Revision 1

#94578

Store at -20C

CST Logo
Orders:

877-616-CELL (2355)

[email protected]

Support:

877-678-TECH (8324)

3 Trask Lane | Danvers | Massachusetts | 01923 | USA

For Research Use Only. Not for Use in Diagnostic Procedures.

Applications:
W, IHC-P

Reactivity:
M

Sensitivity:
Endogenous

MW (kDa):
220

Source/Isotype:
Rabbit IgG

UniProt ID:
#Q62230

Entrez-Gene Id:
20612

Product Usage Information

This product is the carrier free version of product #82470. All data were generated using the same antibody clone in the standard formulation which contains BSA and glycerol.

This formulation is ideal for use with technologies requiring specialized or custom antibody labeling, including fluorophores, metals, lanthanides, and oligonucleotides. It is not recommended for ChIP, ChIP-seq, CUT&RUN or CUT&Tag assays. If you require a carrier free formulation for chromatin profiling, please contact us. Optimal dilutions/concentrations should be determined by the end user.

BSA and Azide Free antibodies are quality control tested by size exclusion chromatography (SEC) to determine antibody integrity.

Formulation

Supplied in 1X PBS (10 mM Na2HPO4, 3 mM KCl, 2 mM KH2PO4, and 140 mM NaCl (pH 7.8)). BSA and Azide Free.

For standard formulation of this product see product #82470

Storage

Store at -20°C. This product will freeze at -20°C so it is recommended to aliquot into single-use vials to avoid multiple freeze/thaw cycles. A slight precipitate may be present and can be dissolved by gently vortexing. This will not interfere with antibody performance.

Specificity/Sensitivity

Siglec-1/CD169 (E1D7G) Rabbit Monoclonal Antibody (BSA and Azide Free) recognizes endogenous levels of total Siglec-1/CD169 protein. This antibody does not cross-react with human Siglec-1/CD169 protein. Non-specific staining was observed in mouse pancreas and testis by immunohistochemistry.

Source / Purification

Monoclonal antibody is produced by immunizing animals with a synthetic peptide corresponding to residues surrounding Pro1229 of mouse Siglec-1/CD169 protein.

Background

Sialic acid-binding Ig-like lectin 1 (Siglec-1/CD169) is a type-I transmembrane glycoprotein and a member of the siglec family of sialic acid-binding proteins. Structurally, Siglec-1 contains a heavily glycosylated extracellular domain and a short intracellular domain with no canonical signaling motifs (1). Expression of Siglec-1 is largely restricted to tissue-resident macrophages found in the bone marrow, liver, spleen, and lymph nodes. Research studies have shown that Siglec-1 is an adhesion molecule and binds to sialylated glycoconjugates to facilitate cell-cell and cell-matrix interactions (2-4). Siglec-1 has also been shown to facilitate the host innate immune response by binding to sialylated epitopes on the surface of viral and bacterial pathogens prior to initiating their phagocytosis (5,6). In the context of cancer, Siglec-1 has been shown to serve as a marker for subsets of proinflammatory macrophages in the tumor microenvironment that aid in the anti-tumor response by phagocytosing tumor cells and recruiting cytotoxic lymphocytes (7).

Species Reactivity

Species reactivity is determined by testing in at least one approved application (e.g., western blot).

Applications Key

W: Western Blotting IHC-P: Immunohistochemistry (Paraffin)

Cross-Reactivity Key

M: Mouse

Trademarks and Patents

Cell Signaling Technology is a trademark of Cell Signaling Technology, Inc.

All other trademarks are the property of their respective owners. Visit cellsignal.com/trademarks for more information.

Limited Uses

Except as otherwise expressly agreed in a writing signed by a legally authorized representative of CST, the following terms apply to Products provided by CST, its affiliates or its distributors. Any Customer's terms and conditions that are in addition to, or different from, those contained herein, unless separately accepted in writing by a legally authorized representative of CST, are rejected and are of no force or effect.

Products are labeled with For Research Use Only or a similar labeling statement and have not been approved, cleared, or licensed by the FDA or other regulatory foreign or domestic entity, for any purpose. Customer shall not use any Product for any diagnostic or therapeutic purpose, or otherwise in any manner that conflicts with its labeling statement. Products sold or licensed by CST are provided for Customer as the end-user and solely for research and development uses. Any use of Product for diagnostic, prophylactic or therapeutic purposes, or any purchase of Product for resale (alone or as a component) or other commercial purpose, requires a separate license from CST. Customer shall (a) not sell, license, loan, donate or otherwise transfer or make available any Product to any third party, whether alone or in combination with other materials, or use the Products to manufacture any commercial products, (b) not copy, modify, reverse engineer, decompile, disassemble or otherwise attempt to discover the underlying structure or technology of the Products, or use the Products for the purpose of developing any products or services that would compete with CST products or services, (c) not alter or remove from the Products any trademarks, trade names, logos, patent or copyright notices or markings, (d) use the Products solely in accordance with CST Product Terms of Sale and any applicable documentation, and (e) comply with any license, terms of service or similar agreement with respect to any third party products or services used by Customer in connection with the Products.

