Revision 4

#46535

Store at -20C

CST Logo
Orders:

877-616-CELL (2355)

[email protected]

Support:

877-678-TECH (8324)

3 Trask Lane | Danvers | Massachusetts | 01923 | USA

For Research Use Only. Not for Use in Diagnostic Procedures.

Applications:
W, IP, IHC-Bond, IHC-P, IF-IC, FC-FP, ChIP, ChIP-seq

Reactivity:
H M R Mk

Sensitivity:
Endogenous

MW (kDa):
70

Source/Isotype:
Rabbit IgG

UniProt ID:
#Q13485

Entrez-Gene Id:
4089

Product Usage Information

For optimal ChIP and ChIP-seq results, use 10 μl of antibody and 10 μg of chromatin (approximately 4 x 106 cells) per IP. This antibody has been validated using SimpleChIP® Enzymatic Chromatin IP Kits.
Application Dilution
Western Blotting 1:1000
Immunoprecipitation 1:200
IHC Leica Bond 1:400 - 1:1600
Immunohistochemistry (Paraffin) 1:200 - 1:800
Immunofluorescence (Immunocytochemistry) 1:400 - 1:1600
Flow Cytometry (Fixed/Permeabilized) 1:400 - 1:1600
Chromatin IP 1:50
Chromatin IP-seq 1:50

Storage

Supplied in 10 mM sodium HEPES (pH 7.5), 150 mM NaCl, 100 µg/ml BSA, 50% glycerol and less than 0.02% sodium azide. Store at –20°C. Do not aliquot the antibody.

For a carrier free (BSA and azide free) version of this product see product #73885.

Specificity/Sensitivity

SMAD4 (D3R4N) Rabbit Monoclonal Antibody recognizes endogenous levels of total SMAD4 protein.

Source / Purification

Monoclonal antibody is produced by immunizing animals with recombinant protein corresponding to human SMAD4 protein. The epitope has been mapped to residues surrounding Ser315.

Background

Members of the SMAD family of signal transduction molecules are components of a critical intracellular pathway that transmits TGF-β signals from the cell surface into the nucleus. Three distinct classes of SMADs have been defined: the receptor-regulated SMADs (R-SMADs), which include SMAD1, 2, 3, 5, 9; the common-mediator SMAD (co-SMAD), SMAD4; and the antagonistic or inhibitory SMADs (I-SMADs), SMAD6 and 7 (1-5). Activated type I receptors associate with specific R-SMADs and phosphorylate them on a conserved SSXS motif in the carboxy-terminus. Phosphorylated R-SMADS dissociate from the receptor and form a heteromeric complex with SMAD4, initiating translocation of the heteromeric SMAD complex to the nucleus. Once in the nucleus, SMADs recruit a variety of DNA binding proteins that function to regulate transcriptional activity (6-8).

Species Reactivity

Species reactivity is determined by testing in at least one approved application (e.g., western blot).

Western Blot Buffer

IMPORTANT: For western blots, incubate membrane with diluted primary antibody in 5% w/v nonfat dry milk, 1X TBS, 0.1% Tween® 20 at 4°C with gentle shaking, overnight.

Applications Key

W: Western Blotting IP: Immunoprecipitation IHC-Bond: IHC Leica Bond IHC-P: Immunohistochemistry (Paraffin) IF-IC: Immunofluorescence (Immunocytochemistry) FC-FP: Flow Cytometry (Fixed/Permeabilized) ChIP: Chromatin IP ChIP-seq: Chromatin IP-seq

Cross-Reactivity Key

H: Human M: Mouse R: Rat Mk: Monkey

Trademarks and Patents

Cell Signaling Technology is a trademark of Cell Signaling Technology, Inc.

Alexa Fluor is a registered trademark of Life Technologies Corporation.

All other trademarks are the property of their respective owners. Visit cellsignal.com/trademarks for more information.

Limited Uses

Except as otherwise expressly agreed in a writing signed by a legally authorized representative of CST, the following terms apply to Products provided by CST, its affiliates or its distributors. Any Customer's terms and conditions that are in addition to, or different from, those contained herein, unless separately accepted in writing by a legally authorized representative of CST, are rejected and are of no force or effect.

