Revision 3

#48322

Store at -20C

CST Logo
Orders:

877-616-CELL (2355)

[email protected]

Support:

877-678-TECH (8324)

3 Trask Lane | Danvers | Massachusetts | 01923 | USA

For Research Use Only. Not for Use in Diagnostic Procedures.

Applications:
W, IHC-P

Reactivity:
H

Sensitivity:
Endogenous

MW (kDa):
62

Source/Isotype:
Rabbit IgG

UniProt ID:
#Q9NP59

Entrez-Gene Id:
30061

Product Usage Information

Application Dilution
Western Blotting 1:1000
Immunohistochemistry (Paraffin) 1:125 - 1:500

Storage

Supplied in 10 mM sodium HEPES (pH 7.5), 150 mM NaCl, 100 µg/mL BSA, 50% glycerol, and less than 0.02% sodium azide. Store at –20°C. Do not aliquot the antibody.

For a carrier free (BSA and azide free) version of this product see product #59679.

Specificity/Sensitivity

SLC40A1/Ferroportin-1 (F9U5S) Rabbit Monoclonal Antibody recognizes endogenous levels of total SLC40A1/Ferroportin-1 protein. Non-specific staining was observed in pancreatic acinar cells by immunohistochemistry. This antibody is not recommended for immunohistochemical analysis of mouse tissues.

Source / Purification

Monoclonal antibody is produced by immunizing animals with a synthetic peptide corresponding to residues surrounding Leu265 of human SLC40A1/Ferroportin-1 protein.

Background

Ferroportin-1 (FPN1), also known as solute carrier family 40 member 1 (SLC40A1) or iron-regulated transporter 1 (IREG1), is a multi-pass membrane protein that transports iron from the inside of the cell into the blood. As the only known iron exporter, FPN1 is critical for maintaining systemic iron homeostasis (1). FPN1 activity is regulated by hepcidin, a peptide hormone secreted by the liver in response to iron loading and inflammation. Circulating hepcidin binds to FPN1 and induces its internalization and degradation, thereby reducing iron efflux to the plasma (2,3). Expression of FPN1 may also be regulated post-transcriptionally by several microRNAs that directly target its 3' untranslated region (4-6). Mutations in the SLC40A1 gene encoding FPN1 are associated with type IV hemochromatosis (7) as well as several neural tube and patterning defects, including spina bifida, exencephaly, and forebrain truncations (8). Loss of FPN1 in the brains of Alzheimer's disease (AD) mouse models and patients has been shown to promote ferroptosis, leading to neuronal death and memory impairment. Therefore, targeting of FPN1 may be a promising therapeutic approach for AD (9).

Species Reactivity

Species reactivity is determined by testing in at least one approved application (e.g., western blot).

Western Blot Buffer

IMPORTANT: For western blots, incubate membrane with diluted primary antibody in 5% w/v BSA, 1X TBS, 0.1% Tween® 20 at 4°C with gentle shaking, overnight.

Applications Key

W: Western Blotting IHC-P: Immunohistochemistry (Paraffin)

Cross-Reactivity Key

H: Human

Trademarks and Patents

Cell Signaling Technology is a trademark of Cell Signaling Technology, Inc.

All other trademarks are the property of their respective owners. Visit cellsignal.com/trademarks for more information.

Limited Uses

Except as otherwise expressly agreed in a writing signed by a legally authorized representative of CST, the following terms apply to Products provided by CST, its affiliates or its distributors. Any Customer's terms and conditions that are in addition to, or different from, those contained herein, unless separately accepted in writing by a legally authorized representative of CST, are rejected and are of no force or effect.

