Revision 4

#52342

Store at -20C

CST Logo
Orders:

877-616-CELL (2355)

[email protected]

Support:

877-678-TECH (8324)

3 Trask Lane | Danvers | Massachusetts | 01923 | USA

For Research Use Only. Not for Use in Diagnostic Procedures.

Applications:
IHC-P, IF-IC

Reactivity:
Vir

Sensitivity:
Endogenous

Source/Isotype:
Mouse IgG2a

UniProt ID:
#P0DTC2

Entrez-Gene Id:
43740568

Product Usage Information

Application Dilution
Immunohistochemistry (Paraffin) 1:200 - 1:800
Immunofluorescence (Immunocytochemistry) 1:200 - 1:800

Storage

Supplied in 10 mM sodium HEPES (pH 7.5), 150 mM NaCl, 100 µg/ml BSA, 50% glycerol and less than 0.02% sodium azide. Store at –20°C. Do not aliquot the antibody.

Specificity/Sensitivity

SARS-CoV-1/2 Spike Protein (2B3E5) Mouse Monoclonal Antibody recognizes endogenous levels of total SARS-CoV-1 and SARS-CoV-2 spike protein. This antibody has been confirmed to detect the following SARS-CoV-2 isolates and variants: USA-WA1/2020, Alpha (B.1.1.7), Beta (B.1.351), Gamma (P.1), Delta (B.1.617.2), and Omicron (B.1.1.529).

Source / Purification

Monoclonal antibody is produced by immunizing animals with SARS spike recombinant protein.

Background

The cause of the COVID-19 pandemic is a novel and highly pathogenic coronavirus, termed SARS-CoV-2 (severe acute respiratory syndrome coronavirus-2). SARS-CoV-2 is a member of the Coronaviridae family of viruses (1). The genome of SARS-CoV-2 is similar to other coronaviruses, and is comprised of four key structural proteins: S, the spike protein, E, the envelope protein, M, the membrane protein, and N, the nucleocapsid protein (2). Coronavirus spike proteins are class I fusion proteins and harbor an ectodomain, a transmembrane domain, and an intracellular tail (3,4). The highly glycosylated ectodomain projects from the viral envelope surface and facilitates attachment and fusion with the host cell plasma membrane. The ectodomain can be further subdivided into host receptor-binding domain (RBD) (S1) and membrane-fusion (S2) subunits, which are produced upon proteolysis by host proteases at S1/S2 and S2’ sites. S1 and S2 subunits remain associated after cleavage and assemble into crown-like homotrimers (2,4). In humans, both SARS-CoV and SARS-CoV-2 spike proteins utilize the angiotensin-converting enzyme 2 (ACE2) protein as a receptor for cellular entry (5-7). Spike protein subunits represent a key antigenic feature of coronavirus virions, and therefore represent an important target of vaccines, novel therapeutic antibodies, and small-molecule inhibitors (8,9).

Species Reactivity

Species reactivity is determined by testing in at least one approved application (e.g., western blot).

Applications Key

IHC-P: Immunohistochemistry (Paraffin) IF-IC: Immunofluorescence (Immunocytochemistry)

Cross-Reactivity Key

Vir: Virus

Trademarks and Patents

Cell Signaling Technology is a trademark of Cell Signaling Technology, Inc.

SignalStain is a registered trademark of Cell Signaling Technology, Inc.

All other trademarks are the property of their respective owners. Visit cellsignal.com/trademarks for more information.

Limited Uses

Except as otherwise expressly agreed in a writing signed by a legally authorized representative of CST, the following terms apply to Products provided by CST, its affiliates or its distributors. Any Customer's terms and conditions that are in addition to, or different from, those contained herein, unless separately accepted in writing by a legally authorized representative of CST, are rejected and are of no force or effect.

Products are labeled with For Research Use Only or a similar labeling statement and have not been approved, cleared, or licensed by the FDA or other regulatory foreign or domestic entity, for any purpose. Customer shall not use any Product for any diagnostic or therapeutic purpose, or otherwise in any manner that conflicts with its labeling statement. Products sold or licensed by CST are provided for Customer as the end-user and solely for research and development uses. Any use of Product for diagnostic, prophylactic or therapeutic purposes, or any purchase of Product for resale (alone or as a component) or other commercial purpose, requires a separate license from CST. Customer shall (a) not sell, license, loan, donate or otherwise transfer or make available any Product to any third party, whether alone or in combination with other materials, or use the Products to manufacture any commercial products, (b) not copy, modify, reverse engineer, decompile, disassemble or otherwise attempt to discover the underlying structure or technology of the Products, or use the Products for the purpose of developing any products or services that would compete with CST products or services, (c) not alter or remove from the Products any trademarks, trade names, logos, patent or copyright notices or markings, (d) use the Products solely in accordance with CST Product Terms of Sale and any applicable documentation, and (e) comply with any license, terms of service or similar agreement with respect to any third party products or services used by Customer in connection with the Products.

Orders: 877-616-CELL (2355) [email protected] Support: 877-678-TECH (8324) [email protected] Web: cellsignal.com
For Research Use Only. Not for Use in Diagnostic Procedures.

