Revision 6

#78330

Store at -20C

CST Logo
Orders:

877-616-CELL (2355)

[email protected]

Support:

877-678-TECH (8324)

3 Trask Lane | Danvers | Massachusetts | 01923 | USA

For Research Use Only. Not for Use in Diagnostic Procedures.

Applications:
IHC-P, IF-F, IF-IC, FC-FP

Reactivity:
H M

Sensitivity:
Endogenous

Source/Isotype:
Rabbit IgG

UniProt ID:
#P56693

Entrez-Gene Id:
6663

Product Usage Information

Application Dilution
Immunohistochemistry (Paraffin) 1:50
Immunofluorescence (Frozen) 1:50 - 1:200
Immunofluorescence (Immunocytochemistry) 1:50 - 1:200
Flow Cytometry (Fixed/Permeabilized) 1:50 - 1:200

Storage

Supplied in 10 mM sodium HEPES (pH 7.5), 150 mM NaCl, 100 µg/ml BSA, 50% glycerol and less than 0.02% sodium azide. Store at –20°C. Do not aliquot the antibody.

For a carrier free (BSA and azide free) version of this product see product #23724.

Specificity/Sensitivity

Sox10 (E2V9N) Rabbit Monoclonal Antibody recognizes endogenous levels of total Sox10 protein.

Source / Purification

Monoclonal antibody is produced by immunizing animals with a synthetic peptide corresponding to residues surrounding Pro363 of human Sox10 protein.

Background

SRY-box 10 (Sox10) is a member of the SOX (SRY-related HMG-box) family of transcription factors involved in the regulation of embryonic development and the determination of cell fate. Sox10 is an important regulator of neural crest and peripheral nervous system development (1-3). Mutations in the SOX10 gene are associated with a group of auditory-pigmentary developmental disorders, including Waardenburg and Waardenburg-Shah syndromes (3,4). Research studies suggest an oncogenic role for Sox10 in various tumor types, such as hepatocellular carcinoma and melanoma (5,6).

Species Reactivity

Species reactivity is determined by testing in at least one approved application (e.g., western blot).

Applications Key

IHC-P: Immunohistochemistry (Paraffin) IF-F: Immunofluorescence (Frozen) IF-IC: Immunofluorescence (Immunocytochemistry) FC-FP: Flow Cytometry (Fixed/Permeabilized)

Cross-Reactivity Key

H: Human M: Mouse

Trademarks and Patents

Cell Signaling Technology is a trademark of Cell Signaling Technology, Inc.

All other trademarks are the property of their respective owners. Visit cellsignal.com/trademarks for more information.

Limited Uses

Except as otherwise expressly agreed in a writing signed by a legally authorized representative of CST, the following terms apply to Products provided by CST, its affiliates or its distributors. Any Customer's terms and conditions that are in addition to, or different from, those contained herein, unless separately accepted in writing by a legally authorized representative of CST, are rejected and are of no force or effect.

Products are labeled with For Research Use Only or a similar labeling statement and have not been approved, cleared, or licensed by the FDA or other regulatory foreign or domestic entity, for any purpose. Customer shall not use any Product for any diagnostic or therapeutic purpose, or otherwise in any manner that conflicts with its labeling statement. Products sold or licensed by CST are provided for Customer as the end-user and solely for research and development uses. Any use of Product for diagnostic, prophylactic or therapeutic purposes, or any purchase of Product for resale (alone or as a component) or other commercial purpose, requires a separate license from CST. Customer shall (a) not sell, license, loan, donate or otherwise transfer or make available any Product to any third party, whether alone or in combination with other materials, or use the Products to manufacture any commercial products, (b) not copy, modify, reverse engineer, decompile, disassemble or otherwise attempt to discover the underlying structure or technology of the Products, or use the Products for the purpose of developing any products or services that would compete with CST products or services, (c) not alter or remove from the Products any trademarks, trade names, logos, patent or copyright notices or markings, (d) use the Products solely in accordance with CST Product Terms of Sale and any applicable documentation, and (e) comply with any license, terms of service or similar agreement with respect to any third party products or services used by Customer in connection with the Products.

Orders: 877-616-CELL (2355) [email protected] Support: 877-678-TECH (8324) [email protected] Web: cellsignal.com
For Research Use Only. Not for Use in Diagnostic Procedures.

