Revision 1

#45394

Store at -20C

CST Logo
Orders:

877-616-CELL (2355)

[email protected]

Support:

877-678-TECH (8324)

3 Trask Lane | Danvers | Massachusetts | 01923 | USA

For Research Use Only. Not for Use in Diagnostic Procedures.

Product Includes Product # Quantity Mol. Wt Isotype/Source
SARS-CoV-2 Spike Protein (S1) (E5S3V) Rabbit Monoclonal Antibody9942320 µl110, 220 kDaRabbit IgG
SARS-CoV-2 Spike Protein (RBD) (E7B3E) Rabbit Monoclonal Antibody6384720 µl110, 220 kDaRabbit IgG
Cleaved SARS-CoV-2 Spike Protein (Ser686) Antibody8453420 µl100 kDaRabbit
ACE2 (E5O6J) Rabbit Monoclonal Antibody9248520 µl120-135 kDaRabbit IgG
Neuropilin-1 (D62C6) Rabbit Monoclonal Antibody372520 µl120-140 kDaRabbit IgG
Basigin/EMMPRIN (E1S1V) Rabbit Monoclonal Antibody1328720 µl38-58 kDaRabbit IgG
Furin Antibody4399620 µl90 kDaRabbit
Cathepsin L Antibody7129820 µl25-42 kDaRabbit
Anti-rabbit IgG, HRP-linked Antibody7074100 µlGoat

Please visit cellsignal.com for individual component applications, species cross-reactivity, dilutions, protocols, and additional product information.

Description

The SARS-CoV-2 Virus-Host Interaction Antibody Sampler Kit provides an economical means of detecting key viral and host proteins involved in SARS-CoV-2 infection of human host cells. The kit includes enough antibodies to perform two western blot experiments with each primary antibody.

Storage

Supplied in 10 mM sodium HEPES (pH 7.5), 150 mM NaCl, 100 µg/ml BSA, 50% glycerol and less than 0.02% sodium azide. Store at –20°C. Do not aliquot the antibodies.

Background

The cause of the COVID-19 pandemic is a novel and highly pathogenic coronavirus, termed SARS-CoV-2 (severe acute respiratory syndrome coronavirus-2). SARS-CoV-2 is a member of the Coronaviridae family of viruses (1). The SARS-CoV-2 virion is comprised of four key structural proteins: spike (S), envelope (E), membrane (M), and nucleocapsid (N) (2). Coronavirus spike proteins are class I fusion proteins and harbor an ectodomain, a transmembrane domain, and an intracellular tail (3,4). The highly glycosylated ectodomain projects from the viral envelope surface and facilitates attachment and fusion with the host cell membrane. The ectodomain can be further subdivided into the receptor-binding domain (RBD) S1 and membrane-fusion (S2) subunits, which are produced upon proteolysis by host proteases. S1 and S2 subunits are reassociated after cleavage, assembling into crown-like homotrimers (2,4).

The SARS-CoV-2 spike protein contains a novel tetrabasic "furin cleavage site" (FCS) at the S1/S2 junction. Research studies suggest this site is cleaved by proprotein convertases (e.g., furin) or lysosomal proteases (e.g., cathepsin L) (5,6). S1/S2 cleavage elicits a confirmational change in the spike protein that positions elements of the trimeric RBD in an exposed "up" position, priming it for interaction with host receptor proteins. Cleavage can occur at multiple steps of the viral lifecycle, including during viral packaging, or upon contact of the intact virion with the host cell surface. This novel cleavage event has been suggested to contribute to the high infectivity rate of the SARS-CoV-2 virus (7).

The SARS-CoV-2 virus has been shown to utilize the angiotensin-converting enzyme 2 (ACE2) protein as its primary receptor for cellular entry (8). However, research studies have suggested that other cell surface proteins may serve as receptors or co-receptors for SARS-CoV-2. These include neuropilin-1 (NPN1), a single-pass transmembrane receptor that can function as part of a semaphorin receptor complex, and as a vascular endothelial growth factor (VEGF) receptor (9), and Basigin/EMMPRIN (CD147), a type I integral membrane receptor belonging to the immunoglobulin superfamily (10).

