Revision 2

#20407

Store at -20C

CST Logo
Orders:

877-616-CELL (2355)

[email protected]

Support:

877-678-TECH (8324)

3 Trask Lane | Danvers | Massachusetts | 01923 | USA

For Research Use Only. Not for Use in Diagnostic Procedures.

Applications:
W, IHC-P

Reactivity:
H

Sensitivity:
Endogenous

MW (kDa):
42

Source/Isotype:
Rabbit IgG

UniProt ID:
#P30740

Entrez-Gene Id:
1992

Product Usage Information

Application Dilution
Western Blotting 1:1000
Immunohistochemistry (Paraffin) 1:50 - 1:200

Storage

Supplied in 10 mM sodium HEPES (pH 7.5), 150 mM NaCl, 100 µg/mL BSA, 50% glycerol, and less than 0.02% sodium azide. Store at –20°C. Do not aliquot the antibody.

For a carrier free (BSA and azide free) version of this product see product #73485.

Specificity/Sensitivity

SerpinB1 (E4W7B) Rabbit Monoclonal Antibody recognizes endogenous levels of total SerpinB1 protein.

Source / Purification

Monoclonal antibody is produced by immunizing animals with a synthetic peptide corresponding to residues surrounding Leu264 of human SerpinB1 protein.

Background

Serpin family B member 1 (SerpinB1), also known as leukocyte elastase inhibitor or neutrophil elastase inhibitor, regulates inflammation and the innate immune response. SerpinB1 blocks the activity of caspase-1, caspase-4, and caspase-5; the protein does so via suppression of caspase recruitment domain oligomerization and enzymatic activation (1). SerpinB1 is expressed in neutrophils and monocytes, and the protein resides in the cytoplasm due to its lack of a secretory signal sequence (2,3). There, SerpinB1 protects cells from serine proteases that may leak from granules into the cytoplasm, including Cathepsin G, neutrophil elastase, proteinase-3, and Granzyme H (4,5). Despite its lack of a secretory sequence, SerpinB1 was shown to be released from keratinocytes in a caspase-1-dependent manner to upregulate proliferation of pancreatic β cells (6).

Species Reactivity

Species reactivity is determined by testing in at least one approved application (e.g., western blot).

Western Blot Buffer

IMPORTANT: For western blots, incubate membrane with diluted primary antibody in 5% w/v BSA, 1X TBS, 0.1% Tween® 20 at 4°C with gentle shaking, overnight.

Applications Key

W: Western Blotting IHC-P: Immunohistochemistry (Paraffin)

Cross-Reactivity Key

H: Human

Trademarks and Patents

Cell Signaling Technology is a trademark of Cell Signaling Technology, Inc.

KARPAS cell line source: Dr. Abraham Karpas at the University of Cambridge.

All other trademarks are the property of their respective owners. Visit cellsignal.com/trademarks for more information.

Limited Uses

Except as otherwise expressly agreed in a writing signed by a legally authorized representative of CST, the following terms apply to Products provided by CST, its affiliates or its distributors. Any Customer's terms and conditions that are in addition to, or different from, those contained herein, unless separately accepted in writing by a legally authorized representative of CST, are rejected and are of no force or effect.

Products are labeled with For Research Use Only or a similar labeling statement and have not been approved, cleared, or licensed by the FDA or other regulatory foreign or domestic entity, for any purpose. Customer shall not use any Product for any diagnostic or therapeutic purpose, or otherwise in any manner that conflicts with its labeling statement. Products sold or licensed by CST are provided for Customer as the end-user and solely for research and development uses. Any use of Product for diagnostic, prophylactic or therapeutic purposes, or any purchase of Product for resale (alone or as a component) or other commercial purpose, requires a separate license from CST. Customer shall (a) not sell, license, loan, donate or otherwise transfer or make available any Product to any third party, whether alone or in combination with other materials, or use the Products to manufacture any commercial products, (b) not copy, modify, reverse engineer, decompile, disassemble or otherwise attempt to discover the underlying structure or technology of the Products, or use the Products for the purpose of developing any products or services that would compete with CST products or services, (c) not alter or remove from the Products any trademarks, trade names, logos, patent or copyright notices or markings, (d) use the Products solely in accordance with CST Product Terms of Sale and any applicable documentation, and (e) comply with any license, terms of service or similar agreement with respect to any third party products or services used by Customer in connection with the Products.

