Revision 4

#2954

Store at -20C

CST Logo
Orders:

877-616-CELL (2355)

[email protected]

Support:

877-678-TECH (8324)

3 Trask Lane | Danvers | Massachusetts | 01923 | USA

For Research Use Only. Not for Use in Diagnostic Procedures.

Applications:
W, IP, IHC-P

Reactivity:
H Mk

Sensitivity:
Endogenous

MW (kDa):
21

Source/Isotype:
Mouse IgG

UniProt ID:
#Q9NR28

Entrez-Gene Id:
56616

Product Usage Information

Application Dilution
Western Blotting 1:1000
Immunoprecipitation 1:100
Immunohistochemistry (Paraffin) 1:400

Storage

Supplied in 10 mM sodium HEPES (pH 7.5), 150 mM NaCl, 100 µg/ml BSA, 50% glycerol and less than 0.02% sodium azide. Store at –20°C. Do not aliquot the antibody.

For a carrier free (BSA and azide free) version of this product see product #19293.

Specificity/Sensitivity

Smac/Diablo (79-1-83) Mouse Monoclonal Antibody detects endogenous levels of processed and unprocessed human Smac/Diablo. The antibody reacts weakly with mouse and rat Smac/Diablo.

Source / Purification

Monoclonal antibody is produced by immunizing animals with a full length peptide corresponding to human Smac/Diablo raised in E-coli.

Background

Smac/Diablo is a 21 kDa mammalian mitochondrial protein that functions as a regulatory component during apoptosis (1,2). Upon mitochondrial stress, Smac/Diablo is released from mitochondria and competes with caspases for binding of IAPs (inhibitor of apoptosis proteins) (1,2). The interaction of Smac/Diablo with IAPs relieves the inhibitory effect of the IAPs on caspases (3,4). This interaction involves mainly the amino-terminal residues of Smac/Diablo with the BIR3 region of XIAP, supplemented with several other hydrophobic interactions between the helical structures of Smac/Diablo and other areas of BIR3 (5,6).

Species Reactivity

Species reactivity is determined by testing in at least one approved application (e.g., western blot).

Western Blot Buffer

IMPORTANT: For western blots, incubate membrane with diluted primary antibody in 5% w/v nonfat dry milk, 1X TBS, 0.1% Tween® 20 at 4°C with gentle shaking, overnight.

Applications Key

W: Western Blotting IP: Immunoprecipitation IHC-P: Immunohistochemistry (Paraffin)

Cross-Reactivity Key

H: Human Mk: Monkey

Trademarks and Patents

Cell Signaling Technology is a trademark of Cell Signaling Technology, Inc.

All other trademarks are the property of their respective owners. Visit cellsignal.com/trademarks for more information.

Limited Uses

Except as otherwise expressly agreed in a writing signed by a legally authorized representative of CST, the following terms apply to Products provided by CST, its affiliates or its distributors. Any Customer's terms and conditions that are in addition to, or different from, those contained herein, unless separately accepted in writing by a legally authorized representative of CST, are rejected and are of no force or effect.

Products are labeled with For Research Use Only or a similar labeling statement and have not been approved, cleared, or licensed by the FDA or other regulatory foreign or domestic entity, for any purpose. Customer shall not use any Product for any diagnostic or therapeutic purpose, or otherwise in any manner that conflicts with its labeling statement. Products sold or licensed by CST are provided for Customer as the end-user and solely for research and development uses. Any use of Product for diagnostic, prophylactic or therapeutic purposes, or any purchase of Product for resale (alone or as a component) or other commercial purpose, requires a separate license from CST. Customer shall (a) not sell, license, loan, donate or otherwise transfer or make available any Product to any third party, whether alone or in combination with other materials, or use the Products to manufacture any commercial products, (b) not copy, modify, reverse engineer, decompile, disassemble or otherwise attempt to discover the underlying structure or technology of the Products, or use the Products for the purpose of developing any products or services that would compete with CST products or services, (c) not alter or remove from the Products any trademarks, trade names, logos, patent or copyright notices or markings, (d) use the Products solely in accordance with CST Product Terms of Sale and any applicable documentation, and (e) comply with any license, terms of service or similar agreement with respect to any third party products or services used by Customer in connection with the Products.

