Revision 6

#64095

Store at +4C

CST Logo
Orders:

877-616-CELL (2355)

[email protected]

Support:

877-678-TECH (8324)

3 Trask Lane | Danvers | Massachusetts | 01923 | USA

For Research Use Only. Not for Use in Diagnostic Procedures.

Applications:
IHC-Bond, IHC-P

Reactivity:
H

Sensitivity:
Endogenous

Source/Isotype:
Mouse IgG2a kappa

UniProt ID:
#P23297

Entrez-Gene Id:
6271

Product Usage Information

Application Dilution
IHC Leica Bond 1:800 - 1:3200
Immunohistochemistry (Paraffin) 1:400 - 1:1600

Storage

Supplied in a PBS-based buffer with ~1% BSA and less than 0.1% sodium azide. Stable for 6 months when stored at 4°C. Do not aliquot the antibody.

Note: This product is only available in the format listed above. We are unable to provide this in a carrier free, custom formulation.

Specificity/Sensitivity

S100A1 (4C4.9) Mouse Monoclonal Antibody recognizes endogenous levels of S100A1 protein.

Source / Purification

Monoclonal antibody is produced by immunizing animals with a purified bovine brain S100A1 protein.

Background

Despite their relatively small size (8-12 kDa) and uncomplicated architecture, S100 proteins regulate a variety of cellular processes, such as cell growth and motility, cell cycle progression, transcription, and differentiation. To date, 25 members have been identified, including S100A1-S100A18, trichohyalin, filaggrin, repetin, S100P, and S100Z, making it the largest group in the EF-hand, calcium-binding protein family. Interestingly, 14 S100 genes are clustered on human chromosome 1q21, a region of genomic instability. Research studies have demonstrated that significant correlation exists between aberrant S100 protein expression and cancer progression. S100 proteins primarily mediate immune responses in various tissue types but are also involved in neuronal development (1-4).

Each S100 monomer bears two EF-hand motifs and can bind up to two molecules of calcium (or other divalent cations in some instances). Structural evidence shows that S100 proteins form antiparallel homo- or heterodimers that coordinate binding partner proximity in a calcium-dependent (and sometimes calcium-independent) manner. Although structurally and functionally similar, individual members show restricted tissue distribution, are localized in specific cellular compartments, and display unique protein binding partners, which suggests that each plays a specific role in various signaling pathways. In addition to an intracellular role, some S100 proteins have been shown to act as receptors for extracellular ligands or are secreted and exhibit cytokine-like activities (1-4).

S100A1 is abundantly expressed in cardiac and skeletal muscle where it plays a major role in regulating calcium-dependent contractility (5,6). S100A1 and calmodulin bind and differentially regulate ryanodine receptors (RyRs), thereby modulating skeletal and cardiac muscle function (7). In addition to RyRs (RyR1 and RyR2), S100A1 has also been shown to interact with other components of the calcium-dependent cardiac signaling cascade, including SERCA2a and phospholamban (8). Studies in animal models strongly suggest that S100A1 plays a significant role in the development of heart failure (1). In non-cardiac tissues, S100A1 has been shown to regulate cytoskeletal signaling, neurotransmitter release, enzymatic activity, transcription factors, and other calcium-binding proteins via direct interaction or via regulation of scaffolding and signaling components in each pathway (4).

Species Reactivity

Species reactivity is determined by testing in at least one approved application (e.g., western blot).

Applications Key

IHC-Bond: IHC Leica Bond IHC-P: Immunohistochemistry (Paraffin)

Cross-Reactivity Key

H: Human

Trademarks and Patents

Cell Signaling Technology is a trademark of Cell Signaling Technology, Inc.

SignalStain is a registered trademark of Cell Signaling Technology, Inc.

All other trademarks are the property of their respective owners. Visit cellsignal.com/trademarks for more information.