Orders: 877-616-CELL (2355) [email protected] Support: 877-678-TECH (8324) [email protected] Web: cellsignal.com
For Research Use Only. Not for Use in Diagnostic Procedures.

Revision 2

Cell Signaling Technology Logo
Western blot analysis of extracts from various human cell lines using SerpinB1 (E4W7B) Rabbit mAb (upper) or β-Actin (D6A8) Rabbit mAb #8457 (lower). Negative expression of SerpinB1 protein in LNCaP cells is consistent with the predicted expression pattern.
Western Blotting Image 1: SerpinB1 (E4W7B) Rabbit Monoclonal Antibody
Immunohistochemical analysis of paraffin-embedded human B-cell non-Hodgkin lymphoma using SerpinB1 (E4W7B) Rabbit mAb.
Immunohistochemistry Image 1: SerpinB1 (E4W7B) Rabbit Monoclonal Antibody
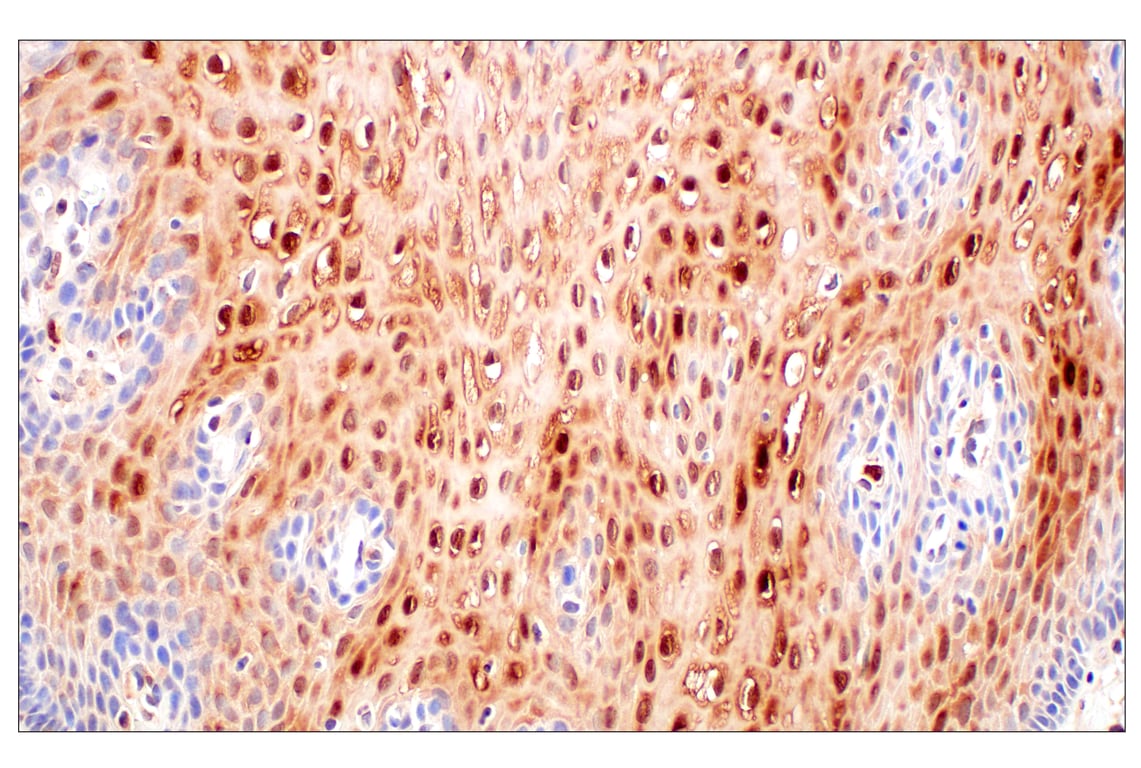
Immunohistochemical analysis of paraffin-embedded human squamous cell lung carcinoma using SerpinB1 (E4W7B) Rabbit mAb.
Immunohistochemistry Image 2: SerpinB1 (E4W7B) Rabbit Monoclonal Antibody
Orders: 877-616-CELL (2355) [email protected] Support: 877-678-TECH (8324) [email protected] Web: cellsignal.com
For Research Use Only. Not for Use in Diagnostic Procedures.

