Revision 8

#64108

Store at -20C

CST Logo
Orders:

877-616-CELL (2355)

[email protected]

Support:

877-678-TECH (8324)

3 Trask Lane | Danvers | Massachusetts | 01923 | USA

For Research Use Only. Not for Use in Diagnostic Procedures.

Applications:
W, IHC-P, IF-IC, FC-FP

Reactivity:
H M R Mk Dm

Sensitivity:
Endogenous

MW (kDa):
32

Source/Isotype:
Mouse IgG1

UniProt ID:
#P62753

Entrez-Gene Id:
6194

Product Usage Information

This product is the carrier free version of #2317. All data were generated using the same antibody clone in the standard formulation which contains BSA and glycerol.

This formulation is ideal for use with technologies requiring specialized or custom antibody labeling, including fluorophores, metals, lanthanides, and oligonucleotides. It is not recommended for ChIP, ChIP-seq, CUT&RUN, or CUT&Tag assays. If you require a carrier-free formulation for chromatin profiling, please contact us. Optimal dilutions/concentrations should be determined by the end user.

BSA and Azide Free antibodies are quality control tested by size exclusion chromatography (SEC) to determine antibody integrity.

Formulation

Supplied in 1X PBS (10 mM Na2HPO4, 3 mM KCl, 2 mM KH2PO4, and 140 mM NaCl (pH 7.8)). BSA and Azide Free.

For the standard formulation of this product see product #2317.

Storage

Store at -20°C. This product will freeze at -20°C so it is recommended to aliquot into single-use vials to avoid multiple freeze/thaw cycles. A slight precipitate may be present and can be dissolved by gently vortexing. This will not interfere with antibody performance.

Specificity/Sensitivity

S6 Ribosomal Protein (54D2) Mouse Monoclonal Antibody (BSA and Azide Free) detects endogenous levels of total S6 ribosomal protein independent of phosphorylation.

Source / Purification

Monoclonal antibody is produced by immunizing animals with a recombinant fusion protein corresponding to full-length human S6 ribosomal protein. The epitope corresponds to a region surrounding Asp20 of human S6 ribosomal protein

Background

One way that growth factors and mitogens effectively promote sustained cell growth and proliferation is by upregulating mRNA translation (1,2). Growth factors and mitogens induce the activation of p70 S6 kinase and the subsequent phosphorylation of S6 ribosomal protein. Phosphorylation of S6 ribosomal protein correlates with an increase in translation of mRNA transcripts that contain an oligopyrimidine tract in their 5' untranslated regions (2). These particular mRNA transcripts (5'TOP) encode proteins involved in cell cycle progression, as well as ribosomal proteins and elongation factors necessary for translation (2,3). Important S6 ribosomal protein phosphorylation sites include several residues (Ser235, Ser236, Ser240, and Ser244) located within a small, carboxy-terminal region of S6 protein (4,5).

Species Reactivity

Species reactivity is determined by testing in at least one approved application (e.g., western blot).

Applications Key

W: Western Blotting IHC-P: Immunohistochemistry (Paraffin) IF-IC: Immunofluorescence (Immunocytochemistry) FC-FP: Flow Cytometry (Fixed/Permeabilized)

Cross-Reactivity Key

H: Human M: Mouse R: Rat Mk: Monkey Dm: D. melanogaster

Trademarks and Patents

Cell Signaling Technology is a trademark of Cell Signaling Technology, Inc.

SignalStain is a registered trademark of Cell Signaling Technology, Inc.

All other trademarks are the property of their respective owners. Visit cellsignal.com/trademarks for more information.

Limited Uses

Except as otherwise expressly agreed in a writing signed by a legally authorized representative of CST, the following terms apply to Products provided by CST, its affiliates or its distributors. Any Customer's terms and conditions that are in addition to, or different from, those contained herein, unless separately accepted in writing by a legally authorized representative of CST, are rejected and are of no force or effect.

