Revision 12

#26369

Store at +4C

CST Logo
Orders:

877-616-CELL (2355)

[email protected]

Support:

877-678-TECH (8324)

3 Trask Lane | Danvers | Massachusetts | 01923 | USA

For Research Use Only. Not for Use in Diagnostic Procedures.

Applications:
W, IHC-Bond, IHC-P, IF-IC

Reactivity:
Vir

Sensitivity:
Endogenous

MW (kDa):
55

Source/Isotype:
Rabbit IgG

UniProt ID:
#P0DTC9

Entrez-Gene Id:
43740575

Product Usage Information

Application Dilution
Western Blotting 1:1000
IHC Leica Bond 1:400 - 1:1600
Immunohistochemistry (Paraffin) 1:200 - 1:800
Immunofluorescence (Immunocytochemistry) 1:1600 - 1:6400

Storage

Supplied in PBS. This product is stable for 12 months when stored at -20C. This product will freeze at -20°C so it is recommended to aliquot into single-use vials to avoid multiple freeze/thaw cycles. A slight precipitate may be present, but will not interfere with antibody performance.

Specificity/Sensitivity

SARS-CoV-2 Nucleocapsid Protein (HL344) Rabbit Monoclonal Antibody recognizes endogenous levels of total SARS-CoV-2 nucleocapsid (N) protein. This antibody has been confirmed to detect the following SARS-CoV-2 isolates and variants: USA-WA1/2020, Alpha (B.1.1.7), Beta (B.1.351), Gamma (P.1), Delta (B.1.617.2), and Omicron (B.1.1.529). This antibody does not cross-react with nucleocapsid (N) proteins from SARS or MERS coronaviruses.

Source / Purification

Monoclonal antibody is produced by immunizing animals with a full-length SARS-CoV-2 nucleocapsid (N) recombinant protein.

Background

The cause of the COVID-19 pandemic is a novel and highly pathogenic coronavirus, termed SARS-CoV-2 (severe acute respiratory syndrome coronavirus-2). SARS-CoV-2 is a member of the Coronaviridae family of viruses (1). The genome of SARS-CoV-2 is relatively large and encodes up to 29 open reading frames (ORFs). These include ORF1a and ORF1b (further processed into 16 non-structural proteins), 9 accessory proteins, and 4 canonical structural proteins: spike (S), envelope (E), membrane (M), and nucleocapsid (N) (2). The nucleocapsid (N) protein is a phosphoprotein that plays a critical role in viral assembly (3,4). It binds to the viral genomic RNA, enabling its packaging into the ribonucleoprotein complex (RNP), and is the most abundant protein in the virion (5). Evidence from studies in SARS-CoV-2 and other coronaviruses suggest functions for nucleocapsid (N) protein beyond viral RNA packaging, including roles in viral replication (6) and suppressing host immune responses to viral infection (7).

Species Reactivity

Species reactivity is determined by testing in at least one approved application (e.g., western blot).

Western Blot Buffer

IMPORTANT: For western blots, incubate membrane with diluted primary antibody in 5% w/v BSA, 1X TBS, 0.1% Tween® 20 at 4°C with gentle shaking, overnight.

Applications Key

W: Western Blotting IHC-Bond: IHC Leica Bond IHC-P: Immunohistochemistry (Paraffin) IF-IC: Immunofluorescence (Immunocytochemistry)

Cross-Reactivity Key

Vir: Virus

Trademarks and Patents

Cell Signaling Technology is a trademark of Cell Signaling Technology, Inc.

SignalStain is a registered trademark of Cell Signaling Technology, Inc.

U.S. Patent No. 7,429,487, foreign equivalents, and child patents deriving therefrom.

All other trademarks are the property of their respective owners. Visit cellsignal.com/trademarks for more information.

Limited Uses

Except as otherwise expressly agreed in a writing signed by a legally authorized representative of CST, the following terms apply to Products provided by CST, its affiliates or its distributors. Any Customer's terms and conditions that are in addition to, or different from, those contained herein, unless separately accepted in writing by a legally authorized representative of CST, are rejected and are of no force or effect.

