Revision 1

#43502

Store at -20C

CST Logo
Orders:

877-616-CELL (2355)

[email protected]

Support:

877-678-TECH (8324)

3 Trask Lane | Danvers | Massachusetts | 01923 | USA

For Research Use Only. Not for Use in Diagnostic Procedures.

Applications:
W, IHC-Bond, IHC-P, IF-IC, FC-FP

Reactivity:
H

Sensitivity:
Endogenous

MW (kDa):
14

Source/Isotype:
Rabbit IgG

UniProt ID:
#P06702

Entrez-Gene Id:
6280

Product Usage Information

This product is the carrier free version of product #72590. All data were generated using the same antibody clone in the standard formulation which contains BSA and glycerol.

This formulation is ideal for use with technologies requiring specialized or custom antibody labeling, including fluorophores, metals, lanthanides, and oligonucleotides. It is not recommended for ChIP, ChIP-seq, CUT&RUN or CUT&Tag assays. If you require a carrier free formulation for chromatin profiling, please contact us. Optimal dilutions/concentrations should be determined by the end user.

BSA and Azide Free antibodies are quality control tested by size exclusion chromatography (SEC) to determine antibody integrity.

Formulation

Supplied in 1X PBS (10 mM Na2HPO4, 3 mM KCl, 2 mM KH2PO4, and 140 mM NaCl (pH 7.8)). BSA and Azide Free.

For standard formulation of this product see product #72590

Storage

Store at -20°C. This product will freeze at -20°C so it is recommended to aliquot into single-use vials to avoid multiple freeze/thaw cycles. A slight precipitate may be present and can be dissolved by gently vortexing. This will not interfere with antibody performance.

Specificity/Sensitivity

S100A9 (D5O6O) Rabbit Monoclonal Antibody (BSA and Azide Free) recognizes endogenous levels of total S100A9 protein.

Source / Purification

Monoclonal antibody is produced by immunizing animals with a synthetic peptide corresponding to residues surrounding Pro107 of human S100A9 protein.

Background

S100A8 and S100A9 are calcium-binding proteins that form a noncovalent heterodimer present in monocytes, neutrophils, macrophages, and some epithelial cells (1,2). S100A8 and S100A9 are secreted by a tubulin-dependent mechanism during inflammatory conditions and have antimicrobial and chemotactic functions (3-5). Extracellular S100A8/S100A9 also induces an inflammatory response in endothelial cells, including induction of proinflammatory chemokines and adhesion molecules and increased vascular permeability (6). S100A8/S100A9 induces and recruits myeloid-derived suppressor cells (MDSC) in tumor-bearing mice (7). MDSC produce additional S100A8/S100A9 themselves, resulting in a positive feedback mechanism that sustains MDSC accumulation (7). S100A8/S100A9 is also highly expressed in psoriatic skin, where it directly upregulates transcription of complement protein C3, which contributes to disease (8). In addition, tumor-infiltrating myeloid cells induce expression of S100A8 and S100A9 in cancer cells, which increases invasiveness and metastasis (9).

Species Reactivity

Species reactivity is determined by testing in at least one approved application (e.g., western blot).

Applications Key

W: Western Blotting IHC-Bond: IHC Leica Bond IHC-P: Immunohistochemistry (Paraffin) IF-IC: Immunofluorescence (Immunocytochemistry) FC-FP: Flow Cytometry (Fixed/Permeabilized)

Cross-Reactivity Key

H: Human

Trademarks and Patents

Cell Signaling Technology is a trademark of Cell Signaling Technology, Inc.

All other trademarks are the property of their respective owners. Visit cellsignal.com/trademarks for more information.

Limited Uses

Except as otherwise expressly agreed in a writing signed by a legally authorized representative of CST, the following terms apply to Products provided by CST, its affiliates or its distributors. Any Customer's terms and conditions that are in addition to, or different from, those contained herein, unless separately accepted in writing by a legally authorized representative of CST, are rejected and are of no force or effect.