Products are labeled with For Research Use Only or a similar labeling statement and have not been approved, cleared, or licensed by the FDA or other regulatory foreign or domestic entity, for any purpose. Customer shall not use any Product for any diagnostic or therapeutic purpose, or otherwise in any manner that conflicts with its labeling statement. Products sold or licensed by CST are provided for Customer as the end-user and solely for research and development uses. Any use of Product for diagnostic, prophylactic or therapeutic purposes, or any purchase of Product for resale (alone or as a component) or other commercial purpose, requires a separate license from CST. Customer shall (a) not sell, license, loan, donate or otherwise transfer or make available any Product to any third party, whether alone or in combination with other materials, or use the Products to manufacture any commercial products, (b) not copy, modify, reverse engineer, decompile, disassemble or otherwise attempt to discover the underlying structure or technology of the Products, or use the Products for the purpose of developing any products or services that would compete with CST products or services, (c) not alter or remove from the Products any trademarks, trade names, logos, patent or copyright notices or markings, (d) use the Products solely in accordance with CST Product Terms of Sale and any applicable documentation, and (e) comply with any license, terms of service or similar agreement with respect to any third party products or services used by Customer in connection with the Products.

Orders: 877-616-CELL (2355) [email protected] Support: 877-678-TECH (8324) [email protected] Web: cellsignal.com
For Research Use Only. Not for Use in Diagnostic Procedures.

Revision 4

Cell Signaling Technology Logo
Western blot analysis of extracts from various cell lines using SMAD4 (D3R4N) XP® Rabbit mAb (upper) and β-Actin (D6A8) Rabbit mAb #8457 (lower). Specificity of the antibody is confirmed by the absence of signal in extracts from HT-29 and COLO 205 cells, both of which contain Smad4 null mutations.
Western Blotting Image 1: SMAD4 (D3R4N) Rabbit Monoclonal Antibody
Immunoprecipitation of SMAD4 from HCT 116 cell extracts. Lane 1 is 10% input, lane 2 is Rabbit (DA1E) mAb IgG XP® Isotype Control #3900, and lane 3 is SMAD4 (D3R4N) XP® Rabbit mAb. Western blot analysis was performed using SMAD4 (D3R4N) XP® Rabbit mAb. Anti-Rabbit IgG, HRP-linked Antibody #7074 was used as the secondary antibody.
Immunoprecipitation Image 1: SMAD4 (D3R4N) Rabbit Monoclonal Antibody
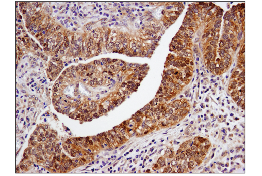
Immunohistochemical analysis of paraffin-embedded human colon carcinoma using SMAD4 (D3R4N) XP® Rabbit mAb performed on the Leica® BOND™ Rx.
Immunohistochemistry Image 1: SMAD4 (D3R4N) Rabbit Monoclonal Antibody
Orders: 877-616-CELL (2355) [email protected] Support: 877-678-TECH (8324) [email protected] Web: cellsignal.com
For Research Use Only. Not for Use in Diagnostic Procedures.

Revision 4

Cell Signaling Technology Logo
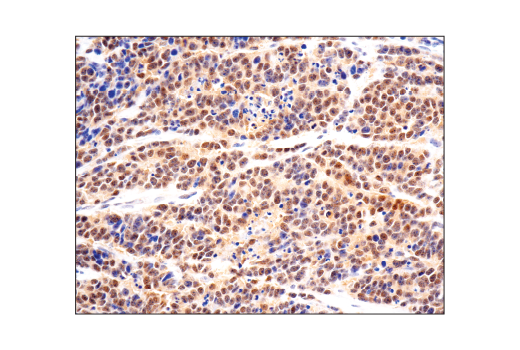
Immunohistochemical analysis of paraffin-embedded human infiltrating papillary carcinoma of the breast using SMAD4 (D3R4N) XP® Rabbit mAb.
Immunohistochemistry Image 1: SMAD4 (D3R4N) Rabbit Monoclonal Antibody
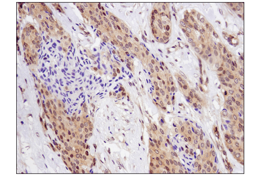
Immunohistochemical analysis of paraffin-embedded human ductal carcinoma of the breast using SMAD4 (D3R4N) XP® Rabbit mAb.
Immunohistochemistry Image 2: SMAD4 (D3R4N) Rabbit Monoclonal Antibody
Immunohistochemical analysis of paraffin-embedded COLO 320 cell pellet (left, positive) or COLO 205 cell pellet (right, negative) using SMAD4 (D3R4N) XP® Rabbit mAb.
Immunohistochemistry Image 3: SMAD4 (D3R4N) Rabbit Monoclonal Antibody
Orders: 877-616-CELL (2355) [email protected] Support: 877-678-TECH (8324) [email protected] Web: cellsignal.com
For Research Use Only. Not for Use in Diagnostic Procedures.

