Revision 5

#13379

Store at -20C

CST Logo
Orders:

877-616-CELL (2355)

[email protected]

Support:

877-678-TECH (8324)

3 Trask Lane | Danvers | Massachusetts | 01923 | USA

For Research Use Only. Not for Use in Diagnostic Procedures.

Applications:
W, IHC-Bond, IHC-P, IF-IC, FC-FP

Reactivity:
H M R Mk

Sensitivity:
Endogenous

MW (kDa):
85 (human, monkey), 100 (rat), 120 (murine isoform 1), 55 (murine isoform 2)

Source/Isotype:
Rabbit IgG

UniProt ID:
#P78324

Entrez-Gene Id:
140885

Product Usage Information

Application Dilution
Western Blotting 1:1000
IHC Leica Bond 1:50 - 1:200
Immunohistochemistry (Paraffin) 1:50 - 1:100
Immunofluorescence (Immunocytochemistry) 1:50 - 1:100
Flow Cytometry (Fixed/Permeabilized) 1:50 - 1:200

Storage

Supplied in 10 mM sodium HEPES (pH 7.5), 150 mM NaCl, 100 µg/ml BSA, 50% glycerol and less than 0.02% sodium azide. Store at –20°C. Do not aliquot the antibody.

For a carrier free (BSA and azide free) version of this product see product #47027.

Specificity/Sensitivity

SIRP alpha/SHPS1 (D6I3M) Rabbit Monoclonal Antibody recognizes endogenous levels of total SHPS1 protein. This antibody recognizes both large and small isoforms of murine mSHPS1/SIRPα.

Source / Purification

Monoclonal antibody is produced by immunizing animals with a synthetic peptide corresponding to residues surrounding Pro413 of human SIRPα/SHPS1 protein.

Background

SHP-substrate 1 (SHPS1, SIRPα) is a single-pass membrane protein and member of both the immunoglobulin superfamily and the signal regulatory protein (SIRP) family. Following growth hormone stimulation or integrin binding, SHPS1 is phosphorylated at several tyrosine residues within its cytoplasmic tail. These phosphorylation events promote association between SHPS1 and multiple signaling proteins, including SHP-1, SHP-2, Grb2 and Shc via their SH2 domains (1-4). Recruitment of SHP-1 and SHP-2 results in SHPS1 dephosphorylation and suppression of tyrosine kinase signaling (1-3,5). The tyrosine kinase JAK2 associates with SHPS1 via its carboxy terminus and phosphorylates SHPS1 in response to extracellular stimuli (5). Research studies show that Src associates with and may phosphorylate SHPS1 in response to insulin (4). In macrophages, SHPS1 can form a complex with the Src pathway adaptor protein SKAP2, Fyn-binding protein FYB, and the tyrosine kinase PYK2 (6). The SHPS1 extracellular domain contains at least three IgG-like domains that interact with CD47, a ubiquitously expressed, integrin-associated protein that acts as a repressive cue in both immune and neuronal cells (7,8). The interaction between CD47 and SHPS1 on opposing cells can inhibit cellular migration (9), promote "tethering" between macrophages and target cells during engulfment (10), facilitate self versus non-self recognition (11), and maintain immune homeostasis (12). SHPS1 plays a critical role in modulating the immune response and inflammation, and may play a role in neuronal development (13,14). The interaction between SHPS1 and CD47 may be an exploitable target in cancer therapy (15-17).

Species Reactivity

Species reactivity is determined by testing in at least one approved application (e.g., western blot).

Western Blot Buffer

IMPORTANT: For western blots, incubate membrane with diluted primary antibody in 5% w/v BSA, 1X TBS, 0.1% Tween® 20 at 4°C with gentle shaking, overnight.

Applications Key

W: Western Blotting IHC-Bond: IHC Leica Bond IHC-P: Immunohistochemistry (Paraffin) IF-IC: Immunofluorescence (Immunocytochemistry) FC-FP: Flow Cytometry (Fixed/Permeabilized)

Cross-Reactivity Key

H: Human M: Mouse R: Rat Mk: Monkey

Trademarks and Patents

Cell Signaling Technology is a trademark of Cell Signaling Technology, Inc.

