Revision 3

#2191

Store at -20C

CST Logo
Orders:

877-616-CELL (2355)

[email protected]

Support:

877-678-TECH (8324)

3 Trask Lane | Danvers | Massachusetts | 01923 | USA

For Research Use Only. Not for Use in Diagnostic Procedures.

Applications:
W, IP, IHC-P, ChIP

Reactivity:
H M R Mk

Sensitivity:
Endogenous

MW (kDa):
180

Source/Isotype:
Rabbit IgG

UniProt ID:
#Q15788

Entrez-Gene Id:
8648

Product Usage Information

For optimal ChIP results, use 5 μl of antibody and 10 μg of chromatin (approximately 4 x 106 cells) per IP. This antibody has been validated using SimpleChIP® Enzymatic Chromatin IP Kits.
Application Dilution
Western Blotting 1:1000
Immunoprecipitation 1:100
Immunohistochemistry (Paraffin) 1:200
Chromatin IP 1:100

Storage

Supplied in 10 mM sodium HEPES (pH 7.5), 150 mM NaCl, 100 µg/ml BSA, 50% glycerol and less than 0.02% sodium azide. Store at –20°C. Do not aliquot the antibody.

For a carrier free (BSA and azide free) version of this product see product #53397.

Specificity/Sensitivity

SRC-1 (128E7) Rabbit Monoclonal Antibody detects endogenous levels of total SRC-1 protein (all three isoforms). This antibody does not cross-react with other SRC proteins, including SRC-2 and SRC-3.

Source / Purification

Monoclonal antibody is produced by immunizing animals with a synthetic peptide corresponding to the sequence of human SRC-1 protein.

Background

There are three members of the steroid receptor co-activator (SRC) family of proteins: SRC-1 (NCoA-1), SRC-2 (TIF2/GRIP1/NCoA-2), and SRC-3 (ACTR/pCIP/RAC3/TRAM-1/AIB1). All SRC family members share significant structural homology and function to stimulate transcription mediated by nuclear hormone receptors and other transcriptional activators such as Stat3, NF-κB, E2F1, and p53 (1-4). Two SRC proteins, SRC-1 and SRC-3, function as histone acetyltransferases (5,6). In addition, all three family members can recruit other histone acetyltransferases (CBP/p300, PCAF) and histone methyltransferases (PRMT1, CARM1) to target promoters and cooperate to enhance expression of many genes (5-8). The SRC proteins play important roles in multiple physiological processes including cell proliferation, cell survival, somatic cell growth, mammary gland development, female reproductive function, and vasoprotection (9). SRC-1 and SRC-3 are conduits for kinase-mediated growth factor signaling to the estrogen receptor and other transcriptional activators. Seven SRC-1 phosphorylation sites and six SRC-3 phosphorylation sites have been identified, which are induced by steroids, cytokines, and growth factors and involve multiple kinase signaling pathways (9-11). Research has shown that all three SRC family members are associated with increased activity of nuclear receptors in breast, prostate, and ovarian carcinomas. According to the literature, SRC-3 is frequently amplified or overexpressed in a number of cancers (12), and SRC-1/PAX3 and SRC-2/MYST3 translocations are found associated with rhabdomyosarcoma and acute myeloid leukemia, respectively (13,14).

Species Reactivity

Species reactivity is determined by testing in at least one approved application (e.g., western blot).

Western Blot Buffer

IMPORTANT: For western blots, incubate membrane with diluted primary antibody in 5% w/v BSA, 1X TBS, 0.1% Tween® 20 at 4°C with gentle shaking, overnight.

Applications Key

W: Western Blotting IP: Immunoprecipitation IHC-P: Immunohistochemistry (Paraffin) ChIP: Chromatin IP

Cross-Reactivity Key

H: Human M: Mouse R: Rat Mk: Monkey

Trademarks and Patents

Cell Signaling Technology is a trademark of Cell Signaling Technology, Inc.

All other trademarks are the property of their respective owners. Visit cellsignal.com/trademarks for more information.

Limited Uses

Except as otherwise expressly agreed in a writing signed by a legally authorized representative of CST, the following terms apply to Products provided by CST, its affiliates or its distributors. Any Customer's terms and conditions that are in addition to, or different from, those contained herein, unless separately accepted in writing by a legally authorized representative of CST, are rejected and are of no force or effect.

Products are labeled with For Research Use Only or a similar labeling statement and have not been approved, cleared, or licensed by the FDA or other regulatory foreign or domestic entity, for any purpose. Customer shall not use any Product for any diagnostic or therapeutic purpose, or otherwise in any manner that conflicts with its labeling statement. Products sold or licensed by CST are provided for Customer as the end-user and solely for research and development uses. Any use of Product for diagnostic, prophylactic or therapeutic purposes, or any purchase of Product for resale (alone or as a component) or other commercial purpose, requires a separate license from CST. Customer shall (a) not sell, license, loan, donate or otherwise transfer or make available any Product to any third party, whether alone or in combination with other materials, or use the Products to manufacture any commercial products, (b) not copy, modify, reverse engineer, decompile, disassemble or otherwise attempt to discover the underlying structure or technology of the Products, or use the Products for the purpose of developing any products or services that would compete with CST products or services, (c) not alter or remove from the Products any trademarks, trade names, logos, patent or copyright notices or markings, (d) use the Products solely in accordance with CST Product Terms of Sale and any applicable documentation, and (e) comply with any license, terms of service or similar agreement with respect to any third party products or services used by Customer in connection with the Products.

Orders: 877-616-CELL (2355) [email protected] Support: 877-678-TECH (8324) [email protected] Web: cellsignal.com
For Research Use Only. Not for Use in Diagnostic Procedures.

Revision 3

Cell Signaling Technology Logo
Western blot analysis of cell extracts from various cell types using SRC-1 (128E7) Rabbit mAb.
Western Blotting Image 1: SRC-1 (128E7) Rabbit Monoclonal Antibody
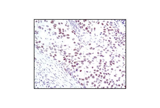
Immunohistochemical analysis of paraffin-embedded human breast carcinoma using SRC-1 (128E7) Rabbit mAb.
Immunohistochemistry Image 1: SRC-1 (128E7) Rabbit Monoclonal Antibody
Chromatin immunoprecipitations were performed with cross-linked chromatin from LS180 cells treated with calcitriol (10nM, 3 hours) and either SRC-1 (128E7) Rabbit mAb or Normal Rabbit IgG #2729 using SimpleChIP® Enzymatic Chromatin IP Kit (Magnetic Beads) #9003. The enriched DNA was quantified by real-time PCR using SimpleChIP® Human c-Fos Upstream Primers #25661 and SimpleChIP® Human Nanog Promoter Primers #95064. The amount of immunoprecipitated DNA in each sample is represented as signal relative to the total amount of input chromatin, which is equivalent to one.
Chromatin Immunoprecipitation Image 1: SRC-1 (128E7) Rabbit Monoclonal Antibody
Orders: 877-616-CELL (2355) [email protected] Support: 877-678-TECH (8324) [email protected] Web: cellsignal.com
For Research Use Only. Not for Use in Diagnostic Procedures.