Revision 5

#37385

Store at -20C

CST Logo
Orders:

877-616-CELL (2355)

[email protected]

Support:

877-678-TECH (8324)

3 Trask Lane | Danvers | Massachusetts | 01923 | USA

For Research Use Only. Not for Use in Diagnostic Procedures.

Applications:
W, IHC-P

Reactivity:
H M R

Sensitivity:
Endogenous

MW (kDa):
16-18

Source/Isotype:
Rabbit IgG

UniProt ID:
#P00441

Entrez-Gene Id:
6647

Product Usage Information

Application Dilution
Western Blotting 1:1000
Immunohistochemistry (Paraffin) 1:200 - 1:800

Storage

Supplied in 10 mM sodium HEPES (pH 7.5), 150 mM NaCl, 100 µg/ml BSA, 50% glycerol and less than 0.02% sodium azide. Store at –20°C. Do not aliquot the antibody.



For a carrier-free (BSA and azide free) version of this product see product #65778.

Specificity/Sensitivity

SOD1 (E4G1H) Rabbit Monoclonal Antibody recognizes endogenous levels of total SOD1 protein.

Source / Purification

Monoclonal antibody is produced by immunizing animals with a synthetic peptide corresponding to residues near the amino terminus of human SOD1 protein.

Background

SOD1, Cu/Zn superoxide dismutase, is a major antioxidant enzyme that catalyzes the conversion of superoxide anion to hydrogen peroxide and molecular oxygen (1). SOD1 is ubiquitously expressed and is localized in the cytosol, nucleus, and mitochondrial intermembrane space. The SOD1 gene locus is on chromosome 21 in a region affected in Down Syndrome (2). In addition, over 100 distinct SOD1 inherited mutations have been identified in the familial form of amyotrophic lateral sclerosis (ALS), a progressive degenerative disease of motor neurons (3-5). Despite the fact that SOD1 helps to eliminate toxic reactive species, its mutations in ALS have been described as gain-of-function (5). The mechanism by which mutant SOD1 induces the neurodegeneration observed in ALS is still unclear. Mutant SOD1 proteins become misfolded and consequently oligomerize into high molecular weight species that aggregate and end up in proteinaceous inclusions (5).

Species Reactivity

Species reactivity is determined by testing in at least one approved application (e.g., western blot).

Western Blot Buffer

IMPORTANT: For western blots, incubate membrane with diluted primary antibody in 5% w/v BSA, 1X TBS, 0.1% Tween® 20 at 4°C with gentle shaking, overnight.

Applications Key

W: Western Blotting IHC-P: Immunohistochemistry (Paraffin)

Cross-Reactivity Key

H: Human M: Mouse R: Rat

Trademarks and Patents

Cell Signaling Technology is a trademark of Cell Signaling Technology, Inc.

SignalStain is a registered trademark of Cell Signaling Technology, Inc.

All other trademarks are the property of their respective owners. Visit cellsignal.com/trademarks for more information.

Limited Uses

Except as otherwise expressly agreed in a writing signed by a legally authorized representative of CST, the following terms apply to Products provided by CST, its affiliates or its distributors. Any Customer's terms and conditions that are in addition to, or different from, those contained herein, unless separately accepted in writing by a legally authorized representative of CST, are rejected and are of no force or effect.

Products are labeled with For Research Use Only or a similar labeling statement and have not been approved, cleared, or licensed by the FDA or other regulatory foreign or domestic entity, for any purpose. Customer shall not use any Product for any diagnostic or therapeutic purpose, or otherwise in any manner that conflicts with its labeling statement. Products sold or licensed by CST are provided for Customer as the end-user and solely for research and development uses. Any use of Product for diagnostic, prophylactic or therapeutic purposes, or any purchase of Product for resale (alone or as a component) or other commercial purpose, requires a separate license from CST. Customer shall (a) not sell, license, loan, donate or otherwise transfer or make available any Product to any third party, whether alone or in combination with other materials, or use the Products to manufacture any commercial products, (b) not copy, modify, reverse engineer, decompile, disassemble or otherwise attempt to discover the underlying structure or technology of the Products, or use the Products for the purpose of developing any products or services that would compete with CST products or services, (c) not alter or remove from the Products any trademarks, trade names, logos, patent or copyright notices or markings, (d) use the Products solely in accordance with CST Product Terms of Sale and any applicable documentation, and (e) comply with any license, terms of service or similar agreement with respect to any third party products or services used by Customer in connection with the Products.

