Revision 5

#3397

Store at -20C

CST Logo
Orders:

877-616-CELL (2355)

[email protected]

Support:

877-678-TECH (8324)

3 Trask Lane | Danvers | Massachusetts | 01923 | USA

For Research Use Only. Not for Use in Diagnostic Procedures.

Applications:
W, IP, IHC-P

Reactivity:
H M R Mk

Sensitivity:
Endogenous

MW (kDa):
72

Source/Isotype:
Rabbit IgG

UniProt ID:
#Q06124

Entrez-Gene Id:
5781

Product Usage Information

Application Dilution
Western Blotting 1:1000
Immunoprecipitation 1:50
Immunohistochemistry (Paraffin) 1:50

Storage

Supplied in 10 mM sodium HEPES (pH 7.5), 150 mM NaCl, 100 µg/ml BSA, 50% glycerol and less than 0.02% sodium azide. Store at –20°C. Do not aliquot the antibody.

For a carrier free (BSA and azide free) version of this product see product #31259.

Specificity/Sensitivity

SHP-2 (D50F2) Rabbit Monoclonal Antibody detects endogenous levels of total SHP-2 protein.

Source / Purification

Monoclonal antibody is produced by immunizing animals with a synthetic peptide corresponding to the carboxy-terminal sequence of human SHP-2.

Background

SHP-2 (PTPN11) is a ubiquitously expressed, nonreceptor protein tyrosine phosphatase (PTP). It participates in signaling events downstream of receptors for growth factors, cytokines, hormones, antigens, and extracellular matrices in the control of cell growth, differentiation, migration, and death (1). Activation of SHP-2 and its association with Gab1 is critical for sustained Erk activation downstream of several growth factor receptors and cytokines (2). In addition to its role in Gab1-mediated Erk activation, SHP-2 attenuates EGF-dependent PI3 kinase activation by dephosphorylating Gab1 at p85 binding sites (3). SHP-2 becomes phosphorylated at Tyr542 and Tyr580 in its carboxy terminus in response to growth factor receptor activation (4). These phosphorylation events are thought to relieve basal inhibition and stimulate SHP-2 tyrosine phosphatase activity (5). Mutations in the corresponding gene result in a pair of clinically similar disorders (Noonan syndrome and LEOPARD syndrome) that may result from abnormal MAPK regulation (6).

Species Reactivity

Species reactivity is determined by testing in at least one approved application (e.g., western blot).

Western Blot Buffer

IMPORTANT: For western blots, incubate membrane with diluted primary antibody in 5% w/v BSA, 1X TBS, 0.1% Tween® 20 at 4°C with gentle shaking, overnight.

Applications Key

W: Western Blotting IP: Immunoprecipitation IHC-P: Immunohistochemistry (Paraffin)

Cross-Reactivity Key

H: Human M: Mouse R: Rat Mk: Monkey

Trademarks and Patents

Cell Signaling Technology is a trademark of Cell Signaling Technology, Inc.

All other trademarks are the property of their respective owners. Visit cellsignal.com/trademarks for more information.

Limited Uses

Except as otherwise expressly agreed in a writing signed by a legally authorized representative of CST, the following terms apply to Products provided by CST, its affiliates or its distributors. Any Customer's terms and conditions that are in addition to, or different from, those contained herein, unless separately accepted in writing by a legally authorized representative of CST, are rejected and are of no force or effect.

Products are labeled with For Research Use Only or a similar labeling statement and have not been approved, cleared, or licensed by the FDA or other regulatory foreign or domestic entity, for any purpose. Customer shall not use any Product for any diagnostic or therapeutic purpose, or otherwise in any manner that conflicts with its labeling statement. Products sold or licensed by CST are provided for Customer as the end-user and solely for research and development uses. Any use of Product for diagnostic, prophylactic or therapeutic purposes, or any purchase of Product for resale (alone or as a component) or other commercial purpose, requires a separate license from CST. Customer shall (a) not sell, license, loan, donate or otherwise transfer or make available any Product to any third party, whether alone or in combination with other materials, or use the Products to manufacture any commercial products, (b) not copy, modify, reverse engineer, decompile, disassemble or otherwise attempt to discover the underlying structure or technology of the Products, or use the Products for the purpose of developing any products or services that would compete with CST products or services, (c) not alter or remove from the Products any trademarks, trade names, logos, patent or copyright notices or markings, (d) use the Products solely in accordance with CST Product Terms of Sale and any applicable documentation, and (e) comply with any license, terms of service or similar agreement with respect to any third party products or services used by Customer in connection with the Products.