Trademarks and Patents

Cell Signaling Technology is a trademark of Cell Signaling Technology, Inc.

All other trademarks are the property of their respective owners. Visit cellsignal.com/trademarks for more information.

Limited Uses

Except as otherwise expressly agreed in a writing signed by a legally authorized representative of CST, the following terms apply to Products provided by CST, its affiliates or its distributors. Any Customer's terms and conditions that are in addition to, or different from, those contained herein, unless separately accepted in writing by a legally authorized representative of CST, are rejected and are of no force or effect.

Products are labeled with For Research Use Only or a similar labeling statement and have not been approved, cleared, or licensed by the FDA or other regulatory foreign or domestic entity, for any purpose. Customer shall not use any Product for any diagnostic or therapeutic purpose, or otherwise in any manner that conflicts with its labeling statement. Products sold or licensed by CST are provided for Customer as the end-user and solely for research and development uses. Any use of Product for diagnostic, prophylactic or therapeutic purposes, or any purchase of Product for resale (alone or as a component) or other commercial purpose, requires a separate license from CST. Customer shall (a) not sell, license, loan, donate or otherwise transfer or make available any Product to any third party, whether alone or in combination with other materials, or use the Products to manufacture any commercial products, (b) not copy, modify, reverse engineer, decompile, disassemble or otherwise attempt to discover the underlying structure or technology of the Products, or use the Products for the purpose of developing any products or services that would compete with CST products or services, (c) not alter or remove from the Products any trademarks, trade names, logos, patent or copyright notices or markings, (d) use the Products solely in accordance with CST Product Terms of Sale and any applicable documentation, and (e) comply with any license, terms of service or similar agreement with respect to any third party products or services used by Customer in connection with the Products.

Orders: 877-616-CELL (2355) [email protected] Support: 877-678-TECH (8324) [email protected] Web: cellsignal.com
For Research Use Only. Not for Use in Diagnostic Procedures.

Revision 1

Cell Signaling Technology Logo
Western blot analysis of extracts from various cell lines using Basigin/EMMPRIN (E1S1V) Rabbit mAb (upper) and β-Actin (D6A8) Rabbit mAb #8457 (lower).
undefined Image 1: SARS-CoV-2 Virus-Host Interaction Antibody Sampler Kit
Western blot analysis of extracts from PC3 cells, mouse brain, rat brain, and His-tagged Neuropilin-1 recombinant protein(1-644) using Neuropilin-1 (D62C6) Rabbit mAb.
undefined Image 2: SARS-CoV-2 Virus-Host Interaction Antibody Sampler Kit
Western blot analysis of extracts from KARPAS 299, C2C12, and H-4-II-E cells using Furin Antibody (upper) and α-Actinin (D6F6) XP® Rabbit mAb #6487 (lower).
undefined Image 3: SARS-CoV-2 Virus-Host Interaction Antibody Sampler Kit
Orders: 877-616-CELL (2355) [email protected] Support: 877-678-TECH (8324) [email protected] Web: cellsignal.com
For Research Use Only. Not for Use in Diagnostic Procedures.

