Revision 1

#61515

Store at -20C

CST Logo
Orders:

877-616-CELL (2355)

[email protected]

Support:

877-678-TECH (8324)

3 Trask Lane | Danvers | Massachusetts | 01923 | USA

For Research Use Only. Not for Use in Diagnostic Procedures.

Applications:
W, IHC-Bond, IHC-P

Reactivity:
H M

Sensitivity:
Endogenous

MW (kDa):
140

Source/Isotype:
Rabbit IgG

UniProt ID:
#Q92854

Entrez-Gene Id:
10507

Product Usage Information

This product is the carrier free version of product #53108. All data were generated using the same antibody clone in the standard formulation which contains BSA and glycerol.

This formulation is ideal for use with technologies requiring specialized or custom antibody labeling, including fluorophores, metals, lanthanides, and oligonucleotides. It is not recommended for ChIP, ChIP-seq, CUT&RUN or CUT&Tag assays. If you require a carrier free formulation for chromatin profiling, please contact us. Optimal dilutions/concentrations should be determined by the end user.

BSA and Azide Free antibodies are quality control tested by size exclusion chromatography (SEC) to determine antibody integrity.

Formulation

Supplied in 1X PBS (10 mM Na2HPO4, 3 mM KCl, 2 mM KH2PO4, and 140 mM NaCl (pH 7.8)). BSA and Azide Free.

For standard formulation of this product see product #53108

Storage

Store at -20°C. This product will freeze at -20°C so it is recommended to aliquot into single-use vials to avoid multiple freeze/thaw cycles. A slight precipitate may be present and can be dissolved by gently vortexing. This will not interfere with antibody performance.

Specificity/Sensitivity

Semaphorin-4D/CD100 (E5C3B) Rabbit Monoclonal Antibody (BSA and Azide Free) recognizes endogenous levels of total Semaphorin-4D/CD100 protein. This antibody also recognizes a 25 kDa Semaphorin-4D/CD100 cleavage fragment containing the carboxy terminus.

Source / Purification

Monoclonal antibody is produced by immunizing animals with a synthetic peptide corresponding to residues surrounding Gly814 of human Semaphorin-4D/CD100 protein.

Background

Semaphorin-4D/CD100 (Sema4D) is a disulfide-linked homodimeric type 1 transmembrane glycoprotein belonging to the class IV family of membrane bound semaphorins. The extracellular domain of Sema4D contains a cysteine-rich semaphorin-like domain, an Ig-like domain, and a PSI domain (1). Research studies have suggested that the cytoplasmic domain has a signaling function as it is phosphorylated on serine residues (2). Initial studies involving Sema4D revealed that it was implicated in axon guidance within the central nervous system through binding its high affinity receptor, plexin-B1 (3). Sema4D function has also been extensively characterized in the immune system and is the first semaphorin found to be expressed on the surface of many types of immune cells (4-6). In the immune system, CD72 serves as a low-affinity receptor for Sema4D (7) and research studies have shown that Sema4D not only regulates T-cell activation (8,9) but is also involved in the regulation of B-cell survival and differentiation (5). Many of the physiologic effects of Sema4D in the immune system are regulated by a soluble extracellular domain-containing fragment generated through proteolytic cleavage (10).

Sema4D has also been implicated in oncogenesis as research studies have demonstrated overexpression in multiple types of solid tumors (11,12). The role of Sema4D in oncogenesis, in part, has been linked to its ability to promote tumor angiogenesis (13), cell invasion (14), and immunosuppression through enhancement of myeloid derived suppressor cell function (15).

Species Reactivity

Species reactivity is determined by testing in at least one approved application (e.g., western blot).

Applications Key

W: Western Blotting IHC-Bond: IHC Leica Bond IHC-P: Immunohistochemistry (Paraffin)

Cross-Reactivity Key

H: Human M: Mouse

Trademarks and Patents

Cell Signaling Technology is a trademark of Cell Signaling Technology, Inc.

SignalStain is a registered trademark of Cell Signaling Technology, Inc.

All other trademarks are the property of their respective owners. Visit cellsignal.com/trademarks for more information.

Limited Uses

Except as otherwise expressly agreed in a writing signed by a legally authorized representative of CST, the following terms apply to Products provided by CST, its affiliates or its distributors. Any Customer's terms and conditions that are in addition to, or different from, those contained herein, unless separately accepted in writing by a legally authorized representative of CST, are rejected and are of no force or effect.

Products are labeled with For Research Use Only or a similar labeling statement and have not been approved, cleared, or licensed by the FDA or other regulatory foreign or domestic entity, for any purpose. Customer shall not use any Product for any diagnostic or therapeutic purpose, or otherwise in any manner that conflicts with its labeling statement. Products sold or licensed by CST are provided for Customer as the end-user and solely for research and development uses. Any use of Product for diagnostic, prophylactic or therapeutic purposes, or any purchase of Product for resale (alone or as a component) or other commercial purpose, requires a separate license from CST. Customer shall (a) not sell, license, loan, donate or otherwise transfer or make available any Product to any third party, whether alone or in combination with other materials, or use the Products to manufacture any commercial products, (b) not copy, modify, reverse engineer, decompile, disassemble or otherwise attempt to discover the underlying structure or technology of the Products, or use the Products for the purpose of developing any products or services that would compete with CST products or services, (c) not alter or remove from the Products any trademarks, trade names, logos, patent or copyright notices or markings, (d) use the Products solely in accordance with CST Product Terms of Sale and any applicable documentation, and (e) comply with any license, terms of service or similar agreement with respect to any third party products or services used by Customer in connection with the Products.

Orders: 877-616-CELL (2355) [email protected] Support: 877-678-TECH (8324) [email protected] Web: cellsignal.com
For Research Use Only. Not for Use in Diagnostic Procedures.

