Revision 1

#90332

Store at -20C

CST Logo
Orders:

877-616-CELL (2355)

[email protected]

Support:

877-678-TECH (8324)

3 Trask Lane | Danvers | Massachusetts | 01923 | USA

For Research Use Only. Not for Use in Diagnostic Procedures.

Applications:
W, IP, IHC-P, IF-F

Reactivity:
H M

Sensitivity:
Endogenous

MW (kDa):
80

Source/Isotype:
Rabbit IgG

UniProt ID:
#Q61009

Entrez-Gene Id:
20778

Product Usage Information

Application Dilution
Western Blotting 1:1000
Immunoprecipitation 1:50
Immunohistochemistry (Paraffin) 1:150 - 1:600
Immunofluorescence (Frozen) 1:1000

Storage

Supplied in 10 mM sodium HEPES (pH 7.5), 150 mM NaCl, 100 µg/mL BSA, 50% glycerol, and less than 0.02% sodium azide. Store at –20°C. Do not aliquot the antibody.

Specificity/Sensitivity

SCARB1 (E9H4F) Rabbit Monoclonal Antibody recognizes endogenous levels of total SCARB1 protein. Non-specific staining was observed in normal human small intestine by immunohistochemistry.

Source / Purification

Monoclonal antibody is produced by immunizing animals with a synthetic peptide corresponding to residues surrounding Ile487 of mouse SCARB1 protein.

Background

Scavenger receptor class B member 1 (SCARB1, SR-B1) is a multi-ligand cell-surface receptor that facilitates uptake of lipids from cholesterol into cells (1,2). SCARB1 is part of the CD36 scavenger receptor superfamily, which is composed of many proteins with varied structures, expressions, and functions across tissue and cell types (1-3). SCARB1 recognizes a variety of ligands: high density lipoprotein (HDL), phospholipids, phosphatidylserine, and lipoproteins such as lipopolysaccharide (LPS) (2,4,5). SCARB1 knockout mice have elevated HDL levels and increased susceptibility to atherosclerosis when given a high-fat diet, indicating its importance in the regulation of cholesterol homeostasis (6). Additionally, SCARB1 has a role in antigen cross-presentation from bacteria and viruses (1-3). SCARB1 has been reported to be an entry factor for the Hepatitis C virus (7). In endothelial cells and macrophages, SCARB1 has an anti-inflammatory and pro-survival role, which provides protection against atherosclerosis and helps to clear apoptotic cells (8).

Species Reactivity

Species reactivity is determined by testing in at least one approved application (e.g., western blot).

Western Blot Buffer

IMPORTANT: For western blots, incubate membrane with diluted primary antibody in 5% w/v BSA, 1X TBS, 0.1% Tween® 20 at 4°C with gentle shaking, overnight.

Applications Key

W: Western Blotting IP: Immunoprecipitation IHC-P: Immunohistochemistry (Paraffin) IF-F: Immunofluorescence (Frozen)

Cross-Reactivity Key

H: Human M: Mouse

Trademarks and Patents

Cell Signaling Technology is a trademark of Cell Signaling Technology, Inc.

All other trademarks are the property of their respective owners. Visit cellsignal.com/trademarks for more information.

Limited Uses

Except as otherwise expressly agreed in a writing signed by a legally authorized representative of CST, the following terms apply to Products provided by CST, its affiliates or its distributors. Any Customer's terms and conditions that are in addition to, or different from, those contained herein, unless separately accepted in writing by a legally authorized representative of CST, are rejected and are of no force or effect.