Orders: 877-616-CELL (2355) [email protected] Support: 877-678-TECH (8324) [email protected] Web: cellsignal.com
For Research Use Only. Not for Use in Diagnostic Procedures.

Revision 5

Cell Signaling Technology Logo
Western blot analysis of extracts from various tissues and cells using SOD1 (E4G1H) XP® Rabbit mAb (upper) and β-Actin (D6A8) Rabbit mAb #8457 (lower).
Western Blotting Image 1: SOD1 (E4G1H) Rabbit Monoclonal Antibody
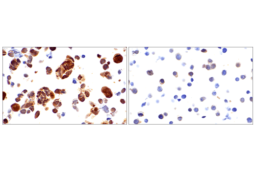
Immunohistochemical analysis of paraffin-embedded 293T cell pellet, wild-type (left, positive) or SOD1 knockdown (right, low-expressing), using SOD1 (E4G1H) XP® Rabbit mAb.
Immunohistochemistry Image 1: SOD1 (E4G1H) Rabbit Monoclonal Antibody
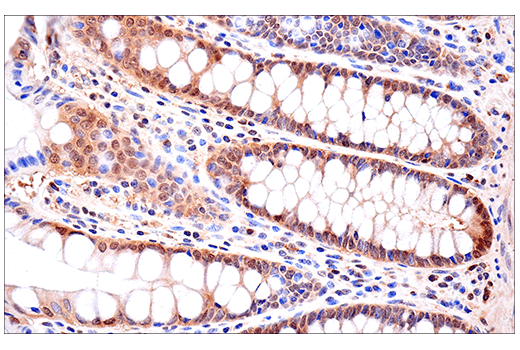
Immunohistochemical analysis of paraffin-embedded normal human colon using SOD1 (E4G1H) XP® Rabbit mAb.
Immunohistochemistry Image 2: SOD1 (E4G1H) Rabbit Monoclonal Antibody
Orders: 877-616-CELL (2355) [email protected] Support: 877-678-TECH (8324) [email protected] Web: cellsignal.com
For Research Use Only. Not for Use in Diagnostic Procedures.

Revision 5

Cell Signaling Technology Logo
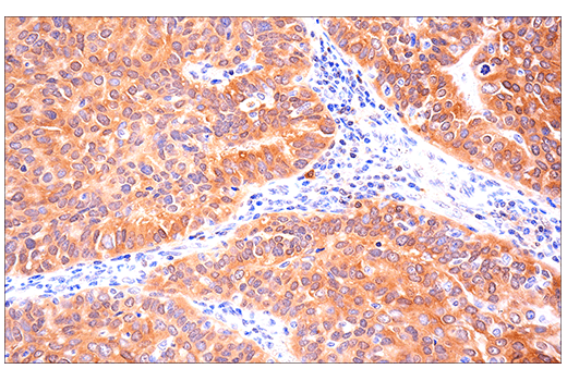
Immunohistochemical analysis of paraffin-embedded human colon carcinoma using SOD1 (E4G1H) XP® Rabbit mAb.
Immunohistochemistry Image 3: SOD1 (E4G1H) Rabbit Monoclonal Antibody
Immunohistochemical analysis of paraffin-embedded human prostate carcinoma using SOD1 (E4G1H) XP® Rabbit mAb (left) compared to concentration-matched Rabbit (DA1E) mAb IgG XP® Isotype Control #3900 (right).
Immunohistochemistry Image 4: SOD1 (E4G1H) Rabbit Monoclonal Antibody
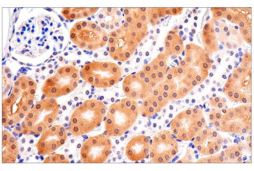
Immunohistochemical analysis of paraffin-embedded mouse kidney using SOD1 (E4G1H) XP® Rabbit mAb.
Immunohistochemistry Image 5: SOD1 (E4G1H) Rabbit Monoclonal Antibody
Orders: 877-616-CELL (2355) [email protected] Support: 877-678-TECH (8324) [email protected] Web: cellsignal.com
For Research Use Only. Not for Use in Diagnostic Procedures.