Revision 2

Cell Signaling Technology Logo
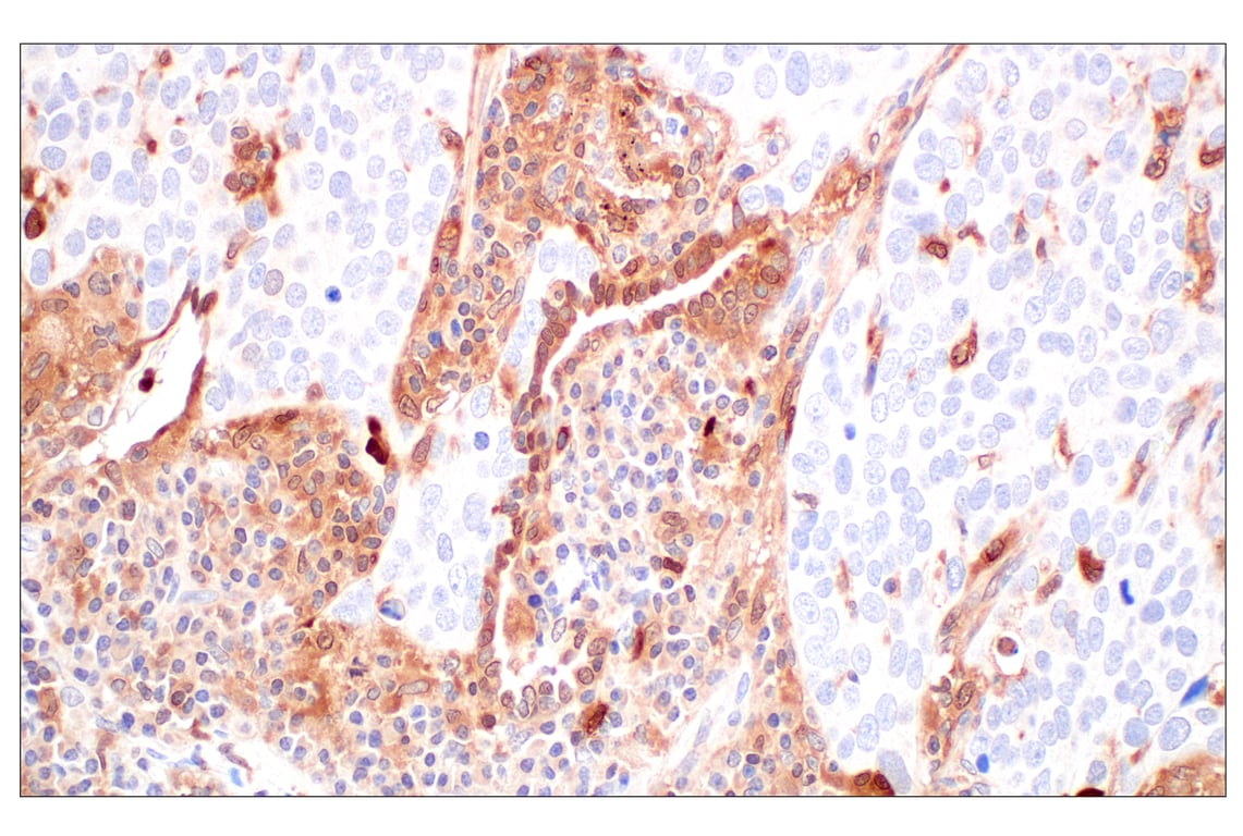
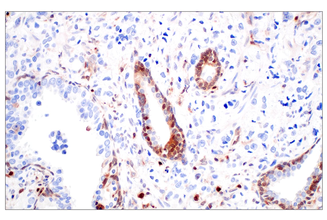
Immunohistochemical analysis of paraffin-embedded human prostate adenocarcinoma using SerpinB1 (E4W7B) Rabbit mAb.
Immunohistochemistry Image 3: SerpinB1 (E4W7B) Rabbit Monoclonal Antibody