Revision 1

Cell Signaling Technology Logo
Immunoprecipitation of furin protein from KARPAS 299 cell extracts. Lane 1 is 10% input, lane 2 is Normal Rabbit IgG #2729, and lane 3 is Furin Antibody. Western blot analysis was performed using Furin Antibody. Anti-rabbit IgG, HRP-linked Antibody #7074 was used as the secondary antibody.
undefined Image 4: SARS-CoV-2 Virus-Host Interaction Antibody Sampler Kit
Western blot analysis of extracts from mock-infected Vero-E6 cells (lane 1) and SARS-CoV-2-infected Vero-E6 cells (lane 2), using SARS-CoV-2 Spike Protein (RBD) (E7B3E) Rabbit mAb (upper) and GAPDH (D16H11) XP® Rabbit mAb #5174 (lower). The antibody detects full-length (uncleaved) SARS-CoV-2 spike protein, and the fragment corresponding to the S1 domain generated by endogenous protease cleavage. SARS-CoV-2 infected Vero-E6 cells courtesy of Dr. Mohsan Saeed, National Emerging Infectious Diseases Laboratories, Boston University.
undefined Image 5: SARS-CoV-2 Virus-Host Interaction Antibody Sampler Kit
Western blot analysis of extracts from 293T cells, mock transfected (lane 1) or transiently transfected with expression constructs encoding Myc/DDK-tagged SARS-CoV-2 Spike (lane 2), Myc/DDK-tagged SARS-CoV Spike (lane 3), or Myc/DDK-tagged MERS-CoV Spike (lane 4), using SARS-CoV-2 Spike Protein (RBD) (E7B3E) Rabbit mAb (upper), Myc-Tag (71D10) Rabbit mAb #2278 (middle), and GAPDH (D16H11) XP® Rabbit mAb #5174 (lower). The antibody detects full-length (uncleaved) SARS-CoV-2 spike protein, and the fragment corresponding to the S1 domain generated by endogenous protease cleavage. Proteolytic cleavage of SARS-CoV spike protein (middle panel, lane 3) is not observed in these experimental conditions (transient transfection).
undefined Image 6: SARS-CoV-2 Virus-Host Interaction Antibody Sampler Kit
Orders: 877-616-CELL (2355) [email protected] Support: 877-678-TECH (8324) [email protected] Web: cellsignal.com
For Research Use Only. Not for Use in Diagnostic Procedures.

Revision 1

Cell Signaling Technology Logo
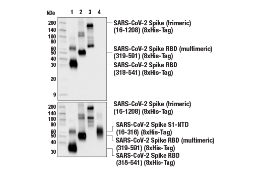
Western blot analysis of purified SARS-CoV-2 Spike RBD (318-541) Recombinant Protein (8xHis-Tag) #48801 (lane 1), SARS-CoV-2 Spike RBD (multimeric) (319-591) Recombinant Protein (8xHis-Tag) #17862 (lane 2), SARS-CoV-2 Spike (trimeric) (16-1208) Recombinant Protein (8xHis-Tag) #65444 (lane 3), and SARS-CoV-2 Spike S1-NTD (16-316) Recombinant Protein (8xHis-Tag) #88587 (lane 4), using SARS-CoV-2 Spike Protein (RBD) (E7B3E) Rabbit mAb (upper) and His-Tag (D3I1O) XP® Rabbit mAb #12698 (lower). Due to the location of the epitope (surrounding Tyr473 of SARS-CoV-2 spike protein), the antibody detects recombinant proteins corresponding to the full-length ectodomain and the receptor binding domain (RBD) of SARS CoV-2 spike protein, but does not detect recombinant protein corresponding only to the SARS-CoV-2 S1 amino-terminal domain (S1-NTD).
undefined Image 7: SARS-CoV-2 Virus-Host Interaction Antibody Sampler Kit
Confocal immunofluorescent analysis of HCT 116 cells transiently transfected with SARS-CoV-2 spike protein, labeled with SARS-CoV-2 Spike Protein (RBD) (E7B3E) Rabbit mAb (left, green) and co-labeled with DyLight™ 650 Phalloidin #12956 (right, red), and DAPI #4083 (right, blue).
undefined Image 8: SARS-CoV-2 Virus-Host Interaction Antibody Sampler Kit
After the primary antibody is bound to the target protein, a complex with HRP-linked secondary antibody is formed. The LumiGLO® is added and emits light during enzyme catalyzed decomposition.
undefined Image 9: SARS-CoV-2 Virus-Host Interaction Antibody Sampler Kit
Orders: 877-616-CELL (2355) [email protected] Support: 877-678-TECH (8324) [email protected] Web: cellsignal.com
For Research Use Only. Not for Use in Diagnostic Procedures.

