Revision 1

#53988

Store at -20C

CST Logo
Orders:

877-616-CELL (2355)

[email protected]

Support:

877-678-TECH (8324)

3 Trask Lane | Danvers | Massachusetts | 01923 | USA

For Research Use Only. Not for Use in Diagnostic Procedures.

Applications:
W, IHC-P

Reactivity:
H

Sensitivity:
Endogenous

MW (kDa):
60

Source/Isotype:
Rabbit IgG

UniProt ID:
#Q96DU3

Entrez-Gene Id:
114836

Product Usage Information

This product is the carrier-free version of product #60859. All data were generated using the same antibody clone in the standard formulation which contains BSA and glycerol.

This formulation is ideal for use with technologies requiring specialized or custom antibody labeling, including fluorophores, metals, lanthanides, and oligonucleotides. It is not recommended for ChIP, ChIP-seq, CUT&RUN, or CUT&Tag assays. If you require a carrier-free formulation for chromatin profiling, please contact us. Optimal dilutions/concentrations should be determined by the end user.

BSA and Azide Free antibodies are quality control tested by size exclusion chromatography (SEC) to determine antibody integrity.

Formulation

Supplied in 1X PBS (10 mM Na2HPO4, 3 mM KCl, 2 mM KH2PO4, and 140 mM NaCl (pH 7.8)). BSA and Azide Free.

For standard formulation of this product see product #60859.

Storage

Store at -20°C. This product will freeze at -20°C so it is recommended to aliquot into single-use vials to avoid multiple freeze/thaw cycles. A slight precipitate may be present and can be dissolved by gently vortexing. This will not interfere with antibody performance.

Specificity/Sensitivity

SLAMF6/CD352 (E3H1E) Rabbit Monoclonal Antibody (BSA and Azide Free) recognizes endogenous levels of total SLAMF6/CD352 protein. This antibody does not cross-react with SLAMF3/Ly9, SLAMF4/2B4, or SLAMF5/CD84 protein.

Source / Purification

Monoclonal antibody is produced by immunizing animals with a synthetic peptide corresponding to residues near the carboxy terminus of human SLAMF6/CD352 protein.

Background

SLAMF6 (CD352/NTB-A) is a type-I transmembrane glycoprotein belonging to the signaling lymphocytic activation molecule (SLAM) family of immunomodulatory receptors. Like other members of the SLAM receptor family, SLAMF6 contains Ig-like domains within its extracellular region and conserved tyrosine-based signaling motifs within its intracellular domain that, when phosphorylated, bind to the SAP and EAT-2 signaling adaptors (1). SLAMF6 is expressed on the surface of multiple types of immune cells, such as those of the B, T, and NK lineages. Its activation is triggered by homotypic interactions involving its extracellular domain (1-3). Indeed, research studies have shown that in T cells, SLAMF6 engagement facilitates activation and cytokine production (4). Similarly, homotypic ligand-mediated engagement of SLAMF6 on NK cells activates signaling cascades that drive proliferation, cytotoxicity, and cytokine production (1,5-7).

Species Reactivity

Species reactivity is determined by testing in at least one approved application (e.g., western blot).

Applications Key

W: Western Blotting IHC-P: Immunohistochemistry (Paraffin)

Cross-Reactivity Key

H: Human

Trademarks and Patents

Cell Signaling Technology is a trademark of Cell Signaling Technology, Inc.

All other trademarks are the property of their respective owners. Visit cellsignal.com/trademarks for more information.

Limited Uses

Except as otherwise expressly agreed in a writing signed by a legally authorized representative of CST, the following terms apply to Products provided by CST, its affiliates or its distributors. Any Customer's terms and conditions that are in addition to, or different from, those contained herein, unless separately accepted in writing by a legally authorized representative of CST, are rejected and are of no force or effect.

Products are labeled with For Research Use Only or a similar labeling statement and have not been approved, cleared, or licensed by the FDA or other regulatory foreign or domestic entity, for any purpose. Customer shall not use any Product for any diagnostic or therapeutic purpose, or otherwise in any manner that conflicts with its labeling statement. Products sold or licensed by CST are provided for Customer as the end-user and solely for research and development uses. Any use of Product for diagnostic, prophylactic or therapeutic purposes, or any purchase of Product for resale (alone or as a component) or other commercial purpose, requires a separate license from CST. Customer shall (a) not sell, license, loan, donate or otherwise transfer or make available any Product to any third party, whether alone or in combination with other materials, or use the Products to manufacture any commercial products, (b) not copy, modify, reverse engineer, decompile, disassemble or otherwise attempt to discover the underlying structure or technology of the Products, or use the Products for the purpose of developing any products or services that would compete with CST products or services, (c) not alter or remove from the Products any trademarks, trade names, logos, patent or copyright notices or markings, (d) use the Products solely in accordance with CST Product Terms of Sale and any applicable documentation, and (e) comply with any license, terms of service or similar agreement with respect to any third party products or services used by Customer in connection with the Products.