Products are labeled with For Research Use Only or a similar labeling statement and have not been approved, cleared, or licensed by the FDA or other regulatory foreign or domestic entity, for any purpose. Customer shall not use any Product for any diagnostic or therapeutic purpose, or otherwise in any manner that conflicts with its labeling statement. Products sold or licensed by CST are provided for Customer as the end-user and solely for research and development uses. Any use of Product for diagnostic, prophylactic or therapeutic purposes, or any purchase of Product for resale (alone or as a component) or other commercial purpose, requires a separate license from CST. Customer shall (a) not sell, license, loan, donate or otherwise transfer or make available any Product to any third party, whether alone or in combination with other materials, or use the Products to manufacture any commercial products, (b) not copy, modify, reverse engineer, decompile, disassemble or otherwise attempt to discover the underlying structure or technology of the Products, or use the Products for the purpose of developing any products or services that would compete with CST products or services, (c) not alter or remove from the Products any trademarks, trade names, logos, patent or copyright notices or markings, (d) use the Products solely in accordance with CST Product Terms of Sale and any applicable documentation, and (e) comply with any license, terms of service or similar agreement with respect to any third party products or services used by Customer in connection with the Products.

Orders: 877-616-CELL (2355) [email protected] Support: 877-678-TECH (8324) [email protected] Web: cellsignal.com
For Research Use Only. Not for Use in Diagnostic Procedures.

Revision 3

Cell Signaling Technology Logo
Western blot analysis of extracts from various cell lines using SLC40A1/Ferroportin-1 (F9U5S) Rabbit mAb (upper) or GAPDH (D16H11) XP® Rabbit mAb #5174 (lower). Negative expression of SLC40A1/Ferroportin-1 protein in REC-1 and BT-20 cells is consistent with the predicted expression pattern.
Western Blotting Image 1: SLC40A1/Ferroportin-1 (F9U5S) Rabbit Monoclonal Antibody
Western blot analysis of extracts from human placenta and testis tissue using SLC40A1/Ferroportin-1 (F9U5S) Rabbit mAb (upper) or GAPDH (D16H11) XP® Rabbit mAb #5174 (lower). Negative expression of SLC40A1/Ferroportin-1 protein in human testis tissue is consistent with the predicted expression pattern.
Western Blotting Image 2: SLC40A1/Ferroportin-1 (F9U5S) Rabbit Monoclonal Antibody
Western blot analysis of extracts from 293T cells, mock transfected (-) or transfected with a construct expressing Myc/DDK-tagged full-length human SLC40A1/Ferroportin-1 protein (hSLC40A1/FPN1-Myc/DDK; +), using SLC40A1/Ferroportin-1 (F9U5S) Rabbit mAb (upper) or GAPDH (D16H11) XP® Rabbit mAb #5174 (lower).
Western Blotting Image 3: SLC40A1/Ferroportin-1 (F9U5S) Rabbit Monoclonal Antibody
Orders: 877-616-CELL (2355) [email protected] Support: 877-678-TECH (8324) [email protected] Web: cellsignal.com
For Research Use Only. Not for Use in Diagnostic Procedures.