Revision 1

Cell Signaling Technology Logo
Western blot analysis of extracts from various cell lines using Cathepsin L Antibody (upper) and GAPDH (D16H11) XP® Rabbit mAb #5174 (lower). Expression levels of cathepsin L among cell lines are consistent with expectations based on publicly available bioinformatic databases, confirming specificity of the antibody for cathepsin L.
undefined Image 10: SARS-CoV-2 Virus-Host Interaction Antibody Sampler Kit
Western blot analysis of extracts from 293T cells, mock transfected (lane 1) or transiently transfected with an expression construct encoding Myc/DDK-tagged SARS-CoV-2 spike (lane 2), using Cleaved SARS-CoV-2 Spike Protein (Ser686) Antibody (upper), SARS-CoV-2 Spike Protein (S1-NTD) (E7M5X) Mouse mAb #42172 (upper, middle), Myc-Tag (71D10) Rabbit mAb #2278 (lower, middle), and β-Actin (D6A8) Rabbit mAb #8457 (lower). As shown, the cleavage-specific antibody only detects the residual S2 fragment of SARS-CoV-2 spike protein after cleavage at the S1/S2 junction by endogenous proteases.
undefined Image 11: SARS-CoV-2 Virus-Host Interaction Antibody Sampler Kit
Western blot analysis of extracts from unmodified A549 cells (lane 1) and transgenic A549 cells stably expressing ACE2 protein (lane 2), using ACE2 (E5O6J) XP® Rabbit mAb (upper) and GAPDH (D16H11) XP® Rabbit mAb #5174 (lower). Transgenic A549 cells were generously provided by Dr. Elena Piskounova, Weill Cornell Medicine.
undefined Image 12: SARS-CoV-2 Virus-Host Interaction Antibody Sampler Kit
Orders: 877-616-CELL (2355) [email protected] Support: 877-678-TECH (8324) [email protected] Web: cellsignal.com
For Research Use Only. Not for Use in Diagnostic Procedures.

Revision 1

Cell Signaling Technology Logo
Western blot analysis of extracts from various cell lines using ACE2 (E5O6J) XP® Rabbit mAb (upper) and GAPDH (D16H11) XP® Rabbit mAb #5174 (lower). The absence of detectable ACE2 protein in Hep G2 and HeLa cells is consistent with data from both proteomic and molecular expression profiling studies, confirming specificity of the antibody for ACE2.
undefined Image 13: SARS-CoV-2 Virus-Host Interaction Antibody Sampler Kit
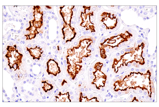
Immunohistochemical analysis of paraffin-embedded human renal cell carcinoma using ACE2 (E5O6J) XP® Rabbit mAb performed on the Leica® BOND™ Rx.
undefined Image 14: SARS-CoV-2 Virus-Host Interaction Antibody Sampler Kit
Western blot analysis of extracts from 293T cells, mock transfected (lane 1) or transiently transfected with plasmid encoding Myc/DDK-tagged SARS-CoV-2 spike protein (lane 2), using SARS-CoV-2 Spike Protein (S1) (E5S3V) Rabbit mAb (upper), Myc-Tag (71D10) Rabbit mAb #2278 (middle), and GAPDH (D16H11) XP® Rabbit mAb #5174 (lower). The antibody detects full-length (uncleaved) SARS-CoV-2 spike protein, and the fragment corresponding to the S1 domain generated by endogenous protease cleavage.
undefined Image 15: SARS-CoV-2 Virus-Host Interaction Antibody Sampler Kit
Orders: 877-616-CELL (2355) [email protected] Support: 877-678-TECH (8324) [email protected] Web: cellsignal.com
For Research Use Only. Not for Use in Diagnostic Procedures.

