Revision 6

#8469

Store at -20C

CST Logo
Orders:

877-616-CELL (2355)

[email protected]

Support:

877-678-TECH (8324)

3 Trask Lane | Danvers | Massachusetts | 01923 | USA

For Research Use Only. Not for Use in Diagnostic Procedures.

Applications:
W, IP, IHC-P, IF-IC

Reactivity:
H M R Mk

Sensitivity:
Endogenous

MW (kDa):
120

Source/Isotype:
Mouse IgG1

UniProt ID:
#Q96EB6

Entrez-Gene Id:
23411

Product Usage Information

Application Dilution
Western Blotting 1:1000
Immunoprecipitation 1:100
Immunohistochemistry (Paraffin) 1:200 - 1:800
Immunofluorescence (Immunocytochemistry) 1:100

Storage

Supplied in 10 mM sodium HEPES (pH 7.5), 150 mM NaCl, 100 µg/ml BSA, 50% glycerol and less than 0.02% sodium azide. Store at –20°C. Do not aliquot the antibody.

For a carrier free (BSA and azide free) version of this product see product #94642.

Specificity/Sensitivity

SirT1 (1F3) Mouse Monoclonal Antibody recognizes endogenous levels of total SirT1 protein.

Source / Purification

Monoclonal antibody is produced by immunizing animals with a recombinant protein representing the central region of human SirT1 protein.

Background

The Silent Information Regulator (SIR2) family of genes is a highly conserved group of genes that encode nicotinamide adenine dinucleotide (NAD)-dependent protein deacetylases, also known as class III histone deacetylases. The first discovered and best characterized of these genes is Saccharomyces cerevisiae SIR2, which is involved in silencing of mating type loci, telomere maintenance, DNA damage response, and cell aging (1). SirT1, the mammalian ortholog of Sir2, is a nuclear protein implicated in the regulation of many cellular processes, including apoptosis, cellular senescence, endocrine signaling, glucose homeostasis, aging, and longevity. Targets of SirT1 include acetylated p53 (2,3), p300 (4), Ku70 (5), forkhead (FoxO) transcription factors (5,6), PPARγ (7), and the PPARγ coactivator-1α (PGC-1α) protein (8). Deacetylation of p53 and FoxO transcription factors represses apoptosis and increases cell survival (2,3,5,6). Deacetylation of PPARγ and PGC-1α regulates the gluconeogenic/glycolytic pathways in the liver and fat mobilization in white adipocytes in response to fasting (7,8). SirT1 deacetylase activity is inhibited by nicotinamide and activated by resveratrol. In addition, SirT1 activity may be regulated by phosphorylation, as it is phosphorylated at Ser27 and Ser47 in vivo; however, the function of these phosphorylation sites has not yet been determined (9).

Species Reactivity

Species reactivity is determined by testing in at least one approved application (e.g., western blot).

Western Blot Buffer

IMPORTANT: For western blots, incubate membrane with diluted primary antibody in 5% w/v nonfat dry milk, 1X TBS, 0.1% Tween® 20 at 4°C with gentle shaking, overnight.

Applications Key

W: Western Blotting IP: Immunoprecipitation IHC-P: Immunohistochemistry (Paraffin) IF-IC: Immunofluorescence (Immunocytochemistry)

Cross-Reactivity Key

H: Human M: Mouse R: Rat Mk: Monkey

Trademarks and Patents

Cell Signaling Technology is a trademark of Cell Signaling Technology, Inc.

All other trademarks are the property of their respective owners. Visit cellsignal.com/trademarks for more information.

Limited Uses

Except as otherwise expressly agreed in a writing signed by a legally authorized representative of CST, the following terms apply to Products provided by CST, its affiliates or its distributors. Any Customer's terms and conditions that are in addition to, or different from, those contained herein, unless separately accepted in writing by a legally authorized representative of CST, are rejected and are of no force or effect.