Products are labeled with For Research Use Only or a similar labeling statement and have not been approved, cleared, or licensed by the FDA or other regulatory foreign or domestic entity, for any purpose. Customer shall not use any Product for any diagnostic or therapeutic purpose, or otherwise in any manner that conflicts with its labeling statement. Products sold or licensed by CST are provided for Customer as the end-user and solely for research and development uses. Any use of Product for diagnostic, prophylactic or therapeutic purposes, or any purchase of Product for resale (alone or as a component) or other commercial purpose, requires a separate license from CST. Customer shall (a) not sell, license, loan, donate or otherwise transfer or make available any Product to any third party, whether alone or in combination with other materials, or use the Products to manufacture any commercial products, (b) not copy, modify, reverse engineer, decompile, disassemble or otherwise attempt to discover the underlying structure or technology of the Products, or use the Products for the purpose of developing any products or services that would compete with CST products or services, (c) not alter or remove from the Products any trademarks, trade names, logos, patent or copyright notices or markings, (d) use the Products solely in accordance with CST Product Terms of Sale and any applicable documentation, and (e) comply with any license, terms of service or similar agreement with respect to any third party products or services used by Customer in connection with the Products.

Orders: 877-616-CELL (2355) [email protected] Support: 877-678-TECH (8324) [email protected] Web: cellsignal.com
For Research Use Only. Not for Use in Diagnostic Procedures.

Revision 12

Cell Signaling Technology Logo
Western blot analysis of extracts from 293T cells, mock transfected (lane 1) or transiently transfected with plasmid encoding Myc/DDK-tagged SARS-CoV-2 nucleocapsid (N) protein (lane 2), using SARS-CoV-2 Nucleocapsid Protein (HL344) Rabbit mAb (upper), Myc-Tag (71D10) Rabbit mAb #2278 (middle), and GAPDH (D16H11) XP® Rabbit mAb #5174 (lower).
Western Blotting Image 1: SARS-CoV-2 Nucleocapsid Protein (HL344) Rabbit Monoclonal Antibody
Western blot analysis of extracts from transgenic A549 cells stably expressing HA-tagged SARS-CoV-2 nucleocapsid (N) protein (A549-N protein) (lane 1) or HA-tagged SARS-CoV-2 envelope (E) protein (A549-E protein) (lane 2), using SARS-CoV-2 Nucleocapsid Protein (HL344) Rabbit mAb (upper), HA-Tag (C29F4) Rabbit mAb #3724 (middle), and GAPDH (D16H11) XP® Rabbit mAb #5174 (lower). Absence of signal in A549-E protein cell extracts confirms specificity of the antibody for SARS-CoV-2 nucleocapsid (N) protein. Transgenic A549 cells were generously provided by Dr. Elena Piskounova, Weill Cornell Medicine.
Western Blotting Image 2: SARS-CoV-2 Nucleocapsid Protein (HL344) Rabbit Monoclonal Antibody
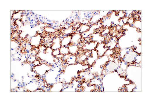
Immunohistochemical analysis of paraffin-embedded SARS-CoV-2 positive human lung using SARS-CoV-2 Nucleocapsid Protein (HL344) Rabbit mAb performed on the Leica® BOND™ Rx.
Immunohistochemistry Image 1: SARS-CoV-2 Nucleocapsid Protein (HL344) Rabbit Monoclonal Antibody
Orders: 877-616-CELL (2355) [email protected] Support: 877-678-TECH (8324) [email protected] Web: cellsignal.com
For Research Use Only. Not for Use in Diagnostic Procedures.