Revision 3

Cell Signaling Technology Logo
Immunohistochemical analysis of paraffin-embedded human serous carcinoma of the ovary using SLC40A1/Ferroportin-1 (F9U5S) Rabbit mAb.
Immunohistochemistry Image 1: SLC40A1/Ferroportin-1 (F9U5S) Rabbit Monoclonal Antibody
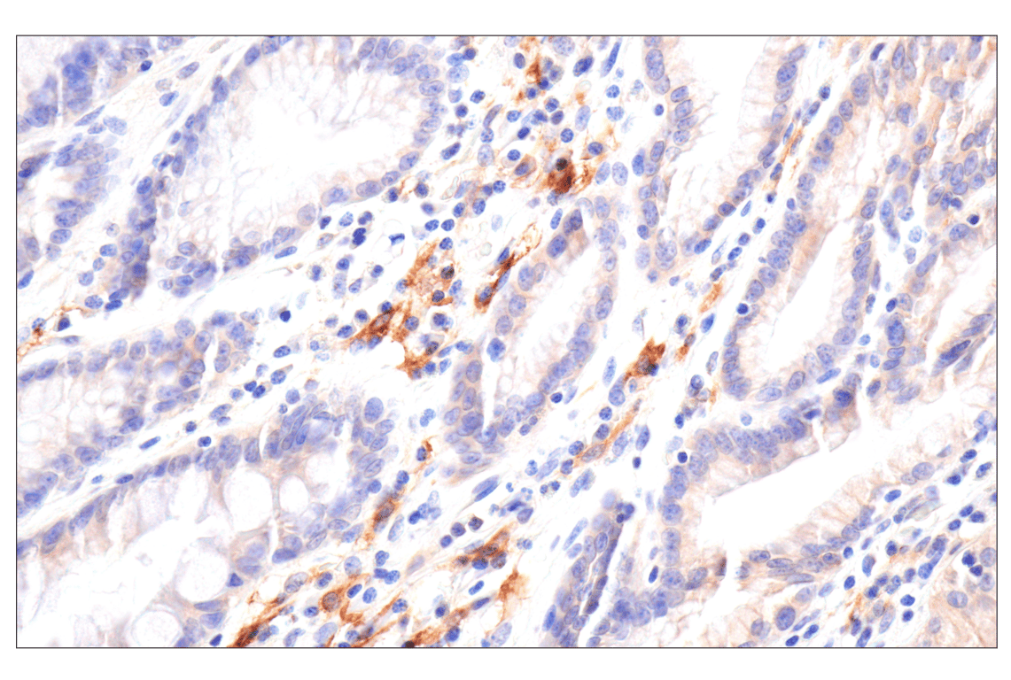
Immunohistochemical analysis of paraffin-embedded human gastric carcinoma using SLC40A1/Ferroportin-1 (F9U5S) Rabbit mAb.
Immunohistochemistry Image 2: SLC40A1/Ferroportin-1 (F9U5S) Rabbit Monoclonal Antibody
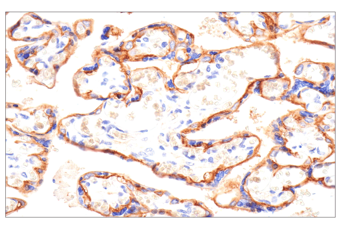
Immunohistochemical analysis of paraffin-embedded normal human placenta using SLC40A1/Ferroportin-1 (F9U5S) Rabbit mAb.
Immunohistochemistry Image 3: SLC40A1/Ferroportin-1 (F9U5S) Rabbit Monoclonal Antibody
Orders: 877-616-CELL (2355) [email protected] Support: 877-678-TECH (8324) [email protected] Web: cellsignal.com
For Research Use Only. Not for Use in Diagnostic Procedures.

Revision 3

Cell Signaling Technology Logo
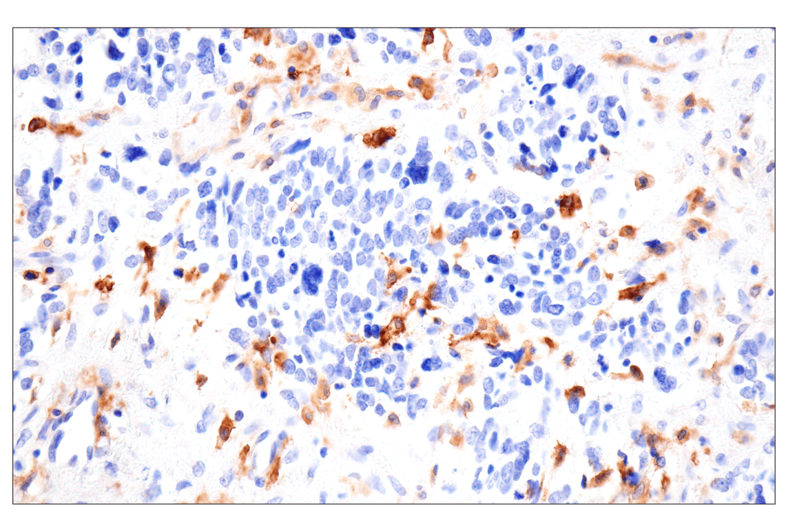
Immunohistochemical analysis of paraffin-embedded normal human thymus using SLC40A1/Ferroportin-1 (F9U5S) Rabbit mAb.
Immunohistochemistry Image 4: SLC40A1/Ferroportin-1 (F9U5S) Rabbit Monoclonal Antibody

