Revision 1

#3728

Store at -20C

CST Logo
Orders:

877-616-CELL (2355)

[email protected]

Support:

877-678-TECH (8324)

3 Trask Lane | Danvers | Massachusetts | 01923 | USA

For Research Use Only. Not for Use in Diagnostic Procedures.

Applications:
W, IHC-P

Reactivity:
M

Sensitivity:
Endogenous

MW (kDa):
35

Source/Isotype:
Rabbit

UniProt ID:
#P48431

Entrez-Gene Id:
6657

Product Usage Information

Application Dilution
Western Blotting 1:1000
Immunohistochemistry (Paraffin) 1:250

Storage

Supplied in 10 mM sodium HEPES (pH 7.5), 150 mM NaCl, 100 µg/ml BSA, 50% glycerol and less than 0.02% sodium azide. Store at –20°C. Do not aliquot the antibody.

Specificity/Sensitivity

Sox2 (C70B1) Rabbit Monoclonal Antibody detects endogenous levels of Sox2 protein.

Source / Purification

Monoclonal antibody is produced by immunizing animals with a synthetic peptide corresponding to amino acid sequences at the carboxy-terminal region of mouse Sox2.

Background

Embryonic stem cells (ESC) derived from the inner cell mass of the blastocyst are unique in their pluripotent capacity and potential for self-renewal (1). Research studies demonstrate that a set of transcription factors that includes Oct-4, Sox2, and Nanog forms a transcriptional network that maintains cells in a pluripotent state (2,3). Chromatin immunoprecipitation experiments show that Sox2 and Oct-4 bind to thousands of gene regulatory sites, many of which regulate cell pluripotency and early embryonic development (4,5). siRNA knockdown of either Sox2 or Oct-4 results in loss of pluripotency (6). Induced overexpression of Oct-4 and Sox2, along with additional transcription factors Klf4 and c-Myc, can reprogram both mouse and human somatic cells to a pluripotent state (7,8). Additional evidence demonstrates that Sox2 is also present in adult multipotent progenitors that give rise to some adult epithelial tissues, including several glands, the glandular stomach, testes, and cervix. Sox2 is thought to regulate target gene expression important for survival and regeneration of these tissues (9).

Species Reactivity

Species reactivity is determined by testing in at least one approved application (e.g., western blot).

Western Blot Buffer

IMPORTANT: For western blots, incubate membrane with diluted primary antibody in 5% w/v BSA, 1X TBS, 0.1% Tween® 20 at 4°C with gentle shaking, overnight.

Applications Key

W: Western Blotting IHC-P: Immunohistochemistry (Paraffin)

Cross-Reactivity Key

M: Mouse

Trademarks and Patents

Cell Signaling Technology is a trademark of Cell Signaling Technology, Inc.

U.S. Patent No. 7,429,487, foreign equivalents, and child patents deriving therefrom.

All other trademarks are the property of their respective owners. Visit cellsignal.com/trademarks for more information.

Limited Uses

Except as otherwise expressly agreed in a writing signed by a legally authorized representative of CST, the following terms apply to Products provided by CST, its affiliates or its distributors. Any Customer's terms and conditions that are in addition to, or different from, those contained herein, unless separately accepted in writing by a legally authorized representative of CST, are rejected and are of no force or effect.

Products are labeled with For Research Use Only or a similar labeling statement and have not been approved, cleared, or licensed by the FDA or other regulatory foreign or domestic entity, for any purpose. Customer shall not use any Product for any diagnostic or therapeutic purpose, or otherwise in any manner that conflicts with its labeling statement. Products sold or licensed by CST are provided for Customer as the end-user and solely for research and development uses. Any use of Product for diagnostic, prophylactic or therapeutic purposes, or any purchase of Product for resale (alone or as a component) or other commercial purpose, requires a separate license from CST. Customer shall (a) not sell, license, loan, donate or otherwise transfer or make available any Product to any third party, whether alone or in combination with other materials, or use the Products to manufacture any commercial products, (b) not copy, modify, reverse engineer, decompile, disassemble or otherwise attempt to discover the underlying structure or technology of the Products, or use the Products for the purpose of developing any products or services that would compete with CST products or services, (c) not alter or remove from the Products any trademarks, trade names, logos, patent or copyright notices or markings, (d) use the Products solely in accordance with CST Product Terms of Sale and any applicable documentation, and (e) comply with any license, terms of service or similar agreement with respect to any third party products or services used by Customer in connection with the Products.

Orders: 877-616-CELL (2355) [email protected] Support: 877-678-TECH (8324) [email protected] Web: cellsignal.com
For Research Use Only. Not for Use in Diagnostic Procedures.

Revision 1

Cell Signaling Technology Logo
Western blot analysis of extracts from mouse embryonic stem cells (mESCs) and F9 cells using Sox2 (C70B1) Rabbit mAb.
Western Blotting Image 1: Sox2 (C70B1) Rabbit Monoclonal Antibody
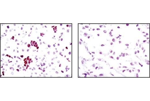
Immunohistochemical analysis of paraffin-embedded F9 cells (positive, left) and C2C12 cells (negative, right) using Sox2 (C70B1) Rabbit mAb.
Immunohistochemistry Image 1: Sox2 (C70B1) Rabbit Monoclonal Antibody
Immunohistochemical analysis of paraffin-embedded 14.5 day mouse embryo using Sox2 (C70B1) Rabbit mAb. Note staining of ventricular/subventricular zone.
Immunohistochemistry Image 2: Sox2 (C70B1) Rabbit Monoclonal Antibody
Orders: 877-616-CELL (2355) [email protected] Support: 877-678-TECH (8324) [email protected] Web: cellsignal.com
For Research Use Only. Not for Use in Diagnostic Procedures.