Revision 1

#44922

Store at -20C

CST Logo
Orders:

877-616-CELL (2355)

[email protected]

Support:

877-678-TECH (8324)

3 Trask Lane | Danvers | Massachusetts | 01923 | USA

For Research Use Only. Not for Use in Diagnostic Procedures.

Applications:
W, IP

Reactivity:
H M Mk

Sensitivity:
Endogenous

MW (kDa):
320

Source/Isotype:
Rabbit IgG

UniProt ID:
#Q9UPS6

Entrez-Gene Id:
23067

Product Usage Information

Application Dilution
Western Blotting 1:1000
Immunoprecipitation 1:100

Storage

Supplied in 10 mM sodium HEPES (pH 7.5), 150 mM NaCl, 100 µg/ml BSA, 50% glycerol and less than 0.02% sodium azide. Store at –20°C. Do not aliquot the antibody.

Specificity/Sensitivity

SET1B (D1U5D) Rabbit Monoclonal Antibody recognizes endogenous levels of total SET1B protein.

Species predicted to react based on 100% sequence homology

Bovine, Pig, Horse

Source / Purification

Monoclonal antibody is produced by immunizing animals with a synthetic peptide corresponding to residues surrounding Val204 of human SET1B protein.

Background

The Set1 histone methyltransferase protein was first identified in yeast as part of the Set1/COMPASS histone methyltransferase complex, which methylates histone H3 at Lys4 and functions as a transcriptional co-activator (1). While yeast contain only one known Set1 protein, six Set1-related proteins exist in mammals: SET1A, SET1B, MLL1, MLL2, MLL3, and MLL4, all of which assemble into COMPASS-like complexes and methylate histone H3 at Lys4 (2,3). These Set1-related proteins are each found in distinct protein complexes, all of which share the common subunits WDR5, RBBP5, ASH2L, CXXC1 and DPY30. These subunits are required for proper complex assembly and modulation of histone methyltransferase activity (2-6). MLL1 and MLL2 complexes contain the additional protein subunit, menin (6). Like yeast Set1, all six Set1-related mammalian proteins methylate histone H3 at Lys4 (2-6). MLL translocations are found in a large number of hematological malignancies, suggesting that Set1/COMPASS histone methyltransferase complexes play a critical role in leukemogenesis (6).

Species Reactivity

Species reactivity is determined by testing in at least one approved application (e.g., western blot).

Western Blot Buffer

IMPORTANT: For western blots, incubate membrane with diluted primary antibody in 5% w/v nonfat dry milk, 1X TBS, 0.1% Tween® 20 at 4°C with gentle shaking, overnight.

Applications Key

W: Western Blotting IP: Immunoprecipitation

Cross-Reactivity Key

H: Human M: Mouse Mk: Monkey

Trademarks and Patents

Cell Signaling Technology is a trademark of Cell Signaling Technology, Inc.

All other trademarks are the property of their respective owners. Visit cellsignal.com/trademarks for more information.

Limited Uses

Except as otherwise expressly agreed in a writing signed by a legally authorized representative of CST, the following terms apply to Products provided by CST, its affiliates or its distributors. Any Customer's terms and conditions that are in addition to, or different from, those contained herein, unless separately accepted in writing by a legally authorized representative of CST, are rejected and are of no force or effect.

Products are labeled with For Research Use Only or a similar labeling statement and have not been approved, cleared, or licensed by the FDA or other regulatory foreign or domestic entity, for any purpose. Customer shall not use any Product for any diagnostic or therapeutic purpose, or otherwise in any manner that conflicts with its labeling statement. Products sold or licensed by CST are provided for Customer as the end-user and solely for research and development uses. Any use of Product for diagnostic, prophylactic or therapeutic purposes, or any purchase of Product for resale (alone or as a component) or other commercial purpose, requires a separate license from CST. Customer shall (a) not sell, license, loan, donate or otherwise transfer or make available any Product to any third party, whether alone or in combination with other materials, or use the Products to manufacture any commercial products, (b) not copy, modify, reverse engineer, decompile, disassemble or otherwise attempt to discover the underlying structure or technology of the Products, or use the Products for the purpose of developing any products or services that would compete with CST products or services, (c) not alter or remove from the Products any trademarks, trade names, logos, patent or copyright notices or markings, (d) use the Products solely in accordance with CST Product Terms of Sale and any applicable documentation, and (e) comply with any license, terms of service or similar agreement with respect to any third party products or services used by Customer in connection with the Products.

Orders: 877-616-CELL (2355) [email protected] Support: 877-678-TECH (8324) [email protected] Web: cellsignal.com
For Research Use Only. Not for Use in Diagnostic Procedures.

Revision 1

Cell Signaling Technology Logo
Western blot analysis of extracts from 293T, F9, and COS-7 cell lines using SET1B (D1U5D) Rabbit mAb.
Western Blotting Image 1: SET1B (D1U5D) Rabbit Monoclonal Antibody
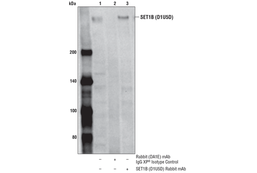
Immunoprecipitation of SET1B from HeLa cell extracts. Lane 1 is 10% input, lane 2 is Rabbit (DA1E) mAb IgG XP® Isotype Control #3900, and lane 3 is SET1B (D1U5D) Rabbit mAb. Western blot analysis was performed using SET1B (D1U5D) Rabbit mAb.
Immunoprecipitation Image 1: SET1B (D1U5D) Rabbit Monoclonal Antibody
Orders: 877-616-CELL (2355) [email protected] Support: 877-678-TECH (8324) [email protected] Web: cellsignal.com
For Research Use Only. Not for Use in Diagnostic Procedures.