Revision 4

Cell Signaling Technology Logo
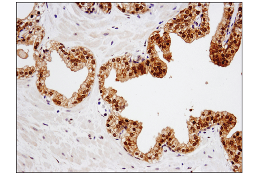
Immunohistochemical analysis of paraffin-embedded human prostate carcinoma using SMAD4 (D3R4N) XP® Rabbit mAb.
Immunohistochemistry Image 4: SMAD4 (D3R4N) Rabbit Monoclonal Antibody
Confocal immunofluorescent analysis of HaCaT cells (positive, top panel) or HT-29 cells (negative, bottom panel), either serum-starved (left panel) or serum-starved and treated with Human Transforming Growth Factor β1 (hTGF-β1) #8915 (7 ng/mL, 1 hr; right panel), using Smad4 (D3R4N) XP® Rabbit mAb (green). Actin filaments were labeled wtih DyLight™ 554 Phalloidin #13054 (red).
Immunofluorescence Image 1: SMAD4 (D3R4N) Rabbit Monoclonal Antibody
Flow cytometric analysis of HT-29 cells (blue) and HCT 116 cells (green) using SMAD4 (D3R4N) XP® Rabbit mAb (solid lines) or a concentration matched Rabbit (DA1E) mAb IgG XP® Isotype Control #3900 (dashed lines). Anti-rabbit IgG (H+L), F(ab')2 Fragment (Alexa Fluor® 488 Conjugate) #4412 was used as a secondary antibody.
Flow Cytometry Image 1: SMAD4 (D3R4N) Rabbit Monoclonal Antibody
Orders: 877-616-CELL (2355) [email protected] Support: 877-678-TECH (8324) [email protected] Web: cellsignal.com
For Research Use Only. Not for Use in Diagnostic Procedures.

Revision 4

Cell Signaling Technology Logo
Chromatin immunoprecipitations were performed with cross-linked chromatin from HaCaT cells treated with TGF-β1 #8915 (7 ng/mL, 1 hr) and either Smad4 (D3R4N) XP® Rabbit mAb (upper) or Smad4 (D3M6U) Rabbit mAb #38454 (lower), using SimpleChIP® Plus Enzymatic Chromatin IP Kit (Magnetic Beads) #9005. DNA Libraries were prepared using SimpleChIP® ChIP-seq DNA Library Prep Kit for Illumina® #56795. The figure shows binding across ID1, a known target gene of Smad4 (see additional figure containing ChIP-qPCR data).
Chromatin Immunoprecipitation Image 1: SMAD4 (D3R4N) Rabbit Monoclonal Antibody
Chromatin immunoprecipitations were performed with cross-linked chromatin from HaCaT cells treated with TGF-β1 #8915 (7 ng/mL, 1 hr) and either Smad4 (D3R4N) XP® Rabbit mAb (upper) or Smad4 (D3M6U) Rabbit mAb #38454 (lower), using SimpleChIP® Plus Enzymatic Chromatin IP Kit (Magnetic Beads) #9005. DNA Libraries were prepared using SimpleChIP® ChIP-seq DNA Library Prep Kit for Illumina® #56795. The figure shows binding across chromosome 20 (upper), including ID1 (lower), a known target gene of Smad4 (see additional figure containing ChIP-qPCR data).
Chromatin Immunoprecipitation Image 2: SMAD4 (D3R4N) Rabbit Monoclonal Antibody
Chromatin immunoprecipitations were performed with cross-linked chromatin from HaCaT cells treated with TGFβ1 #8915 (7 ng/ml, 1h), and either SMAD4 (D3R4N) XP® Rabbit mAb or Normal Rabbit IgG #2729 using SimpleChIP® Plus Enzymatic Chromatin IP Kit (Magnetic Beads) #9005. The enriched DNA was quantified by real-time PCR using SimpleChIP® Human ID1 Promoter Primers #5139, human JunB promoter primers, and SimpleChIP® Human α Satellite Repeat Primers #4486. The amount of immunoprecipitated DNA in each sample is represented as signal relative to the total amount of input chromatin, which is equivalent to one.
Chromatin Immunoprecipitation Image 3: SMAD4 (D3R4N) Rabbit Monoclonal Antibody
Orders: 877-616-CELL (2355) [email protected] Support: 877-678-TECH (8324) [email protected] Web: cellsignal.com
For Research Use Only. Not for Use in Diagnostic Procedures.