Products are labeled with For Research Use Only or a similar labeling statement and have not been approved, cleared, or licensed by the FDA or other regulatory foreign or domestic entity, for any purpose. Customer shall not use any Product for any diagnostic or therapeutic purpose, or otherwise in any manner that conflicts with its labeling statement. Products sold or licensed by CST are provided for Customer as the end-user and solely for research and development uses. Any use of Product for diagnostic, prophylactic or therapeutic purposes, or any purchase of Product for resale (alone or as a component) or other commercial purpose, requires a separate license from CST. Customer shall (a) not sell, license, loan, donate or otherwise transfer or make available any Product to any third party, whether alone or in combination with other materials, or use the Products to manufacture any commercial products, (b) not copy, modify, reverse engineer, decompile, disassemble or otherwise attempt to discover the underlying structure or technology of the Products, or use the Products for the purpose of developing any products or services that would compete with CST products or services, (c) not alter or remove from the Products any trademarks, trade names, logos, patent or copyright notices or markings, (d) use the Products solely in accordance with CST Product Terms of Sale and any applicable documentation, and (e) comply with any license, terms of service or similar agreement with respect to any third party products or services used by Customer in connection with the Products.

Orders: 877-616-CELL (2355) [email protected] Support: 877-678-TECH (8324) [email protected] Web: cellsignal.com
For Research Use Only. Not for Use in Diagnostic Procedures.

Revision 6

Cell Signaling Technology Logo
Western blot analysis from wild-type mouse embryo fibroblasts (MEF) (lane 1) or SirT1 knockout mouse embryo fibroblasts (MEF) (lane 2) using SirT1 (1F3) Mouse mAb (upper) and β-Actin (D6A8) Rabbit mAb #8457 (lower). The absence of signal in the SirT1 knockout mouse embryo fibroblasts (MEF) confirms specificity of the antibody for SirT1. Wild-type and knockout MEFs were a gift from Wenyi Wei at the Harvard Medical School.
Western Blotting Image 1: SirT1 (1F3) Mouse Monoclonal Antibody
Western blot analysis of extracts from various cell lines using SirT1 (1F3) Mouse mAb.
Western Blotting Image 2: SirT1 (1F3) Mouse Monoclonal Antibody
Immunohistochemical analysis of paraffin-embedded human salivary gland small cell carcinoma using SirT1 (1F3) Mouse mAb (left) compared to concentration-matched Mouse (G3A1) mAb IgG1 Isotype Control #5415 (right).
Immunohistochemistry Image 1: SirT1 (1F3) Mouse Monoclonal Antibody
Orders: 877-616-CELL (2355) [email protected] Support: 877-678-TECH (8324) [email protected] Web: cellsignal.com
For Research Use Only. Not for Use in Diagnostic Procedures.

Revision 6

Cell Signaling Technology Logo
Immunohistochemical analysis of paraffin-embedded human ductal breast carcinoma using SirT1 (1F3) Mouse mAb.
Immunohistochemistry Image 2: SirT1 (1F3) Mouse Monoclonal Antibody
Immunohistochemical analysis of paraffin-embedded normal human parathyroid using SirT1 (1F3) Mouse mAb.
Immunohistochemistry Image 3: SirT1 (1F3) Mouse Monoclonal Antibody
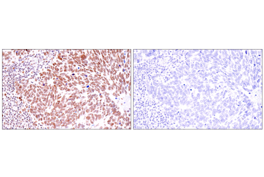
Immunohistochemical analysis of paraffin-embedded HCT116 cell pellet, wild-type (left, positive) or SirT1 knockout (right, negative), using SirT1 (1F3) Mouse mAb.
Immunohistochemistry Image 4: SirT1 (1F3) Mouse Monoclonal Antibody
Orders: 877-616-CELL (2355) [email protected] Support: 877-678-TECH (8324) [email protected] Web: cellsignal.com
For Research Use Only. Not for Use in Diagnostic Procedures.

Revision 6

Cell Signaling Technology Logo
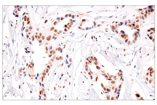
Immunohistochemical analysis of paraffin-embedded human colon carcinoma using SirT1 (1F3) Mouse mAb.
Immunohistochemistry Image 5: SirT1 (1F3) Mouse Monoclonal Antibody
Immunohistochemical analysis of paraffin-embedded human non-small cell lung carcinoma using SirT1 (1F3) Mouse mAb.
Immunohistochemistry Image 6: SirT1 (1F3) Mouse Monoclonal Antibody
Immunohistochemical analysis of paraffin-embedded human lung adenocarcinoma using SirT1 (1F3) Mouse mAb.
Immunohistochemistry Image 7: SirT1 (1F3) Mouse Monoclonal Antibody
Orders: 877-616-CELL (2355) [email protected] Support: 877-678-TECH (8324) [email protected] Web: cellsignal.com
For Research Use Only. Not for Use in Diagnostic Procedures.