Orders: 877-616-CELL (2355) [email protected] Support: 877-678-TECH (8324) [email protected] Web: cellsignal.com
For Research Use Only. Not for Use in Diagnostic Procedures.

Revision 4

Cell Signaling Technology Logo
Western blot analysis of extracts from 293, HeLa and Jurkat cells, using Smac/Diablo (79-1-83) Mouse mAb.
Western Blotting Image 1: Smac/Diablo (79-1-83) Mouse Monoclonal Antibody
Western blot analysis of extracts from HeLa cells, untreated (upper) or treated with Staurosporine #9953 (1 μM, 3 hr; lower), using Smac/Diablo (79-1-83) Mouse mAb #2954. Cells were fractionated into whole cell lysate (WCL), cytoplasm (Cyto), membrane (Mem), and cytoskeletal/nucleus (Nuc) using Cell Fractionation Kit #9038. Membrane fraction includes mitochondria.
Western Blotting Image 2: Smac/Diablo (79-1-83) Mouse Monoclonal Antibody
Immunohistochemical analysis of paraffin-embedded human breast carcinoma, using Smac/Diablo Mouse mAb.
Immunohistochemistry Image 1: Smac/Diablo (79-1-83) Mouse Monoclonal Antibody
Orders: 877-616-CELL (2355) [email protected] Support: 877-678-TECH (8324) [email protected] Web: cellsignal.com
For Research Use Only. Not for Use in Diagnostic Procedures.

Revision 4

Cell Signaling Technology Logo
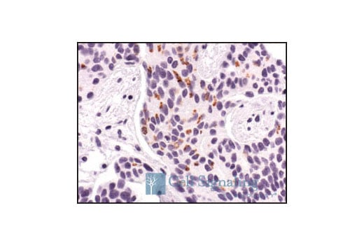
Immunohistochemical analysis of paraffin-embedded human colon carcinoma, using Smac/Diablo Mouse mAb.
Immunohistochemistry Image 2: Smac/Diablo (79-1-83) Mouse Monoclonal Antibody
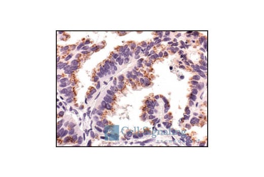
Immunohistochemical analysis of paraffin-embedded human lung carcinoma, using Smac/Diablo (79-1-83) Mouse mAb.
Immunohistochemistry Image 3: Smac/Diablo (79-1-83) Mouse Monoclonal Antibody
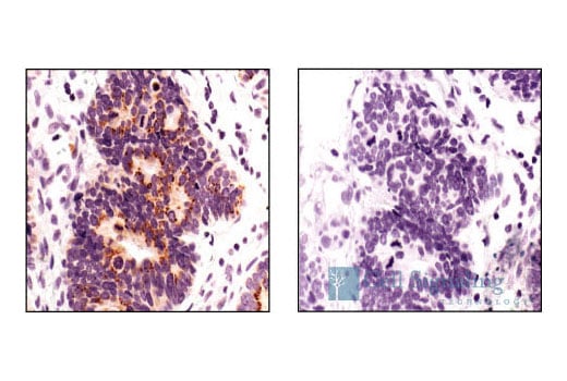
Immunohistochemical analysis of paraffin-embedded human renal cell carcinoma, using Smac/Diablo (79-1-83) Mouse mAb (left) or secondary alone (right).
Immunohistochemistry Image 4: Smac/Diablo (79-1-83) Mouse Monoclonal Antibody
Orders: 877-616-CELL (2355) [email protected] Support: 877-678-TECH (8324) [email protected] Web: cellsignal.com
For Research Use Only. Not for Use in Diagnostic Procedures.