Revision 1

#20166

Store at -20C

CST Logo
Orders:

877-616-CELL (2355)

[email protected]

Support:

877-678-TECH (8324)

3 Trask Lane | Danvers | Massachusetts | 01923 | USA

For Research Use Only. Not for Use in Diagnostic Procedures.

Applications:
W, IHC-P, IF-IC, FC-FP

Reactivity:
H

Sensitivity:
Endogenous

MW (kDa):
100

Source/Isotype:
Rabbit IgG

UniProt ID:
#Q01826

Entrez-Gene Id:
6304

Product Usage Information

Application Dilution
Western Blotting 1:1000
Immunohistochemistry (Paraffin) 1:300 - 1:1200
Immunofluorescence (Immunocytochemistry) 1:500 - 1:2000
Flow Cytometry (Fixed/Permeabilized) 1:200 - 1:800

Storage

Supplied in 10 mM sodium HEPES (pH 7.5), 150 mM NaCl, 100 µg/ml BSA, 50% glycerol and less than 0.02% sodium azide. Store at –20°C. Do not aliquot the antibody.

Specificity/Sensitivity

SATB1 (E5Z3U) Rabbit Monoclonal Antibody recognizes endogenous levels of total SATB1 protein.

Source / Purification

Monoclonal antibody is produced by immunizing animals with a synthetic peptide corresponding to residues near the carboxy terminus of human SATB1 protein.

Background

Special AT-rich binding protein 1 (SATB1) functions as both a global chromatin organizer and a gene-specific transcription factor (1). SATB1 cooperates with promyelocytic leukemia protein (PML) to regulate global chromatin architecture by organizing chromatin into distinct loops via periodic anchoring of matrix attachment regions (MARs) in DNA to the nuclear matrix (1-3). In addition, SATB1 recruits multiple chromatin-remodeling proteins that contribute to specific gene activation and repression, including the chromatin remodeling enzymes ACF and ISWI, the histone deacetylase HDAC1, and the histone acetyltransferases PCAF and p300/CBP (4-6). Phosphorylation of SATB1 on Ser185 by protein kinase C regulates its interaction with HDAC1 and PCAF. While unphosphorylated SATB1 binds to PCAF, phosphorylated SATB1 preferentially binds to HDAC1 (6). Acetylation of SATB1 on Lys136 by PCAF impairs its DNA binding activity, thereby removing SATB1 from gene promoters (6). SATB1 is expressed predominantly in thymocytes and is involved in gene regulation during T cell activation (1). SATB1 is also expressed in metastatic breast cancer cells and is a potential prognostic marker and therapeutic target for metastatic breast cancer (7). In a mouse model system, RNAi-mediated knockdown of SATB1 reversed tumorigenesis by inhibiting tumor growth and metastasis, while ectopic expression of SATB1 in non-metastatic breast cancer cells produced invasive tumors.

Species Reactivity

Species reactivity is determined by testing in at least one approved application (e.g., western blot).

Western Blot Buffer

IMPORTANT: For western blots, incubate membrane with diluted primary antibody in 5% w/v nonfat dry milk, 1X TBS, 0.1% Tween® 20 at 4°C with gentle shaking, overnight.

Applications Key

W: Western Blotting IHC-P: Immunohistochemistry (Paraffin) IF-IC: Immunofluorescence (Immunocytochemistry) FC-FP: Flow Cytometry (Fixed/Permeabilized)

Cross-Reactivity Key

H: Human

Trademarks and Patents

Cell Signaling Technology is a trademark of Cell Signaling Technology, Inc.

Alexa Fluor is a registered trademark of Life Technologies Corporation.

All other trademarks are the property of their respective owners. Visit cellsignal.com/trademarks for more information.

Limited Uses

Except as otherwise expressly agreed in a writing signed by a legally authorized representative of CST, the following terms apply to Products provided by CST, its affiliates or its distributors. Any Customer's terms and conditions that are in addition to, or different from, those contained herein, unless separately accepted in writing by a legally authorized representative of CST, are rejected and are of no force or effect.

Products are labeled with For Research Use Only or a similar labeling statement and have not been approved, cleared, or licensed by the FDA or other regulatory foreign or domestic entity, for any purpose. Customer shall not use any Product for any diagnostic or therapeutic purpose, or otherwise in any manner that conflicts with its labeling statement. Products sold or licensed by CST are provided for Customer as the end-user and solely for research and development uses. Any use of Product for diagnostic, prophylactic or therapeutic purposes, or any purchase of Product for resale (alone or as a component) or other commercial purpose, requires a separate license from CST. Customer shall (a) not sell, license, loan, donate or otherwise transfer or make available any Product to any third party, whether alone or in combination with other materials, or use the Products to manufacture any commercial products, (b) not copy, modify, reverse engineer, decompile, disassemble or otherwise attempt to discover the underlying structure or technology of the Products, or use the Products for the purpose of developing any products or services that would compete with CST products or services, (c) not alter or remove from the Products any trademarks, trade names, logos, patent or copyright notices or markings, (d) use the Products solely in accordance with CST Product Terms of Sale and any applicable documentation, and (e) comply with any license, terms of service or similar agreement with respect to any third party products or services used by Customer in connection with the Products.

Orders: 877-616-CELL (2355) [email protected] Support: 877-678-TECH (8324) [email protected] Web: cellsignal.com
For Research Use Only. Not for Use in Diagnostic Procedures.