Orders: 877-616-CELL (2355) [email protected] Support: 877-678-TECH (8324) [email protected] Web: cellsignal.com
For Research Use Only. Not for Use in Diagnostic Procedures.

Revision 5

Cell Signaling Technology Logo
Western blot analysis of extracts from control 293T cells (lane 1) or SHP-2 knockout 293T cells (lane 2) using SHP-2 (D50F2) Rabbit mAb (upper) or β-Actin (D6A8) Rabbit mAb #8457 (lower). The absence of signal in the SHP-2 knockout 293T cells confirms specificity of the antibody for SHP-2.
Western Blotting Image 1: SHP-2 (D50F2) Rabbit Monoclonal Antibody
Western blot analysis of extracts from various cell lines using SHP-2 (D50F2) Rabbit mAb.
Western Blotting Image 2: SHP-2 (D50F2) Rabbit Monoclonal Antibody
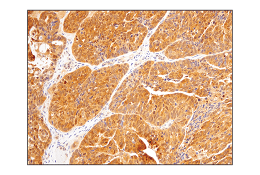
Immunohistochemical analysis of paraffin-embedded human colon carcinoma using SHP-2 (D50F2) Rabbit mAb.
Immunohistochemistry Image 1: SHP-2 (D50F2) Rabbit Monoclonal Antibody
Orders: 877-616-CELL (2355) [email protected] Support: 877-678-TECH (8324) [email protected] Web: cellsignal.com
For Research Use Only. Not for Use in Diagnostic Procedures.

Revision 5

Cell Signaling Technology Logo
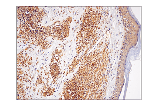
Immunohistochemical analysis of paraffin-embedded human melanoma using SHP-2 (D50F2) Rabbit mAb.
Immunohistochemistry Image 2: SHP-2 (D50F2) Rabbit Monoclonal Antibody
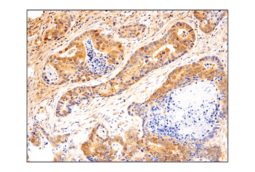
Immunohistochemical analysis of paraffin-embedded human endometrioid adenocarcinoma using SHP-2 (D50F2) Rabbit mAb.
Immunohistochemistry Image 3: SHP-2 (D50F2) Rabbit Monoclonal Antibody
Immunohistochemical analysis of paraffin-embedded mouse ovary using SHP-2 (D50F2) Rabbit mAb.
Immunohistochemistry Image 4: SHP-2 (D50F2) Rabbit Monoclonal Antibody
Orders: 877-616-CELL (2355) [email protected] Support: 877-678-TECH (8324) [email protected] Web: cellsignal.com
For Research Use Only. Not for Use in Diagnostic Procedures.

Revision 5

Cell Signaling Technology Logo
Immunohistochemical analysis of paraffin-embedded human breast carcinoma using SHP-2 (D50F2) Rabbit mAb (left) or SHP-2 Antibody (right). These two antibodies detect independent, unique epitopes on human SHP-2. The similar staining patterns obtained with both antibodies help to confirm the specificity of the staining.
Immunohistochemistry Image 5: SHP-2 (D50F2) Rabbit Monoclonal Antibody
Immunohistochemical analysis of paraffin-embedded K-562 cell pellet (left, high-expressing) or Saos-2 cell pellet (right, low-expressing) using SHP-2 (D50F2) Rabbit mAb.
Immunohistochemistry Image 6: SHP-2 (D50F2) Rabbit Monoclonal Antibody
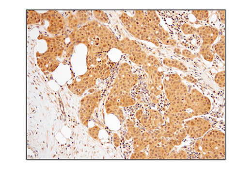
Immunohistochemical analysis of paraffin-embedded human breast carcinoma using SHP-2 (D50F2) Rabbit mAb.
Immunohistochemistry Image 7: SHP-2 (D50F2) Rabbit Monoclonal Antibody
Orders: 877-616-CELL (2355) [email protected] Support: 877-678-TECH (8324) [email protected] Web: cellsignal.com
For Research Use Only. Not for Use in Diagnostic Procedures.