Revision 4

#2627

Store at -20C

CST Logo
Orders:

877-616-CELL (2355)

[email protected]

Support:

877-678-TECH (8324)

3 Trask Lane | Danvers | Massachusetts | 01923 | USA

For Research Use Only. Not for Use in Diagnostic Procedures.

Applications:
W, IP, IHC-P

Reactivity:
H R Mk

Sensitivity:
Endogenous

MW (kDa):
28

Source/Isotype:
Rabbit IgG

UniProt ID:
#Q9NTG7

Entrez-Gene Id:
23410

Product Usage Information

Application Dilution
Western Blotting 1:1000
Immunoprecipitation 1:50
Immunohistochemistry (Paraffin) 1:200

Storage

Supplied in 10 mM sodium HEPES (pH 7.5), 150 mM NaCl, 100 µg/ml BSA, 50% glycerol and less than 0.02% sodium azide. Store at –20°C. Do not aliquot the antibody.

Specificity/Sensitivity

SirT3 (C73E3) Rabbit Monoclonal Antibody detects endogenous levels of SirT3 protein. This antibody does not cross-react with other sirtuins.

Source / Purification

Monoclonal antibody is produced by immunizing animals with a synthetic peptide corresponding to residues surrounding Arg269 of human SirT3 protein.

Background

The Silent Information Regulator (SIR2) family of genes is a highly conserved group of genes that encode nicotinamide adenine dinucleotide (NAD)-dependent protein deacetylases, also known as Class III histone deacetylases. The first discovered and best characterized of these genes is Saccharomyces cerevisiae Sir2, which is involved in silencing of mating type loci, telomere maintenance, DNA damage response and cell aging (1). SirT3, a mammalian homolog of Sir2, exists in human cells in two forms. The full-length 44 kDa protein localizes to the nucleus, while a processed 28 kDa protein lacking 142 amino terminal residues localizes exclusively to the mitochondria (2-4). The single murine form of SirT3 is equivalent to the processed human SirT3 protein (2). Full-length SirT3 protein is processed in the mitochondrial matrix by the mitochondrial matrix processing peptidase (MMP) (3). Both full-length and processed forms of SirT3 are enzymatically active and de-acetylate histone H3 at Lys9 and histone H4 at Lys16 in vitro (2). SirT3 also de-acetylates Lys642 of acetyl-CoA synthetase 2 (AceCS2) and activates AceCS2 activity in the mitochondria (5). Restricted caloric intake, which is linked to increased lifespan in multiple organisms, increases SirT3 expression in white and brown adipocytes of obese mice, suggesting a role for SirT3 in aging (6). Two observations implicate SirT3 in the regulation of mitochondrial thermogenesis. First, exposure to cold temperatures increases SirT3 expression in brown adipocytes, while elevated temperatures reduce SirT3 expression (6). Second, over-expression of SirT3 results in increased levels of the mitochondrial uncoupling protein 1 (UCP1) (6). SirT3 protein levels are also elevated in certain breast cancers (7).

Species Reactivity

Species reactivity is determined by testing in at least one approved application (e.g., western blot).

Western Blot Buffer

IMPORTANT: For western blots, incubate membrane with diluted primary antibody in 5% w/v BSA, 1X TBS, 0.1% Tween® 20 at 4°C with gentle shaking, overnight.

Applications Key

W: Western Blotting IP: Immunoprecipitation IHC-P: Immunohistochemistry (Paraffin)

Cross-Reactivity Key

H: Human R: Rat Mk: Monkey

Trademarks and Patents

Cell Signaling Technology is a trademark of Cell Signaling Technology, Inc.

U.S. Patent No. 7,429,487, foreign equivalents, and child patents deriving therefrom.

All other trademarks are the property of their respective owners. Visit cellsignal.com/trademarks for more information.

Limited Uses

Except as otherwise expressly agreed in a writing signed by a legally authorized representative of CST, the following terms apply to Products provided by CST, its affiliates or its distributors. Any Customer's terms and conditions that are in addition to, or different from, those contained herein, unless separately accepted in writing by a legally authorized representative of CST, are rejected and are of no force or effect.

Products are labeled with For Research Use Only or a similar labeling statement and have not been approved, cleared, or licensed by the FDA or other regulatory foreign or domestic entity, for any purpose. Customer shall not use any Product for any diagnostic or therapeutic purpose, or otherwise in any manner that conflicts with its labeling statement. Products sold or licensed by CST are provided for Customer as the end-user and solely for research and development uses. Any use of Product for diagnostic, prophylactic or therapeutic purposes, or any purchase of Product for resale (alone or as a component) or other commercial purpose, requires a separate license from CST. Customer shall (a) not sell, license, loan, donate or otherwise transfer or make available any Product to any third party, whether alone or in combination with other materials, or use the Products to manufacture any commercial products, (b) not copy, modify, reverse engineer, decompile, disassemble or otherwise attempt to discover the underlying structure or technology of the Products, or use the Products for the purpose of developing any products or services that would compete with CST products or services, (c) not alter or remove from the Products any trademarks, trade names, logos, patent or copyright notices or markings, (d) use the Products solely in accordance with CST Product Terms of Sale and any applicable documentation, and (e) comply with any license, terms of service or similar agreement with respect to any third party products or services used by Customer in connection with the Products.

Orders: 877-616-CELL (2355) [email protected] Support: 877-678-TECH (8324) [email protected] Web: cellsignal.com
For Research Use Only. Not for Use in Diagnostic Procedures.

Revision 4

Cell Signaling Technology Logo
Western blot analysis of extracts from control HeLa cells (lane 1) or SirT3 knockout HeLa cells (lane 2) using SirT3 (C73E3) Rabbit mAb #2627 (upper) or α-Actinin (D6F6) XP® Rabbit mAb #6487 (lower). The absence of signal in the SirT3 knockout HeLa cells confirms the specificity of the antibody for SirT3.
Western Blotting Image 1: SirT3 (C73E3) Rabbit Monoclonal Antibody
Western blot analysis of various cell extracts using SirT3 (C73E3) Rabbit mAb.
Western Blotting Image 2: SirT3 (C73E3) Rabbit Monoclonal Antibody
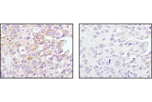
Immunohistochemical analysis of paraffin-embedded human breast carcinoma using SirT3 (C7E3) Rabbit mAb in the presence of control peptide (left) or antigen specific peptide (right).
Immunohistochemistry Image 1: SirT3 (C73E3) Rabbit Monoclonal Antibody
Orders: 877-616-CELL (2355) [email protected] Support: 877-678-TECH (8324) [email protected] Web: cellsignal.com
For Research Use Only. Not for Use in Diagnostic Procedures.