Revision 6

Cell Signaling Technology Logo
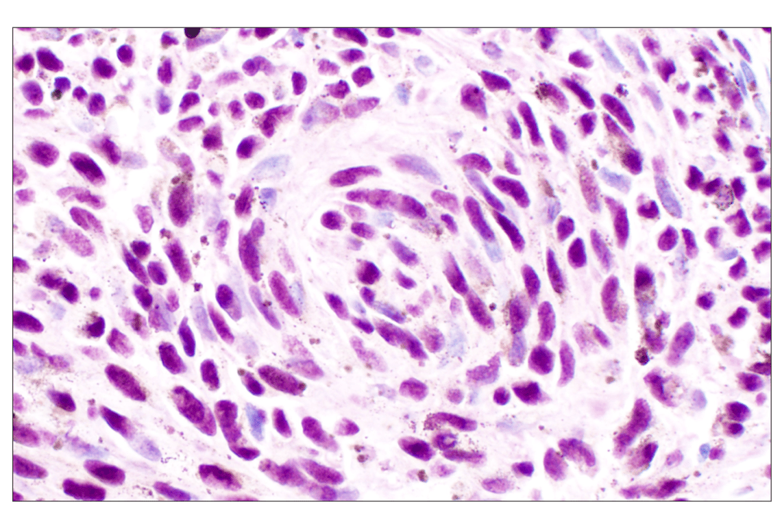
Immunohistochemical analysis of paraffin-embedded B16-F10 syngeneic tumor using Sox10 (E2V9N) Rabbit mAb. Note the use of the SignalStain® Vivid Purple Peroxidase Substrate Kit #96632.
Immunohistochemistry Image 1: Sox10 (E2V9N) Rabbit Monoclonal Antibody
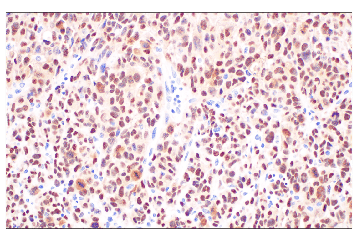
Immunohistochemical analysis of paraffin-embedded human melanoma using Sox10 (E2V9N) Rabbit mAb. Note the use of the SignalStain® Vivid Purple Peroxidase Substrate Kit #96632.
Immunohistochemistry Image 2: Sox10 (E2V9N) Rabbit Monoclonal Antibody
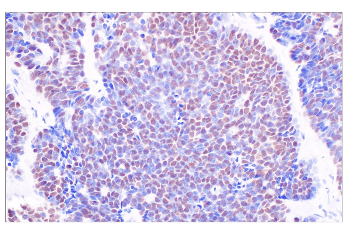
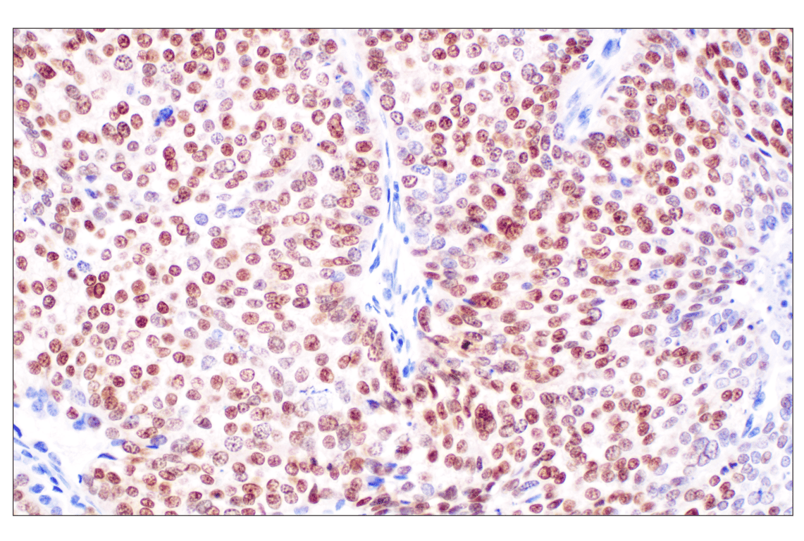
Immunohistochemical analysis of paraffin-embedded human adenoid cystic carcinoma of the salivary gland using Sox10 (E2V9N) Rabbit mAb.
Immunohistochemistry Image 3: Sox10 (E2V9N) Rabbit Monoclonal Antibody
Orders: 877-616-CELL (2355) [email protected] Support: 877-678-TECH (8324) [email protected] Web: cellsignal.com
For Research Use Only. Not for Use in Diagnostic Procedures.

