Revision 4

#53108

Store at -20C

CST Logo
Orders:

877-616-CELL (2355)

[email protected]

Support:

877-678-TECH (8324)

3 Trask Lane | Danvers | Massachusetts | 01923 | USA

For Research Use Only. Not for Use in Diagnostic Procedures.

Applications:
W, IP, IHC-Bond, IHC-P

Reactivity:
H M

Sensitivity:
Endogenous

MW (kDa):
140

Source/Isotype:
Rabbit IgG

UniProt ID:
#Q92854

Entrez-Gene Id:
10507

Product Usage Information

Application Dilution
Western Blotting 1:1000
Immunoprecipitation 1:50
IHC Leica Bond 1:200
Immunohistochemistry (Paraffin) 1:400

Storage

Supplied in 10 mM sodium HEPES (pH 7.5), 150 mM NaCl, 100 µg/ml BSA, 50% glycerol and less than 0.02% sodium azide. Store at –20°C. Do not aliquot the antibody.

For a carrier free (BSA and azide free) version of this product see product #61515.

Specificity/Sensitivity

Semaphorin-4D/CD100 (E5C3B) Rabbit Monoclonal Antibody recognizes endogenous levels of total Semaphorin-4D/CD100 protein. This antibody also recognizes a 25 kDa Semaphorin-4D/CD100 cleavage fragment containing the carboxy terminus.

Source / Purification

Monoclonal antibody is produced by immunizing animals with a synthetic peptide corresponding to residues surrounding Gly814 of human Semaphorin-4D/CD100 protein.

Background

Semaphorin-4D/CD100 (Sema4D) is a disulfide-linked homodimeric type 1 transmembrane glycoprotein belonging to the class IV family of membrane bound semaphorins. The extracellular domain of Sema4D contains a cysteine-rich semaphorin-like domain, an Ig-like domain, and a PSI domain (1). Research studies have suggested that the cytoplasmic domain has a signaling function as it is phosphorylated on serine residues (2). Initial studies involving Sema4D revealed that it was implicated in axon guidance within the central nervous system through binding its high affinity receptor, plexin-B1 (3). Sema4D function has also been extensively characterized in the immune system and is the first semaphorin found to be expressed on the surface of many types of immune cells (4-6). In the immune system, CD72 serves as a low-affinity receptor for Sema4D (7) and research studies have shown that Sema4D not only regulates T-cell activation (8,9) but is also involved in the regulation of B-cell survival and differentiation (5). Many of the physiologic effects of Sema4D in the immune system are regulated by a soluble extracellular domain-containing fragment generated through proteolytic cleavage (10).

Sema4D has also been implicated in oncogenesis as research studies have demonstrated overexpression in multiple types of solid tumors (11,12). The role of Sema4D in oncogenesis, in part, has been linked to its ability to promote tumor angiogenesis (13), cell invasion (14), and immunosuppression through enhancement of myeloid derived suppressor cell function (15).

Species Reactivity

Species reactivity is determined by testing in at least one approved application (e.g., western blot).

Western Blot Buffer

IMPORTANT: For western blots, incubate membrane with diluted primary antibody in 5% w/v BSA, 1X TBS, 0.1% Tween® 20 at 4°C with gentle shaking, overnight.

Applications Key

W: Western Blotting IP: Immunoprecipitation IHC-Bond: IHC Leica Bond IHC-P: Immunohistochemistry (Paraffin)

Cross-Reactivity Key

H: Human M: Mouse

Trademarks and Patents

Cell Signaling Technology is a trademark of Cell Signaling Technology, Inc.

SignalStain is a registered trademark of Cell Signaling Technology, Inc.

All other trademarks are the property of their respective owners. Visit cellsignal.com/trademarks for more information.

Limited Uses

Except as otherwise expressly agreed in a writing signed by a legally authorized representative of CST, the following terms apply to Products provided by CST, its affiliates or its distributors. Any Customer's terms and conditions that are in addition to, or different from, those contained herein, unless separately accepted in writing by a legally authorized representative of CST, are rejected and are of no force or effect.

Products are labeled with For Research Use Only or a similar labeling statement and have not been approved, cleared, or licensed by the FDA or other regulatory foreign or domestic entity, for any purpose. Customer shall not use any Product for any diagnostic or therapeutic purpose, or otherwise in any manner that conflicts with its labeling statement. Products sold or licensed by CST are provided for Customer as the end-user and solely for research and development uses. Any use of Product for diagnostic, prophylactic or therapeutic purposes, or any purchase of Product for resale (alone or as a component) or other commercial purpose, requires a separate license from CST. Customer shall (a) not sell, license, loan, donate or otherwise transfer or make available any Product to any third party, whether alone or in combination with other materials, or use the Products to manufacture any commercial products, (b) not copy, modify, reverse engineer, decompile, disassemble or otherwise attempt to discover the underlying structure or technology of the Products, or use the Products for the purpose of developing any products or services that would compete with CST products or services, (c) not alter or remove from the Products any trademarks, trade names, logos, patent or copyright notices or markings, (d) use the Products solely in accordance with CST Product Terms of Sale and any applicable documentation, and (e) comply with any license, terms of service or similar agreement with respect to any third party products or services used by Customer in connection with the Products.

Orders: 877-616-CELL (2355) [email protected] Support: 877-678-TECH (8324) [email protected] Web: cellsignal.com
For Research Use Only. Not for Use in Diagnostic Procedures.