Revision 1

Cell Signaling Technology Logo
Western blot analysis of SARS-CoV-2 Spike S1-NTD (16-316) Recombinant Protein (8xHis-Tag) #88587 (lane 1), SARS-CoV-2 Spike (trimeric) (16-1208) Recombinant Protein (8xHis-Tag) #65444 (lane 2), SARS-CoV-2 Spike RBD (318-541) Recombinant Protein (8xHis-Tag) #48801 (lane 3), or SARS-CoV-2 Spike RBD (multimeric) (319-591) Recombinant Protein (8xHis-Tag) #17862 (lane 4), using SARS-CoV-2 Spike Protein (S1) (E5S3V) Rabbit mAb (upper) and His-Tag (D3I1O) XP® Rabbit mAb #12698 (lower). Due to the location of the epitope (within the S1 domain of SARS-CoV-2 spike protein), the antibody detects recombinant proteins corresponding to the full-length ectodomain and the S1-NTD of SARS CoV-2 spike protein but does not detect recombinant protein corresponding only to the receptor binding domain (RBD).
undefined Image 16: SARS-CoV-2 Virus-Host Interaction Antibody Sampler Kit
Confocal immunofluorescent analysis of HCT 116 cells transiently transfected with SARS-CoV-2 spike protein, labeled with SARS-CoV-2 Spike Protein (S1) (E5S3V) Rabbit mAb (left, green) and co-labeled with DyLight™ 650 Phalloidin #12956 (right, red) and DAPI #4083 (right, blue).
undefined Image 17: SARS-CoV-2 Virus-Host Interaction Antibody Sampler Kit
Western blot analysis of extracts from mock-infected Vero-E6 cells (lane 1), SARS-CoV-2-infected Vero-E6 cells (lane 2), and isolated SARS-CoV-2 virions (lane 3), using SARS-CoV-2 Spike Protein (S1) (E5S3V) Rabbit mAb (upper) and GAPDH (D16H11) XP® Rabbit mAb #5174 (lower). The antibody detects full-length (uncleaved) SARS-CoV-2 spike protein, and the fragment corresponding to the S1 domain generated by endogenous protease cleavage. SARS-CoV-2 virions and infected Vero-E6 cells courtesy of Dr. Mohsan Saeed, National Emerging Infectious Diseases Laboratories, Boston University.
undefined Image 18: SARS-CoV-2 Virus-Host Interaction Antibody Sampler Kit
Orders: 877-616-CELL (2355) [email protected] Support: 877-678-TECH (8324) [email protected] Web: cellsignal.com
For Research Use Only. Not for Use in Diagnostic Procedures.

Revision 1

Cell Signaling Technology Logo
Immunohistochemical analysis of paraffin-embedded SARS-CoV-2 positive human placenta (left, positive) and normal human placenta (right, negative) using SARS-CoV-2 Spike Protein (S1) (E5S3V) Rabbit mAb. 
undefined Image 19: SARS-CoV-2 Virus-Host Interaction Antibody Sampler Kit
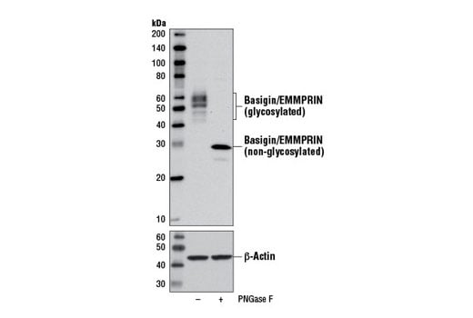
Western blot analysis of extracts from Ramos cells, untreated (-) or PNGase F-treated (+), using Basigin/EMMPRIN (E1S1V) Rabbit mAb (upper) and β-Actin (D6A8) Rabbit mAb #8457 (lower).
undefined Image 20: SARS-CoV-2 Virus-Host Interaction Antibody Sampler Kit
Western blot analysis of extracts from 293T cells, mock transfected (lane 1) or transiently transfected with plasmid encoding Myc/DDK-tagged cathepsin L protein (lane 2), using cathepsin L Antibody (upper), Myc-Tag (71D10) Rabbit mAb #2278 (middle) and GAPDH (D16H11) XP® Rabbit mAb #5174 (lower).
undefined Image 21: SARS-CoV-2 Virus-Host Interaction Antibody Sampler Kit
Orders: 877-616-CELL (2355) [email protected] Support: 877-678-TECH (8324) [email protected] Web: cellsignal.com
For Research Use Only. Not for Use in Diagnostic Procedures.

