Revision 3

#44223

Store at -20C

CST Logo
Orders:

877-616-CELL (2355)

[email protected]

Support:

877-678-TECH (8324)

3 Trask Lane | Danvers | Massachusetts | 01923 | USA

For Research Use Only. Not for Use in Diagnostic Procedures.

Applications:
W, IF-IC, FC-FP, ELISA

Reactivity:
H M R Mk Mi

Sensitivity:
Endogenous

MW (kDa):
52

Source/Isotype:
Rabbit IgG

UniProt ID:
#P84022

Entrez-Gene Id:
4088

Product Usage Information

This product is the carrier free version of product #9523. All data were generated using the same antibody clone in the standard formulation which contains BSA and glycerol.

This formulation is ideal for use with technologies requiring specialized or custom antibody labeling, including fluorophores, metals, lanthanides, and oligonucleotides. It is not recommended for ChIP, ChIP-seq, CUT&RUN or CUT&Tag assays. If you require a carrier free formulation for chromatin profiling, please contact us. Optimal dilutions/concentrations should be determined by the end user.

BSA and Azide Free antibodies are quality control tested by size exclusion chromatography (SEC) to determine antibody integrity.

Formulation

Supplied in 1X PBS (10 mM Na2HPO4, 3 mM KCl, 2 mM KH2PO4, and 140 mM NaCl (pH 7.8)). BSA and Azide Free.

For standard formulation of this product see product #9523

Storage

Store at -20°C. This product will freeze at -20°C so it is recommended to aliquot into single-use vials to avoid multiple freeze/thaw cycles. A slight precipitate may be present and can be dissolved by gently vortexing. This will not interfere with antibody performance.

Specificity/Sensitivity

SMAD3 (C67H9) Rabbit Monoclonal Antibody (BSA and Azide Free) detects endogenous levels of total SMAD3 protein. No cross reactivity was detected with other family members. Mink cross-reactivity was determined by ELISA.

Species predicted to react based on 100% sequence homology

Xenopus, Zebrafish, Bovine

Source / Purification

Monoclonal antibody is produced by immunizing animals with a synthetic peptide corresponding to residues surrounding Leu207 of human SMAD3.

Background

Members of the SMAD family of signal transduction molecules are components of a critical intracellular pathway that transmit TGF-β signals from the cell surface into the nucleus. Three distinct classes of SMADs have been defined: the receptor-regulated SMADs (R-SMADs), which include SMAD1, 2, 3, 5, and 9; the common-mediator SMAD (co-SMAD), SMAD4; and the antagonistic or inhibitory SMADs (I-SMADs), SMAD6 and 7 (1-5). Activated type I receptors associate with specific R-SMADs and phosphorylate them on a conserved carboxy-terminal SSXS motif. The phosphorylated R-SMADs dissociate from the receptor and form a heteromeric complex with SMAD4, initiating translocation of the heteromeric SMAD complex to the nucleus. Once in the nucleus, SMADs recruit a variety of DNA binding proteins that function to regulate transcriptional activity (6-8).

Following stimulation by TGF-β, Smad2 and Smad3 become phosphorylated at their carboxyl termini (Ser465 and 467 on Smad2; Ser423 and 425 on Smad3) by TGF-β Receptor I. Phosphorylated Smad 2/3 can complex with Smad4, translocate to the nucleus and regulate gene expression (9-11).

Species Reactivity

Species reactivity is determined by testing in at least one approved application (e.g., western blot).

Applications Key

W: Western Blotting IF-IC: Immunofluorescence (Immunocytochemistry) FC-FP: Flow Cytometry (Fixed/Permeabilized) ELISA: ELISA

Cross-Reactivity Key

H: Human M: Mouse R: Rat Mk: Monkey Mi: Mink

Trademarks and Patents

Cell Signaling Technology is a trademark of Cell Signaling Technology, Inc.

U.S. Patent No. 7,429,487, foreign equivalents, and child patents deriving therefrom.

All other trademarks are the property of their respective owners. Visit cellsignal.com/trademarks for more information.

Limited Uses

Except as otherwise expressly agreed in a writing signed by a legally authorized representative of CST, the following terms apply to Products provided by CST, its affiliates or its distributors. Any Customer's terms and conditions that are in addition to, or different from, those contained herein, unless separately accepted in writing by a legally authorized representative of CST, are rejected and are of no force or effect.