Products are labeled with For Research Use Only or a similar labeling statement and have not been approved, cleared, or licensed by the FDA or other regulatory foreign or domestic entity, for any purpose. Customer shall not use any Product for any diagnostic or therapeutic purpose, or otherwise in any manner that conflicts with its labeling statement. Products sold or licensed by CST are provided for Customer as the end-user and solely for research and development uses. Any use of Product for diagnostic, prophylactic or therapeutic purposes, or any purchase of Product for resale (alone or as a component) or other commercial purpose, requires a separate license from CST. Customer shall (a) not sell, license, loan, donate or otherwise transfer or make available any Product to any third party, whether alone or in combination with other materials, or use the Products to manufacture any commercial products, (b) not copy, modify, reverse engineer, decompile, disassemble or otherwise attempt to discover the underlying structure or technology of the Products, or use the Products for the purpose of developing any products or services that would compete with CST products or services, (c) not alter or remove from the Products any trademarks, trade names, logos, patent or copyright notices or markings, (d) use the Products solely in accordance with CST Product Terms of Sale and any applicable documentation, and (e) comply with any license, terms of service or similar agreement with respect to any third party products or services used by Customer in connection with the Products.

Orders: 877-616-CELL (2355) [email protected] Support: 877-678-TECH (8324) [email protected] Web: cellsignal.com
For Research Use Only. Not for Use in Diagnostic Procedures.

Revision 1

Cell Signaling Technology Logo
Western blot analysis of extracts from various mouse tissues using SCARB1 (E9H4F) Rabbit mAb (upper) or GAPDH (D16H11) XP® Rabbit mAb #5174 (lower).
Western Blotting Image 1: SCARB1 (E9H4F) Rabbit Monoclonal Antibody
Western blot analysis of extracts from various mouse cell lines using SCARB1 (E9H4F) Rabbit mAb (upper) or β-Actin (D6A8) Rabbit mAb #8457 (lower).
Western Blotting Image 2: SCARB1 (E9H4F) Rabbit Monoclonal Antibody
Western blot analysis of extracts from various human cell lines using SCARB1 (E9H4F) Rabbit mAb (upper) or β-Actin (D6A8) Rabbit mAb #8457 (lower).
Western Blotting Image 3: SCARB1 (E9H4F) Rabbit Monoclonal Antibody
Orders: 877-616-CELL (2355) [email protected] Support: 877-678-TECH (8324) [email protected] Web: cellsignal.com
For Research Use Only. Not for Use in Diagnostic Procedures.