Orders: 877-616-CELL (2355) [email protected] Support: 877-678-TECH (8324) [email protected] Web: cellsignal.com
For Research Use Only. Not for Use in Diagnostic Procedures.

Revision 1

Cell Signaling Technology Logo
Western blot analysis of extracts from mouse bone marrow-derived macrophages, untreated (-) or treated with PNGase F (+), using Siglec-1/CD169 (E1D7G) Rabbit mAb (upper) or β-Actin (D6A8) Rabbit mAb #8457 (lower). Data were generated using the standard formulation of this product.
Western Blotting Image 1: Siglec-1/CD169 (E1D7G) Rabbit Monoclonal Antibody (BSA and Azide Free)
Western blot analysis of extracts from 293T cells, mock transfected (-) or transfected with constructs expressing Myc/DDK-tagged full-length human Siglec-1/CD169 protein (hSiglec-1/CD169-Myc/DDK; +) and Myc/DDK-tagged full-length mouse Siglec-1/CD169 protein (mSiglec-1/CD169-Myc/DDK; +), using Siglec-1/CD169 (E1D7G) Rabbit mAb (upper), Myc-Tag (71D10) Rabbit mAb #2278 (middle), or β-Actin (D6A8) Rabbit mAb #8457 (lower). Data were generated using the standard formulation of this product.
Western Blotting Image 2: Siglec-1/CD169 (E1D7G) Rabbit Monoclonal Antibody (BSA and Azide Free)
Western blot analysis of extracts from RAW 264.7 cells, untreated (-) or treated with Lipopolysaccharides (LPS) #14011 (1 μg/mL, 24 hr; +), using Siglec-1/CD169 (E1D7G) Rabbit mAb (upper) or α-Actinin (D6F6) XP® Rabbit mAb #6487 (lower). Induction of Siglec-1/CD169 protein by LPS is consistent with published observations. Data were generated using the standard formulation of this product.
Western Blotting Image 3: Siglec-1/CD169 (E1D7G) Rabbit Monoclonal Antibody (BSA and Azide Free)
Orders: 877-616-CELL (2355) [email protected] Support: 877-678-TECH (8324) [email protected] Web: cellsignal.com
For Research Use Only. Not for Use in Diagnostic Procedures.

