Revision 4

#72590

Store at -20C

CST Logo
Orders:

877-616-CELL (2355)

[email protected]

Support:

877-678-TECH (8324)

3 Trask Lane | Danvers | Massachusetts | 01923 | USA

For Research Use Only. Not for Use in Diagnostic Procedures.

Applications:
W, IP, IF-IC, FC-FP

Reactivity:
H

Sensitivity:
Endogenous

MW (kDa):
14

Source/Isotype:
Rabbit IgG

UniProt ID:
#P06702

Entrez-Gene Id:
6280

Product Usage Information

Application Dilution
Western Blotting 1:1000
Immunoprecipitation 1:50
Immunofluorescence (Immunocytochemistry) 1:400
Flow Cytometry (Fixed/Permeabilized) 1:100

Storage

Supplied in 10 mM sodium HEPES (pH 7.5), 150 mM NaCl, 100 µg/ml BSA, 50% glycerol and less than 0.02% sodium azide. Store at –20°C. Do not aliquot the antibody.

For a carrier free (BSA and azide free) version of this product see product #43502.

Specificity/Sensitivity

S100A9 (D5O6O) Rabbit Monoclonal Antibody recognizes endogenous levels of total S100A9 protein.

Source / Purification

Monoclonal antibody is produced by immunizing animals with a synthetic peptide corresponding to residues surrounding Pro107 of human S100A9 protein.

Background

S100A8 and S100A9 are calcium-binding proteins that form a noncovalent heterodimer present in monocytes, neutrophils, macrophages, and some epithelial cells (1,2). S100A8 and S100A9 are secreted by a tubulin-dependent mechanism during inflammatory conditions and have antimicrobial and chemotactic functions (3-5). Extracellular S100A8/S100A9 also induces an inflammatory response in endothelial cells, including induction of proinflammatory chemokines and adhesion molecules and increased vascular permeability (6). S100A8/S100A9 induces and recruits myeloid-derived suppressor cells (MDSC) in tumor-bearing mice (7). MDSC produce additional S100A8/S100A9 themselves, resulting in a positive feedback mechanism that sustains MDSC accumulation (7). S100A8/S100A9 is also highly expressed in psoriatic skin, where it directly upregulates transcription of complement protein C3, which contributes to disease (8). In addition, tumor-infiltrating myeloid cells induce expression of S100A8 and S100A9 in cancer cells, which increases invasiveness and metastasis (9).

Species Reactivity

Species reactivity is determined by testing in at least one approved application (e.g., western blot).

Western Blot Buffer

IMPORTANT: For western blots, incubate membrane with diluted primary antibody in 5% w/v BSA, 1X TBS, 0.1% Tween® 20 at 4°C with gentle shaking, overnight.

Applications Key

W: Western Blotting IP: Immunoprecipitation IF-IC: Immunofluorescence (Immunocytochemistry) FC-FP: Flow Cytometry (Fixed/Permeabilized)

Cross-Reactivity Key

H: Human

Trademarks and Patents

Cell Signaling Technology is a trademark of Cell Signaling Technology, Inc.

Alexa Fluor is a registered trademark of Life Technologies Corporation.

All other trademarks are the property of their respective owners. Visit cellsignal.com/trademarks for more information.

Limited Uses

Except as otherwise expressly agreed in a writing signed by a legally authorized representative of CST, the following terms apply to Products provided by CST, its affiliates or its distributors. Any Customer's terms and conditions that are in addition to, or different from, those contained herein, unless separately accepted in writing by a legally authorized representative of CST, are rejected and are of no force or effect.