Revision 1

Cell Signaling Technology Logo
Immunoprecipitation of SCARB1 protein from RAW 264.7 cell extracts. Lane 1 is 10% input, lane 2 is Rabbit (DA1E) mAb IgG XP® Isotype Control #3900, and lane 3 is SCARB1 (E9H4F) Rabbit mAb. Western blot analysis was performed using SCARB1 (E9H4F) Rabbit mAb. Anti-rabbit IgG, HRP-linked Antibody #7074 was used as a secondary antibody.
Immunoprecipitation Image 1: SCARB1 (E9H4F) Rabbit Monoclonal Antibody
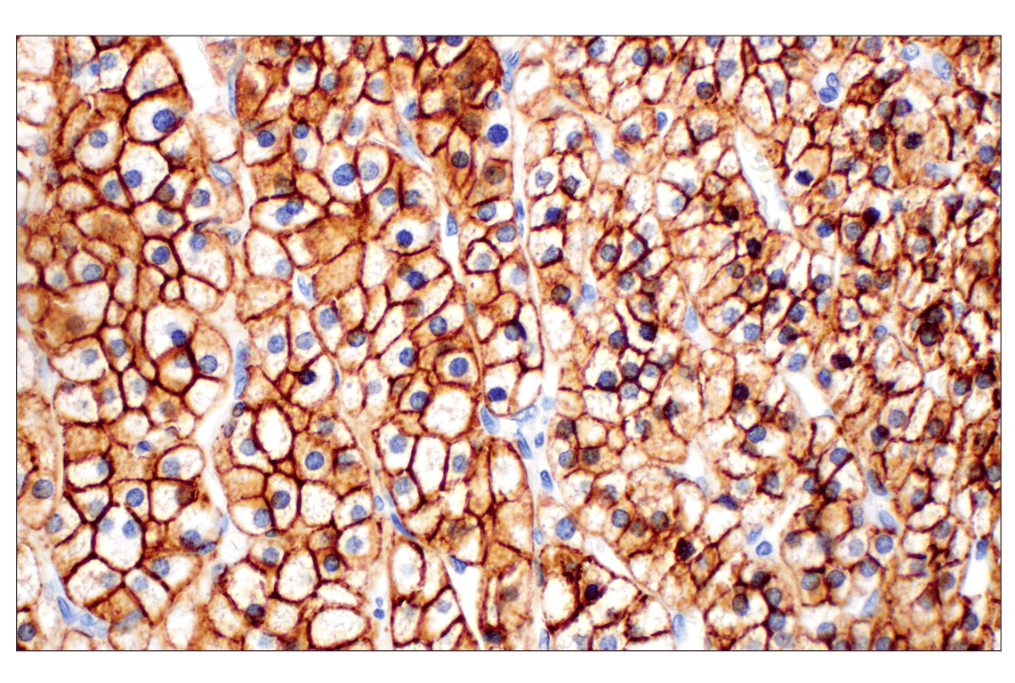
Immunohistochemical analysis of paraffin-embedded human hepatocellular carcinoma using SCARB1 (E9H4F) Rabbit mAb.
Immunohistochemistry Image 1: SCARB1 (E9H4F) Rabbit Monoclonal Antibody
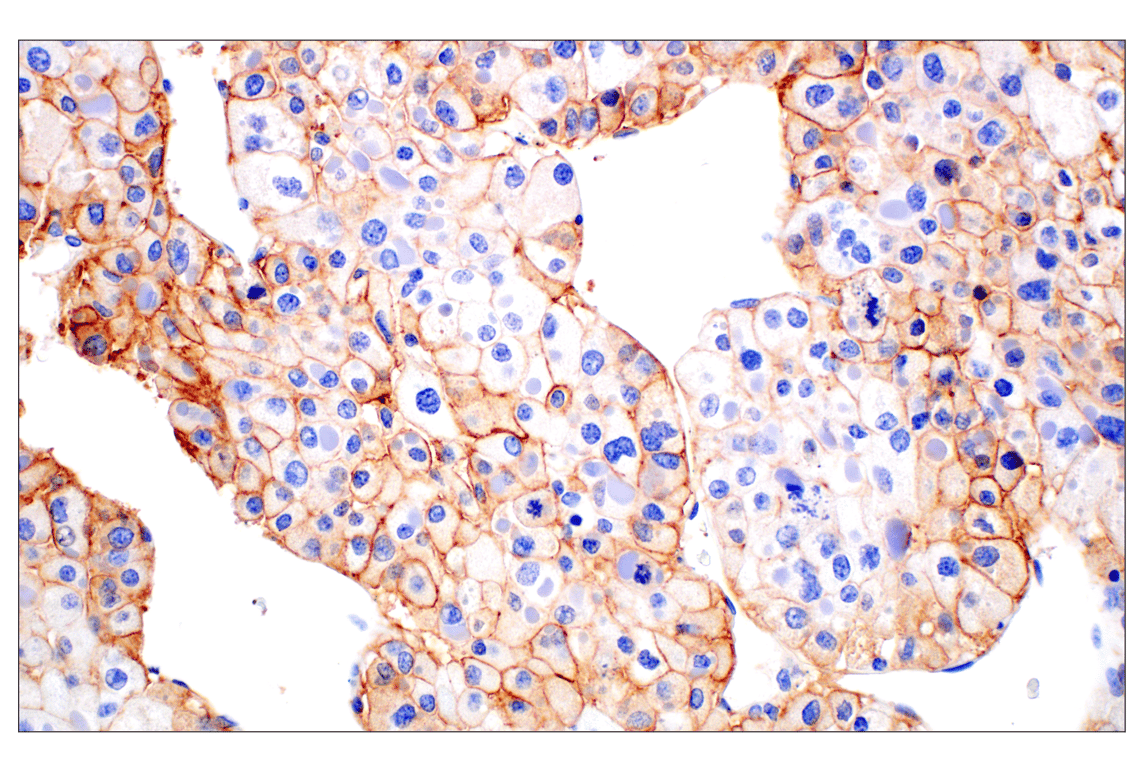
Immunohistochemical analysis of paraffin-embedded human hepatocellular carcinoma using SCARB1 (E9H4F) Rabbit mAb.
Immunohistochemistry Image 2: SCARB1 (E9H4F) Rabbit Monoclonal Antibody
Orders: 877-616-CELL (2355) [email protected] Support: 877-678-TECH (8324) [email protected] Web: cellsignal.com
For Research Use Only. Not for Use in Diagnostic Procedures.