Products are labeled with For Research Use Only or a similar labeling statement and have not been approved, cleared, or licensed by the FDA or other regulatory foreign or domestic entity, for any purpose. Customer shall not use any Product for any diagnostic or therapeutic purpose, or otherwise in any manner that conflicts with its labeling statement. Products sold or licensed by CST are provided for Customer as the end-user and solely for research and development uses. Any use of Product for diagnostic, prophylactic or therapeutic purposes, or any purchase of Product for resale (alone or as a component) or other commercial purpose, requires a separate license from CST. Customer shall (a) not sell, license, loan, donate or otherwise transfer or make available any Product to any third party, whether alone or in combination with other materials, or use the Products to manufacture any commercial products, (b) not copy, modify, reverse engineer, decompile, disassemble or otherwise attempt to discover the underlying structure or technology of the Products, or use the Products for the purpose of developing any products or services that would compete with CST products or services, (c) not alter or remove from the Products any trademarks, trade names, logos, patent or copyright notices or markings, (d) use the Products solely in accordance with CST Product Terms of Sale and any applicable documentation, and (e) comply with any license, terms of service or similar agreement with respect to any third party products or services used by Customer in connection with the Products.

Orders: 877-616-CELL (2355) [email protected] Support: 877-678-TECH (8324) [email protected] Web: cellsignal.com
For Research Use Only. Not for Use in Diagnostic Procedures.

Revision 3

Cell Signaling Technology Logo
Western blot analysis of extracts from control HeLa cells (lane 1) or HeLa cells with an apparent in-frame truncation mutation in the gene encoding SMAD3 (lane 2) using SMAD3 (C67H9) Rabbit mAb #9523 (upper) or β-actin (D6A8) Rabbit mAb #8457 (lower). The change in SMAD3 molecular weight in the mutated HeLa cells is consistent with an in-frame deletion. Data were generated using the standard formulation of this product.
Western Blotting Image 1: SMAD3 (C67H9) Rabbit Monoclonal Antibody (BSA and Azide Free)
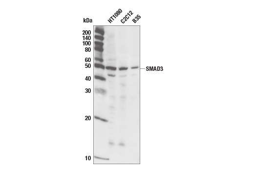
Western blot analysis of extracts from HT1080 (human), C2C12 (mouse) and B35 (rat) using SMAD3 (C67H9) Rabbit mAb. Data were generated using the standard formulation of this product.
Western Blotting Image 2: SMAD3 (C67H9) Rabbit Monoclonal Antibody (BSA and Azide Free)
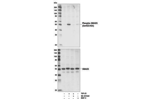
Western blot analysis of extracts from HT1080 cells, treated with TGF-β1, TGFR inhibitor SB-431542 or BMP-2, using Phospho-SMAD3 (Ser423/425) (C25A9) Rabbit mAb #9520 (upper) or total SMAD3 (C67H9) Rabbit mAb #9523 (lower). Data were generated using the standard formulation of this product.
Western Blotting Image 3: SMAD3 (C67H9) Rabbit Monoclonal Antibody (BSA and Azide Free)
Orders: 877-616-CELL (2355) [email protected] Support: 877-678-TECH (8324) [email protected] Web: cellsignal.com
For Research Use Only. Not for Use in Diagnostic Procedures.

Revision 3

Cell Signaling Technology Logo
Confocal immunofluorescent analysis of HT1080 cells, untreated (left) or TGFβ-treated (right), using SMAD3 (C67H9) Rabbit mAb (green). Actin filaments have been labeled with Alexa Fluor® 555 phalloidin (red). Data were generated using the standard formulation of this product.
Immunofluorescence Image 1: SMAD3 (C67H9) Rabbit Monoclonal Antibody (BSA and Azide Free)
Flow cytometric analysis of HT-1080 cells using SMAD3 (C67H9) Rabbit mAb #9523 (blue) compared to a nonspecific negative control antibody (red). Data were generated using the standard formulation of this product.
Flow Cytometry Image 1: SMAD3 (C67H9) Rabbit Monoclonal Antibody (BSA and Azide Free)
Data using Total SMAD3 Matched Antibody Pair #15681 are shown. The two antibodies function as a capture-target-detection sandwich (#44223 and #48853, respectively) to detect endogenous protein expression in treated and untreated cells.
ELISA Image 1: SMAD3 (C67H9) Rabbit Monoclonal Antibody (BSA and Azide Free)
Orders: 877-616-CELL (2355) [email protected] Support: 877-678-TECH (8324) [email protected] Web: cellsignal.com
For Research Use Only. Not for Use in Diagnostic Procedures.