Revision 3

#33254

Store at -20C

CST Logo
Orders:

877-616-CELL (2355)

[email protected]

Support:

877-678-TECH (8324)

3 Trask Lane | Danvers | Massachusetts | 01923 | USA

For Research Use Only. Not for Use in Diagnostic Procedures.

Applications:
W, IHC-P, IF-IC, FC-FP

Reactivity:
H

Sensitivity:
Endogenous

MW (kDa):
11

Source/Isotype:
Rabbit IgG

UniProt ID:
#P05109

Entrez-Gene Id:
6279

Product Usage Information

Application Dilution
Western Blotting 1:1000
Immunohistochemistry (Paraffin) 1:1250 - 1:5000
Immunofluorescence (Immunocytochemistry) 1:200 - 1:400
Flow Cytometry (Fixed/Permeabilized) 1:300 - 1:1200

Storage

Supplied in 10 mM sodium HEPES (pH 7.5), 150 mM NaCl, 100 µg/mL BSA, 50% glycerol, and less than 0.02% sodium azide. Store at –20°C. Do not aliquot the antibody.

For a carrier free (BSA and azide free) version of this product see product #37924.

Specificity/Sensitivity

S100A8 (F4R2W) Rabbit Monoclonal Antibody recognizes endogenous levels of total S100A8 protein.

Source / Purification

Monoclonal antibody is produced by immunizing animals with recombinant protein specific to the central region of human S100A8 protein.

Background

S100A8 and S100A9 are calcium-binding proteins that form a noncovalent heterodimer present in monocytes, neutrophils, macrophages, and some epithelial cells (1,2). S100A8 and S100A9 are secreted by a tubulin-dependent mechanism during inflammatory conditions and have antimicrobial and chemotactic functions (3-5). Extracellular S100A8/S100A9 also induces an inflammatory response in endothelial cells, including induction of proinflammatory chemokines and adhesion molecules and increased vascular permeability (6). S100A8/S100A9 induces and recruits myeloid-derived suppressor cells (MDSC) in tumor-bearing mice (7). MDSC produce additional S100A8/S100A9 themselves, resulting in a positive feedback mechanism that sustains MDSC accumulation (7). S100A8/S100A9 is also highly expressed in psoriatic skin, where it directly upregulates transcription of complement protein C3, which contributes to disease (8). In addition, tumor-infiltrating myeloid cells induce expression of S100A8 and S100A9 in cancer cells, which increases invasiveness and metastasis (9).

Species Reactivity

Species reactivity is determined by testing in at least one approved application (e.g., western blot).

Western Blot Buffer

IMPORTANT: For western blots, incubate membrane with diluted primary antibody in 5% w/v BSA, 1X TBS, 0.1% Tween® 20 at 4°C with gentle shaking, overnight.

Applications Key

W: Western Blotting IHC-P: Immunohistochemistry (Paraffin) IF-IC: Immunofluorescence (Immunocytochemistry) FC-FP: Flow Cytometry (Fixed/Permeabilized)

Cross-Reactivity Key

H: Human

Trademarks and Patents

Cell Signaling Technology is a trademark of Cell Signaling Technology, Inc.

All other trademarks are the property of their respective owners. Visit cellsignal.com/trademarks for more information.

Limited Uses

Except as otherwise expressly agreed in a writing signed by a legally authorized representative of CST, the following terms apply to Products provided by CST, its affiliates or its distributors. Any Customer's terms and conditions that are in addition to, or different from, those contained herein, unless separately accepted in writing by a legally authorized representative of CST, are rejected and are of no force or effect.

