
Orders: 877-616-CELL (2355) [email protected] Support: 877-678-TECH (8324) [email protected] Web: cellsignal.com
For Research Use Only. Not for Use in Diagnostic Procedures.

Revision 1

Cell Signaling Technology Logo
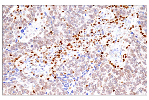
Immunohistochemical analysis of paraffin-embedded human T-cell lymphoma using RUNX3/AML2 (E8D5W) XP® Rabbit mAb.
Immunohistochemistry Image 2: RUNX3/AML2 (E8D5W) Rabbit Monoclonal Antibody
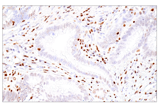
Immunohistochemical analysis of paraffin-embedded human prostate carcinoma using RUNX3/AML2 (E8D5W) XP® Rabbit mAb.
Immunohistochemistry Image 3: RUNX3/AML2 (E8D5W) Rabbit Monoclonal Antibody
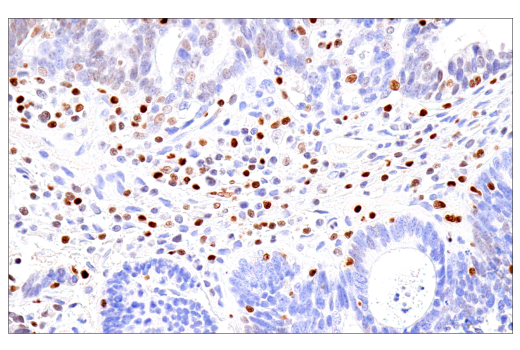
Immunohistochemical analysis of paraffin-embedded human endometrioid adenocarcinoma using RUNX3/AML2 (E8D5W) XP® Rabbit mAb.
Immunohistochemistry Image 4: RUNX3/AML2 (E8D5W) Rabbit Monoclonal Antibody
Orders: 877-616-CELL (2355) [email protected] Support: 877-678-TECH (8324) [email protected] Web: cellsignal.com
For Research Use Only. Not for Use in Diagnostic Procedures.

Revision 1

Cell Signaling Technology Logo
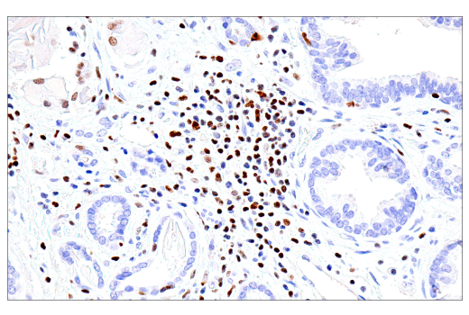
Immunohistochemical analysis of paraffin-embedded human colon carcinoma using RUNX3/AML2 (E8D5W) XP® Rabbit mAb.
Immunohistochemistry Image 5: RUNX3/AML2 (E8D5W) Rabbit Monoclonal Antibody
Immunohistochemical analysis of paraffin-embedded human urothelial carcinoma using RUNX3/AML2 (E8D5W) XP® Rabbit mAb.
Immunohistochemistry Image 6: RUNX3/AML2 (E8D5W) Rabbit Monoclonal Antibody
Immunohistochemical analysis of paraffin-embedded human B-cell non-Hodgkin lymphoma (left), ovarian serous carcinoma (middle), or colon carcinoma (right) using RUNX3/AML2 (E8D5W) XP® Rabbit mAb (top) or a RUNX3/AML2 Rabbit mAb (bottom). These two antibodies detect unique, non-overlapping epitopes on human RUNX3/AML2. The similar staining patterns obtained with both antibodies help to confirm the specificity of the staining.
Immunohistochemistry Image 7: RUNX3/AML2 (E8D5W) Rabbit Monoclonal Antibody
Orders: 877-616-CELL (2355) [email protected] Support: 877-678-TECH (8324) [email protected] Web: cellsignal.com
For Research Use Only. Not for Use in Diagnostic Procedures.

Revision 1

Cell Signaling Technology Logo
Immunohistochemical analysis of paraffin-embedded normal human spleen using RUNX3/AML2 (E8D5W) XP® Rabbit mAb (left) compared to concentration-matched Rabbit (DA1E) mAb IgG XP® Isotype Control #3900 (right).
Immunohistochemistry Image 8: RUNX3/AML2 (E8D5W) Rabbit Monoclonal Antibody
Immunohistochemical analysis of paraffin-embedded SW620 cell pellet (left, positive) or MCF7 cell pellet (right, negative) using RUNX3/AML2 (E8D5W) XP® Rabbit mAb.
Immunohistochemistry Image 9: RUNX3/AML2 (E8D5W) Rabbit Monoclonal Antibody
Orders: 877-616-CELL (2355) [email protected] Support: 877-678-TECH (8324) [email protected] Web: cellsignal.com
For Research Use Only. Not for Use in Diagnostic Procedures.