Revision 6

#82630

Store at -20C

CST Logo
Orders:

877-616-CELL (2355)

[email protected]

Support:

877-678-TECH (8324)

3 Trask Lane | Danvers | Massachusetts | 01923 | USA

For Research Use Only. Not for Use in Diagnostic Procedures.

Applications:
W, W-S, IHC-Bond, IHC-P

Reactivity:
H M

Sensitivity:
Endogenous

MW (kDa):
70

Source/Isotype:
Rabbit IgG

UniProt ID:
#P48436

Entrez-Gene Id:
6662

Product Usage Information

Application Dilution
Western Blotting 1:1000
Simple Western™ 1:50 - 1:250
IHC Leica Bond 1:50 - 1:200
Immunohistochemistry (Paraffin) 1:300 - 1:1200

Storage

Supplied in 10 mM sodium HEPES (pH 7.5), 150 mM NaCl, 100 µg/ml BSA, 50% glycerol and less than 0.02% sodium azide. Store at –20°C. Do not aliquot the antibody.

For a carrier free (BSA and azide free) version of this product see product #74021.

Specificity/Sensitivity

Sox9 (D8G8H) Rabbit Monoclonal Antibody recognizes endogenous levels of total Sox9 protein.

Species predicted to react based on 100% sequence homology

Rat

Source / Purification

Monoclonal antibody is produced by immunizing animals with a synthetic peptide corresponding to residues near the amino terminus of human Sox9 protein.

Background

Sox9 is a transcription factor with an HMG-box DNA binding domain that has homology to the HMG domain of the mammalian testis-determining factor, SRY (1). Sox9 regulates several important processes during embryonic development including chondrogenesis, during which it contributes to skeletal formation and digit specification (2,3). Sox9 also coordinates with steroidogenic factor-1 to direct Sertoli cell-specific expression of anti-Mullerian hormone during embryogenesis, thereby contributing to male sex determination (4). In addition, Sox9 is reportedly involved in the maintenance of adult stem cell populations, including multipotent neural stem cells (5), hair follicle stem cells (6), and mammary stem cells (7). Recent interest has focused on the role of Sox9 in tumor biology. For example, research studies have shown that Sox9 expression in lung adenocarcinoma induces a mesenchymal phenotype in tumor cells (8). Other research studies have shown that YAP1 induced upregulation of Sox9 confers cancer stem cell like properties on esophageal cancer cells (9). Moreover, Sox9 expression has been linked with several other tumor types including ovarian, prostate, and pancreatic malignancies (10-12).

Species Reactivity

Species reactivity is determined by testing in at least one approved application (e.g., western blot).

Western Blot Buffer

IMPORTANT: For western blots, incubate membrane with diluted primary antibody in 5% w/v BSA, 1X TBS, 0.1% Tween® 20 at 4°C with gentle shaking, overnight.

Applications Key

W: Western Blotting W-S: Simple Western™ IHC-Bond: IHC Leica Bond IHC-P: Immunohistochemistry (Paraffin)

Cross-Reactivity Key

H: Human M: Mouse

Trademarks and Patents

Cell Signaling Technology is a trademark of Cell Signaling Technology, Inc.

SignalStain is a registered trademark of Cell Signaling Technology, Inc.

All other trademarks are the property of their respective owners. Visit cellsignal.com/trademarks for more information.

Limited Uses

Except as otherwise expressly agreed in a writing signed by a legally authorized representative of CST, the following terms apply to Products provided by CST, its affiliates or its distributors. Any Customer's terms and conditions that are in addition to, or different from, those contained herein, unless separately accepted in writing by a legally authorized representative of CST, are rejected and are of no force or effect.

Products are labeled with For Research Use Only or a similar labeling statement and have not been approved, cleared, or licensed by the FDA or other regulatory foreign or domestic entity, for any purpose. Customer shall not use any Product for any diagnostic or therapeutic purpose, or otherwise in any manner that conflicts with its labeling statement. Products sold or licensed by CST are provided for Customer as the end-user and solely for research and development uses. Any use of Product for diagnostic, prophylactic or therapeutic purposes, or any purchase of Product for resale (alone or as a component) or other commercial purpose, requires a separate license from CST. Customer shall (a) not sell, license, loan, donate or otherwise transfer or make available any Product to any third party, whether alone or in combination with other materials, or use the Products to manufacture any commercial products, (b) not copy, modify, reverse engineer, decompile, disassemble or otherwise attempt to discover the underlying structure or technology of the Products, or use the Products for the purpose of developing any products or services that would compete with CST products or services, (c) not alter or remove from the Products any trademarks, trade names, logos, patent or copyright notices or markings, (d) use the Products solely in accordance with CST Product Terms of Sale and any applicable documentation, and (e) comply with any license, terms of service or similar agreement with respect to any third party products or services used by Customer in connection with the Products.

Orders: 877-616-CELL (2355) [email protected] Support: 877-678-TECH (8324) [email protected] Web: cellsignal.com
For Research Use Only. Not for Use in Diagnostic Procedures.