Products are labeled with For Research Use Only or a similar labeling statement and have not been approved, cleared, or licensed by the FDA or other regulatory foreign or domestic entity, for any purpose. Customer shall not use any Product for any diagnostic or therapeutic purpose, or otherwise in any manner that conflicts with its labeling statement. Products sold or licensed by CST are provided for Customer as the end-user and solely for research and development uses. Any use of Product for diagnostic, prophylactic or therapeutic purposes, or any purchase of Product for resale (alone or as a component) or other commercial purpose, requires a separate license from CST. Customer shall (a) not sell, license, loan, donate or otherwise transfer or make available any Product to any third party, whether alone or in combination with other materials, or use the Products to manufacture any commercial products, (b) not copy, modify, reverse engineer, decompile, disassemble or otherwise attempt to discover the underlying structure or technology of the Products, or use the Products for the purpose of developing any products or services that would compete with CST products or services, (c) not alter or remove from the Products any trademarks, trade names, logos, patent or copyright notices or markings, (d) use the Products solely in accordance with CST Product Terms of Sale and any applicable documentation, and (e) comply with any license, terms of service or similar agreement with respect to any third party products or services used by Customer in connection with the Products.

Orders: 877-616-CELL (2355) [email protected] Support: 877-678-TECH (8324) [email protected] Web: cellsignal.com
For Research Use Only. Not for Use in Diagnostic Procedures.

Revision 3

Cell Signaling Technology Logo
Western blot analysis of extracts from various cell lines using S100A8 (F4R2W) Rabbit mAb (upper) or GAPDH (D16H11) XP® Rabbit mAb #5174 (lower). Negative expression of S100A8 protein in BeWo, Jurkat, and HeLa cells is consistent with the predicted expression pattern.
Western Blotting Image 1: S100A8 (F4R2W) Rabbit Monoclonal Antibody

Immunohistochemical analysis of paraffin-embedded human squamous cell carcinoma of the skin using S100A8 (F4R2W) Rabbit mAb.