Revision 1

Cell Signaling Technology Logo
Immunohistochemical analysis of paraffin-embedded normal human adrenal gland using SCARB1 (E9H4F) Rabbit mAb.
Immunohistochemistry Image 3: SCARB1 (E9H4F) Rabbit Monoclonal Antibody
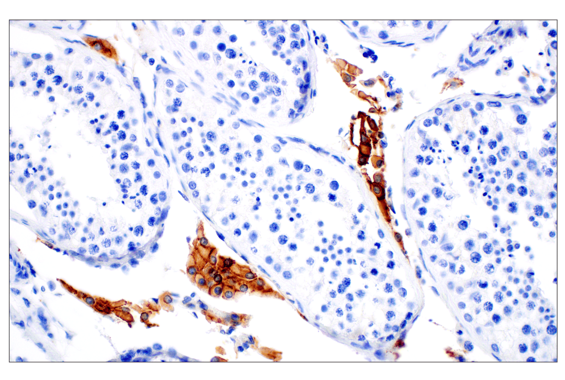
Immunohistochemical analysis of paraffin-embedded normal human testes using SCARB1 (E9H4F) Rabbit mAb.
Immunohistochemistry Image 4: SCARB1 (E9H4F) Rabbit Monoclonal Antibody
Immunohistochemical analysis of paraffin-embedded GL261 syngeneic tumor using SCARB1 (E9H4F) Rabbit mAb.
Immunohistochemistry Image 5: SCARB1 (E9H4F) Rabbit Monoclonal Antibody
Orders: 877-616-CELL (2355) [email protected] Support: 877-678-TECH (8324) [email protected] Web: cellsignal.com
For Research Use Only. Not for Use in Diagnostic Procedures.

Revision 1

Cell Signaling Technology Logo

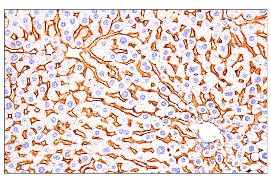
Immunohistochemical analysis of paraffin-embedded mouse liver using SCARB1 (E9H4F) Rabbit mAb.

Immunohistochemistry Image 6: SCARB1 (E9H4F) Rabbit Monoclonal Antibody
Immunohistochemical analysis of paraffin-embedded mouse adrenal gland using SCARB1 (E9H4F) Rabbit mAb.
Immunohistochemistry Image 7: SCARB1 (E9H4F) Rabbit Monoclonal Antibody

Immunohistochemical analysis of paraffin-embedded mouse testis using SCARB1 (E9H4F) Rabbit mAb.

Immunohistochemistry Image 8: SCARB1 (E9H4F) Rabbit Monoclonal Antibody
Orders: 877-616-CELL (2355) [email protected] Support: 877-678-TECH (8324) [email protected] Web: cellsignal.com
For Research Use Only. Not for Use in Diagnostic Procedures.