Revision 12

Cell Signaling Technology Logo
Immunohistochemical analysis of paraffin-embedded 293T cell pellet transfected with SARS-CoV-2 nucleocapsid (N) protein (left-top) and various paraffin-embedded human tissues: normal lung (middle-top), normal colon (right-top), normal heart (left-bottom), renal cell carcinoma (middle-bottom), and non-small cell lung carcinoma (right-bottom) using SARS-CoV-2 Nucleocapsid Protein (HL344) Rabbit mAb. Note the lack of staining in the tissues, all of which were procured prior to 2019, and therefore serve as reliable negative controls.
Immunohistochemistry Image 1: SARS-CoV-2 Nucleocapsid Protein (HL344) Rabbit Monoclonal Antibody
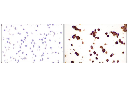
Immunohistochemical analysis of paraffin-embedded 293T cell pellets, control (left) or SARS-CoV-2 nucleocapsid (N) protein transfected (right), using SARS-CoV-2 Nucleocapsid Protein (HL344) Rabbit mAb.
Immunohistochemistry Image 2: SARS-CoV-2 Nucleocapsid Protein (HL344) Rabbit Monoclonal Antibody
Immunohistochemical analysis of paraffin-embedded cell pellets of transgenic A549 cells stably expressing SARS-CoV-2 nucleocapsid (N) protein (A549-N protein) (left, positive) or SARS-CoV-2 envelope (E) protein (A549-E protein) (right, negative), using SARS-CoV-2 Nucleocapsid Protein (HL344) Rabbit mAb. Transgenic A549 cells were generously provided by Dr. Elena Piskounova, Weill Cornell Medicine.
Immunohistochemistry Image 3: SARS-CoV-2 Nucleocapsid Protein (HL344) Rabbit Monoclonal Antibody
Orders: 877-616-CELL (2355) [email protected] Support: 877-678-TECH (8324) [email protected] Web: cellsignal.com
For Research Use Only. Not for Use in Diagnostic Procedures.

Revision 12

Cell Signaling Technology Logo
Immunohistochemical analysis of paraffin-embedded SARS-CoV-2-infected hACE2 K18 mouse lung using SARS-CoV-2 Nucleocapsid Protein (HL344) Rabbit mAb. Human ACE2 transgenic mouse lung tissue was generously provided by Dr. Nicholas Crossland and Dr. Florian Douam, National Emerging Infectious Diseases Laboratories, Boston University.
Immunohistochemistry Image 4: SARS-CoV-2 Nucleocapsid Protein (HL344) Rabbit Monoclonal Antibody
Immunohistochemical analysis of paraffin-embedded A549-hACE2-hTMPRSS2 cell pellet, mock infected or infected with SARS-CoV-2 2019-nCoV/USA-WA1/2020 variant, SARS-CoV-2 Alpha (B.1.1.7) variant, SARS-CoV-2 Beta (B.1.351) variant (from top left to right as indicated), SARS-CoV-2 Gamma (P.1) variant, SARS-CoV-2 Delta (B.1.617.2) variant, or SARS-CoV-2 Omicron (B.1.1.529) variant (from bottom left to right as indicated), using SARS-CoV-2 Nucleocapsid Protein (HL344) Rabbit mAb. A549-hACE2-hTMPRSS2 cell pellets were generously provided by Dr. Nicholas Crossland and Dr. Florian Douam, National Emerging Infectious Diseases Laboratories, Boston University.
Immunohistochemistry Image 5: SARS-CoV-2 Nucleocapsid Protein (HL344) Rabbit Monoclonal Antibody
Confocal immunofluorescent analysis of 293T cells transiently transfected with SARS-CoV-2 nucleocapsid (N) protein, using SARS-CoV-2 Nucleocapsid Protein (HL344) Rabbit mAb (green), DyLight™ 554 Phalloidin #13054 (red), and DAPI #4083 (blue).
Immunofluorescence Image 1: SARS-CoV-2 Nucleocapsid Protein (HL344) Rabbit Monoclonal Antibody
Orders: 877-616-CELL (2355) [email protected] Support: 877-678-TECH (8324) [email protected] Web: cellsignal.com
For Research Use Only. Not for Use in Diagnostic Procedures.

Revision 12

Cell Signaling Technology Logo
Confocal immunofluorescent analysis of transgenic A549 cells stably expressing SARS-CoV-2 nucleocapsid (N) protein (A549-N protein) (left, positive) and SARS-CoV-2 envelope (E) protein (A549-E protein) (right, negative), using SARS-CoV-2 Nucleocapsid Protein (HL344) Rabbit mAb, DyLight™ 554 Phalloidin #13054 (red), and DAPI #4083 (blue). Transgenic A549 cells were generously provided by Dr. Elena Piskounova, Weill Cornell Medicine.
Immunofluorescence Image 2: SARS-CoV-2 Nucleocapsid Protein (HL344) Rabbit Monoclonal Antibody
Orders: 877-616-CELL (2355) [email protected] Support: 877-678-TECH (8324) [email protected] Web: cellsignal.com
For Research Use Only. Not for Use in Diagnostic Procedures.