Orders: 877-616-CELL (2355) [email protected] Support: 877-678-TECH (8324) [email protected] Web: cellsignal.com
For Research Use Only. Not for Use in Diagnostic Procedures.

Revision 1

Cell Signaling Technology Logo
Western blot analysis of extracts from 293T cells, mock transfected (-) or transfected with a construct expressing Myc/DDK-tagged full-length human SLAMF6/CD352 (hSLAMF6/CD352-Myc/DDK; +), using SLAMF6/CD352 (E3H1E) XP® Rabbit mAb (upper), Myc-Tag (71D10) Rabbit mAb #2278 (middle), or β-Actin (D6A8) Rabbit mAb #8457 (lower). Data were generated using the standard formulation of this product.
Western Blotting Image 1: SLAMF6/CD352 (E3H1E) Rabbit Monoclonal Antibody (BSA and Azide Free)
Western blot analysis of extracts from various cell lines using SLAMF6/CD352 (E3H1E) XP® Rabbit mAb (upper) or β-Actin (D6A8) Rabbit mAb #8457 (lower). Negative expression of SLAMF6/CD352 protein in U-937 cells is consistent with the predicted expression pattern. Data were generated using the standard formulation of this product.
Western Blotting Image 2: SLAMF6/CD352 (E3H1E) Rabbit Monoclonal Antibody (BSA and Azide Free)

Immunohistochemical analysis of paraffin-embedded normal human parathyroid using SLAMF6/CD352 (E3H1E) XP® Rabbit mAb. Data were generated using the standard formulation of this product.

Immunohistochemistry Image 1: SLAMF6/CD352 (E3H1E) Rabbit Monoclonal Antibody (BSA and Azide Free)
Orders: 877-616-CELL (2355) [email protected] Support: 877-678-TECH (8324) [email protected] Web: cellsignal.com
For Research Use Only. Not for Use in Diagnostic Procedures.

Revision 1

Cell Signaling Technology Logo
Immunohistochemical analysis of paraffin-embedded human urothelial carcinoma using SLAMF6/CD352 (E3H1E) XP® Rabbit mAb. Data were generated using the standard formulation of this product.
Immunohistochemistry Image 2: SLAMF6/CD352 (E3H1E) Rabbit Monoclonal Antibody (BSA and Azide Free)
Immunohistochemical analysis of paraffin-embedded human esophageal carcinoma using SLAMF6/CD352 (E3H1E) XP® Rabbit mAb (left) compared to concentration-matched Rabbit (DA1E) mAb IgG XP® Isotype Control #3900 (right). Data were generated using the standard formulation of this product.
Immunohistochemistry Image 3: SLAMF6/CD352 (E3H1E) Rabbit Monoclonal Antibody (BSA and Azide Free)
Immunohistochemical analysis of paraffin-embedded 293T cell pellet, untransfected (left) or SLAMF6 transfected (middle), and Daudi cell pellet (right, positive) using SLAMF6/CD352 (E3H1E) XP® Rabbit mAb. Data were generated using the standard formulation of this product.
Immunohistochemistry Image 4: SLAMF6/CD352 (E3H1E) Rabbit Monoclonal Antibody (BSA and Azide Free)
Orders: 877-616-CELL (2355) [email protected] Support: 877-678-TECH (8324) [email protected] Web: cellsignal.com
For Research Use Only. Not for Use in Diagnostic Procedures.

Revision 1

Cell Signaling Technology Logo
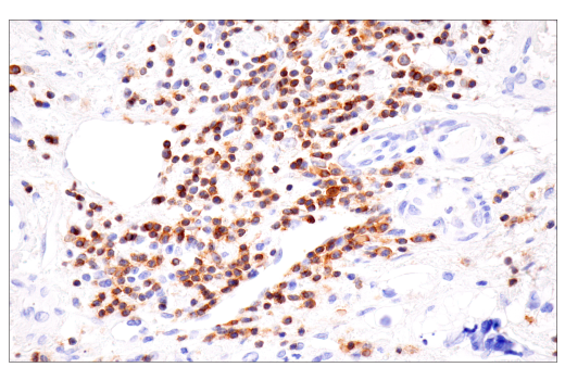
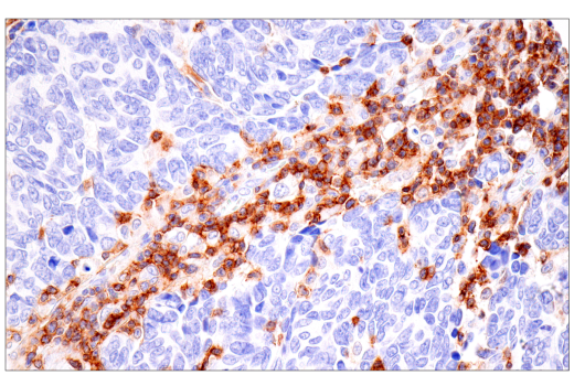
Immunohistochemical analysis of paraffin-embedded human colon carcinoma using SLAMF6/CD352 (E3H1E) XP® Rabbit mAb. Data were generated using the standard formulation of this product.
Immunohistochemistry Image 5: SLAMF6/CD352 (E3H1E) Rabbit Monoclonal Antibody (BSA and Azide Free)