Revision 1

Cell Signaling Technology Logo
Western blot analysis of extracts from 293T cells, mock transfected (lane 1) or transiently transfected with an expression construct encoding Myc/DDK-tagged SARS-CoV-2 spike (lane 2), mock-infected Vero-E6 cells (lane 3), SARS-CoV-2-infected Vero-E6 cells (lane 4), and SARS-CoV-2 virions (lane 5), using Cleaved SARS-CoV-2 Spike Protein (Ser686) Antibody (upper), DYKDDDDK Tag (D6W5B) Rabbit mAb  #14793 (middle), and β-Actin (D6A8) Rabbit mAb #8457 (lower). As shown, the cleavage-specific antibody only detects the residual S2 fragment of SARS-CoV-2 spike protein after cleavage at the S1/S2 junction by endogenous proteases.
undefined Image 22: SARS-CoV-2 Virus-Host Interaction Antibody Sampler Kit
Immunohistochemical analysis of paraffin-embedded normal human testis using ACE2 (E5O6J) XP® Rabbit mAb performed on the Leica® BOND™ Rx.
undefined Image 23: SARS-CoV-2 Virus-Host Interaction Antibody Sampler Kit
Immunohistochemical analysis of paraffin-embedded SARS-CoV-2-infected hACE2 K18 mouse lung using SARS-CoV-2 Spike Protein (S1) (E5S3V) Rabbit mAb (left) compared to concentration-matched Rabbit (DA1E) mAb IgG XP® Isotype Control #3900 (right). Human ACE2 transgenic mouse lung tissue was generously provided by Dr. Nicholas Crossland and Dr. Florian Douam, National Emerging Infectious Diseases Laboratories, Boston University.
undefined Image 24: SARS-CoV-2 Virus-Host Interaction Antibody Sampler Kit
Orders: 877-616-CELL (2355) [email protected] Support: 877-678-TECH (8324) [email protected] Web: cellsignal.com
For Research Use Only. Not for Use in Diagnostic Procedures.

Revision 1

Cell Signaling Technology Logo
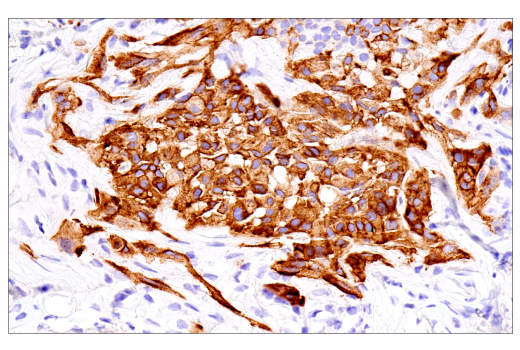
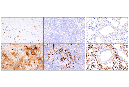
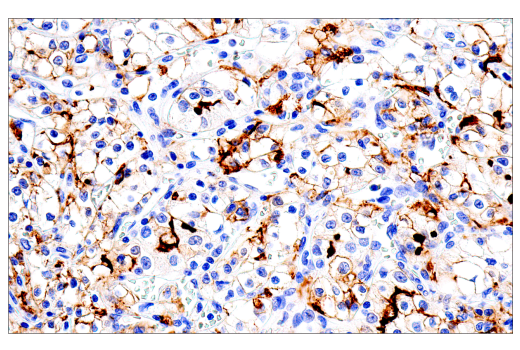
Immunohistochemical analysis of paraffin-embedded human lung carcinoma using Basigin/EMMPRIN (E1S1V) Rabbit mAb.
undefined Image 25: SARS-CoV-2 Virus-Host Interaction Antibody Sampler Kit
Immunoprecipitation of cleaved SARS-CoV-2 spike protein (corresponding to the S2 domain) from extracts of 293T cells transiently transfected with full-length SARS-CoV-2 spike protein. Lane 1 is 10% input, lane 2 is Normal Rabbit IgG #2729, and lane 3 is Cleaved SARS-CoV-2 Spike Protein (Ser686) Antibody. Western blot analysis was performed using Cleaved SARS-CoV-2 Spike Protein (Ser686) Antibody. Anti-rabbit IgG, HRP-linked Antibody #7074 was used as the secondary antibody. The SARS-CoV-2 spike protein is cleaved by endogenous proteases at the S1/S2 junction (Ser686) during processing of the mature protein.
undefined Image 26: SARS-CoV-2 Virus-Host Interaction Antibody Sampler Kit
Immunohistochemical analysis of paraffin-embedded human renal cell carcinoma using ACE2 (E5O6J) XP® Rabbit mAb performed on the Leica® BOND™ Rx.
undefined Image 27: SARS-CoV-2 Virus-Host Interaction Antibody Sampler Kit
Orders: 877-616-CELL (2355) [email protected] Support: 877-678-TECH (8324) [email protected] Web: cellsignal.com
For Research Use Only. Not for Use in Diagnostic Procedures.