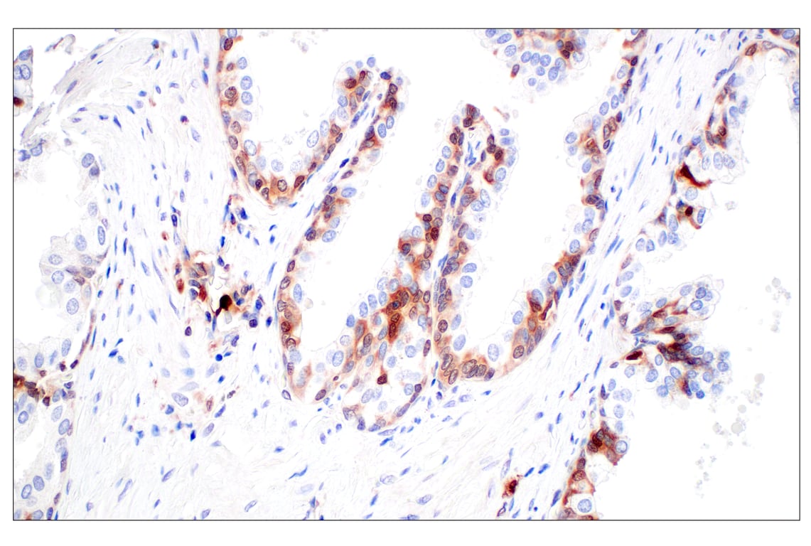
Immunohistochemical analysis of paraffin-embedded human serous papillary carcinoma of the ovary using SerpinB1 (E4W7B) Rabbit mAb.
Immunohistochemistry Image 4: SerpinB1 (E4W7B) Rabbit Monoclonal Antibody