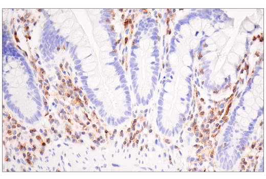
Immunohistochemical analysis of paraffin-embedded normal human small intestine using SLAMF6/CD352 (E3H1E) XP® Rabbit mAb. Data were generated using the standard formulation of this product.

Immunohistochemistry Image 6: SLAMF6/CD352 (E3H1E) Rabbit Monoclonal Antibody (BSA and Azide Free)
Immunohistochemical analysis of paraffin-embedded human tonsil using SLAMF6/CD352 (E3H1E) XP® Rabbit mAb. Data were generated using the standard formulation of this product.
Immunohistochemistry Image 7: SLAMF6/CD352 (E3H1E) Rabbit Monoclonal Antibody (BSA and Azide Free)
Orders: 877-616-CELL (2355) [email protected] Support: 877-678-TECH (8324) [email protected] Web: cellsignal.com
For Research Use Only. Not for Use in Diagnostic Procedures.

Revision 1

Cell Signaling Technology Logo
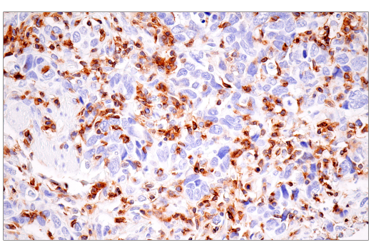
Immunohistochemical analysis of paraffin-embedded human neuroendocrine lung carcinoma using SLAMF6/CD352 (E3H1E) XP® Rabbit mAb. Data were generated using the standard formulation of this product.

Immunohistochemistry Image 8: SLAMF6/CD352 (E3H1E) Rabbit Monoclonal Antibody (BSA and Azide Free)

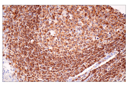
Immunohistochemical analysis of paraffin-embedded human non-Hodgkin lymphoma using SLAMF6/CD352 (E3H1E) XP® Rabbit mAb. Data were generated using the standard formulation of this product.

Immunohistochemistry Image 9: SLAMF6/CD352 (E3H1E) Rabbit Monoclonal Antibody (BSA and Azide Free)

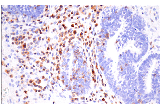
Immunohistochemical analysis of paraffin-embedded human endometrioid adenocarcinoma using SLAMF6/CD352 (E3H1E) XP® Rabbit mAb. Data were generated using the standard formulation of this product.
Immunohistochemistry Image 10: SLAMF6/CD352 (E3H1E) Rabbit Monoclonal Antibody (BSA and Azide Free)
Orders: 877-616-CELL (2355) [email protected] Support: 877-678-TECH (8324) [email protected] Web: cellsignal.com
For Research Use Only. Not for Use in Diagnostic Procedures.

Revision 1

Cell Signaling Technology Logo
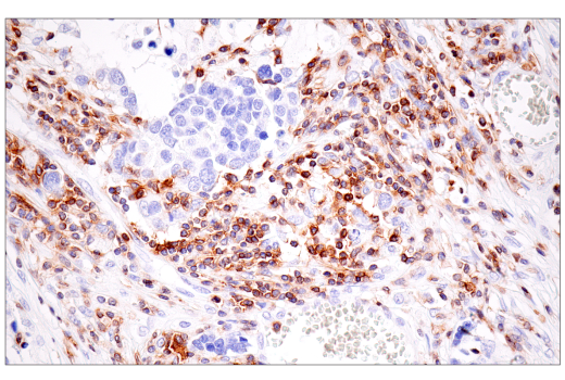
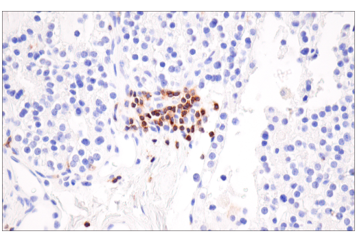
Immunohistochemical analysis of paraffin-embedded human small cell carcinoma of the salivary gland using SLAMF6/CD352 (E3H1E) XP® Rabbit mAb. Data were generated using the standard formulation of this product.
Immunohistochemistry Image 11: SLAMF6/CD352 (E3H1E) Rabbit Monoclonal Antibody (BSA and Azide Free)
Orders: 877-616-CELL (2355) [email protected] Support: 877-678-TECH (8324) [email protected] Web: cellsignal.com
For Research Use Only. Not for Use in Diagnostic Procedures.