Revision 1

Cell Signaling Technology Logo
Immunohistochemical analysis of paraffin-embedded human liver using SCARB1 (E9H4F) Rabbit mAb (left) compared to concentration-matched Rabbit (DA1E) mAb IgG XP® Isotype Control #3900 (right).
Immunohistochemistry Image 9: SCARB1 (E9H4F) Rabbit Monoclonal Antibody
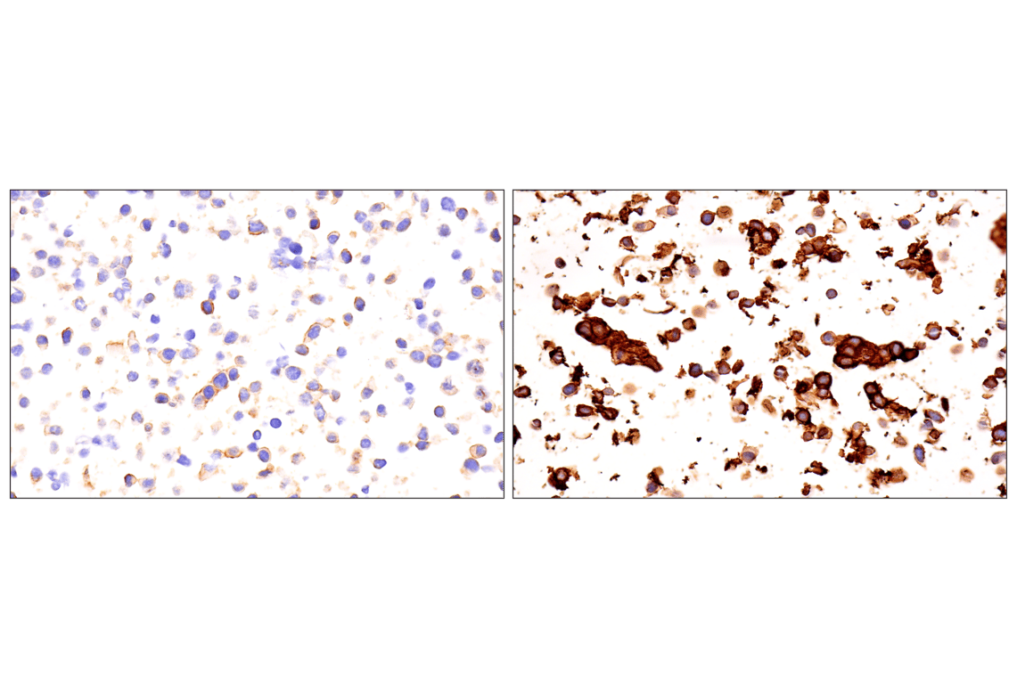
Immunohistochemical analysis of paraffin-embedded 293T cell pellet, untransfected (left) or mouse scarb1-transfected (right), using SCARB1 (E9H4F) Rabbit mAb.
Immunohistochemistry Image 10: SCARB1 (E9H4F) Rabbit Monoclonal Antibody
Immunohistochemical analysis of paraffin-embedded SK-MEL-5 cell pellet (left, positive) or U266B1 cell pellet (right, negative) using SCARB1 (E9H4F) Rabbit mAb.
Immunohistochemistry Image 11: SCARB1 (E9H4F) Rabbit Monoclonal Antibody
Orders: 877-616-CELL (2355) [email protected] Support: 877-678-TECH (8324) [email protected] Web: cellsignal.com
For Research Use Only. Not for Use in Diagnostic Procedures.

Revision 1

Cell Signaling Technology Logo
Confocal immunofluorescent analysis of fixed frozen mouse adrenal gland, labeled with SCARB1 (E9H4F) Rabbit mAb (left, green) and DyLight 554 Phalloidin #13054 (right, red). Sections were mounted in ProLong Gold Antifade Reagent with DAPI #8961 (right, blue).
Immunofluorescence Image 1: SCARB1 (E9H4F) Rabbit Monoclonal Antibody
Orders: 877-616-CELL (2355) [email protected] Support: 877-678-TECH (8324) [email protected] Web: cellsignal.com
For Research Use Only. Not for Use in Diagnostic Procedures.