Limited Uses

Except as otherwise expressly agreed in a writing signed by a legally authorized representative of CST, the following terms apply to Products provided by CST, its affiliates or its distributors. Any Customer's terms and conditions that are in addition to, or different from, those contained herein, unless separately accepted in writing by a legally authorized representative of CST, are rejected and are of no force or effect.

Products are labeled with For Research Use Only or a similar labeling statement and have not been approved, cleared, or licensed by the FDA or other regulatory foreign or domestic entity, for any purpose. Customer shall not use any Product for any diagnostic or therapeutic purpose, or otherwise in any manner that conflicts with its labeling statement. Products sold or licensed by CST are provided for Customer as the end-user and solely for research and development uses. Any use of Product for diagnostic, prophylactic or therapeutic purposes, or any purchase of Product for resale (alone or as a component) or other commercial purpose, requires a separate license from CST. Customer shall (a) not sell, license, loan, donate or otherwise transfer or make available any Product to any third party, whether alone or in combination with other materials, or use the Products to manufacture any commercial products, (b) not copy, modify, reverse engineer, decompile, disassemble or otherwise attempt to discover the underlying structure or technology of the Products, or use the Products for the purpose of developing any products or services that would compete with CST products or services, (c) not alter or remove from the Products any trademarks, trade names, logos, patent or copyright notices or markings, (d) use the Products solely in accordance with CST Product Terms of Sale and any applicable documentation, and (e) comply with any license, terms of service or similar agreement with respect to any third party products or services used by Customer in connection with the Products.

Orders: 877-616-CELL (2355) [email protected] Support: 877-678-TECH (8324) [email protected] Web: cellsignal.com
For Research Use Only. Not for Use in Diagnostic Procedures.

Revision 6

Cell Signaling Technology Logo
Immunohistochemical analysis of paraffin-embedded human melanoma using S100A1 (4C4.9) Mouse mAb performed on the Leica® BOND™ Rx.
Immunohistochemistry Image 1: S100A1 (4C4.9) Mouse Monoclonal Antibody
Immunohistochemical analysis of paraffin-embedded normal human brain using S100A1 (4C4.9) Mouse mAb.
Immunohistochemistry Image 1: S100A1 (4C4.9) Mouse Monoclonal Antibody
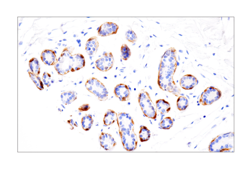
Immunohistochemical analysis of paraffin-embedded normal human breast using S100A1 (4C4.9) Mouse mAb.
Immunohistochemistry Image 2: S100A1 (4C4.9) Mouse Monoclonal Antibody
Orders: 877-616-CELL (2355) [email protected] Support: 877-678-TECH (8324) [email protected] Web: cellsignal.com
For Research Use Only. Not for Use in Diagnostic Procedures.

Revision 6

Cell Signaling Technology Logo
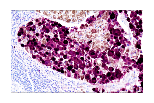
Immunohistochemical analysis of paraffin-embedded human melanoma using S100A1 (4C4.9) Mouse mAb. Note the use of the SignalStain® Vivid Purple Peroxidase Substrate Kit #96632.
Immunohistochemistry Image 3: S100A1 (4C4.9) Mouse Monoclonal Antibody
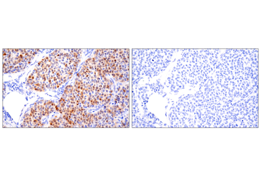
Immunohistochemical analysis of paraffin-embedded human granulosa cell tumor of the ovary using S100A1 (4C4.9) Mouse mAb (left) compared to concentration-matched Mouse (E5Y6Q) mAb IgG2a Isotype Control #61656 (right).
Immunohistochemistry Image 4: S100A1 (4C4.9) Mouse Monoclonal Antibody
Orders: 877-616-CELL (2355) [email protected] Support: 877-678-TECH (8324) [email protected] Web: cellsignal.com
For Research Use Only. Not for Use in Diagnostic Procedures.