Revision 7

#97958

Store at -20C

CST Logo
Orders:

877-616-CELL (2355)

[email protected]

Support:

877-678-TECH (8324)

3 Trask Lane | Danvers | Massachusetts | 01923 | USA

For Research Use Only. Not for Use in Diagnostic Procedures.

Applications:
IHC-P

Reactivity:
H

Sensitivity:
Endogenous

MW (kDa):
10

Source/Isotype:
Rabbit IgG

UniProt ID:
#P48061

Entrez-Gene Id:
6387

Product Usage Information

Application Dilution
Immunohistochemistry (Paraffin) 1:200

Storage

Supplied in 10 mM sodium HEPES (pH 7.5), 150 mM NaCl, 100 µg/ml BSA, 50% glycerol and less than 0.02% sodium azide. Store at –20°C. Do not aliquot the antibody.

For a carrier free (BSA and azide free) version of this product see product #89194.

Specificity/Sensitivity

SDF1/CXCL12 (D8G6H) Rabbit Monoclonal Antibody recognizes endogenous levels of total SDF1/CXCL12 protein by immunohistochemistry on paraffin-embedded tissue sections. This antibody recognizes both SDF1/CXCL12α and SDF1/CXCL12β.

Source / Purification

Monoclonal antibody is produced by immunizing animals with recombinant protein specific to human SDF1/CXCL12 protein.

Background

The stromal cell derived factor 1 (SDF1/CXCL12) is a small, pro-inflammatory chemoattractant cytokine that regulates leukocyte trafficking through interactions with its cognate 7-transmembrane G protein-coupled receptors (1). The SDF1/CXCL12 receptor, CXCR4, also serves as a coreceptor for the entry of human immunodeficiency virus into target cells (2). SDF1/CXCL12 may regulate homing and maintenance of CXCR4-expressing stem or progenitor cells, including embryonic and many somatic stem cells (3,4). Many cancer cells express CXCR4, suggesting that SDF1/CXCL12 plays a role in cancer metastasis (5,6). Alternative splicing and differential processing during maturation produce a pair of SDF1/CXCL12 isoforms (SDF1/CXCL12α and SDF1/CXCL12β) that have different properties and biological activities (7). Additional isoforms of SDF1/CXCL12 have been reported (8,9).

Species Reactivity

Species reactivity is determined by testing in at least one approved application (e.g., western blot).

Applications Key

IHC-P: Immunohistochemistry (Paraffin)

Cross-Reactivity Key

H: Human

Trademarks and Patents

Cell Signaling Technology is a trademark of Cell Signaling Technology, Inc.

SignalStain is a registered trademark of Cell Signaling Technology, Inc.

All other trademarks are the property of their respective owners. Visit cellsignal.com/trademarks for more information.

Limited Uses

Except as otherwise expressly agreed in a writing signed by a legally authorized representative of CST, the following terms apply to Products provided by CST, its affiliates or its distributors. Any Customer's terms and conditions that are in addition to, or different from, those contained herein, unless separately accepted in writing by a legally authorized representative of CST, are rejected and are of no force or effect.

Products are labeled with For Research Use Only or a similar labeling statement and have not been approved, cleared, or licensed by the FDA or other regulatory foreign or domestic entity, for any purpose. Customer shall not use any Product for any diagnostic or therapeutic purpose, or otherwise in any manner that conflicts with its labeling statement. Products sold or licensed by CST are provided for Customer as the end-user and solely for research and development uses. Any use of Product for diagnostic, prophylactic or therapeutic purposes, or any purchase of Product for resale (alone or as a component) or other commercial purpose, requires a separate license from CST. Customer shall (a) not sell, license, loan, donate or otherwise transfer or make available any Product to any third party, whether alone or in combination with other materials, or use the Products to manufacture any commercial products, (b) not copy, modify, reverse engineer, decompile, disassemble or otherwise attempt to discover the underlying structure or technology of the Products, or use the Products for the purpose of developing any products or services that would compete with CST products or services, (c) not alter or remove from the Products any trademarks, trade names, logos, patent or copyright notices or markings, (d) use the Products solely in accordance with CST Product Terms of Sale and any applicable documentation, and (e) comply with any license, terms of service or similar agreement with respect to any third party products or services used by Customer in connection with the Products.

Orders: 877-616-CELL (2355) [email protected] Support: 877-678-TECH (8324) [email protected] Web: cellsignal.com
For Research Use Only. Not for Use in Diagnostic Procedures.

Revision 7

Cell Signaling Technology Logo
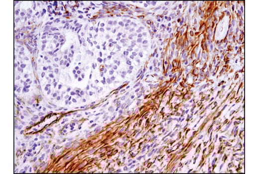
Immunohistochemical analysis of paraffin-embedded human breast carcinoma using SDF1/CXCL12 (D8G6H) Rabbit mAb.
Immunohistochemistry Image 1: SDF1/CXCL12 (D8G6H) Rabbit Monoclonal Antibody
Immunohistochemical analysis of paraffin-embedded human ovarian carcinoma using SDF1/CXCL12 (D8G6H) Rabbit mAb.
Immunohistochemistry Image 2: SDF1/CXCL12 (D8G6H) Rabbit Monoclonal Antibody
Immunohistochemical analysis of paraffin-embedded human prostate carcinoma using SDF1/CXCL12 (D8G6H) Rabbit mAb.
Immunohistochemistry Image 3: SDF1/CXCL12 (D8G6H) Rabbit Monoclonal Antibody
Orders: 877-616-CELL (2355) [email protected] Support: 877-678-TECH (8324) [email protected] Web: cellsignal.com
For Research Use Only. Not for Use in Diagnostic Procedures.

Revision 7

Cell Signaling Technology Logo
Immunohistochemical analysis of paraffin-embedded T98G cell pellet (left, positive) and HepG2 cell pellet (right, negative) using SDF1 (D8G6H) Rabbit mAb.
Immunohistochemistry Image 4: SDF1/CXCL12 (D8G6H) Rabbit Monoclonal Antibody
Orders: 877-616-CELL (2355) [email protected] Support: 877-678-TECH (8324) [email protected] Web: cellsignal.com
For Research Use Only. Not for Use in Diagnostic Procedures.