Products are labeled with For Research Use Only or a similar labeling statement and have not been approved, cleared, or licensed by the FDA or other regulatory foreign or domestic entity, for any purpose. Customer shall not use any Product for any diagnostic or therapeutic purpose, or otherwise in any manner that conflicts with its labeling statement. Products sold or licensed by CST are provided for Customer as the end-user and solely for research and development uses. Any use of Product for diagnostic, prophylactic or therapeutic purposes, or any purchase of Product for resale (alone or as a component) or other commercial purpose, requires a separate license from CST. Customer shall (a) not sell, license, loan, donate or otherwise transfer or make available any Product to any third party, whether alone or in combination with other materials, or use the Products to manufacture any commercial products, (b) not copy, modify, reverse engineer, decompile, disassemble or otherwise attempt to discover the underlying structure or technology of the Products, or use the Products for the purpose of developing any products or services that would compete with CST products or services, (c) not alter or remove from the Products any trademarks, trade names, logos, patent or copyright notices or markings, (d) use the Products solely in accordance with CST Product Terms of Sale and any applicable documentation, and (e) comply with any license, terms of service or similar agreement with respect to any third party products or services used by Customer in connection with the Products.

Orders: 877-616-CELL (2355) [email protected] Support: 877-678-TECH (8324) [email protected] Web: cellsignal.com
For Research Use Only. Not for Use in Diagnostic Procedures.

Revision 1

Cell Signaling Technology Logo
Western blot analysis of extracts from various cell lines using S100A9 (D5O6O) Rabbit mAb (upper) or β-Actin (D6A8) Rabbit mAb #8457 (lower). Data were generated using the standard formulation of this product.
Western Blotting Image 1: S100A9 (D5O6O) Rabbit Monoclonal Antibody (BSA and Azide Free)
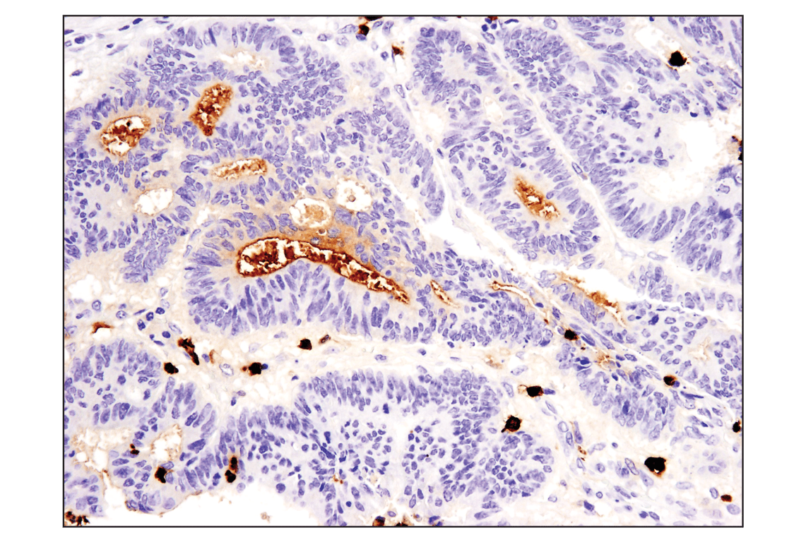
Immunohistochemical analysis of paraffin-embedded human colon adenocarcinoma using S100A9 (D5O6O) Rabbit mAb performed on the Leica® Bond™ Rx. Data were generated using the standard formulation of this product.
Immunohistochemistry Image 1: S100A9 (D5O6O) Rabbit Monoclonal Antibody (BSA and Azide Free)
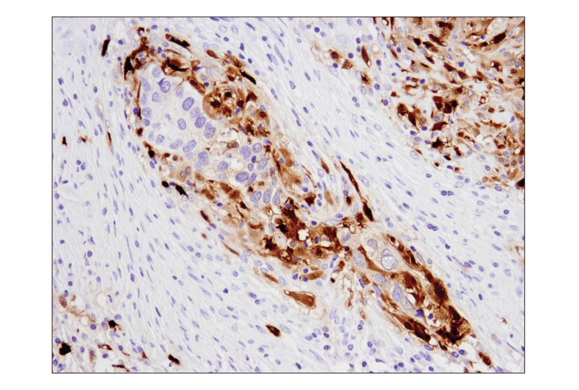
Immunohistochemical analysis of paraffin-embedded human infiltrating papillary carcinoma of the breast using S100A9 (D5O6O) Rabbit mAb. Data were generated using the standard formulation of this product.
Immunohistochemistry Image 1: S100A9 (D5O6O) Rabbit Monoclonal Antibody (BSA and Azide Free)
Orders: 877-616-CELL (2355) [email protected] Support: 877-678-TECH (8324) [email protected] Web: cellsignal.com
For Research Use Only. Not for Use in Diagnostic Procedures.