All other trademarks are the property of their respective owners. Visit cellsignal.com/trademarks for more information.

Limited Uses

Except as otherwise expressly agreed in a writing signed by a legally authorized representative of CST, the following terms apply to Products provided by CST, its affiliates or its distributors. Any Customer's terms and conditions that are in addition to, or different from, those contained herein, unless separately accepted in writing by a legally authorized representative of CST, are rejected and are of no force or effect.

Products are labeled with For Research Use Only or a similar labeling statement and have not been approved, cleared, or licensed by the FDA or other regulatory foreign or domestic entity, for any purpose. Customer shall not use any Product for any diagnostic or therapeutic purpose, or otherwise in any manner that conflicts with its labeling statement. Products sold or licensed by CST are provided for Customer as the end-user and solely for research and development uses. Any use of Product for diagnostic, prophylactic or therapeutic purposes, or any purchase of Product for resale (alone or as a component) or other commercial purpose, requires a separate license from CST. Customer shall (a) not sell, license, loan, donate or otherwise transfer or make available any Product to any third party, whether alone or in combination with other materials, or use the Products to manufacture any commercial products, (b) not copy, modify, reverse engineer, decompile, disassemble or otherwise attempt to discover the underlying structure or technology of the Products, or use the Products for the purpose of developing any products or services that would compete with CST products or services, (c) not alter or remove from the Products any trademarks, trade names, logos, patent or copyright notices or markings, (d) use the Products solely in accordance with CST Product Terms of Sale and any applicable documentation, and (e) comply with any license, terms of service or similar agreement with respect to any third party products or services used by Customer in connection with the Products.

Orders: 877-616-CELL (2355) [email protected] Support: 877-678-TECH (8324) [email protected] Web: cellsignal.com
For Research Use Only. Not for Use in Diagnostic Procedures.

Revision 5

Cell Signaling Technology Logo
Western blot analysis of extracts from various cell lines using SIRPα/SHPS1 (D6I3M) Rabbit mAb (upper) and GAPDH (D16H11) XP® Rabbit mAb #5174 (lower).
Western Blotting Image 1: SIRP alpha/SHPS1 (D6I3M) Rabbit Monoclonal Antibody
Immunohistochemical analysis of paraffin-embedded breast ductal carcinoma using SIRPa/SHPS1 (D6I3M) Rabbit mAb performed on the Leica® BOND™ Rx.
Immunohistochemistry Image 1: SIRP alpha/SHPS1 (D6I3M) Rabbit Monoclonal Antibody
Immunohistochemical analysis of paraffin-embedded mouse lung using SIRPa/SHPS1 (D6I3M) Rabbit mAb performed on the Leica® BOND™ Rx.
Immunohistochemistry Image 2: SIRP alpha/SHPS1 (D6I3M) Rabbit Monoclonal Antibody
Orders: 877-616-CELL (2355) [email protected] Support: 877-678-TECH (8324) [email protected] Web: cellsignal.com
For Research Use Only. Not for Use in Diagnostic Procedures.