Revision 1

Cell Signaling Technology Logo
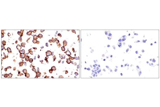
Immunohistochemical analysis of paraffin-embedded 293T cell pellet transfected with SARS-CoV-2 spike protein (left-top) and various paraffin-embedded human tissues: colon adenocarcinoma (right-top), prostate adenocarcinoma (right-bottom), and salivary gland small cell carcinoma (left-bottom) using SARS-CoV-2 Spike Protein (S1) (E5S3V) Rabbit mAb. Note the lack of staining in the tissues, all of which were procured prior to 2019, and therefore serve as reliable negative controls.
undefined Image 28: SARS-CoV-2 Virus-Host Interaction Antibody Sampler Kit
Immunohistochemical analysis of paraffin-embedded human ovarian carcinoma using Basigin/EMMPRIN (E1S1V) Rabbit mAb in the presence of control peptide (left) or antigen-specific peptide (right).
undefined Image 29: SARS-CoV-2 Virus-Host Interaction Antibody Sampler Kit
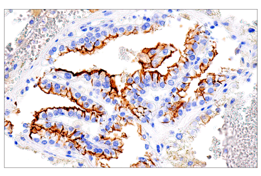
Immunohistochemical analysis of paraffin-embedded human esophageal carcinoma using ACE2 (E5O6J) XP® Rabbit mAb performed on the Leica® BOND™ Rx.
undefined Image 30: SARS-CoV-2 Virus-Host Interaction Antibody Sampler Kit
Orders: 877-616-CELL (2355) [email protected] Support: 877-678-TECH (8324) [email protected] Web: cellsignal.com
For Research Use Only. Not for Use in Diagnostic Procedures.

Revision 1

Cell Signaling Technology Logo
Immunohistochemical analysis of paraffin-embedded 293T cell pellet, untransfected (left) or SARS-CoV-2 spike protein transfected (right), using SARS-CoV-2 Spike Protein (S1) (E5S3V) Rabbit mAb.
undefined Image 31: SARS-CoV-2 Virus-Host Interaction Antibody Sampler Kit
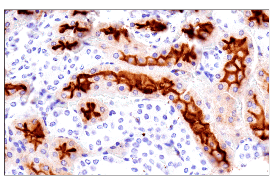
Immunohistochemical analysis of paraffin-embedded normal human kidney using ACE2 (E5O6J) XP® Rabbit mAb.
undefined Image 32: SARS-CoV-2 Virus-Host Interaction Antibody Sampler Kit
Immunohistochemical analysis of paraffin-embedded A549-hACE2-hTMPRSS2 cell pellet, mock infected or infected with SARS-CoV-2 2019-nCoV/USA-WA1/2020 variant, SARS-CoV-2 Alpha (B.1.1.7) variant, SARS-CoV-2 Beta (B.1.351) variant (from top left to right as indicated), SARS-CoV-2 Gamma (P.1) variant, SARS-CoV-2 Delta (B.1.617.2) variant, or SARS-CoV-2 Omicron (B.1.1.529) variant (from bottom left to right as indicated), using SARS-CoV-2 Spike Protein (S1) (E5S3V) Rabbit mAb. A549-hACE2-hTMPRSS2 cell pellets were generously provided by Dr. Nicholas Crossland and Dr. Florian Douam, National Emerging Infectious Diseases Laboratories, Boston University.
undefined Image 33: SARS-CoV-2 Virus-Host Interaction Antibody Sampler Kit
Orders: 877-616-CELL (2355) [email protected] Support: 877-678-TECH (8324) [email protected] Web: cellsignal.com
For Research Use Only. Not for Use in Diagnostic Procedures.