Revision 1

Cell Signaling Technology Logo
Immunohistochemical analysis of paraffin-embedded human lung carcinoma using S100A9 (D5O6O) Rabbit mAb. Data were generated using the standard formulation of this product.
Immunohistochemistry Image 2: S100A9 (D5O6O) Rabbit Monoclonal Antibody (BSA and Azide Free)
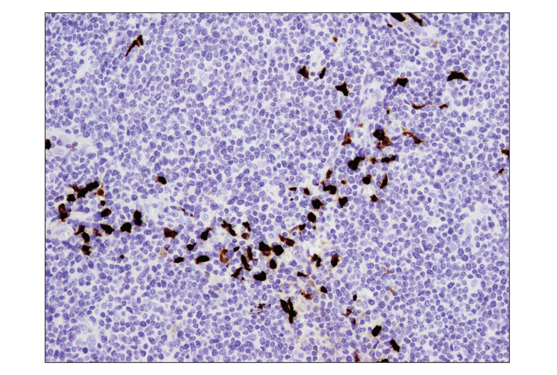
Immunohistochemical analysis of paraffin-embedded human non-Hodgkin lymphoma using S100A9 (D5O6O) Rabbit mAb. Data were generated using the standard formulation of this product.
Immunohistochemistry Image 3: S100A9 (D5O6O) Rabbit Monoclonal Antibody (BSA and Azide Free)
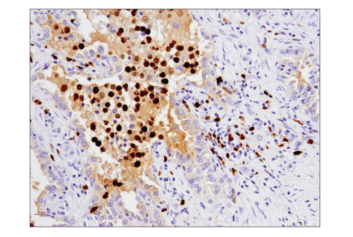
Immunohistochemical analysis of paraffin-embedded human endometrioid adenocarcinoma using S100A9 (D5O6O) Rabbit mAb. Data were generated using the standard formulation of this product.
Immunohistochemistry Image 4: S100A9 (D5O6O) Rabbit Monoclonal Antibody (BSA and Azide Free)
Orders: 877-616-CELL (2355) [email protected] Support: 877-678-TECH (8324) [email protected] Web: cellsignal.com
For Research Use Only. Not for Use in Diagnostic Procedures.

Revision 1

Cell Signaling Technology Logo
Immunohistochemical analysis of paraffin-embedded THP-1 cell pellet (left, positive) or Jurkat cell pellet (right, negative) using S100A9 (D5O6O) Rabbit mAb. Data were generated using the standard formulation of this product.
Immunohistochemistry Image 5: S100A9 (D5O6O) Rabbit Monoclonal Antibody (BSA and Azide Free)
Confocal immunofluorescent analysis of THP-1 cells (left, high-expressing) and Jurkat cells (right, low-expressing) using S100A9 (D5O6O) Rabbit mAb (green). Actin filaments were labeled with Alexa Fluor 555® Phalloidin #8953 (red). Blue pseudocolor = DRAQ5® (fluorescent DNA dye). Data were generated using the standard formulation of this product.
Immunofluorescence Image 1: S100A9 (D5O6O) Rabbit Monoclonal Antibody (BSA and Azide Free)
Flow cytometric analysis of Jurkat cells (blue) and THP-1 cells (green) using S100A9 (D5O6O) Rabbit mAb (solid lines) compared to concentration-matched Rabbit (DA1E) mAb IgG XP® Isotype Control #3900 (dashed lines). Anti-rabbit IgG (H+L), F(ab')2 Fragment (Alexa Fluor® 488 Conjugate) #4412 was used as a secondary antibody. Data were generated using the standard formulation of this product.
Flow Cytometry Image 1: S100A9 (D5O6O) Rabbit Monoclonal Antibody (BSA and Azide Free)
Orders: 877-616-CELL (2355) [email protected] Support: 877-678-TECH (8324) [email protected] Web: cellsignal.com
For Research Use Only. Not for Use in Diagnostic Procedures.