Products are labeled with For Research Use Only or a similar labeling statement and have not been approved, cleared, or licensed by the FDA or other regulatory foreign or domestic entity, for any purpose. Customer shall not use any Product for any diagnostic or therapeutic purpose, or otherwise in any manner that conflicts with its labeling statement. Products sold or licensed by CST are provided for Customer as the end-user and solely for research and development uses. Any use of Product for diagnostic, prophylactic or therapeutic purposes, or any purchase of Product for resale (alone or as a component) or other commercial purpose, requires a separate license from CST. Customer shall (a) not sell, license, loan, donate or otherwise transfer or make available any Product to any third party, whether alone or in combination with other materials, or use the Products to manufacture any commercial products, (b) not copy, modify, reverse engineer, decompile, disassemble or otherwise attempt to discover the underlying structure or technology of the Products, or use the Products for the purpose of developing any products or services that would compete with CST products or services, (c) not alter or remove from the Products any trademarks, trade names, logos, patent or copyright notices or markings, (d) use the Products solely in accordance with CST Product Terms of Sale and any applicable documentation, and (e) comply with any license, terms of service or similar agreement with respect to any third party products or services used by Customer in connection with the Products.

Orders: 877-616-CELL (2355) [email protected] Support: 877-678-TECH (8324) [email protected] Web: cellsignal.com
For Research Use Only. Not for Use in Diagnostic Procedures.

Revision 8

Cell Signaling Technology Logo
Western blot analysis of cell extracts using S6 Ribosomal Protein (54D2) Mouse mAb. Data were generated using the standard formulation of this product.
Western Blotting Image 1: S6 Ribosomal Protein (54D2) Mouse Monoclonal Antibody (BSA and Azide Free)
Orders: 877-616-CELL (2355) [email protected] Support: 877-678-TECH (8324) [email protected] Web: cellsignal.com
For Research Use Only. Not for Use in Diagnostic Procedures.

Revision 8

Cell Signaling Technology Logo
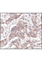
Immunohistochemical analysis of paraffin-embedded human lung carcinoma, using S6 Ribosomal Protein (54D2) Mouse mAb. Data were generated using the standard formulation of this product.
Immunohistochemistry Image 1: S6 Ribosomal Protein (54D2) Mouse Monoclonal Antibody (BSA and Azide Free)
Orders: 877-616-CELL (2355) [email protected] Support: 877-678-TECH (8324) [email protected] Web: cellsignal.com
For Research Use Only. Not for Use in Diagnostic Procedures.

Revision 8

Cell Signaling Technology Logo
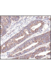
Immunohistochemical analysis of paraffin-embedded human colon carcinoma, using S6 Ribosomal Protein (54D2) Mouse mAb. Data were generated using the standard formulation of this product.
Immunohistochemistry Image 2: S6 Ribosomal Protein (54D2) Mouse Monoclonal Antibody (BSA and Azide Free)
Orders: 877-616-CELL (2355) [email protected] Support: 877-678-TECH (8324) [email protected] Web: cellsignal.com
For Research Use Only. Not for Use in Diagnostic Procedures.

Revision 8

Cell Signaling Technology Logo
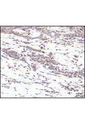
Immunohistochemical analysis of paraffin-embedded human breast carcinoma, showing cytoplasmic localization, using S6 Ribosomal Protein (54D2) Mouse mAb. Data were generated using the standard formulation of this product.
Immunohistochemistry Image 3: S6 Ribosomal Protein (54D2) Mouse Monoclonal Antibody (BSA and Azide Free)
Confocal immunofluorescent images of HeLa cells labeled with S6 Ribosomal Protein (54D2) Mouse mAb (red, left) compared to an isotype control (right). Actin filaments have been labeled with fluorescein phalloidin. Blue pseudocolor = DRAQ5® #4084 (fluorescent DNA dye). Data were generated using the standard formulation of this product.
Immunofluorescence Image 1: S6 Ribosomal Protein (54D2) Mouse Monoclonal Antibody (BSA and Azide Free)
Orders: 877-616-CELL (2355) [email protected] Support: 877-678-TECH (8324) [email protected] Web: cellsignal.com
For Research Use Only. Not for Use in Diagnostic Procedures.

Revision 8

Cell Signaling Technology Logo
Flow cytometric analysis of NIH/3T3 cells, using S6 Ribosomal Protein (54D2) Mouse mAb (blue) compared to a nonspecifc negative control antibody (red). Data were generated using the standard formulation of this product.
Flow Cytometry Image 1: S6 Ribosomal Protein (54D2) Mouse Monoclonal Antibody (BSA and Azide Free)
Orders: 877-616-CELL (2355) [email protected] Support: 877-678-TECH (8324) [email protected] Web: cellsignal.com
For Research Use Only. Not for Use in Diagnostic Procedures.