Revision 1

Cell Signaling Technology Logo
Immunohistochemical analysis of paraffin-embedded human renal cell carcinoma using ACE2 (E5O6J) XP® Rabbit mAb (left) compared to concentration-matched Rabbit (DA1E) mAb IgG XP® Isotype Control #3900 (right).
undefined Image 34: SARS-CoV-2 Virus-Host Interaction Antibody Sampler Kit
Immunohistochemical analysis of a xenograft derived from transgenic A549 cells stably expressing human ACE2 using ACE2 (E5O6J) XP® Rabbit mAb. Transgenic A549 cells were generously provided by Dr. Elena Piskounova, Weill Cornell Medicine.
undefined Image 35: SARS-CoV-2 Virus-Host Interaction Antibody Sampler Kit
Immunohistochemical analysis of paraffin-embedded brain (left), spleen (middle), and lung (right) from wild type (wt/wt, top) and hACE2 AC70 (tg/wt, bottom) mice (Taconic Biosciences, Inc. model #18222) using ACE2 (E5O6J) XP® Rabbit mAb.
undefined Image 36: SARS-CoV-2 Virus-Host Interaction Antibody Sampler Kit
Orders: 877-616-CELL (2355) [email protected] Support: 877-678-TECH (8324) [email protected] Web: cellsignal.com
For Research Use Only. Not for Use in Diagnostic Procedures.

Revision 1

Cell Signaling Technology Logo
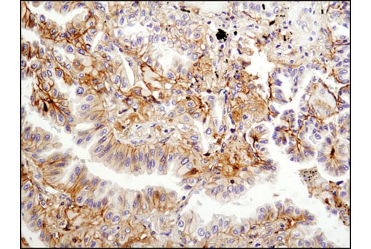
Immunohistochemical analysis of paraffin-embedded human colon carcinoma using ACE2 (E5O6J) XP® Rabbit mAb.
undefined Image 37: SARS-CoV-2 Virus-Host Interaction Antibody Sampler Kit
Immunohistochemical analysis of paraffin-embedded mouse kidney using ACE2 (E5O6J) XP® Rabbit mAb.
undefined Image 38: SARS-CoV-2 Virus-Host Interaction Antibody Sampler Kit
Immunohistochemical analysis of paraffin-embedded mouse forestomach using ACE2 (E5O6J) XP® Rabbit mAb.
undefined Image 39: SARS-CoV-2 Virus-Host Interaction Antibody Sampler Kit
Orders: 877-616-CELL (2355) [email protected] Support: 877-678-TECH (8324) [email protected] Web: cellsignal.com
For Research Use Only. Not for Use in Diagnostic Procedures.

Revision 1

Cell Signaling Technology Logo
Immunohistochemical analysis of paraffin-embedded Syrian hamster kidney using ACE2 (E5O6J) XP® Rabbit mAb.
undefined Image 40: SARS-CoV-2 Virus-Host Interaction Antibody Sampler Kit
Immunohistochemical analysis of paraffin-embedded Syrian hamster colon using ACE2 (E5O6J) XP® Rabbit mAb.

undefined Image 41: SARS-CoV-2 Virus-Host Interaction Antibody Sampler Kit
Immunohistochemical analysis of paraffin-embedded IGROV-1 cell pellet (left, positive) or Hep G2 cell pellet (right, negative) using ACE2 (E5O6J) XP® Rabbit mAb.
undefined Image 42: SARS-CoV-2 Virus-Host Interaction Antibody Sampler Kit
Orders: 877-616-CELL (2355) [email protected] Support: 877-678-TECH (8324) [email protected] Web: cellsignal.com
For Research Use Only. Not for Use in Diagnostic Procedures.

Revision 1

Cell Signaling Technology Logo
Simple WesternTM analysis of lysates (1 mg/mL) from IGROV-1 cell extracts using ACE2 (E5O6J) XP® Rabbit mAb #92485. The virtual lane view (left) shows a single target band (as indicated) at 1:10 and 1:50 dilutions of primary antibody. The corresponding electropherogram view (right) plots chemiluminescence by molecular weight along the capillary at 1:10 (blue line) and 1:50 (green line) dilutions of primary antibody. This experiment was performed under reducing conditions on the JessTM Simple Western instrument from ProteinSimple, a BioTechne brand, using the 12-230 kDa separation module.
undefined Image 43: SARS-CoV-2 Virus-Host Interaction Antibody Sampler Kit
Orders: 877-616-CELL (2355) [email protected] Support: 877-678-TECH (8324) [email protected] Web: cellsignal.com
For Research Use Only. Not for Use in Diagnostic Procedures.