Revision 1

#89680

Store at -20C

CST Logo
Orders:

877-616-CELL (2355)

[email protected]

Support:

877-678-TECH (8324)

3 Trask Lane | Danvers | Massachusetts | 01923 | USA

For Research Use Only. Not for Use in Diagnostic Procedures.

Applications:
IHC-P, IF-IC, FC-FP

Reactivity:
H M Mk

Sensitivity:
Endogenous

Source/Isotype:
Rabbit IgG

UniProt ID:
#Q9BYW2

Entrez-Gene Id:
29072

Product Usage Information

Application Dilution
Immunohistochemistry (Paraffin) 1:300 - 1:1200
Immunofluorescence (Immunocytochemistry) 1:1000 - 1:4000
Flow Cytometry (Fixed/Permeabilized) 1:400 - 1:1600

Storage

Supplied in 10 mM sodium HEPES (pH 7.5), 150 mM NaCl, 100 µg/ml BSA, 50% glycerol and less than 0.02% sodium azide. Store at –20°C. Do not aliquot the antibody.

Specificity/Sensitivity

SETD2 (E4W8Q) Rabbit Monoclonal Antibody (IHC Formulated) recognizes endogenous levels of total SETD2 protein. Staining of uncertain specificity in mouse granulocytes has been observed by immunohistochemistry.

Source / Purification

Monoclonal antibody is produced by immunizing animals with recombinant protein specific to the carboxy terminus of human SETD2 protein.

Background

SET domain-containing protein 2 (SETD2 or SET2), also known as lysine N-methyltransferase 3 A (KMT3A), huntingtin yeast partner B (HYBP), and huntingtin-interacting factor (HIF-1), is a ubiquitously expressed nuclear protein methyltransferase that is responsible for the majority of tri-methylation of histone H3 on lysine 36 (H3K36Me3) (1-3). SETD2-mediated H3K36Me3 is critical for proper regulation of transcription elongation, RNA splicing and DNA mismatch repair (1). SETD2 interacts with RNA polymerase II (RNAPII) that is hyper-phosphorylated on the C-terminal domain (CTD) of the largest subunit Rpb1 (2-4). Upon hyper-phosphorylation of the RNAPII CTD during activation of transcriptional elongation, SETD2 is recruited and facilitates tri-methylation of histone H3 lysine 36 in the body of transcriptionally active genes (2-4). H3K36Me3 then acts to recruit the transcription elongation factor FACT, which modulates nucleosome dynamics to facilitate transcription elongation and prevent cryptic transcriptional initiation (5). In addition, H3K36Me3 acts to recruit RNA-splicing proteins and regulate proper splicing of introns concurrent with transcriptional elongation (3, 6-9). In addition to regulating transcription, SETD2-dependent H3K36Me3 regulates DNA mismatch repair by recruiting MutSα (MSH2 and MSH6) to chromatin during G1 and early S phase (10). Loss of SETD2 results in an increase in microsatellite instability and elevated levels of spontaneous mutations (10). SETD2 is often mutated and/or inactivated in multiple types of cancer, including renal cell carcinoma, leukemia, melanoma and liver cancer (11-13).

Species Reactivity

Species reactivity is determined by testing in at least one approved application (e.g., western blot).

Applications Key

IHC-P: Immunohistochemistry (Paraffin) IF-IC: Immunofluorescence (Immunocytochemistry) FC-FP: Flow Cytometry (Fixed/Permeabilized)

Cross-Reactivity Key

H: Human M: Mouse Mk: Monkey

Trademarks and Patents

Cell Signaling Technology is a trademark of Cell Signaling Technology, Inc.

Alexa Fluor is a registered trademark of Life Technologies Corporation.

All other trademarks are the property of their respective owners. Visit cellsignal.com/trademarks for more information.

Limited Uses

Except as otherwise expressly agreed in a writing signed by a legally authorized representative of CST, the following terms apply to Products provided by CST, its affiliates or its distributors. Any Customer's terms and conditions that are in addition to, or different from, those contained herein, unless separately accepted in writing by a legally authorized representative of CST, are rejected and are of no force or effect.

Products are labeled with For Research Use Only or a similar labeling statement and have not been approved, cleared, or licensed by the FDA or other regulatory foreign or domestic entity, for any purpose. Customer shall not use any Product for any diagnostic or therapeutic purpose, or otherwise in any manner that conflicts with its labeling statement. Products sold or licensed by CST are provided for Customer as the end-user and solely for research and development uses. Any use of Product for diagnostic, prophylactic or therapeutic purposes, or any purchase of Product for resale (alone or as a component) or other commercial purpose, requires a separate license from CST. Customer shall (a) not sell, license, loan, donate or otherwise transfer or make available any Product to any third party, whether alone or in combination with other materials, or use the Products to manufacture any commercial products, (b) not copy, modify, reverse engineer, decompile, disassemble or otherwise attempt to discover the underlying structure or technology of the Products, or use the Products for the purpose of developing any products or services that would compete with CST products or services, (c) not alter or remove from the Products any trademarks, trade names, logos, patent or copyright notices or markings, (d) use the Products solely in accordance with CST Product Terms of Sale and any applicable documentation, and (e) comply with any license, terms of service or similar agreement with respect to any third party products or services used by Customer in connection with the Products.

Orders: 877-616-CELL (2355) [email protected] Support: 877-678-TECH (8324) [email protected] Web: cellsignal.com
For Research Use Only. Not for Use in Diagnostic Procedures.

