Revision 1

#13285

Store at -20C

CST Logo
Orders:

877-616-CELL (2355)

[email protected]

Support:

877-678-TECH (8324)

3 Trask Lane | Danvers | Massachusetts | 01923 | USA

For Research Use Only. Not for Use in Diagnostic Procedures.

Applications:
W, IP

Reactivity:
H

Sensitivity:
Endogenous

MW (kDa):
190, 210

Source/Isotype:
Rabbit IgG

UniProt ID:
#O95405

Entrez-Gene Id:
9372

Product Usage Information

Application Dilution
Western Blotting 1:1000
Immunoprecipitation 1:100

Storage

Supplied in 10 mM sodium HEPES (pH 7.5), 150 mM NaCl, 100 µg/ml BSA, 50% glycerol and less than 0.02% sodium azide. Store at –20°C. Do not aliquot the antibody.

Specificity/Sensitivity

Sara (D5X4F) Rabbit Monoclonal Antibody recognizes endogenous levels of total Sara protein. This antibody also recognizes a non-specific band of unknown origin at 50 kDa.

Source / Purification

Monoclonal antibody is produced by immunizing animals with a synthetic peptide corresponding to residues surrounding Val488 of human Sara protein.

Background

The Smad anchor for receptor activation (SARA, ZFYVE9) protein is an FYVE domain-containing protein originally identified as a regulator of TGF-β signaling (1). FYVE domains are zinc finger-like domains that bind to phosphatidylinositol 3-phosphate and are responsible for endosomal trafficking (2). While the role of Sara in TGF-β signaling has been questioned (3,4), early research studies demonstrate that Sara enhances TGF-β signaling by binding and recruiting non-activated Smad2 and Smad3 to the TGF-β receptor complex (1). Upon Smad2 activation, Sara dissociates from the complex while phosphorylated Smad2/3 translocates to the nucleus to bind to the common Smad, Smad4. Sara can also function as an anchor for the protein phosphatase 1 (PP1c) catalytic subunit, which is involved in the Smad7-mediated dephosphorylation of TGF-β type I receptor (5,6). Additional research studies show that expression of Sara plays a critical role in maintenance of the epithelial cell phenotype and that expression is regulated during the epithelial-to-mesenchymal transition (EMT) and fibrosis (7,8).

Species Reactivity

Species reactivity is determined by testing in at least one approved application (e.g., western blot).

Western Blot Buffer

IMPORTANT: For western blots, incubate membrane with diluted primary antibody in 5% w/v BSA, 1X TBS, 0.1% Tween® 20 at 4°C with gentle shaking, overnight.

Applications Key

W: Western Blotting IP: Immunoprecipitation

Cross-Reactivity Key

H: Human

Trademarks and Patents

Cell Signaling Technology is a trademark of Cell Signaling Technology, Inc.

All other trademarks are the property of their respective owners. Visit cellsignal.com/trademarks for more information.

Limited Uses

Except as otherwise expressly agreed in a writing signed by a legally authorized representative of CST, the following terms apply to Products provided by CST, its affiliates or its distributors. Any Customer's terms and conditions that are in addition to, or different from, those contained herein, unless separately accepted in writing by a legally authorized representative of CST, are rejected and are of no force or effect.

Products are labeled with For Research Use Only or a similar labeling statement and have not been approved, cleared, or licensed by the FDA or other regulatory foreign or domestic entity, for any purpose. Customer shall not use any Product for any diagnostic or therapeutic purpose, or otherwise in any manner that conflicts with its labeling statement. Products sold or licensed by CST are provided for Customer as the end-user and solely for research and development uses. Any use of Product for diagnostic, prophylactic or therapeutic purposes, or any purchase of Product for resale (alone or as a component) or other commercial purpose, requires a separate license from CST. Customer shall (a) not sell, license, loan, donate or otherwise transfer or make available any Product to any third party, whether alone or in combination with other materials, or use the Products to manufacture any commercial products, (b) not copy, modify, reverse engineer, decompile, disassemble or otherwise attempt to discover the underlying structure or technology of the Products, or use the Products for the purpose of developing any products or services that would compete with CST products or services, (c) not alter or remove from the Products any trademarks, trade names, logos, patent or copyright notices or markings, (d) use the Products solely in accordance with CST Product Terms of Sale and any applicable documentation, and (e) comply with any license, terms of service or similar agreement with respect to any third party products or services used by Customer in connection with the Products.

Orders: 877-616-CELL (2355) [email protected] Support: 877-678-TECH (8324) [email protected] Web: cellsignal.com
For Research Use Only. Not for Use in Diagnostic Procedures.

Revision 1

Cell Signaling Technology Logo
Western blot analysis of extracts from SH-SY5Y cells, transfected with 100 nM SignalSilence® Control siRNA (Unconjugated) #6568 (-), SignalSilence® Sara siRNA I (+) #13542, or SignalSilence® Sara siRNA II #13553 (+), using Sara (D5X4F) Rabbit mAb (upper) or α-Actinin (D6F6) XP® Rabbit mAb #6487 (lower). The Sara (D5X4F) Rabbit mAb confirms silencing of Sara expression, while the α-Actinin (D6F6) XP® Rabbit mAb is used as a loading control.
Western Blotting Image 1: Sara (D5X4F) Rabbit Monoclonal Antibody
Western blot analysis of extracts from 293T cells, mock transfected (-) or transfected with a construct expressing full-length human Sara protein (hSara; +), using Sara (D5X4F) Rabbit mAb.
Western Blotting Image 2: Sara (D5X4F) Rabbit Monoclonal Antibody
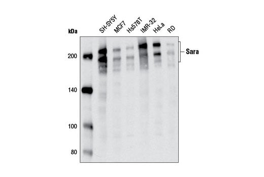
Western blot analysis of extracts from various cell lines using Sara (D5X4F) Rabbit mAb.
Western Blotting Image 3: Sara (D5X4F) Rabbit Monoclonal Antibody
Orders: 877-616-CELL (2355) [email protected] Support: 877-678-TECH (8324) [email protected] Web: cellsignal.com
For Research Use Only. Not for Use in Diagnostic Procedures.

Revision 1

Cell Signaling Technology Logo
Immunoprecipitation of Sara from SH-SY5Y cells using Rabbit (DA1E) mAb IgG XP® Isotype Control #3900 (lane 2) or Sara (D5X4F) Rabbit mAb (lane 3). Lane 1 represents 10% input. Western blot was performed using Sara (D5X4F) Rabbit mAb.
Immunoprecipitation Image 1: Sara (D5X4F) Rabbit Monoclonal Antibody
Orders: 877-616-CELL (2355) [email protected] Support: 877-678-TECH (8324) [email protected] Web: cellsignal.com
For Research Use Only. Not for Use in Diagnostic Procedures.