Immunohistochemistry Image 1: S100A8 (F4R2W) Rabbit Monoclonal Antibody
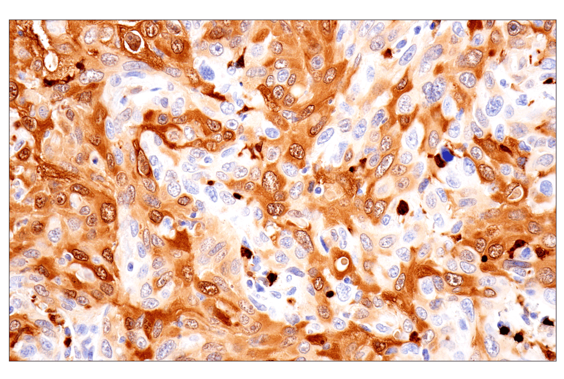
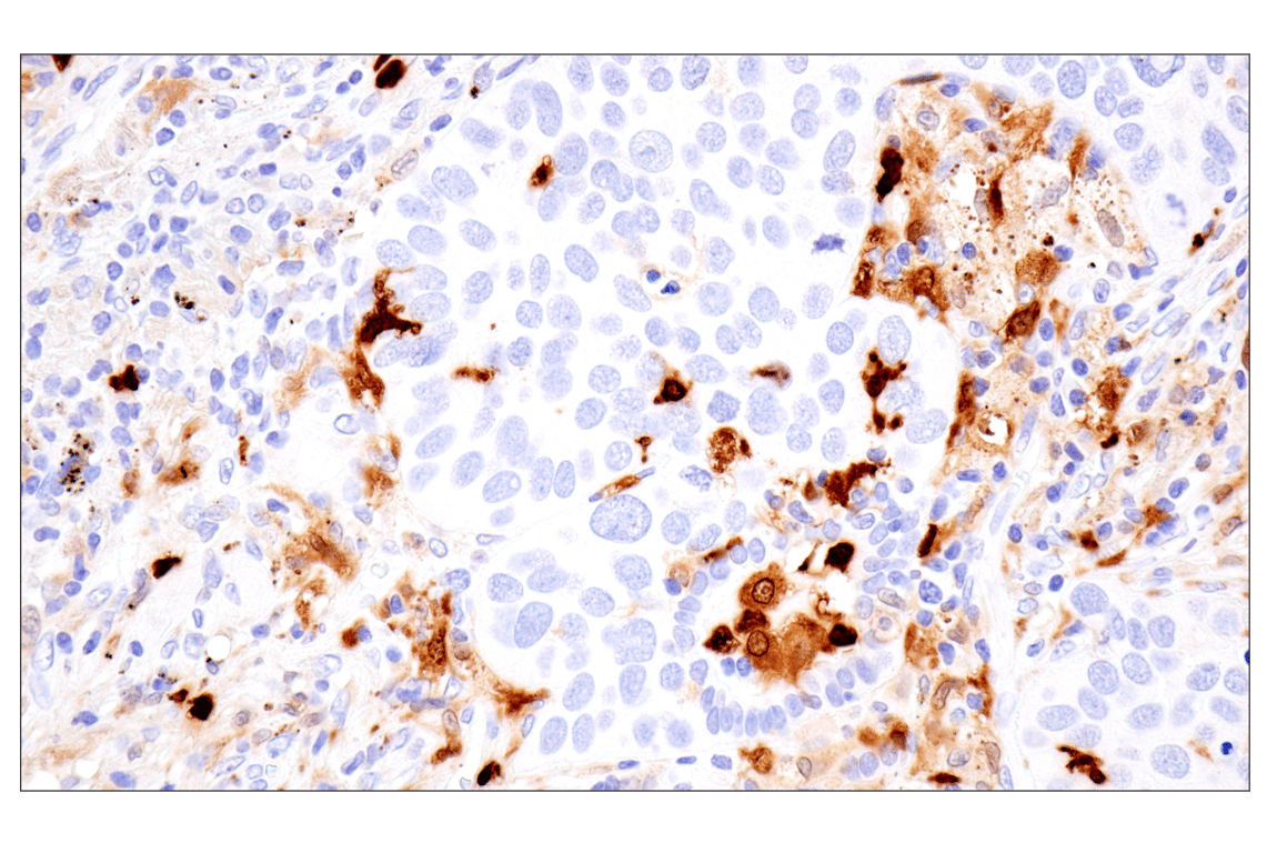
Immunohistochemical analysis of paraffin-embedded human gastric carcinoma using S100A8 (F4R2W) Rabbit mAb.
Immunohistochemistry Image 2: S100A8 (F4R2W) Rabbit Monoclonal Antibody
Orders: 877-616-CELL (2355) [email protected] Support: 877-678-TECH (8324) [email protected] Web: cellsignal.com
For Research Use Only. Not for Use in Diagnostic Procedures.

Revision 3

Cell Signaling Technology Logo
Immunohistochemical analysis of paraffin-embedded human hepatocellular carcinoma using S100A8 (F4R2W) Rabbit mAb.
Immunohistochemistry Image 3: S100A8 (F4R2W) Rabbit Monoclonal Antibody
Immunohistochemical analysis of paraffin-embedded human lung adenocarcinoma using S100A8 (F4R2W) Rabbit mAb.
Immunohistochemistry Image 4: S100A8 (F4R2W) Rabbit Monoclonal Antibody
Immunohistochemical analysis of paraffin-embedded human squamous cell lung carcinoma using S100A8 (F4R2W) Rabbit mAb.
Immunohistochemistry Image 5: S100A8 (F4R2W) Rabbit Monoclonal Antibody
Orders: 877-616-CELL (2355) [email protected] Support: 877-678-TECH (8324) [email protected] Web: cellsignal.com
For Research Use Only. Not for Use in Diagnostic Procedures.

Revision 3

Cell Signaling Technology Logo

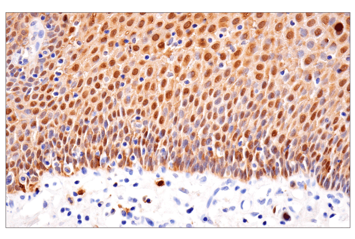
Immunohistochemical analysis of paraffin-embedded human tonsil using S100A8 (F4R2W) Rabbit mAb.