Revision 1

Cell Signaling Technology Logo
Western blot analysis of extracts from various cell lines using SATB1 (E5Z3U) Rabbit mAb (upper) and β-Actin (D6A8) Rabbit mAb #8457 (lower). As expected, MCF7, K-562, and DU 145 cells are negative for SATB1 expression.
Western Blotting Image 1: SATB1 (E5Z3U) Rabbit Monoclonal Antibody
Immunohistochemical analysis of paraffin-embedded human urothelial carcinoma using SATB1 (E5Z3U) Rabbit mAb (left) compared to concentration-matched Rabbit (DA1E) mAb IgG XP® Isotype Control #3900 (right).
Immunohistochemistry Image 1: SATB1 (E5Z3U) Rabbit Monoclonal Antibody
Immunohistochemical analysis of paraffin-embedded T-47D cell pellet (left, positive) or MCF7 cell pellet (right, negative) using SATB1 (E5Z3U) Rabbit mAb.
Immunohistochemistry Image 2: SATB1 (E5Z3U) Rabbit Monoclonal Antibody
Orders: 877-616-CELL (2355) [email protected] Support: 877-678-TECH (8324) [email protected] Web: cellsignal.com
For Research Use Only. Not for Use in Diagnostic Procedures.

Revision 1

Cell Signaling Technology Logo
Immunohistochemical analysis of paraffin-embedded human colon carcinoma using SATB1 (E5Z3U) Rabbit mAb.
Immunohistochemistry Image 3: SATB1 (E5Z3U) Rabbit Monoclonal Antibody
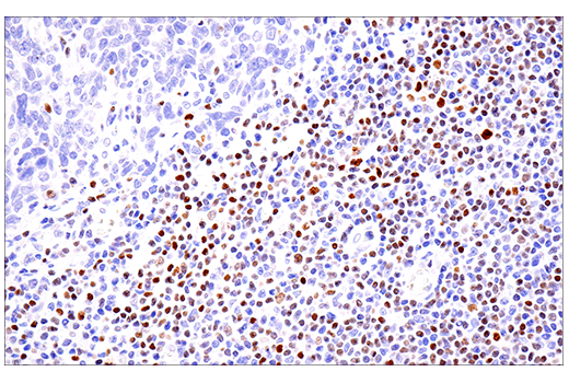
Immunohistochemical analysis of paraffin-embedded human squamous cell carcinoma of the tonsil using SATB1 (E5Z3U) Rabbit mAb.
Immunohistochemistry Image 4: SATB1 (E5Z3U) Rabbit Monoclonal Antibody
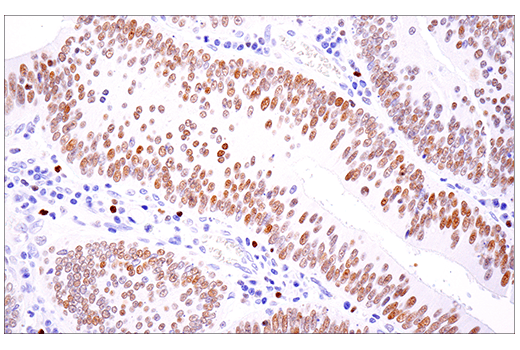
Immunohistochemical analysis of paraffin-embedded human non-small cell lung carcinoma using SATB1 (E5Z3U) Rabbit mAb.
Immunohistochemistry Image 5: SATB1 (E5Z3U) Rabbit Monoclonal Antibody
Orders: 877-616-CELL (2355) [email protected] Support: 877-678-TECH (8324) [email protected] Web: cellsignal.com
For Research Use Only. Not for Use in Diagnostic Procedures.

Revision 1

Cell Signaling Technology Logo
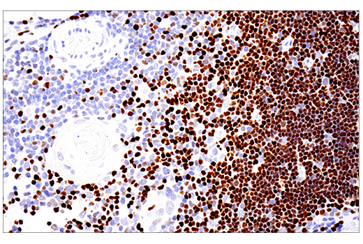
Immunohistochemical analysis of paraffin-embedded human B-cell non-Hodgkin's lymphoma using SATB1 (E5Z3U) Rabbit mAb.
Immunohistochemistry Image 6: SATB1 (E5Z3U) Rabbit Monoclonal Antibody
Immunohistochemical analysis of paraffin-embedded human thymus using SATB1 (E5Z3U) Rabbit mAb.
Immunohistochemistry Image 7: SATB1 (E5Z3U) Rabbit Monoclonal Antibody
Confocal immunofluorescent analysis of T-47D cells (left, positive) and MCF7 cells (right, negative) using SATB1 (E5Z3U) Rabbit mAb (green). Actin filaments were labeled with DyLight™ 554 Phalloidin #13054 (red). Samples were mounted in ProLong® Gold Antifade Reagent with DAPI #8961 (blue).
Immunofluorescence Image 1: SATB1 (E5Z3U) Rabbit Monoclonal Antibody
Orders: 877-616-CELL (2355) [email protected] Support: 877-678-TECH (8324) [email protected] Web: cellsignal.com
For Research Use Only. Not for Use in Diagnostic Procedures.

Revision 1

Cell Signaling Technology Logo
Flow cytometric analysis of K-562 cells (blue, negative) and Jurkat cells (green, positive) using SATB1 (E5Z3U) Rabbit mAb (solid lines) or a concentration-matched Rabbit (DA1E) mAb IgG XP® Isotype Control #3900 (dashed lines). Anti-rabbit IgG (H+L), F(ab')2 Fragment (Alexa Fluor® 488 Conjugate) #4412 was used as a secondary antibody.
Flow Cytometry Image 1: SATB1 (E5Z3U) Rabbit Monoclonal Antibody
Orders: 877-616-CELL (2355) [email protected] Support: 877-678-TECH (8324) [email protected] Web: cellsignal.com
For Research Use Only. Not for Use in Diagnostic Procedures.