Revision 5

Cell Signaling Technology Logo
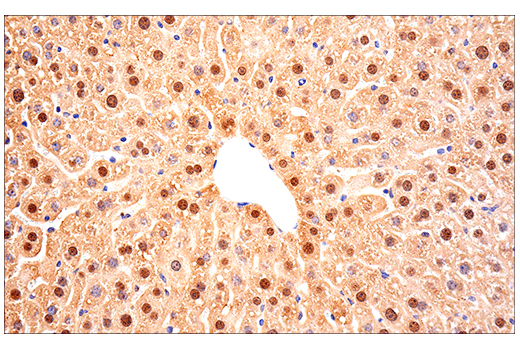
Immunohistochemical analysis of paraffin-embedded mouse liver using SOD1 (E4G1H) XP® Rabbit mAb.
Immunohistochemistry Image 6: SOD1 (E4G1H) Rabbit Monoclonal Antibody
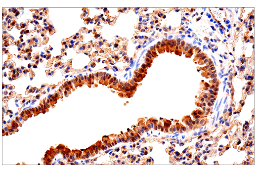
Immunohistochemical analysis of paraffin-embedded mouse lung using SOD1 (E4G1H) XP® Rabbit mAb.
Immunohistochemistry Image 7: SOD1 (E4G1H) Rabbit Monoclonal Antibody
Immunohistochemical analysis of paraffin-embedded human serous papillary carcinoma of the ovary using SOD1 (E4G1H) XP® Rabbit mAb.
Immunohistochemistry Image 8: SOD1 (E4G1H) Rabbit Monoclonal Antibody
Orders: 877-616-CELL (2355) [email protected] Support: 877-678-TECH (8324) [email protected] Web: cellsignal.com
For Research Use Only. Not for Use in Diagnostic Procedures.

Revision 5

Cell Signaling Technology Logo
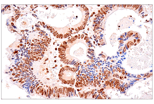
Immunohistochemical analysis of paraffin-embedded human endometrioid adenocarcinoma using SOD1 (E4G1H) XP® Rabbit mAb.
Immunohistochemistry Image 9: SOD1 (E4G1H) Rabbit Monoclonal Antibody
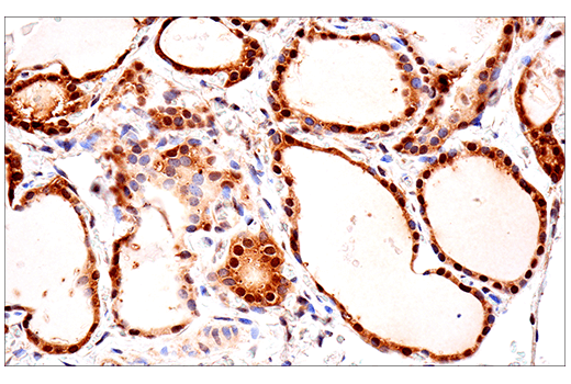
Immunohistochemical analysis of paraffin-embedded normal human thyroid using SOD1 (E4G1H) XP® Rabbit mAb.
Immunohistochemistry Image 10: SOD1 (E4G1H) Rabbit Monoclonal Antibody
Orders: 877-616-CELL (2355) [email protected] Support: 877-678-TECH (8324) [email protected] Web: cellsignal.com
For Research Use Only. Not for Use in Diagnostic Procedures.