Revision 1

Cell Signaling Technology Logo
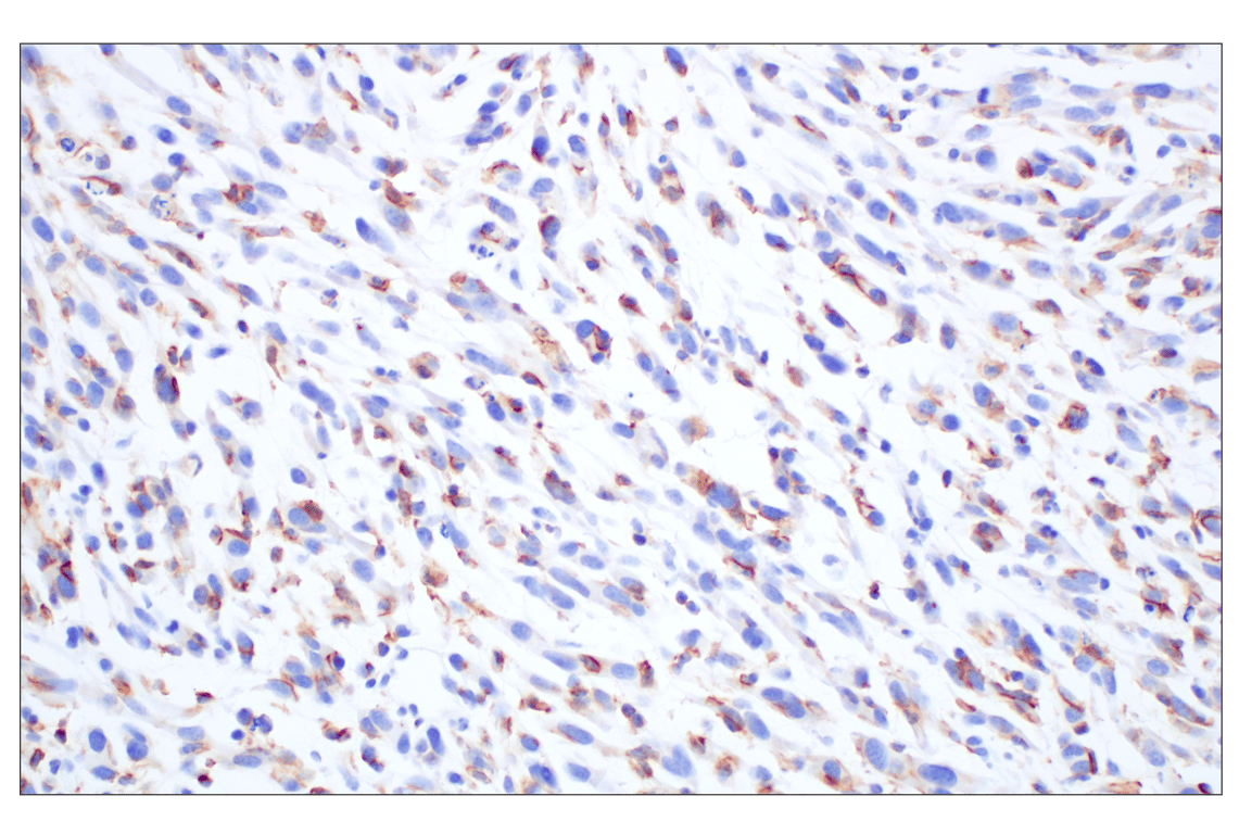
Immunohistochemical analysis of paraffin-embedded CT26.WT syngeneic tumor and surrounding stroma using Siglec-1/CD169 (E1D7G) Rabbit mAb. Data were generated using the standard formulation of this product.
Immunohistochemistry Image 1: Siglec-1/CD169 (E1D7G) Rabbit Monoclonal Antibody (BSA and Azide Free)
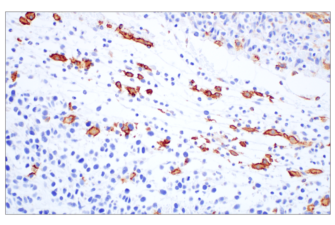
Immunohistochemical analysis of paraffin-embedded MC38 syngeneic tumor using Siglec-1/CD169 (E1D7G) Rabbit mAb. Data were generated using the standard formulation of this product.
Immunohistochemistry Image 2: Siglec-1/CD169 (E1D7G) Rabbit Monoclonal Antibody (BSA and Azide Free)
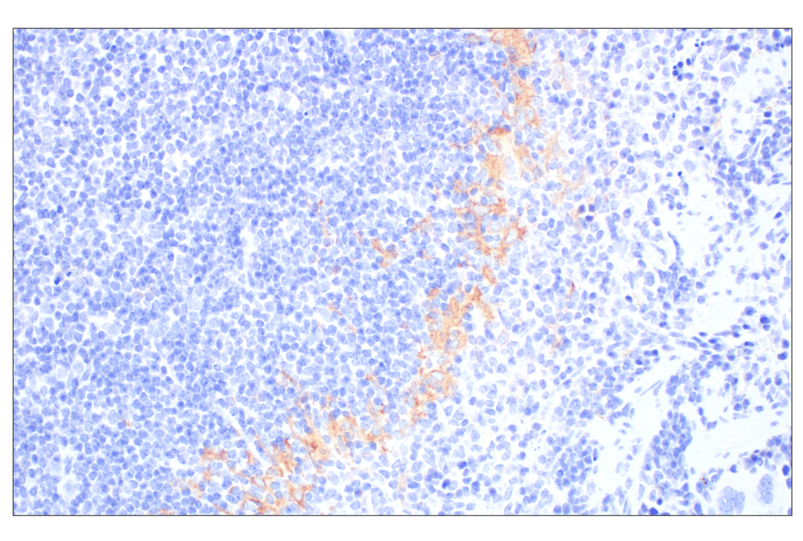
Immunohistochemical analysis of paraffin-embedded mouse thymus using Siglec-1/CD169 (E1D7G) Rabbit mAb. Data were generated using the standard formulation of this product.
Immunohistochemistry Image 3: Siglec-1/CD169 (E1D7G) Rabbit Monoclonal Antibody (BSA and Azide Free)
Orders: 877-616-CELL (2355) [email protected] Support: 877-678-TECH (8324) [email protected] Web: cellsignal.com
For Research Use Only. Not for Use in Diagnostic Procedures.