Revision 1

Cell Signaling Technology Logo
Western blot analysis of extracts from 293T cells, mock transfected (-) or transfected with a construct expressing Myc/DDK-tagged full-length human Semaphorin-4D/CD100 protein (hSema4D-Myc/DDK; +), using Semaphorin-4D/CD100 (E5C3B) XP® Rabbit mAb (upper), DYKDDDDK Tag Antibody #2368 (middle), and β-Actin (D6A8) Rabbit mAb #8457 (lower). Data were generated using the standard formulation of this product.
Western Blotting Image 1: Semaphorin-4D/CD100 (E5C3B) Rabbit Monoclonal Antibody (BSA and Azide Free)
Western blot analysis of extracts from various cell lines using Semaphorin-4D/CD100 (E5C3B) XP® Rabbit mAb (upper) and β-Actin (D6A8) Rabbit mAb #8457 (lower). As expected, Semaphorin-4D/CD100 protein is not expressed in PC-3 cells. Data were generated using the standard formulation of this product.
Western Blotting Image 2: Semaphorin-4D/CD100 (E5C3B) Rabbit Monoclonal Antibody (BSA and Azide Free)
Western blot analysis of extracts from various cell lines using Semaphorin-4D/CD100 (E5C3B) XP® Rabbit mAb. Data were generated using the standard formulation of this product.
Western Blotting Image 3: Semaphorin-4D/CD100 (E5C3B) Rabbit Monoclonal Antibody (BSA and Azide Free)
Orders: 877-616-CELL (2355) [email protected] Support: 877-678-TECH (8324) [email protected] Web: cellsignal.com
For Research Use Only. Not for Use in Diagnostic Procedures.

Revision 1

Cell Signaling Technology Logo
Immunohistochemical analysis of paraffin-embedded human uterine papillary serous carcinoma using Semaphorin-4D/CD100 (E5C3B) XP® Rabbit mAb performed on the Leica® BOND™ Rx. Data were generated using the standard formulation of this product.
Immunohistochemistry Image 1: Semaphorin-4D/CD100 (E5C3B) Rabbit Monoclonal Antibody (BSA and Azide Free)
Immunohistochemical analysis of paraffin-embedded human gastric adenocarcinoma using Semaphorin-4D/CD100 (E5C3B) XP® Rabbit mAb performed on the Leica® BOND™ Rx. Data were generated using the standard formulation of this product.
Immunohistochemistry Image 2: Semaphorin-4D/CD100 (E5C3B) Rabbit Monoclonal Antibody (BSA and Azide Free)
Immunohistochemical analysis of paraffin-embedded human appendix using Semaphorin-4D/CD100 (E5C3B) XP® Rabbit mAb. Data were generated using the standard formulation of this product.
Immunohistochemistry Image 1: Semaphorin-4D/CD100 (E5C3B) Rabbit Monoclonal Antibody (BSA and Azide Free)
Orders: 877-616-CELL (2355) [email protected] Support: 877-678-TECH (8324) [email protected] Web: cellsignal.com
For Research Use Only. Not for Use in Diagnostic Procedures.

Revision 1

Cell Signaling Technology Logo
Immunohistochemical analysis of paraffin-embedded human kidney using Semaphorin-4D/CD100 (E5C3B) XP® Rabbit mAb (left) compared to concentration matched Rabbit (DA1E) mAb IgG XP® Isotype Control #3900 (right). Data were generated using the standard formulation of this product.
Immunohistochemistry Image 2: Semaphorin-4D/CD100 (E5C3B) Rabbit Monoclonal Antibody (BSA and Azide Free)
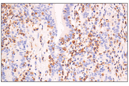
Immunohistochemical analysis of paraffin-embedded human non-Hodgkin's lymphoma using Semaphorin-4D/CD100 (E5C3B) XP® Rabbit mAb. Data were generated using the standard formulation of this product.
Immunohistochemistry Image 3: Semaphorin-4D/CD100 (E5C3B) Rabbit Monoclonal Antibody (BSA and Azide Free)
Immunohistochemical analysis of paraffin-embedded mouse kidney using Semaphorin-4D/CD100 (E5C3B) XP® Rabbit mAb. Data were generated using the standard formulation of this product.
Immunohistochemistry Image 4: Semaphorin-4D/CD100 (E5C3B) Rabbit Monoclonal Antibody (BSA and Azide Free)
Orders: 877-616-CELL (2355) [email protected] Support: 877-678-TECH (8324) [email protected] Web: cellsignal.com
For Research Use Only. Not for Use in Diagnostic Procedures.

Revision 1

Cell Signaling Technology Logo
Immunohistochemical analysis of paraffin-embedded mouse small intestine using Semaphorin-4D/CD100 (E5C3B) XP® Rabbit mAb. Data were generated using the standard formulation of this product.
Immunohistochemistry Image 5: Semaphorin-4D/CD100 (E5C3B) Rabbit Monoclonal Antibody (BSA and Azide Free)
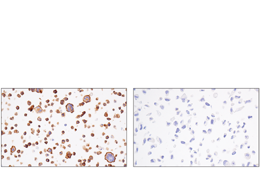
Immunohistochemical analysis of paraffin-embedded HDLM-2 cell pellet (left, positive) or PC-3 cell pellet (right, negative) using Semaphorin-4D/CD100 (E5C3B) XP® Rabbit mAb. Data were generated using the standard formulation of this product.
Immunohistochemistry Image 6: Semaphorin-4D/CD100 (E5C3B) Rabbit Monoclonal Antibody (BSA and Azide Free)
Orders: 877-616-CELL (2355) [email protected] Support: 877-678-TECH (8324) [email protected] Web: cellsignal.com
For Research Use Only. Not for Use in Diagnostic Procedures.