Revision 6

Cell Signaling Technology Logo
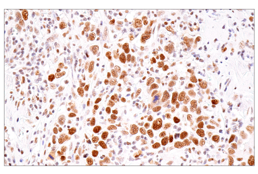
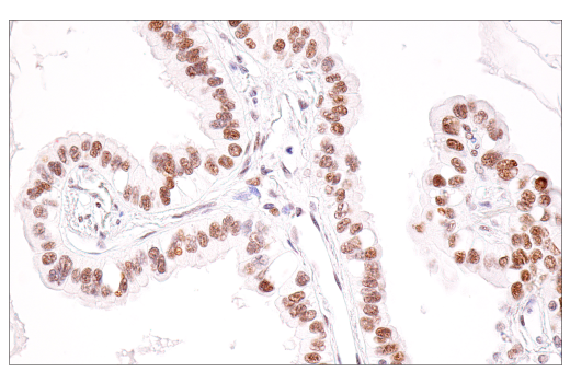
Immunohistochemical analysis of paraffin-embedded human endometrioid adenocarcinoma using SirT1 (1F3) Mouse mAb.
Immunohistochemistry Image 8: SirT1 (1F3) Mouse Monoclonal Antibody
Immunohistochemical analysis of paraffin-embedded human prostate carcinoma using SirT1 (1F3) Mouse mAb.
Immunohistochemistry Image 9: SirT1 (1F3) Mouse Monoclonal Antibody
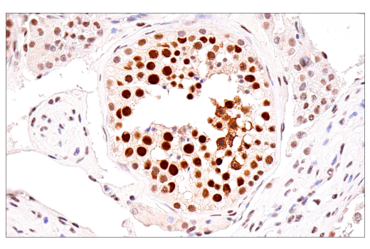
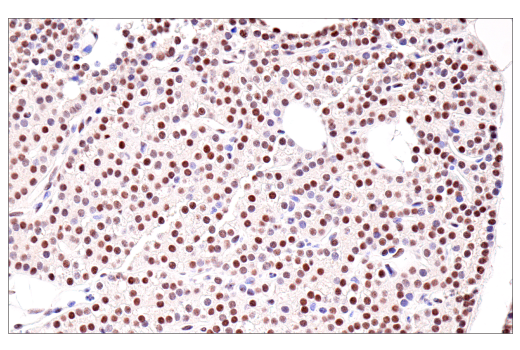
Immunohistochemical analysis of paraffin-embedded normal human testis using SirT1 (1F3) Mouse mAb.
Immunohistochemistry Image 10: SirT1 (1F3) Mouse Monoclonal Antibody
Orders: 877-616-CELL (2355) [email protected] Support: 877-678-TECH (8324) [email protected] Web: cellsignal.com
For Research Use Only. Not for Use in Diagnostic Procedures.

Revision 6

Cell Signaling Technology Logo
Confocal immunofluorescent analysis of MEF WT (left, positive) and MEF SirT1 KO (right, negative) cells usingSirT1 (1F3) Mouse mAb (green). Actin filaments were labeled with DY-554 phalloidin (red). Wild-type and knockout MEFs were a gift from Wenyi Wei at the Harvard Medical School.
Immunofluorescence Image 1: SirT1 (1F3) Mouse Monoclonal Antibody
Confocal immunofluorescent analysis of HeLa (left) and C2C12 (right) cells using SirT1 (1F3) Mouse mAb (green). Actin filaments were labeled with DY-554 phalloidin (red).
Immunofluorescence Image 2: SirT1 (1F3) Mouse Monoclonal Antibody
Orders: 877-616-CELL (2355) [email protected] Support: 877-678-TECH (8324) [email protected] Web: cellsignal.com
For Research Use Only. Not for Use in Diagnostic Procedures.