Immunohistochemistry Image 6: S100A8 (F4R2W) Rabbit Monoclonal Antibody
Immunohistochemical analysis of paraffin-embedded normal human spleen using S100A8 (F4R2W) Rabbit mAb.
Immunohistochemistry Image 7: S100A8 (F4R2W) Rabbit Monoclonal Antibody

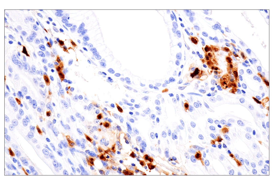
Immunohistochemical analysis of paraffin-embedded normal human esophagus using S100A8 (F4R2W) Rabbit mAb.
Immunohistochemistry Image 8: S100A8 (F4R2W) Rabbit Monoclonal Antibody
Orders: 877-616-CELL (2355) [email protected] Support: 877-678-TECH (8324) [email protected] Web: cellsignal.com
For Research Use Only. Not for Use in Diagnostic Procedures.

Revision 3

Cell Signaling Technology Logo

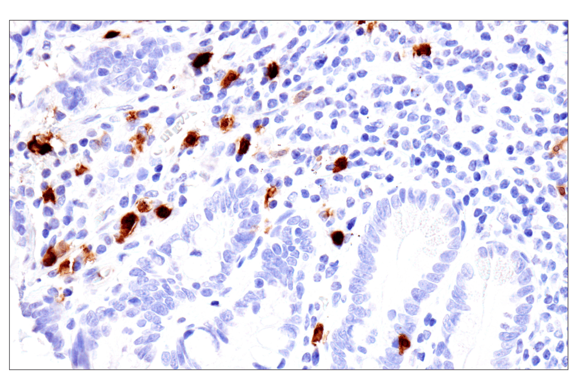
Immunohistochemical analysis of paraffin-embedded normal human small intestine using S100A8 (F4R2W) Rabbit mAb.

Immunohistochemistry Image 9: S100A8 (F4R2W) Rabbit Monoclonal Antibody
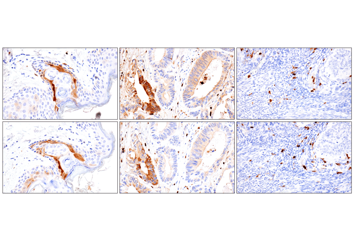
Immunohistochemical analysis of paraffin-embedded normal human skin (left), colon carcinoma (middle), or endometrioid adenocarcinoma (right) using S100A8 (F4R2W) Rabbit mAb (top) or S100A9 (D5O6O) Rabbit mAb (IHC Formulated) #34425 (bottom). The similar staining patterns obtained with both antibodies help to confirm the specificity of the staining, as S100A8 and S100A9 exist predominantly as a heterodimer.
Immunohistochemistry Image 10: S100A8 (F4R2W) Rabbit Monoclonal Antibody
Immunohistochemical analysis of paraffin-embedded normal human esophagus using S100A8 (F4R2W) Rabbit mAb (left) compared to concentration-matched Rabbit (DA1E) mAb IgG XP® Isotype Control #3900 (right).
Immunohistochemistry Image 11: S100A8 (F4R2W) Rabbit Monoclonal Antibody
Orders: 877-616-CELL (2355) [email protected] Support: 877-678-TECH (8324) [email protected] Web: cellsignal.com
For Research Use Only. Not for Use in Diagnostic Procedures.