Revision 4

Cell Signaling Technology Logo
Western blot analysis of extracts from 293T cells, mock transfected (-) or transfected with a construct expressing Myc/DDK-tagged full-length human Semaphorin-4D/CD100 protein (hSema4D-Myc/DDK; +), using Semaphorin-4D/CD100 (E5C3B) XP® Rabbit mAb (upper), DYKDDDDK Tag Antibody #2368 (middle), and β-Actin (D6A8) Rabbit mAb #8457 (lower).
Western Blotting Image 1: Semaphorin-4D/CD100 (E5C3B) Rabbit Monoclonal Antibody
Western blot analysis of extracts from various cell lines using Semaphorin-4D/CD100 (E5C3B) XP® Rabbit mAb (upper) and β-Actin (D6A8) Rabbit mAb #8457 (lower). As expected, Semaphorin-4D/CD100 protein is not expressed in PC-3 cells.
Western Blotting Image 2: Semaphorin-4D/CD100 (E5C3B) Rabbit Monoclonal Antibody
Western blot analysis of extracts from various cell lines using Semaphorin-4D/CD100 (E5C3B) XP® Rabbit mAb.
Western Blotting Image 3: Semaphorin-4D/CD100 (E5C3B) Rabbit Monoclonal Antibody
Orders: 877-616-CELL (2355) [email protected] Support: 877-678-TECH (8324) [email protected] Web: cellsignal.com
For Research Use Only. Not for Use in Diagnostic Procedures.

Revision 4

Cell Signaling Technology Logo
Immunoprecipitation of Semaphorin-4D/CD100 from HDLM-2 cell extracts. Lane 1 is 10% input, lane 2 is Rabbit (DA1E) mAb IgG XP® Isotype Control #3900, and lane 3 is Semaphorin-4D/CD100 (E5C3B) XP® Rabbit mAb. Western blot analysis was performed using Semaphorin-4D/CD100 (E5C3B) XP® Rabbit mAb. Mouse Anti-Rabbit IgG (Conformation Specific) (L27A9) mAb (HRP Conjugate) #5127 was used for detection to avoid cross-reactivity with IgG.
Immunoprecipitation Image 1: Semaphorin-4D/CD100 (E5C3B) Rabbit Monoclonal Antibody
Immunohistochemical analysis of paraffin-embedded human uterine papillary serous carcinoma using Semaphorin-4D/CD100 (E5C3B) XP® Rabbit mAb performed on the Leica® BOND™ Rx.
Immunohistochemistry Image 1: Semaphorin-4D/CD100 (E5C3B) Rabbit Monoclonal Antibody
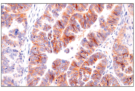
Immunohistochemical analysis of paraffin-embedded human gastric adenocarcinoma using Semaphorin-4D/CD100 (E5C3B) XP® Rabbit mAb performed on the Leica® BOND™ Rx.
Immunohistochemistry Image 2: Semaphorin-4D/CD100 (E5C3B) Rabbit Monoclonal Antibody
Orders: 877-616-CELL (2355) [email protected] Support: 877-678-TECH (8324) [email protected] Web: cellsignal.com
For Research Use Only. Not for Use in Diagnostic Procedures.

Revision 4

Cell Signaling Technology Logo
Immunohistochemical analysis of paraffin-embedded human appendix using Semaphorin-4D/CD100 (E5C3B) XP® Rabbit mAb.
Immunohistochemistry Image 1: Semaphorin-4D/CD100 (E5C3B) Rabbit Monoclonal Antibody
Immunohistochemical analysis of paraffin-embedded human kidney using Semaphorin-4D/CD100 (E5C3B) XP® Rabbit mAb (left) compared to concentration matched Rabbit (DA1E) mAb IgG XP® Isotype Control #3900 (right).
Immunohistochemistry Image 2: Semaphorin-4D/CD100 (E5C3B) Rabbit Monoclonal Antibody
Immunohistochemical analysis of paraffin-embedded human non-Hodgkin's lymphoma using Semaphorin-4D/CD100 (E5C3B) XP® Rabbit mAb.
Immunohistochemistry Image 3: Semaphorin-4D/CD100 (E5C3B) Rabbit Monoclonal Antibody
Orders: 877-616-CELL (2355) [email protected] Support: 877-678-TECH (8324) [email protected] Web: cellsignal.com
For Research Use Only. Not for Use in Diagnostic Procedures.

Revision 4

Cell Signaling Technology Logo
Immunohistochemical analysis of paraffin-embedded mouse kidney using Semaphorin-4D/CD100 (E5C3B) XP® Rabbit mAb.
Immunohistochemistry Image 4: Semaphorin-4D/CD100 (E5C3B) Rabbit Monoclonal Antibody
Immunohistochemical analysis of paraffin-embedded mouse small intestine using Semaphorin-4D/CD100 (E5C3B) XP® Rabbit mAb.
Immunohistochemistry Image 5: Semaphorin-4D/CD100 (E5C3B) Rabbit Monoclonal Antibody
Immunohistochemical analysis of paraffin-embedded HDLM-2 cell pellet (left, positive) or PC-3 cell pellet (right, negative) using Semaphorin-4D/CD100 (E5C3B) XP® Rabbit mAb.
Immunohistochemistry Image 6: Semaphorin-4D/CD100 (E5C3B) Rabbit Monoclonal Antibody
Orders: 877-616-CELL (2355) [email protected] Support: 877-678-TECH (8324) [email protected] Web: cellsignal.com
For Research Use Only. Not for Use in Diagnostic Procedures.