Revision 6

Cell Signaling Technology Logo
Western blot analysis of extracts from various cell lines using Sox9 (D8G8H) Rabbit mAb (upper) and GAPDH (D16H11) XP® Rabbit mAb #5174 (lower). As expected, HeLa cells show low expression of Sox9.
Western Blotting Image 1: Sox9 (D8G8H) Rabbit Monoclonal Antibody
Simple WesternTM analysis of lysates (0.1 mg/mL) from DLD-1 using Sox9 (D8G8H) Rabbit mAb #82630. The virtual lane view (left) shows the target band (as indicated) at 1:50 and 1:250 dilutions of primary antibody. The corresponding electropherogram view (right) plots chemiluminescence by molecular weight along the capillary at 1:50 (blue line) and 1:250 (green line) dilutions of primary antibody. This experiment was performed under reducing conditions on the JessTM Simple Western instrument from ProteinSimple, a BioTechne brand, using the 12-230 kDa separation module.
Western Blotting Image 1: Sox9 (D8G8H) Rabbit Monoclonal Antibody
Immunohistochemical analysis of paraffin-embedded human squamous cell carcinoma of the tonsil using Sox9 (D8G8H) Rabbit mAb performed on the Leica® BOND™ Rx.
Immunohistochemistry Image 1: Sox9 (D8G8H) Rabbit Monoclonal Antibody
Orders: 877-616-CELL (2355) [email protected] Support: 877-678-TECH (8324) [email protected] Web: cellsignal.com
For Research Use Only. Not for Use in Diagnostic Procedures.

Revision 6

Cell Signaling Technology Logo
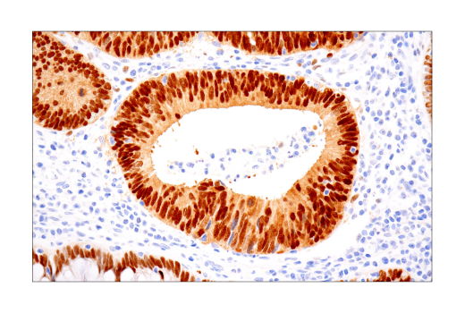
Immunohistochemical analysis of paraffin-embedded human colon carcinoma using Sox9 (D8G8H) Rabbit mAb performed on the Leica® BOND™ Rx.
Immunohistochemistry Image 2: Sox9 (D8G8H) Rabbit Monoclonal Antibody
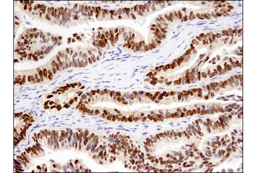
Immunohistochemical analysis of paraffin-embedded human colon carcinoma using Sox9 (D8G8H) Rabbit mAb.
Immunohistochemistry Image 1: Sox9 (D8G8H) Rabbit Monoclonal Antibody
Immunohistochemical analysis of paraffin-embedded human lung carcinoma using Sox9 (D8G8H) Rabbit mAb.
Immunohistochemistry Image 2: Sox9 (D8G8H) Rabbit Monoclonal Antibody
Orders: 877-616-CELL (2355) [email protected] Support: 877-678-TECH (8324) [email protected] Web: cellsignal.com
For Research Use Only. Not for Use in Diagnostic Procedures.

Revision 6

Cell Signaling Technology Logo
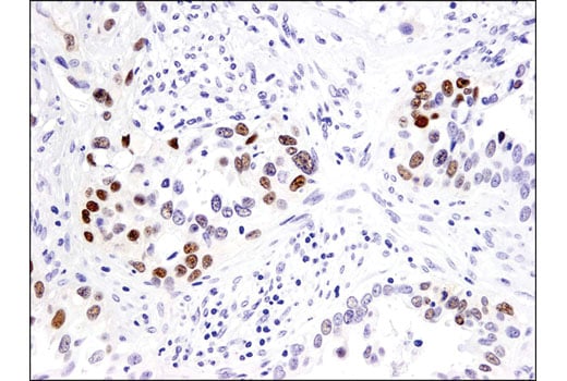
Immunohistochemical analysis of paraffin-embedded human ovarian carcinoma using Sox9 (D8G8H) Rabbit mAb.
Immunohistochemistry Image 3: Sox9 (D8G8H) Rabbit Monoclonal Antibody
Immunohistochemical analysis of paraffin-embedded A-204 (left) and U-87 MG (right) cell pellets using Sox9 (D8G8H) Rabbit mAb.
Immunohistochemistry Image 4: Sox9 (D8G8H) Rabbit Monoclonal Antibody
Immunohistochemical analysis of paraffin-embedded mouse testis using Sox9 (D8G8H) Rabbit mAb in the presence of control peptide (left) or antigen-specific peptide (right).
Immunohistochemistry Image 5: Sox9 (D8G8H) Rabbit Monoclonal Antibody
Orders: 877-616-CELL (2355) [email protected] Support: 877-678-TECH (8324) [email protected] Web: cellsignal.com
For Research Use Only. Not for Use in Diagnostic Procedures.