Revision 4

Cell Signaling Technology Logo
Immunohistochemical analysis of paraffin-embedded SARS-CoV-2 positive human placenta using SARS-CoV-1/2 Spike Protein (2B3E5) Mouse mAb.
Immunohistochemistry Image 1: SARS-CoV-1/2 Spike Protein (2B3E5) Mouse Monoclonal Antibody
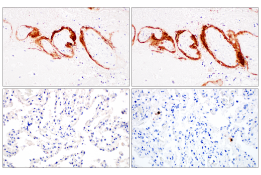
Immunohistochemical analysis of paraffin-embedded SARS-CoV-2 positive human placenta (top) or SARS-CoV-2 positive human lung (bottom) using SARS-CoV-1/2 Spike Protein (2B3E5) Mouse mAb (left) compared to SARS-CoV-2 Nucleocapsid Protein (E8R1L) Mouse mAb #33717 (right). The differential signal observed between SARS-CoV-1/2 Spike Protein (2B3E5) Mouse mAb and SARS-CoV-2 Nucleocapsid Protein (E8R1L) Mouse mAb #33717 antibodies is likely related to differences in antigen abundance of spike and nucleocapsid proteins.
Immunohistochemistry Image 2: SARS-CoV-1/2 Spike Protein (2B3E5) Mouse Monoclonal Antibody
Immunohistochemical analysis of paraffin-embedded SARS-CoV-2-infected hACE2 K18 mouse lung using SARS-CoV-1/2 Spike Protein (2B3E5) Mouse mAb (left) compared to secondary-only negative control (right). Note the mouse on mouse background staining in the absence of primary antibody. Human ACE2 transgenic mouse lung tissue was generously provided by Dr. Nicholas Crossland and Dr. Florian Douam, National Emerging Infectious Diseases Laboratories (NEIDL), Boston University.
Immunohistochemistry Image 3: SARS-CoV-1/2 Spike Protein (2B3E5) Mouse Monoclonal Antibody
Orders: 877-616-CELL (2355) [email protected] Support: 877-678-TECH (8324) [email protected] Web: cellsignal.com
For Research Use Only. Not for Use in Diagnostic Procedures.

Revision 4

Cell Signaling Technology Logo
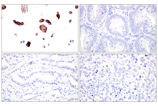
Immunohistochemical analysis of paraffin-embedded 293T cell pellet transfected with SARS-CoV-2 spike protein (left-top) and various paraffin-embedded human tissues: colon adenocarcinoma (right-top), squamous cell lung carcinoma (right-bottom), and ductal breast carcinoma (left-bottom) using SARS-CoV-1/2 Spike Protein (2B3E5) Mouse mAb. Note the lack of staining in the tissues, all of which were procured prior to 2019, and therefore serve as reliable negative controls.
Immunohistochemistry Image 4: SARS-CoV-1/2 Spike Protein (2B3E5) Mouse Monoclonal Antibody
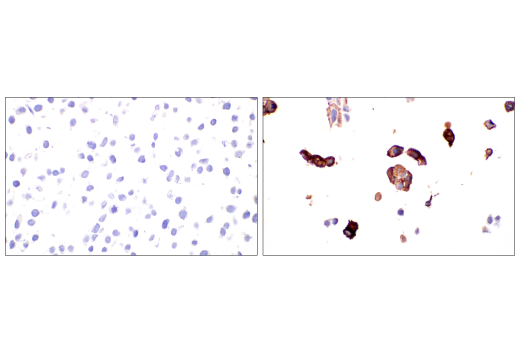
Immunohistochemical analysis of paraffin-embedded 293T cell pellet, untransfected (left) or SARS-CoV-2 spike protein transfected (right), using SARS-CoV-1/2 Spike Protein (2B3E5) Mouse mAb.
Immunohistochemistry Image 5: SARS-CoV-1/2 Spike Protein (2B3E5) Mouse Monoclonal Antibody
Immunohistochemical analysis of paraffin-embedded A549-hACE2-hTMPRSS2 cell pellet, mock infected or infected with SARS-CoV-2 2019-nCoV/USA-WA1/2020 variant, SARS-CoV-2 Alpha (B.1.1.7) variant, SARS-CoV-2 Beta (B.1.351) variant (from top left to right as indicated), SARS-CoV-2 Gamma (P.1) variant, SARS-CoV-2 Delta (B.1.617.2) variant, or SARS-CoV-2 Omicron (B.1.1.529) variant (from bottom left to right as indicated), using SARS-CoV-1/2 Spike Protein (2B3E5) Mouse mAb. A549-hACE2-hTMPRSS2 cell pellets were generously provided by Dr. Nicholas Crossland and Dr. Florian Douam, National Emerging Infectious Diseases Laboratories, Boston University.
Immunohistochemistry Image 6: SARS-CoV-1/2 Spike Protein (2B3E5) Mouse Monoclonal Antibody
Orders: 877-616-CELL (2355) [email protected] Support: 877-678-TECH (8324) [email protected] Web: cellsignal.com
For Research Use Only. Not for Use in Diagnostic Procedures.

Revision 4

Cell Signaling Technology Logo
Confocal immunofluorescent analysis of HCT 116 cells transiently transfected with SARS-CoV-2 spike protein (left, positive) or mock transfected (right, negative), using SARS-CoV-1/2 Spike Protein (2B3E5) Mouse mAb (green), β-Actin (13E5) Rabbit mAb #4970 (red), and DAPI #4083 (blue).
Immunofluorescence Image 1: SARS-CoV-1/2 Spike Protein (2B3E5) Mouse Monoclonal Antibody
Orders: 877-616-CELL (2355) [email protected] Support: 877-678-TECH (8324) [email protected] Web: cellsignal.com
For Research Use Only. Not for Use in Diagnostic Procedures.