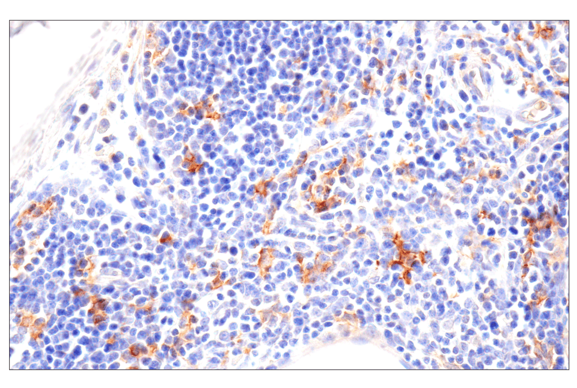
Immunohistochemical analysis of paraffin-embedded normal human lymph node using SLC40A1/Ferroportin-1 (F9U5S) Rabbit mAb.
Immunohistochemistry Image 5: SLC40A1/Ferroportin-1 (F9U5S) Rabbit Monoclonal Antibody
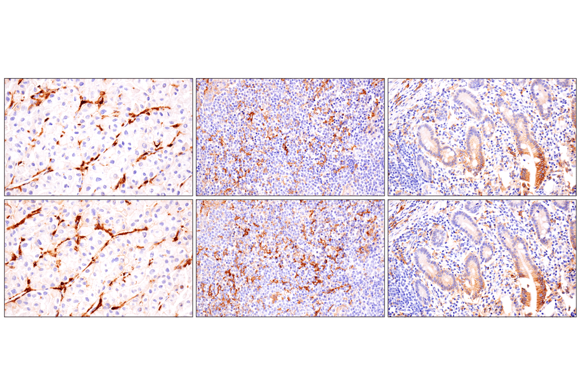
Immunohistochemical analysis of paraffin-embedded human hepatocellular carcinoma (left), B-cell non-Hodgkin lymphoma (middle), or normal colon (right) using SLC40A1/Ferroportin-1 (F9U5S) Rabbit mAb (top) or an SLC40A1/Ferroportin-1 Rabbit mAb (bottom). These two antibodies detect unique, non-overlapping epitopes on human SLC40A1/Ferroportin-1. The similar staining patterns obtained with both antibodies help to confirm the specificity of the staining.
Immunohistochemistry Image 6: SLC40A1/Ferroportin-1 (F9U5S) Rabbit Monoclonal Antibody
Orders: 877-616-CELL (2355) [email protected] Support: 877-678-TECH (8324) [email protected] Web: cellsignal.com
For Research Use Only. Not for Use in Diagnostic Procedures.

Revision 3

Cell Signaling Technology Logo
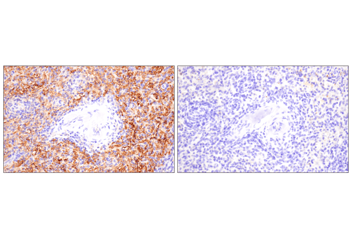
Immunohistochemical analysis of paraffin-embedded normal human spleen using SLC40A1/Ferroportin-1 (F9U5S) Rabbit mAb (left) compared to concentration-matched Rabbit (DA1E) mAb IgG XP® Isotype Control #3900 (right). 
Immunohistochemistry Image 7: SLC40A1/Ferroportin-1 (F9U5S) Rabbit Monoclonal Antibody
Immunohistochemical analysis of paraffin-embedded SET-2 cell pellet (left, positive) or REC-1 cell pellet (right, negative) using SLC40A1/Ferroportin-1 (F9U5S) Rabbit mAb.
Immunohistochemistry Image 8: SLC40A1/Ferroportin-1 (F9U5S) Rabbit Monoclonal Antibody
Orders: 877-616-CELL (2355) [email protected] Support: 877-678-TECH (8324) [email protected] Web: cellsignal.com
For Research Use Only. Not for Use in Diagnostic Procedures.