Revision 1

Cell Signaling Technology Logo
Immunohistochemical analysis of paraffin-embedded human ductal breast carcinoma using SETD2 (E4W8Q) Rabbit mAb (IHC Formulated).
Immunohistochemistry Image 1: SETD2 (E4W8Q) Rabbit Monoclonal Antibody (IHC Formulated)
Immunohistochemical analysis of paraffin-embedded 293T cell pellet, wild-type (left, positive) or SETD2 knockdown (right, low expression), using SETD2 (E4W8Q) Rabbit mAb (IHC Formulated).
Immunohistochemistry Image 2: SETD2 (E4W8Q) Rabbit Monoclonal Antibody (IHC Formulated)
Immunohistochemical analysis of paraffin-embedded human colon carcinoma using SETD2 (E4W8Q) Rabbit mAb (IHC Formulated).
Immunohistochemistry Image 3: SETD2 (E4W8Q) Rabbit Monoclonal Antibody (IHC Formulated)
Orders: 877-616-CELL (2355) [email protected] Support: 877-678-TECH (8324) [email protected] Web: cellsignal.com
For Research Use Only. Not for Use in Diagnostic Procedures.

Revision 1

Cell Signaling Technology Logo
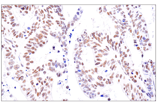
Immunohistochemical analysis of paraffin-embedded human esophageal adenocarcinoma using SETD2 (E4W8Q) Rabbit mAb (IHC Formulated).
Immunohistochemistry Image 4: SETD2 (E4W8Q) Rabbit Monoclonal Antibody (IHC Formulated)
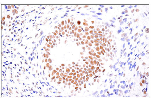
Immunohistochemical analysis of paraffin-embedded normal human uterus using SETD2 (E4W8Q) Rabbit mAb (IHC Formulated).
Immunohistochemistry Image 5: SETD2 (E4W8Q) Rabbit Monoclonal Antibody (IHC Formulated)
Immunohistochemical analysis of paraffin-embedded human ovarian clear cell carcinoma using SETD2 (E4W8Q) Rabbit mAb (IHC Formulated) (left) compared to concentration-matched Rabbit (DA1E) mAb IgG XP® Isotype Control #3900 (right).
Immunohistochemistry Image 6: SETD2 (E4W8Q) Rabbit Monoclonal Antibody (IHC Formulated)
Orders: 877-616-CELL (2355) [email protected] Support: 877-678-TECH (8324) [email protected] Web: cellsignal.com
For Research Use Only. Not for Use in Diagnostic Procedures.

Revision 1

Cell Signaling Technology Logo
Immunohistochemical analysis of paraffin-embedded mouse testis using SETD2 (E4W8Q) Rabbit mAb (IHC Formulated).
Immunohistochemistry Image 7: SETD2 (E4W8Q) Rabbit Monoclonal Antibody (IHC Formulated)
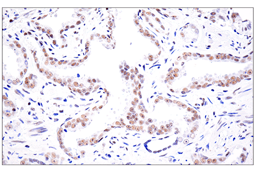
Immunohistochemical analysis of paraffin-embedded human endometrioid adenocarcinoma using SETD2 (E4W8Q) Rabbit mAb (IHC Formulated).
Immunohistochemistry Image 8: SETD2 (E4W8Q) Rabbit Monoclonal Antibody (IHC Formulated)
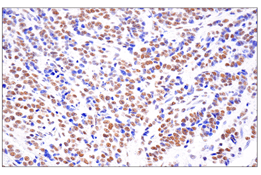
Immunohistochemical analysis of paraffin-embedded human prostate carcinoma using SETD2 (E4W8Q) Rabbit mAb (IHC Formulated).
Immunohistochemistry Image 9: SETD2 (E4W8Q) Rabbit Monoclonal Antibody (IHC Formulated)
Orders: 877-616-CELL (2355) [email protected] Support: 877-678-TECH (8324) [email protected] Web: cellsignal.com
For Research Use Only. Not for Use in Diagnostic Procedures.

Revision 1

Cell Signaling Technology Logo
Immunohistochemical analysis of paraffin-embedded mouse small intestine using SETD2 (E4W8Q) Rabbit mAb (IHC Formulated).
Immunohistochemistry Image 10: SETD2 (E4W8Q) Rabbit Monoclonal Antibody (IHC Formulated)
Confocal immunofluorescent analysis of 293T cells, either wild-type (left, high-expressing) or SETD2 knockdown (right, low-expressing), using SETD2 (E4W8Q) Rabbit mAb (IHC Formulated) (green). Actin filaments were labeled with DyLight™ 554 Phalloidin #13054 (red). Samples were mounted in ProLong® Gold Antifade Reagent with DAPI #8961 (blue).
Immunofluorescence Image 1: SETD2 (E4W8Q) Rabbit Monoclonal Antibody (IHC Formulated)
Flow cytometric analysis of 293T cells, either wild-type (green, high expression) or SETD2 knockdown (blue, low expression), using SETD2 (E4W8Q) Rabbit mAb (IHC Formulated) (solid lines) or a concentration-matched Rabbit (DA1E) mAb IgG XP® Isotype Control #3900 (dashed lines). Anti-rabbit IgG (H+L), F(ab')2 Fragment (Alexa Fluor® 488 Conjugate) #4412 was used as a secondary antibody.
Flow Cytometry Image 1: SETD2 (E4W8Q) Rabbit Monoclonal Antibody (IHC Formulated)
Orders: 877-616-CELL (2355) [email protected] Support: 877-678-TECH (8324) [email protected] Web: cellsignal.com
For Research Use Only. Not for Use in Diagnostic Procedures.