Revision 1

Cell Signaling Technology Logo
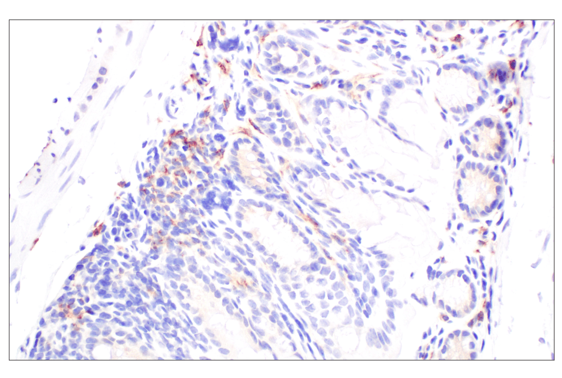
Immunohistochemical analysis of paraffin-embedded mouse colon using Siglec-1/CD169 (E1D7G) Rabbit mAb. Data were generated using the standard formulation of this product.
Immunohistochemistry Image 4: Siglec-1/CD169 (E1D7G) Rabbit Monoclonal Antibody (BSA and Azide Free)
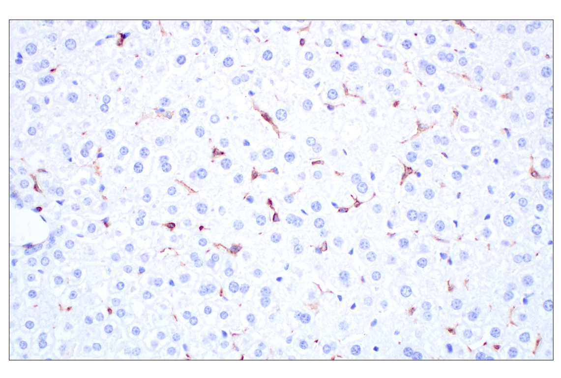
Immunohistochemical analysis of paraffin-embedded mouse liver using Siglec-1/CD169 (E1D7G) Rabbit mAb. Data were generated using the standard formulation of this product.
Immunohistochemistry Image 5: Siglec-1/CD169 (E1D7G) Rabbit Monoclonal Antibody (BSA and Azide Free)
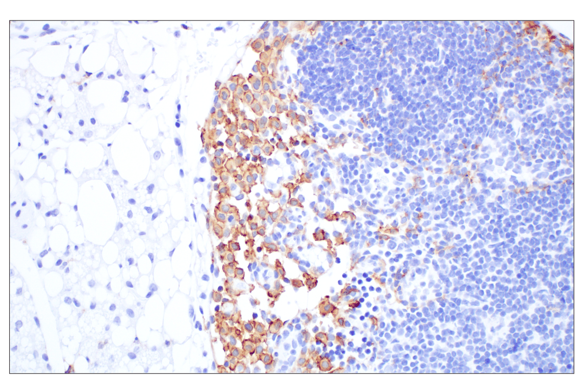
Immunohistochemical analysis of paraffin-embedded mouse spleen using Siglec-1/CD169 (E1D7G) Rabbit mAb. Data were generated using the standard formulation of this product.
Immunohistochemistry Image 6: Siglec-1/CD169 (E1D7G) Rabbit Monoclonal Antibody (BSA and Azide Free)
Orders: 877-616-CELL (2355) [email protected] Support: 877-678-TECH (8324) [email protected] Web: cellsignal.com
For Research Use Only. Not for Use in Diagnostic Procedures.

Revision 1

Cell Signaling Technology Logo
Immunohistochemical analysis of paraffin-embedded mouse lung using Siglec-1/CD169 (E1D7G) Rabbit mAb. Data were generated using the standard formulation of this product.
Immunohistochemistry Image 7: Siglec-1/CD169 (E1D7G) Rabbit Monoclonal Antibody (BSA and Azide Free)
Immunohistochemical analysis of paraffin-embedded CT26.WT syngeneic tumor using Siglec-1/CD169 (E1D7G) Rabbit mAb (left) compared to concentration-matched Rabbit (DA1E) mAb IgG XP® Isotype Control #3900 (right). Data were generated using the standard formulation of this product.
Immunohistochemistry Image 8: Siglec-1/CD169 (E1D7G) Rabbit Monoclonal Antibody (BSA and Azide Free)
Immunohistochemical analysis of paraffin-embedded mouse bone marrow-derived macrophages (left, positive) or C2C12 cell pellet (right, negative) using Siglec-1/CD169 (E1D7G) Rabbit mAb. Data were generated using the standard formulation of this product.
Immunohistochemistry Image 9: Siglec-1/CD169 (E1D7G) Rabbit Monoclonal Antibody (BSA and Azide Free)
Orders: 877-616-CELL (2355) [email protected] Support: 877-678-TECH (8324) [email protected] Web: cellsignal.com
For Research Use Only. Not for Use in Diagnostic Procedures.