Immunohistochemical analysis of paraffin-embedded normal human esophagus using SerpinB1 (E4W7B) Rabbit mAb.

Immunohistochemistry Image 5: SerpinB1 (E4W7B) Rabbit Monoclonal Antibody
Orders: 877-616-CELL (2355) [email protected] Support: 877-678-TECH (8324) [email protected] Web: cellsignal.com
For Research Use Only. Not for Use in Diagnostic Procedures.

Revision 2

Cell Signaling Technology Logo

Immunohistochemical analysis of paraffin-embedded normal human prostate using SerpinB1 (E4W7B) Rabbit mAb.

Immunohistochemistry Image 6: SerpinB1 (E4W7B) Rabbit Monoclonal Antibody

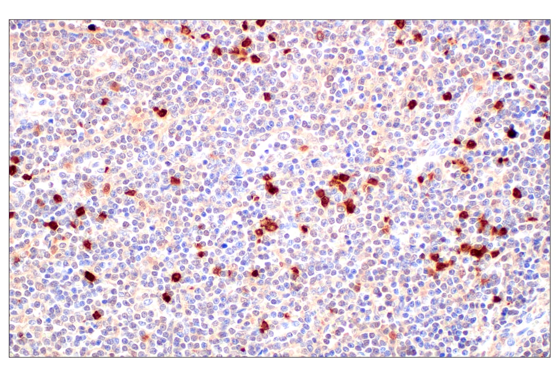
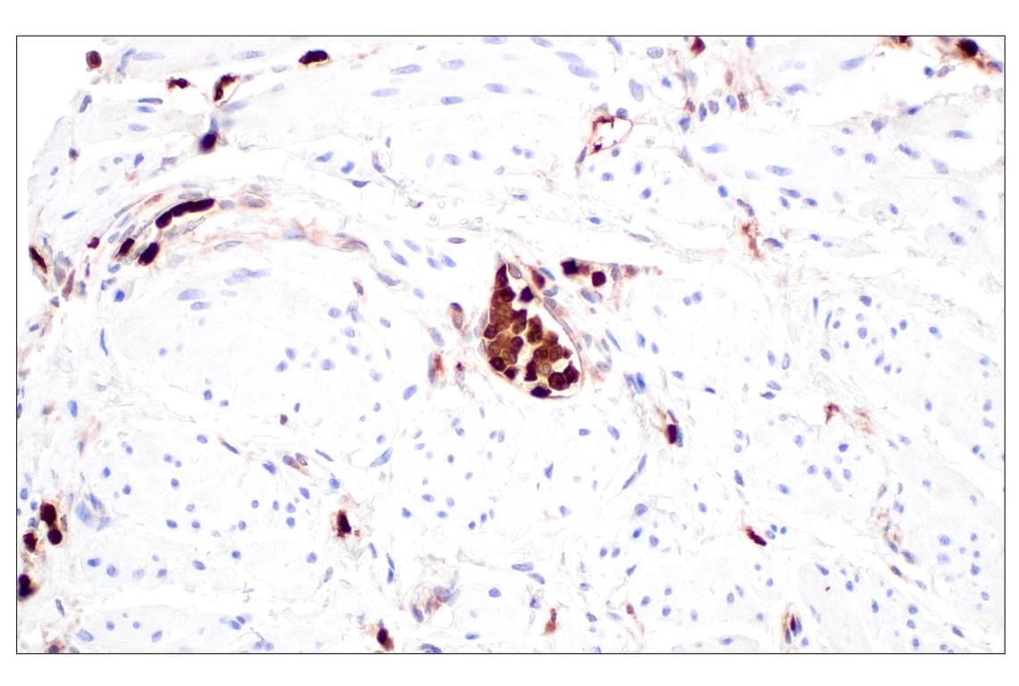
Immunohistochemical analysis of paraffin-embedded normal human spleen using SerpinB1 (E4W7B) Rabbit mAb.

Immunohistochemistry Image 7: SerpinB1 (E4W7B) Rabbit Monoclonal Antibody
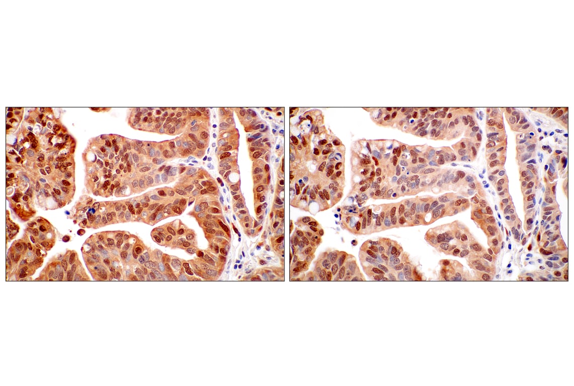
Immunohistochemical analysis of paraffin-embedded human esophageal adenocarcinoma using SerpinB1 (E4W7B) Rabbit mAb (left) or a SerpinB1 Antibody (right). These two antibodies detect unique, non-overlapping epitopes on human SerpinB1. The similar staining patterns obtained with both antibodies help to confirm the specificity of the staining.
Immunohistochemistry Image 8: SerpinB1 (E4W7B) Rabbit Monoclonal Antibody
Orders: 877-616-CELL (2355) [email protected] Support: 877-678-TECH (8324) [email protected] Web: cellsignal.com
For Research Use Only. Not for Use in Diagnostic Procedures.