Revision 3

Cell Signaling Technology Logo
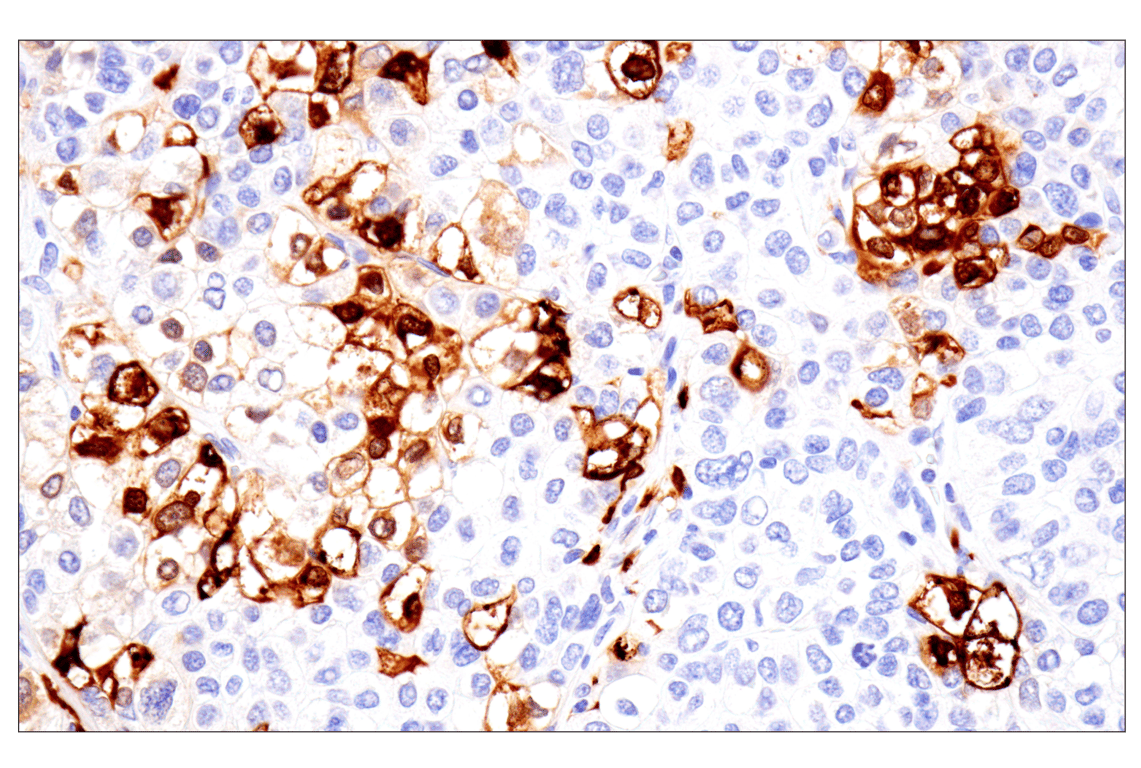
Immunohistochemical analysis of paraffin-embedded THP-1 cell pellet (left, positive) or Jurkat cell pellet (right, negative) using S100A8 (F4R2W) Rabbit mAb.
Immunohistochemistry Image 12: S100A8 (F4R2W) Rabbit Monoclonal Antibody
Confocal immunofluorescent analysis of SK-BR-3 cells (left, positive) and Hep G2 cells (right, negative) using S100A8 (F4R2W) Rabbit mAb (green), DyLight 554 Phalloidin #13054 (red), and DAPI #4083 (blue).
Immunofluorescence Image 1: S100A8 (F4R2W) Rabbit Monoclonal Antibody
Flow cytometric analysis of Jurkat cells (blue, negative) and NCI-H1666 cells (green, positive) using SA100A8 (F4R2W) Rabbit mAb (solid lines) or concentration-matched Rabbit (DA1E) mAb IgG XP® Isotype Control #3900 (dashed lines). Anti-rabbit IgG (H+L), F(ab')2 Fragment (Alexa Fluor® 488 Conjugate) #4412 was used as a secondary antibody.
Flow Cytometry Image 1: S100A8 (F4R2W) Rabbit Monoclonal Antibody
Orders: 877-616-CELL (2355) [email protected] Support: 877-678-TECH (8324) [email protected] Web: cellsignal.com
For Research Use Only. Not for Use in Diagnostic Procedures.