Revision 5

Cell Signaling Technology Logo
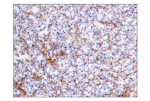
Immunohistochemical analysis of paraffin-embedded mouse spleen using SIRPa/SHPS1 (D6I3M) Rabbit mAb performed on the Leica® BOND™ Rx.
Immunohistochemistry Image 3: SIRP alpha/SHPS1 (D6I3M) Rabbit Monoclonal Antibody
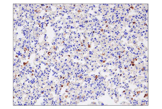
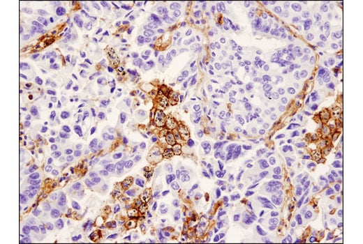
Immunohistochemical analysis of paraffin-embedded human lung carcinoma using SIRPα/SHPS1 (D6I3M) Rabbit mAb.
Immunohistochemistry Image 1: SIRP alpha/SHPS1 (D6I3M) Rabbit Monoclonal Antibody
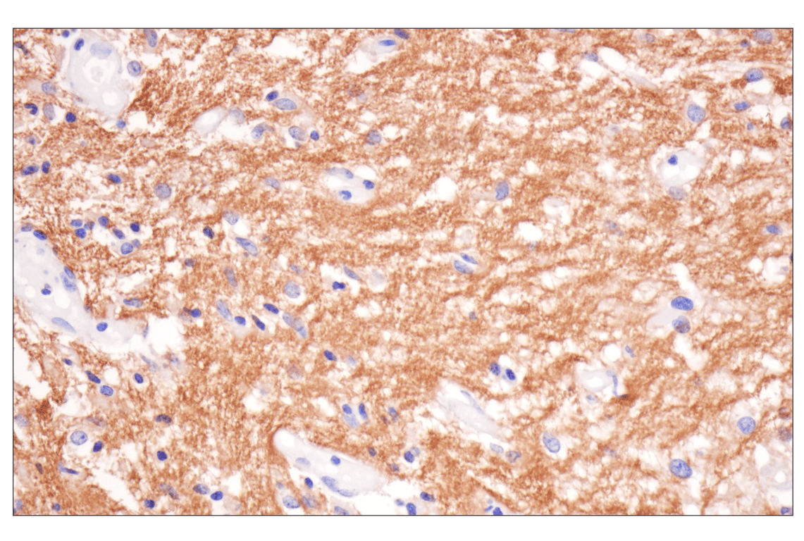
Immunohistochemical analysis of paraffin-embedded normal human brain using SIRPa/SHPS1 (D6I3M) Rabbit mAb.
Immunohistochemistry Image 2: SIRP alpha/SHPS1 (D6I3M) Rabbit Monoclonal Antibody
Orders: 877-616-CELL (2355) [email protected] Support: 877-678-TECH (8324) [email protected] Web: cellsignal.com
For Research Use Only. Not for Use in Diagnostic Procedures.

Revision 5

Cell Signaling Technology Logo
Immunohistochemical analysis of paraffin-embedded normal human spleen using SIRPa/SHPS1 (D6I3M) Rabbit mAb.
Immunohistochemistry Image 3: SIRP alpha/SHPS1 (D6I3M) Rabbit Monoclonal Antibody
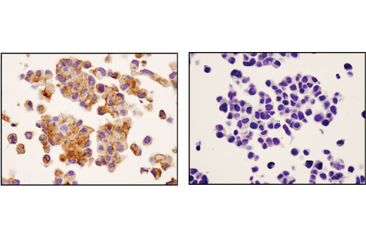
Immunohistochemical analysis of paraffin-embedded ACHN (left) or MCF7 (right) cell pellets using SIRPα/SHPS1 (D6I3M) Rabbit mAb.
Immunohistochemistry Image 4: SIRP alpha/SHPS1 (D6I3M) Rabbit Monoclonal Antibody
Confocal immunofluorescent analysis of ACHN (positive, left) and MCF7 (low expression, right) cells, using SIRPα/SHPS1 (D6I3M) Rabbit mAb (green). Blue pseudocolor= DRAQ5® #4084 (fluorescent DNA dye).
Immunofluorescence Image 1: SIRP alpha/SHPS1 (D6I3M) Rabbit Monoclonal Antibody
Orders: 877-616-CELL (2355) [email protected] Support: 877-678-TECH (8324) [email protected] Web: cellsignal.com
For Research Use Only. Not for Use in Diagnostic Procedures.

Revision 5

Cell Signaling Technology Logo
Flow cytometric analysis of fixed and permeabilized Jurkat cells (blue, negative) and U937 cells (green, positive) using SIRPα/SHPS1 (D6I3M) Rabbit mAb (solid lines) or a concentration-matched Rabbit (DA1E) mAb IgG XP® Isotype Control #3900 (dashed lines). Anti-rabbit IgG (H+L), F(ab')2 Fragment (Alexa Fluor® 488 Conjugate) #4412 was used as a secondary antibody.
Flow Cytometry Image 1: SIRP alpha/SHPS1 (D6I3M) Rabbit Monoclonal Antibody
Orders: 877-616-CELL (2355) [email protected] Support: 877-678-TECH (8324) [email protected] Web: cellsignal.com
For Research Use Only. Not for Use in Diagnostic Procedures.