Products are labeled with For Research Use Only or a similar labeling statement and have not been approved, cleared, or licensed by the FDA or other regulatory foreign or domestic entity, for any purpose. Customer shall not use any Product for any diagnostic or therapeutic purpose, or otherwise in any manner that conflicts with its labeling statement. Products sold or licensed by CST are provided for Customer as the end-user and solely for research and development uses. Any use of Product for diagnostic, prophylactic or therapeutic purposes, or any purchase of Product for resale (alone or as a component) or other commercial purpose, requires a separate license from CST. Customer shall (a) not sell, license, loan, donate or otherwise transfer or make available any Product to any third party, whether alone or in combination with other materials, or use the Products to manufacture any commercial products, (b) not copy, modify, reverse engineer, decompile, disassemble or otherwise attempt to discover the underlying structure or technology of the Products, or use the Products for the purpose of developing any products or services that would compete with CST products or services, (c) not alter or remove from the Products any trademarks, trade names, logos, patent or copyright notices or markings, (d) use the Products solely in accordance with CST Product Terms of Sale and any applicable documentation, and (e) comply with any license, terms of service or similar agreement with respect to any third party products or services used by Customer in connection with the Products.

Orders: 877-616-CELL (2355) [email protected] Support: 877-678-TECH (8324) [email protected] Web: cellsignal.com
For Research Use Only. Not for Use in Diagnostic Procedures.

Revision 4

Cell Signaling Technology Logo
Western blot analysis of extracts from various cell lines using S100A9 (D5O6O) Rabbit mAb (upper) or β-Actin (D6A8) Rabbit mAb #8457 (lower).
Western Blotting Image 1: S100A9 (D5O6O) Rabbit Monoclonal Antibody
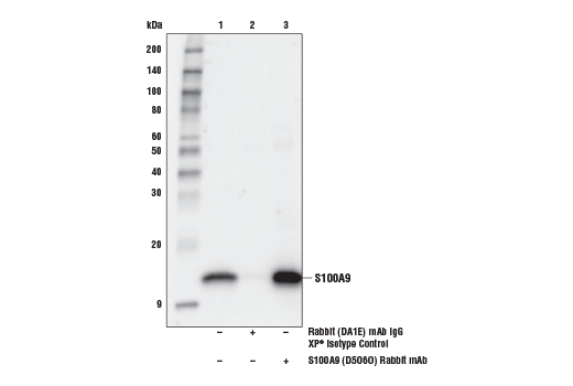
Immunoprecipitation of S100A9 from THP-1 cell extracts. Lane 1 is 10% input, lane 2 is Rabbit (DA1E) mAb IgG XP® Isotype Control #3900, and lane 3 is S100A9 (D5O6O) Rabbit mAb. Western blot analysis was performed using S100A9 (D5O6O) Rabbit mAb.
Immunoprecipitation Image 1: S100A9 (D5O6O) Rabbit Monoclonal Antibody
Confocal immunofluorescent analysis of THP-1 cells (left, high-expressing) and Jurkat cells (right, low-expressing) using S100A9 (D5O6O) Rabbit mAb (green). Actin filaments were labeled with Alexa Fluor 555® Phalloidin #8953 (red). Blue pseudocolor = DRAQ5® (fluorescent DNA dye).
Immunofluorescence Image 1: S100A9 (D5O6O) Rabbit Monoclonal Antibody
Orders: 877-616-CELL (2355) [email protected] Support: 877-678-TECH (8324) [email protected] Web: cellsignal.com
For Research Use Only. Not for Use in Diagnostic Procedures.

Revision 4

Cell Signaling Technology Logo
Flow cytometric analysis of Jurkat cells (blue) and THP-1 cells (green) using S100A9 (D5O6O) Rabbit mAb (solid lines) compared to concentration-matched Rabbit (DA1E) mAb IgG XP® Isotype Control #3900 (dashed lines). Anti-rabbit IgG (H+L), F(ab')2 Fragment (Alexa Fluor® 488 Conjugate) #4412 was used as a secondary antibody.
Flow Cytometry Image 1: S100A9 (D5O6O) Rabbit Monoclonal Antibody
Orders: 877-616-CELL (2355) [email protected] Support: 877-678-TECH (8324) [email protected] Web: cellsignal.com
For Research Use Only. Not for Use in Diagnostic Procedures.