Revision 2

Cell Signaling Technology Logo
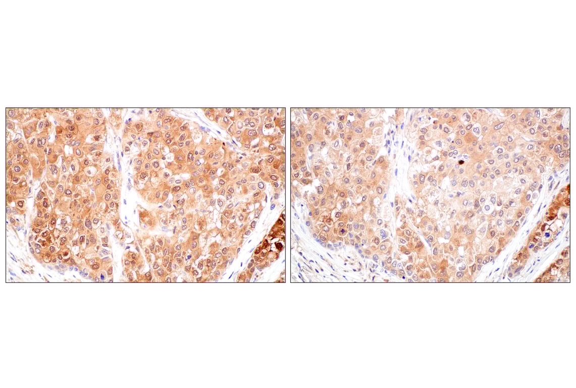
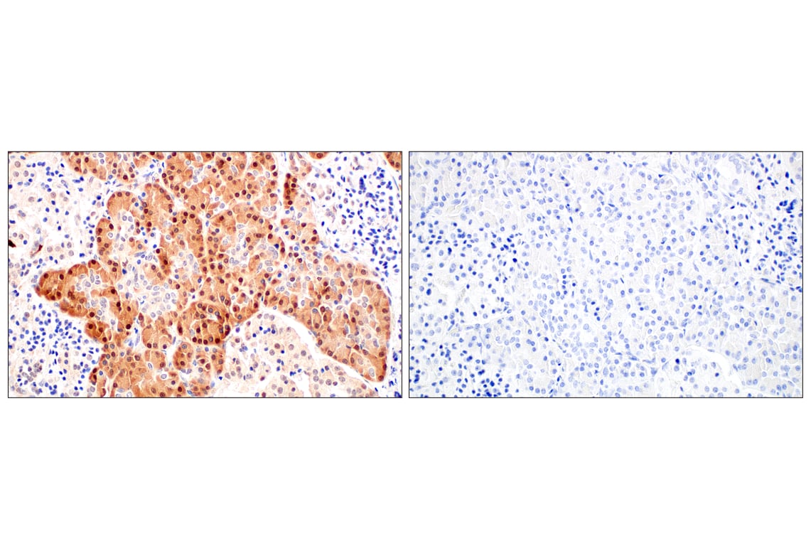
Immunohistochemical analysis of paraffin-embedded human hepatocellular carcinoma using SerpinB1 (E4W7B) Rabbit mAb (left) or a SerpinB1 Antibody (right). These two antibodies detect unique, non-overlapping epitopes on human SerpinB1. The similar staining patterns obtained with both antibodies help to confirm the specificity of the staining.
Immunohistochemistry Image 9: SerpinB1 (E4W7B) Rabbit Monoclonal Antibody
Immunohistochemical analysis of paraffin-embedded normal human pancreas using SerpinB1 (E4W7B) Rabbit mAb (left) compared to concentration-matched Rabbit (DA1E) mAb IgG XP® Isotype Control #3900 (right).
Immunohistochemistry Image 10: SerpinB1 (E4W7B) Rabbit Monoclonal Antibody
Immunohistochemical analysis of paraffin-embedded L-540 cell pellet (left, positive) or LNCaP cell pellet (right, negative) using SerpinB1 (E4W7B) Rabbit mAb.
Immunohistochemistry Image 11: SerpinB1 (E4W7B) Rabbit Monoclonal Antibody
Orders: 877-616-CELL (2355) [email protected] Support: 877-678-TECH (8324) [email protected] Web: cellsignal.com
For Research Use Only. Not for Use in Diagnostic Procedures.