Revision 6

Cell Signaling Technology Logo
Immunohistochemical analysis of paraffin-embedded human squamous cell lung carcinoma using Sox10 (E2V9N) Rabbit mAb.
Immunohistochemistry Image 4: Sox10 (E2V9N) Rabbit Monoclonal Antibody
Immunohistochemical analysis of paraffin-embedded normal human breast using Sox10 (E2V9N) Rabbit mAb.
Immunohistochemistry Image 5: Sox10 (E2V9N) Rabbit Monoclonal Antibody
Immunohistochemical analysis of paraffin-embedded GL261 syngeneic tumor using Sox10 (E2V9N) Rabbit mAb.
Immunohistochemistry Image 6: Sox10 (E2V9N) Rabbit Monoclonal Antibody
Orders: 877-616-CELL (2355) [email protected] Support: 877-678-TECH (8324) [email protected] Web: cellsignal.com
For Research Use Only. Not for Use in Diagnostic Procedures.

Revision 6

Cell Signaling Technology Logo
Immunohistochemical analysis of paraffin-embedded mouse brain using Sox10 (E2V9N) Rabbit mAb.
Immunohistochemistry Image 7: Sox10 (E2V9N) Rabbit Monoclonal Antibody
Immunohistochemical analysis of peripheral nerve within paraffin-embedded mouse prostate using Sox10 (E2V9N) Rabbit mAb.
Immunohistochemistry Image 8: Sox10 (E2V9N) Rabbit Monoclonal Antibody
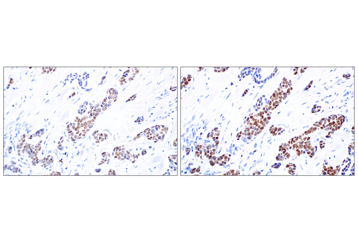
Immunohistochemical analysis of paraffin-embedded human adenoid cystic carcinoma of the salivary gland using Sox10 (E2V9N) Rabbit mAb (left) or Sox10 (E6B6I) Rabbit mAb #69661 (right). These two antibodies detect unique, non-overlapping epitopes on human Sox10. The similar staining patterns obtained with both antibodies help to confirm the specificity of the staining.
Immunohistochemistry Image 9: Sox10 (E2V9N) Rabbit Monoclonal Antibody
Orders: 877-616-CELL (2355) [email protected] Support: 877-678-TECH (8324) [email protected] Web: cellsignal.com
For Research Use Only. Not for Use in Diagnostic Procedures.

Revision 6

Cell Signaling Technology Logo
Immunohistochemical analysis of paraffin-embedded human appendix using Sox10 (E2V9N) Rabbit mAb (left) compared to concentration-matched Rabbit (DA1E) mAb IgG XP® Isotype Control #3900 (right).
Immunohistochemistry Image 10: Sox10 (E2V9N) Rabbit Monoclonal Antibody
Confocal immunofluorescent analysis of mouse choroid using Sox10 (E2V9N) Rabbit mAb (green). Actin filaments were labeled with DyLight™ 554 Phalloidin #13054 (red). Samples were mounted in ProLong® Gold Antifade Reagent with DAPI #8961 (blue).
Immunofluorescence Image 1: Sox10 (E2V9N) Rabbit Monoclonal Antibody
Confocal immunofluorescent analysis of mouse brain using Sox10 (E2V9N) Rabbit mAb (green). Actin filaments were labeled with DyLight™ 554 Phalloidin #13054 (red). Samples were mounted in ProLong® Gold Antifade Reagent with DAPI #8961 (blue). HC, hippocampus; CC, corpus callosum; NC, neocortex.
Immunofluorescence Image 2: Sox10 (E2V9N) Rabbit Monoclonal Antibody
Orders: 877-616-CELL (2355) [email protected] Support: 877-678-TECH (8324) [email protected] Web: cellsignal.com
For Research Use Only. Not for Use in Diagnostic Procedures.

Revision 6

Cell Signaling Technology Logo
Confocal immunofluorescent analysis of SK-MEL-5 cells (left, positive) and HeLa cells (right, negative) using Sox10 (E2V9N) Rabbit mAb (green). Actin filaments were labeled with DyLight™ 554 Phalloidin #13054 (red).
Immunofluorescence Image 1: Sox10 (E2V9N) Rabbit Monoclonal Antibody
Flow cytometric analysis of HeLa cells (blue, negative) and SK-MEL-28 cells (green, positive) using Sox10 (E2V9N) Rabbit mAb (solid lines) or concentration-matched Rabbit (DA1E) mAb IgG XP® Isotype Control #3900 (dashed lines). Anti-rabbit IgG (H+L), F(ab')2 Fragment (Alexa Fluor® 488 Conjugate) #4412 was used as a secondary antibody.
Flow Cytometry Image 1: Sox10 (E2V9N) Rabbit Monoclonal Antibody
Orders: 877-616-CELL (2355) [email protected] Support: 877-678-TECH (8324) [email protected] Web: cellsignal.com
For Research Use Only. Not for Use in Diagnostic Procedures.